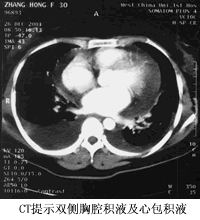
双侧胸腔积液、心包积液
![]() |
![]() |
![]() |
病历摘要
患者女性,31岁,因咳嗽、咯痰、心悸、气短3月余,于2002年1月28日入院。
患者于2001年10月底开始出现活动后心悸、气短,同时伴咳嗽,咯少量白痰。2001年11月20日在当地医院查纯蛋白衍生物(PPD)“+++”,胸部CT示双侧胸腔积液、少量心包积液,考虑为“结核性胸腔积液、心包积液”,于2001年12月1日开始抗结核治疗。20天后加用泼尼松30 mg /日及利尿剂治疗,但上述情况无明显改善。患者自起病以来无发热、盗汗、乏力、胸痛等症状,无夜间阵发性呼吸困难。胃纳好,体重无明显改变。
既往史 1995年患卵巢畸胎瘤行手术切除,1996年行剖腹产。个人史 不吸烟不嗜酒。配偶曾于1997年患结核,经正规治疗后已痊愈。家族史 家族中无遗传性疾病史。
, http://www.100md.com 入院时查体 T:36.5℃ , P:96次/分,R:20次/分,BP:100/60 mmHg。肢体无水肿,无紫绀及杵状指。舌头及齿龈外观无异常,颈静脉无怒张。胸廓形状正常,双下肺叩诊浊音,听诊呼吸音减低,双肺未闻及干、湿罗音。心界向左下扩大,心尖搏动位于左第5肋间隙锁骨中线外1 cm,心率96次/分,律齐,各瓣膜听诊区未闻及病理性杂音及异常心音。腹平软,无压痛,肝脾肋下未及,无移动性浊音。脊柱四肢无畸形,各关节活动如常,无红肿或压痛。
入院诊断 双侧胸腔积液、心包积液原因待查
诊疗经过 入院后继续抗结核治疗,同时予利尿,对症祛痰、止咳治疗。泼尼松15 mg /日逐渐减量。间断行胸腔穿刺引流。2002年2月26日停用抗结核药。
辅助检查结果如下:血常规:WBC 8.5×109/L,中性( GR) 69%~84%, 血红蛋白(HGB) 10.8 g/dl, 血小板(PLT) 359 ×109/L。尿常规正常。24小时尿蛋白定量0.13 g。血沉 3 mm/1h。C反应蛋白(CRP )
, 百拇医药
头颅及双侧髋关节X线检查:未见骨质破坏或其他异常。
心电图(ECG):肢导低电压,V2-V3导联呈QS型,各导联ST-T正常。
超声心动图:左心室均匀性肥厚,室间隔与左室后壁增厚,心肌内可见颗粒样闪光点。左室收缩功能减低,左室射血分数(LVEF):45%。少量心包积液,局限于左室面。
支气管镜检查:双侧主支气管远段以下各级支气管黏膜充血,左主支气管黏膜充血尤为明显,触之易出血。(见图2)
直肠黏膜活检:结肠黏膜慢性炎症,刚果红染色(-)。
腹壁脂肪活检:脂肪组织,可见淀粉样物灶性沉积,高锰酸钾处理后刚果红染色(+)。
病例讨论
, 百拇医药
留永健医师(呼吸科):该例患者的基本临床特点为:青年女性,病程4个月。咳嗽、气短。双下肺叩浊,呼吸音低,双肺底细湿罗音,心界增大。胸部X线(CXR)及CT:双侧胸腔积液,心包积液,肺瘀血。痰少,无发热盗汗,血象不高。胸水为漏出液(TPP/TPB15mm的患者预后较差。治疗上应针对原发病,心脏方面可采取对症支持治疗。
回顾北京协和医院1985-1997年病历资料,共有32例原发性淀粉样变,均经病理证实(其中2例经尸检证实)。其中13例心脏淀粉样变(男女比11∶2),年龄36~68岁,血压90~106/50~70 mmHg,12例UCG示心室肥厚、颗粒样闪光点、射血分数(EF)降低、舒张功能减低,9例ECG低电压,6例心律失常,9例心衰(充血性心衰为主),有6例于2~24个月内死亡(死因有心衰、心源性猝死、肺栓塞)。
焦力医师(血液科):本例患者由临床表现及腹壁脂肪活检的结果来看,淀粉样变性的诊断成立。
, 百拇医药
淀粉样变性是一个累及全身多个系统、多脏器的病变。淀粉样物质纤维、蛋白在身体一个或多个部位的沉积,造成了所受累脏器的表现异常。临床上消化系统受累的几率比较高,舌、胃、肠及肝脾均可以被累及;另外肾脏也是比较容易受累的部位。再次是心脏、肺、神经系统,皮肤甚至内分泌系统都可以受累。有资料表明,淀粉样变性的患者中,1/3的病人可出现肾脏受累,最终造成肾功能衰竭;近20%的患者出现充血性心力衰竭。淀粉样变在临床上分几大类:1)原因不明的原发性淀粉样变性;2)继发性淀粉样变性;3)家族遗传性淀粉样变性;4)老年性淀粉样变性;5)透析相关性的淀粉样变性。继发淀粉样变性中一大类是继发于恶性浆细胞疾病,如常见的多发性骨髓瘤(MM)、巨球蛋白血症、重链病。虽然淀粉样变性是一种累及多个系统的病变,但在继发的淀粉样变性中以肝、脾、肾、肾上腺受累多见,而继发心脏淀粉样变少见。
从本例患者临床资料来看,没有巨球蛋白血症、重链病的相关证据,故诊断上可不考虑。患者为年轻女性,尿中出现单克隆轻链,但骨髓中浆细胞比例仅轻度增高不到15%,且无幼稚浆细胞,无骨骼破坏及其他MM改变,故不考虑继发于MM。临床上还有一些疾病也可出现淀粉样变性,如结核、骨髓炎等慢性感染,以及炎症性疾病如类风湿性关节炎、Crohn病、溃疡性结肠炎等。从目前各项检查资料来看本例患者没有这些继发性因素,因此诊断上考虑为原发性淀粉样变,以心脏病变为主要表现。
, 百拇医药
淀粉样变的组织活检应首选腹壁脂肪活检。腹壁脂肪活检阳性率是最高的,国外资料报道在80%以上,有的甚至高于90%。而直肠黏膜活检阳性率为60%~70%。本例患者就是腹壁脂肪阳性而直肠黏膜阴性。除此之外还有骨髓、齿龈等部位亦可做活检。
最后诊断:
心脏淀粉样变性(AL型)
充血性心力衰竭
双侧胸腔积液、心包积液
点 评
呼吸科李龙芸教授:
该患者从发病到明确诊断经历了一个曲折的过程。入院时有心包积液、胸腔积液,诊断上首先从常见病考虑。本例患者有明确的结核接触史,且CT提示肝内有多发钙化灶,故需排除结核的可能。正如留医师分析的那样,本例结核病的可能性小。超声心动检查为诊断提供了重要线索。淀粉样变不是一个常见病,随着诊断技术及医师经验的增多,人们对这种疾病的认识也逐渐提高。, 百拇医药


