腺病毒肺炎
![]() |
![]() |
【概述】
1958年以来我国各地相继证实,腺病毒除引起上呼吸道感染外,还可引致小儿肺炎,多见于6个月至2岁的婴幼儿腺病毒肺炎最为危重,尤以北方各省多见,病情严重者也较南方为多。华北、东北及西北于1958年冬及1963年冬有较大规模的腺病毒肺炎流行,病情极其严重。
【诊断】
应根据流行情况,结合临床进行诊断。典型婴幼儿腺病毒肺炎早期与一般细菌性肺炎不同之处为:①大多数病例起病时或起病不久即有持续性高热,经抗生素治疗无效;②自第3~6病日出现嗜睡、萎靡等神经症状,嗜睡有时与烦躁交替出现,面色苍白发灰,肝肿大显著,以后易见心力衰竭、惊厥等合并症。上述症状提示腺病毒肺炎不但涉及呼吸道,其他系统也受影响;③肺部体征出现较迟,一般在第3~5病日以后方出现湿性罗音,病变面积逐渐增大,易有叩诊浊音及呼吸音减低,喘憋于发病第二周日渐严重;④白细胞总数较低,绝大多数病儿不超过12×109/L(12000/mm3),中性粒细胞不超过70%,中性粒细胞的碱性磷酸酶及四唑氮蓝染色较化脓性细菌感染时数值明显低下,但如并发化脓性细菌感染则又上升;⑤X线检查肺部可有较大片状阴影,以左下为最多见。总之,在此病流行季节遇有婴幼儿发生较严重的肺炎,且X线和血象也比较符合时,即可作出初步诊断。有条件的单位,可进行病毒的快速诊断。目前可进行免疫荧光技术(间接法较直接法更为适用)、酶联免疫吸附试验及特异性IgM测定,唯此三种方法均不能对腺病毒进行分型,是其不足之处。而常规咽拭子病毒分离及双份血清抗体检查,只适用于实验室作为回顾诊断。
, 百拇医药
【治疗措施】
一般治疗参阅支气管肺炎治疗节,下面重点介绍近年临床实践中所得体会。①抗病毒药物尚待大力研究。以三氮唑核苷治疗腺病毒肺炎,滴鼻效果不明显;改用静脉和/或肌注,在早期病例较对照组为优,晚期病例则效果不明显(北京儿童医院与医科院药物研究所,1978~1980);雾化吸入治疗的研究有待进行。②注意继发细菌感染的防治。如初步断定有继发感染即应积极治疗,例如金黄色葡萄球菌感染用新型青霉素、先锋霉素等;大肠杆菌用氨基苄青霉素等治疗。③用氯丙嗪、异丙嗪等镇静、解痉、止喘。④用洋地黄剂控制心力衰竭。⑤输血、输血浆或应用丙种球蛋白,可能起到支持作用。⑥正确输氧及输液,如处理恰当,能帮助病儿渡过极期。⑦肾上腺皮质激素曾试用于早期病人,未见疗效;但遇明显呼吸道梗阻、严重中毒症状(惊厥、昏迷、休克、40.6℃以上的持续高热等)则宜静脉应用暂短的激素疗法。⑧特异马血清治疗。1961~1964年对抗3、7型腺病毒马血清临床疗效进行了观察,结论不一。1973年后对此血清又改进了工艺,提高了效价,在吉林、黑龙江等省应用,认为具有降温快、症状消失早、后遗少的作用,取得了较好的疗效(白求恩医大儿科及长春生物制品研究所等)。但1976年以后几年的制品较易引起血清病。⑨在恢复期中,如肺部体征消失迟缓,宜作物理治疗。
, 百拇医药
中医疗法 对腺病毒肺炎的治疗,早期以宣肺清热解毒为主,中期加用涤痰豁痰,重症极期扶正救逆。根据中医研究院蒲辅周老大夫的经验肺炎是外感性疾病,不限于温病范围,包括风寒暑湿诸类。肺炎病的重点始终在肺,重者可以影响其他脏腑。治疗分正治法和救逆法两种,其治则为邪实当宜宣肺祛邪,正虚救逆须用育阴、回阳、气液两补等法,即正治以宣肺透表为主,救逆以随证论治为要。具体归纳为八法及病后调理一项。(1)解表法:风热犯肺以桑菊饮套葱豉汤加减,若热甚则合银翘散加减 ;风寒袭肺,以杏苏散和葱鼓汤加减;暑邪,以香薷饮加减。(2)表里双解法:表寒里热以麻杏石甘汤加味;外寒内热,曾用小青龙加石膏汤,若内饮不重,咽间有痰,作水鸡声,舌淡或微红,脉浮数,治以射干麻黄汤;表陷里寒,治宜桂枝厚朴杏仁汤;表陷里热用葛根芩连汤加味;表陷结胸用小陷胸汤套瓜蒌薤白汤加减。(3)通阳利湿法:湿邪以千金苇茎汤加味;若湿热闭肺,神昏,身有白则以薏苡竹叶散治之。(4)清热养阴法:气虚热闭乃以西洋参3g扶正,用牛黄散5g匀分五次服;若正虚入营 ,则以清营解毒之剂,佐以宣闭;余热未尽,以竹叶石膏汤加减;暑伤肺气,仿王氏清暑宜气法加减。