双侧胸腔积液、心包积液
![]() |
![]() |
病历摘要
患者女性,31岁,因咳嗽、咯痰、心悸、气短3月余,于2002年1月28日入院。
患者于2001年10月底开始出现活动后心悸、气短,同时伴咳嗽,咯少量白痰。2001年11月20日在当地医院查纯蛋白衍生物(PPD)“+++”,胸部CT示双侧胸腔积液、少量心包积液,考虑为“结核性胸腔积液、心包积液”,于2001年12月1日开始抗结核治疗。20天后加用泼尼松30 mg /日及利尿剂治疗,但上述情况无明显改善。患者自起病以来无发热、盗汗、乏力、胸痛等症状,无夜间阵发性呼吸困难。胃纳好,体重无明显改变。
既往史 1995年患卵巢畸胎瘤行手术切除,1996年行剖腹产。个人史 不吸烟不嗜酒。配偶曾于1997年患结核,经正规治疗后已痊愈。家族史 家族中无遗传性疾病史。
入院时查体 T:36.5℃ , P:96次/分,R:20次/分,BP:100/60 mmHg。肢体无水肿,无紫绀及杵状指。舌头及齿龈外观无异常,颈静脉无怒张。胸廓形状正常,双下肺叩诊浊音,听诊呼吸音减低,双肺未闻及干、湿罗音。心界向左下扩大,心尖搏动位于左第5肋间隙锁骨中线外1 cm,心率96次/分,律齐,各瓣膜听诊区未闻及病理性杂音及异常心音。腹平软,无压痛,肝脾肋下未及,无移动性浊音。脊柱四肢无畸形,各关节活动如常,无红肿或压痛。
, 百拇医药
入院诊断 双侧胸腔积液、心包积液原因待查
诊疗经过 入院后继续抗结核治疗,同时予利尿,对症祛痰、止咳治疗。泼尼松15 mg /日逐渐减量。间断行胸腔穿刺引流。2002年2月26日停用抗结核药。
辅助检查结果如下:血常规:WBC 8.5×109/L,中性( GR) 69%~84%, 血红蛋白(HGB) 10.8 g/dl, 血小板(PLT) 359 ×109/L。尿常规正常。24小时尿蛋白定量0.13 g。血沉 3 mm/1h。C反应蛋白(CRP ) < 8 mg/L。血生化:总蛋白(TP) 5.7 g/dl,白蛋白(ALB) 3.9 g/dl,丙氨酸转氨酶(ALT) 10 U/L,天冬氨酸转氨酶(AST) 17 U/L,乳酸脱氢酶(LDH) 212 U/L,碱性磷酸酶(ALP) 38 U/L,γ谷酰基转移酶(GGT) 14 U/L, 肌酐(Cr) 0.8 mg/dl,尿素氮(BUN) 14 mg/dl,肌酸磷酸激酶(CPK) 47 U/L,肌钙蛋白I(TnI) 0.587 ng/ml。血浆蛋白电泳:白蛋白 53.5%;球蛋白α1 4.20%, α2 16.70%, β 13.90%, γ 11.70%。血Ig定量: IgG 5.62 g/L, IgA 0.72 g/L,IgM 0.79 g/L。血免疫电泳未见异常;尿免疫电泳:κ轻链< 1.85 mg/dl ,λ轻链 32.9mg/dl(正常< 5 mg/dl)。血β2-微球蛋白(MG)1.8 μg/ml (1.5~2.7 μg/ml);尿β2-MG 29.0 ng/L (99.8±66 ng/L)。血清抗核抗体(ANA) 、抗可提取核抗原(抗-ENA)抗体谱、类风湿因子(RF)、抗嗜中性细胞胞质抗体(ANCA)均为阴性。血结核杆菌抗体(TB-Ab)阴性。PPD(5U)试验阴性。多次痰培养及痰涂片找抗酸杆菌均为阴性。
, http://www.100md.com
胸腔积液化验:无色清亮,有核细胞总数
180/mm3,单个核细胞 占96 %,蛋白1.0~1.3 g/dl,LDH 36 U/L,糖 126 mg/dl。
