气胸、乳糜胸、双肺弥漫性病变
![]() |
![]() |
![]() |
![]() |
病历摘要
患者女性,28岁,因间断低热、咳嗽伴左侧胸痛、气短2个月,于2002年5月28日入院。
患者于2002年3月劳累后出现午后低热,体温在37.5℃~37.8℃,伴少量刺激性干咳。4天后无特殊诱因出现左侧胸部隐痛,深呼吸及平卧位时加重,且胸痛呈进行性加重。活动后感胸痛、气短。于当地医院经拍胸片、超声检查示“左侧胸腔积液”,予穿刺抽液,为粉红色乳糜样液体。考虑为“结核性胸腔积液”,给予抗结核治疗,同时加用泼尼松30 mg/日及对症治疗,半月后胸水无明显减少。患者自发病以来午睡时偶有盗汗,无明显乏力、纳差、咯血、消瘦、无夜间阵发性呼吸困难,体重无明显改变。
既往史 幼年时曾患“白癜风”,后治愈。2001年12月突发“左侧气胸”,经保守治疗后好转。个人史 无烟酒嗜好,未婚未育,月经史无异常。家族史 无遗传性疾病史。
, 百拇医药 入院查体 T 36.5℃,P 88次/分,R 20次/分,BP 100/60 mmHg。肢体无水肿,无紫绀及杵状指。颈静脉无怒张。全身浅表淋巴结未触及异常肿大。胸廓无畸形,左下肺叩诊浊音,听诊呼吸音低,双肺未闻及干、湿性罗音。心、腹检查未见明显异常。脊柱、四肢无畸形,各关节活动如常,无红肿或压痛。
入院诊断 左侧胸腔积液原因待查
诊疗经过 患者入院后予胸腔穿刺抽液及对症治疗,经专科讨论考虑为肺淋巴管肌瘤病(LAM)的可能性大,考虑在手术结扎胸导管的同时行肺活检以进一步确诊。患者于6月14日接受全麻下开胸手术,结扎胸导管,滑石粉胸膜表面涂抹以达到胸膜粘连的目的,并行肺活检。术中见双肺弥漫性小泡状改变,组织水肿,经病理检查确诊为LAM。
胸腔积液检查:淡粉色乳糜样,有核细胞总数900/mm3,白细胞50/mm3,比重1.038,蛋白10.2 g/dl,乳酸脱氢酶(LDH) 64 U/L,葡萄糖(GLU )141 mg/dl,胆固醇(CHO) 80 mg/dl,甘油三酯(TG) 235 mg/dl,乳糜试验(+),普通细菌培养(-),镜下见大量淋巴细胞、间皮细胞,未见瘤细胞。
, http://www.100md.com
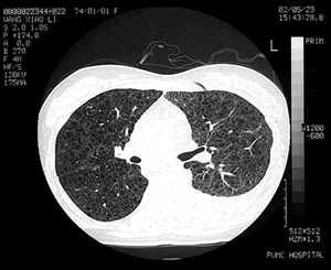
图1 胸部高分辨CT(HRCT)显示双肺弥漫性薄壁囊状改变及左侧胸腔积液
胸部高分辨CT(HRCT):双肺纹增多,紊乱,双肺弥漫性薄壁囊泡样改变(见图1)。超声心动图:少量心包积液, 腹部B超:肝、胆、胰、脾、双肾均未见异常。核素淋巴显像:考虑左侧乳糜胸为胸导管上段有瘘道进入胸腔。肺功能:一秒钟用力呼气量占预计值百分数(
FEV1%pred )42.3%;最大肺活量占预计值百分数(FVC% pred)69.5%;一秒量占最大肺活量百分数(FEV1/FVC)53.0%;残气容积占预计值百分数(RV%pred)166%;肺总量占预计值百分数(TCL%pred)94.6%; 残气量占肺总量百分数(RV/TLC%)173%。气道可逆试验改善11.8%,一氧化碳弥散量(DLCO) 20.6%。提示:混合性通气功能障碍,弥散功能障碍。
血气分析(不吸氧状态):pH 7.43,PO2 72.9
, http://www.100md.com
mmHg,PCO2 31.3 mmHg, 碱剩余(BE)-2.7,HCO3- 20.8 mmol/L。
病例讨论
总结本例有如下特点:⑴女性,28岁。⑵因低热、咳嗽、左胸痛入院。⑶左侧气胸一次。⑷左侧乳糜胸(见图2)。⑸胸部HRCT示双肺弥漫性薄壁囊性改变。这些临床特点强烈提示LAM的可能。患者在入院前主要的临床发现为乳糜胸,临床医师忽视了气胸史,普通CT上也未发现双肺的囊性改变。因此当时诊治的重点为乳糜胸,并给予了抗结核治疗。
图2
显示左侧胸腔积液
LAM是乳糜胸的一个罕见原因。在北京协和医院,除特发性乳糜胸外,乳糜胸的主要原因为创伤性及结核(见表1),其他原因如淋巴瘤及丝虫病等也要注意。本例在鉴别诊断时需要仔细考虑这些疾病的可能。但由于同时合并双肺弥漫性囊状病变及气胸史,诊断的天平明显地指向罕见疾病LAM。双肺弥漫性囊性病变也需要与一些疾病相别,如肺气肿、肺间质纤维化(蜂窝肺)、囊性支气管扩张、组织细胞增生症X,及肺囊性纤维化等。根据病史及临床特点,鉴别起来并不难。HRCT在区分这些病变的特点时有突出的优势,对于了解病变类型,分布及特征很有帮助。
, 百拇医药
表1 北京协和医院乳糜胸的病因分布
部位
例数
外伤
医源 性
淋巴 瘤
其他
肿瘤
TB
淋巴
管病
其他
先天 性
, 百拇医药
原因
不明
1922-1989
乳糜胸
13
1
6
-
-
2
-
1
(白塞病)
-
, http://www.100md.com
3
乳糜
胸腹
8
-
2
2
-
1
2
-
-
1
1990-2000
, 百拇医药
乳糜胸
16
2
2
-
-
3
1
1
(上腔静脉炎)
2
5
乳糜
胸腹
, 百拇医药
8
-
-
-
2
2
-
1
(肝性)
1
2
合计
-
45
, 百拇医药
3
10
2
2
8
3
3
3
11
LAM是一种原因不明的弥漫性肺部疾病,主要病理改变为肺间质、支气管、血管和淋巴管内出现未成熟的平滑肌异常增生。临床上有如下特点:⑴几乎所有的病例均为育龄期妇女;⑵自发性气胸 ;⑶乳糜胸,气胸和乳糜胸可反复发生;⑷部分病人有少量咯血;⑸慢性进展的呼吸困难;⑹肺功能显示阻塞或混合性通气功能障碍,部分病人可逆试验阳性,残气量增加。血气提示有低氧血症。⑺HRCT示双肺弥漫性囊性改变。⑻肺外可有肾或腹膜后等病变。⑼开胸肺活检可确定诊断。与黑色素瘤相关的HMB 45抗体阳性为LAM的标记性抗体。雌激素受体(ER)及孕激素受体(PR)常为阳性。
, 百拇医药
本例提示我们,对于有气胸、乳糜胸的病人,需要作胸部HRCT进一步了解肺部病变,除外有无肺气肿、肺大疱、结核、肿瘤等。如果发现囊性改变,应考虑LAM的可能。
LAM的治疗目前尚无成熟的意见,由于病例数少,很难进行临床研究来确定某一种治疗的效果。目前一般认为LAM与雌激素有一定的相关性。治疗方面有如下选择:⑴孕激素治疗⑵双侧卵巢切除⑶三苯氧胺治疗⑷减少雌激素释放的激素。但这些治疗方法的效果目前尚缺乏足够的证据。病情严重者可考虑肺移植。其他支持治疗包括:氧疗,如果肺功能可逆试验阳性,可给予β2受体兴奋剂;用肺炎及流感疫苗等预防肺部感染。
LAM的生存时间大约在10~20年。对于妊娠问题,肺功能正常者,妊娠的风险不大;而肺功能下降者则应避免妊娠。
在因特网上,有一些专门介绍LAM的网站。其中较为常用的包括美国的LAM基金会(http://lam.uc.edu)及英国的LAM Trust (http :// www. lam trust.co.uk)。为病人及医护人员提供有关LAM的信息和支持。