骨髓涂片:粒系各阶段比例及形态大致正常。红细胞大小不等。淋巴细胞比例减低,形态大致正常。单核细胞比例形态正常。浆细胞比例增高占6%,形态大致正常。巨核细胞及血小板不少。
胸部X线检查:双侧胸腔积液,肺纹理模糊,心影略增大。
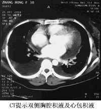
胸腹部CT:肺纹理增粗模糊,右侧液气胸,左侧少量胸腔积液;心包积液。肝内多发钙化灶,脾稍大。(见图1)
头颅及双侧髋关节X线检查:未见骨质破坏或其他异常。
心电图(ECG):肢导低电压,V2-V3导联呈QS型,各导联ST-T正常。
, http://www.100md.com
超声心动图:左心室均匀性肥厚,室间隔与左室后壁增厚,心肌内可见颗粒样闪光点。左室收缩功能减低,左室射血分数(LVEF):45%。少量心包积液,局限于左室面。
支气管镜检查:双侧主支气管远段以下各级支气管黏膜充血,左主支气管黏膜充血尤为明显,触之易出血。(见图2)
直肠黏膜活检:结肠黏膜慢性炎症,刚果红染色(-)。
腹壁脂肪活检:脂肪组织,可见淀粉样物灶性沉积,高锰酸钾处理后刚果红染色(+)。
病例讨论
留永健医师(呼吸科):该例患者的基本临床特点为:青年女性,病程4个月。咳嗽、气短。双下肺叩浊,呼吸音低,双肺底细湿罗音,心界增大。胸部X线(CXR)及CT:双侧胸腔积液,心包积液,肺瘀血。痰少,无发热盗汗,血象不高。胸水为漏出液(TPP/TPB< 0.5,LDHP/LDHB< 0.6,LDHP< 270×2/3)。抗结核治疗无效。
, 百拇医药
患者入院前一直按照结核性胸膜炎治疗,鉴别诊断首先考虑到的是有关结核的问题。支持点主要是有接触史,曾经PPD试验阳性。而除此之外没有发热盗汗等中毒症状,血沉(ESR) 2~3mm/hr,反复痰抗酸染色(-),血清和胸腔积液中抗TB-Ab(-),胸片未见新鲜或陈旧结核病灶,胸水性质为漏出液,正规抗痨治疗无效。所以可以排除结核性胸膜炎,仍然回到漏出性胸腔积液进行分析。漏出液的发生机制有:毛细血管静水压↑、血浆胶体渗透压↓、胸膜腔内压力↓、腹水通过膈肌上的小孔进入胸膜腔,以及淋巴引流受阻。临床常见情况包括:充血性心力衰竭、肝硬化、肾病综合征、肺不张、腹膜透析和粘液性水肿等。该例病人有气短、心动过速、肺底罗音,胸片和CT提示肺淤血,超声心动检查证实左室收缩功能减低。因此充血性心力衰竭诊断成立。至于心衰的原因,心脏彩超为弥漫性心肌病变,而且提示心脏淀粉样变的可能性大。进一步检查血免疫电泳正常,但是尿免疫电泳见λ轻链明显升高。骨髓涂片检查排除了多发性骨髓瘤(MM),但仍有浆细胞比例偏高。腹壁脂肪活检最终发现有淀粉样物质沉积,刚果红染色阳性。至此基本上可以确诊轻链型淀粉样变(AL)。目前评价重要脏器的受累情况主要为心脏淀粉样变,已经有充血性心力衰竭表现。肾脏方面:尿沉渣检查、24小时尿蛋白、血和尿β2-MG、血清肌酐(SCr)及肌酐清除率(CCr)均未见异常。肝脏方面:转氨酶、胆红素、ALB、PT、ALP均正常,影像学提示脾稍大,无腹水。神经系统尚未有受累表现。
, http://www.100md.com
查阅新近文献,最近几年国外对AL型淀粉样变的治疗有很大进展。从理论上说清除异常的浆细胞就能够切断异常轻链的来源,而在实践已有好几组研究采用大剂量化疗加自体外周血干细胞移植来治疗AL型淀粉样变,疗效超过以往任何疗法。我们这例病人是不是也可以采取比马法兰更积极的治疗措施?