, 百拇医药
在本例病例确诊后,于6月25日对本例再次进行会诊讨论。
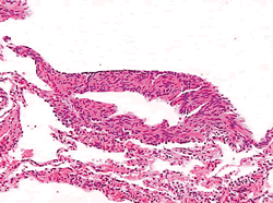
刘鸿瑞教授(病理科):肺活检标本肉眼见肺膜表面多个隆起,直径0.1~0.2 cm,切面见肺为多囊状,直径0.1~0.5 cm,囊内壁光滑。镜下(图3)见肺组织呈囊状,可见部分正常肺泡及扩张肺泡,肺泡间隔有丰富的梭形、长核、胞浆丰富的平滑肌样的细胞。免疫组化示LAM的标记抗体HMB45(+)(图4),PR(+),ER(-)。病理特征符合LAM,可确诊。
图3 肺组织病理显示扩张的淋巴管及异常增生的平滑肌
图4 LAM的标记抗体HMB-45在增生的平滑肌细胞染色阳性
林守清教授(妇科内分泌):通过回顾性病史询问(可靠性要差一些),该患者出现气胸及乳糜胸均发生在月经周期,提示本例疾病加重与雌激素水平有关。患者在上中学时即有活动耐力下降,提示病程已经较长。根据文献资料,LAM的治疗需要针对雌激素治疗,但尚无确切的依据。对于本例,在对妇科内分泌系统干预之前,宜先观察至少2个月经周期。在第一个周期,测量其基础体温及填写临床症状日记,了解呼吸道症状出现的规律。在第二个周期,选择几个时间点测定雌孕激素的水平及其变化。在第三个周期再考虑干预方法。对于这样一个年轻女性病人,治疗将首先考虑大剂量孕激素疗法,如妇康或安宫黄体酮,也可选用孕激素受体拮抗剂咪啡司酮。卵巢切除不作为首选,可放在后面考虑。由于本例病理示ER阴性,抗雌激素治疗疗效可能要差一些。而且三苯氧胺对子宫内膜也有一定影响,暂不考虑。
, 百拇医药
朱元珏教授(呼吸科):LAM较为罕见,但其临床表现如咯血、气胸、乳糜胸和呼吸困难在日常工作中经常碰到。LAM的HRCT有特征性改变,相信大家看过本例之后印象深刻。希望呼吸科医师一定要养成习惯,自己读片,而不仅仅是看放射科出的报告。LAM的囊状改变与小气道平滑肌增生后阻塞气道导致远端扩张有关,没有明显的肺间质改变。文献报道,LAM在肺移植后供体肺还可出现LAM的表现,因此,在其发病机制完全揭示之前,临床上的治疗较为困难。
点 评
本次再次推出一个罕见病是希望大家能从其诊治过程得到启发。本病表现为常见病,却是罕见病。病人在入院前经过一系列的检查和治疗,并按结核性胸膜炎治疗。在入院后,病房主管医师虽然没有诊断LAM的经验,但很快做出了正确的判断并经病理证实。其中有两点需要注意:⑴平时的鉴别诊断面要广,如本例是一个典型的LAM病例:育龄期女性/气胸/乳糜胸/双肺囊性改变,其诊断已经呼之欲出。LAM虽然罕见,大家没有什么经验,但由于平时在鉴别诊断中经常提起它,因此在理论上对它并不陌生,所以获得了迅速诊断。⑵HRCT的价值。由于本例在普通CT上不易觉察到典型的薄壁囊泡样改变,而在HRCT下却十分明显。对于任何怀疑肺气肿/肺大疱的病变,HRCT应更有优势,而且本例的肺功能提示残气量增加,在选择CT时应申请HRCT。对于这一病例的治疗,林教授也做了很好的讨论。由于目前的治疗方法并无确切依据,根据每个病人的基础状况选择治疗方案十分重要。而对于这样一个少见病,病人间以及病人和专业人士间的互相支持也很重要,因特网为此提供了很好的工具。
陈燕 徐凯峰, http://www.100md.com