曾勇医师(心内科):根据目前的临床和实验室资料,该患者可确诊为心脏淀粉样变。心脏淀粉样变的诊断依据:心脏受累的临床表现(不能用其他原因解释的心力衰竭,心律失常例如不明原因房颤、传导阻滞);心电图低电压;超声心动图(UCG)的典型表现(有室间隔肥厚及颗粒样回声的敏感性87%,如有房间隔肥厚则特异性100%);免疫球蛋白、血尿蛋白电泳、骨髓等相关检查的异常表现;组织活检(齿龈、直肠、腹壁脂肪、心肌)有淀粉样物质沉积,刚果红染色(+)。
原发性和MM并发的淀粉样变均可累及心脏,表现为浸润性心肌病,舒张功能减低,晚期可有收缩功能障碍、心律失常传导阻滞及瓣膜功能障碍。心脏淀粉样变预后及治疗:25%~34%有充血性心衰的患者,平均生存期4月,也有存活5年以上者,相对来说LVEF降低,右室扩大,室间隔肥厚>15mm的患者预后较差。治疗上应针对原发病,心脏方面可采取对症支持治疗。
, 百拇医药
回顾北京协和医院1985-1997年病历资料,共有32例原发性淀粉样变,均经病理证实(其中2例经尸检证实)。其中13例心脏淀粉样变(男女比11∶2),年龄36~68岁,血压90~106/50~70 mmHg,12例UCG示心室肥厚、颗粒样闪光点、射血分数(EF)降低、舒张功能减低,9例ECG低电压,6例心律失常,9例心衰(充血性心衰为主),有6例于2~24个月内死亡(死因有心衰、心源性猝死、肺栓塞)。
焦力医师(血液科):本例患者由临床表现及腹壁脂肪活检的结果来看,淀粉样变性的诊断成立。
淀粉样变性是一个累及全身多个系统、多脏器的病变。淀粉样物质纤维、蛋白在身体一个或多个部位的沉积,造成了所受累脏器的表现异常。临床上消化系统受累的几率比较高,舌、胃、肠及肝脾均可以被累及;另外肾脏也是比较容易受累的部位。再次是心脏、肺、神经系统,皮肤甚至内分泌系统都可以受累。有资料表明,淀粉样变性的患者中,1/3的病人可出现肾脏受累,最终造成肾功能衰竭;近20%的患者出现充血性心力衰竭。淀粉样变在临床上分几大类:1)原因不明的原发性淀粉样变性;2)继发性淀粉样变性;3)家族遗传性淀粉样变性;4)老年性淀粉样变性;5)透析相关性的淀粉样变性。继发淀粉样变性中一大类是继发于恶性浆细胞疾病,如常见的多发性骨髓瘤(MM)、巨球蛋白血症、重链病。虽然淀粉样变性是一种累及多个系统的病变,但在继发的淀粉样变性中以肝、脾、肾、肾上腺受累多见,而继发心脏淀粉样变少见。
, 百拇医药
从本例患者临床资料来看,没有巨球蛋白血症、重链病的相关证据,故诊断上可不考虑。患者为年轻女性,尿中出现单克隆轻链,但骨髓中浆细胞比例仅轻度增高不到15%,且无幼稚浆细胞,无骨骼破坏及其他MM改变,故不考虑继发于MM。临床上还有一些疾病也可出现淀粉样变性,如结核、骨髓炎等慢性感染,以及炎症性疾病如类风湿性关节炎、Crohn病、溃疡性结肠炎等。从目前各项检查资料来看本例患者没有这些继发性因素,因此诊断上考虑为原发性淀粉样变,以心脏病变为主要表现。
淀粉样变的组织活检应首选腹壁脂肪活检。腹壁脂肪活检阳性率是最高的,国外资料报道在80%以上,有的甚至高于90%。而直肠黏膜活检阳性率为60%~70%。本例患者就是腹壁脂肪阳性而直肠黏膜阴性。除此之外还有骨髓、齿龈等部位亦可做活检。
最后诊断:
心脏淀粉样变性(AL型)
充血性心力衰竭
双侧胸腔积液、心包积液
点 评
呼吸科李龙芸教授:
该患者从发病到明确诊断经历了一个曲折的过程。入院时有心包积液、胸腔积液,诊断上首先从常见病考虑。本例患者有明确的结核接触史,且CT提示肝内有多发钙化灶,故需排除结核的可能。正如留医师分析的那样,本例结核病的可能性小。超声心动检查为诊断提供了重要线索。淀粉样变不是一个常见病,随着诊断技术及医师经验的增多,人们对这种疾病的认识也逐渐提高。 (留永健), 百拇医药(特约编委徐凯峰)
参见:首页 > 医疗版 > 疾病专题 > 呼吸内科 > 胸膜疾病 > 胸腔积液