(5)降气豁痰法:气逆而喘,宜苏子降气汤加减;肝气上逆,宜旋覆代赭石汤加味。(6)扶正开闭法病久,肺气已虚,邪闭尚甚,宜用玉竹、远志、粳米、大枣、诃子,补益肺气以扶正;若肺闭甚,可佐焦麻黄少许,并选用杏仁、生石膏、桔梗、葱白之类,攻补兼施以开闭。(7)固阴降逆法:火逆而喘,宜麦门冬汤加减;气液两伤,宜生麦散加味;阴液枯竭,宜三甲复脉汤加味;久病伤阴,宜大小定风珠加减。(8)回阳救逆法:用参附汤或姜附汤加味频频饮之。此外病后调理:脾胃不调,以二陈汤加味;脾胃不调虚满者,治以厚朴生姜半夏甘草人参汤;病后虚烦,治以栀子豉汤;中虚气陷,用补中宜气汤加减。
, 百拇医药
70年代以来观察到重症腺病毒肺炎有DIC表现,北京友谊医院等加用活血化瘀药物,对防治DIC有一定作用,用药为当归、赤芍、川芎、鸡血藤、水蛭、虻虫、黄芪等。
【病因学】
已知腺病毒有41个血清型别,其中很多与人类上、下呼吸道感染密切有关。从我国北方和南方各地住院病儿的病原学观察,均证明3型和7型腺病毒为腺病毒肺炎的主要病原。从咽拭子、粪便或死后肺组织可以分离出病毒,恢复期血清抗体滴度较早期(发病5~10天或更早)上升4倍以上。在一部分麻疹并发肺炎的严重病例,也得到同样的病原学检查结果。北京等地还发现11型腺病毒也是肺炎和上呼吸道感染的较常见的病原(儿科研究所,1964~1966)。此外,21、14及1、2、5、6等型亦在我国大陆逐渐出现,台湾则以1、2、5、6型为主。最近白求恩医大对1976~1988年分离的3、7型腺病毒,进行了基因组型的分析,证明7b多导致重症肺炎。
腺病毒是DNA病毒,主要在细胞核内繁殖,耐温、耐酸、耐脂溶剂的能力较强,除了咽、结合膜及淋巴组织外,还在肠道繁殖。可根据其对特殊动物红细胞的凝集能力分为3组,容易引起婴幼儿肺炎的3、7、11、14、21这一组,均能凝集猴红细胞。
, 百拇医药
【病理改变】
病灶性或融合性坏死性肺浸润和支气管炎为本病主要病变。肺炎实化可占据一叶的全部,以左肺下叶最多见。肺切面上从实化区可挤压出黄白色坏死物构成的管型样物,实化以外的肺组织多有明显的气肿。镜检所见病变,以支气管炎及支气管周围炎为中心,炎症常进展成坏死,渗出物充满整个管腔,支气管周围的肺泡腔内也常有渗出物,大都为淋巴、单核细胞、浆液、纤维素,有时伴有出血,而中性白细胞则很少,肺泡壁也常见坏死。炎症区域的边缘可见支气管或肺泡上皮增生,在增生而肿大的上皮细胞核内常可见核内包涵体,其大小近似正常红细胞,境界清晰,染色偏嗜酸性或嗜两色性,其周围有一透明圈;核膜清楚,在核膜内面有少量的染色质堆积;但胞浆内无包涵体,也无多核巨细胞形成,因此,在形态学上可与麻疹病毒肺炎及肺型巨细胞包涵体病区别。此外,全身各脏器如中枢神经系统及心脏均有间质性炎症与小血管壁细胞增生反应。
【流行病学】
腺病毒一般通过呼吸道传染。在集体儿童机构中往往同时发生腺病毒上呼吸道感染及肺炎。人群血清学研究说明,生后最初数月常存留从母体传递的腺病毒特异抗体,此后一直到2岁抗体缺乏,2岁以后才逐渐增加。这与腺病毒肺炎80%发生在7~24月婴幼儿的临床观察完全符合。值得注意的是当地各年龄组易感人群数量越多,发生腺病毒呼吸道感染的人数就多,而婴幼儿发生腺病毒肺炎的机会也越大。腺病毒肺炎在我国北方多见于冬春两季,夏、秋季仅偶见,在广州的高流行年则多见于秋季。这类肺炎在北京约占病毒性肺炎的20%~30%。
, 百拇医药
【临床表现】
根据1959~1963年北京245例经病毒学证实的3、7型婴幼儿腺病毒肺炎的分析,其临床特点可概述如下。
1.症状
(1)起病:潜伏期3~8天。一般急骤发热,往往自第1~2日起即发生39℃以上的高热,至第3~4日多呈稽留或不规则的高热;3/5以上的病病例最高体温超过40℃。
(2)呼吸系统症状:大多数病儿自起病时即有咳嗽,往往表现为频咳或轻度阵咳,同时可见咽部充血,但鼻卡他症状较不明显。呼吸困难及发绀多数开始于第3~6日,逐渐加重;重症病例出现鼻翼扇动、三凹征、喘憋(具有喘息和憋气的梗阻性呼吸困难)及口唇指甲青紫。叩诊易得浊音;浊音部位伴有呼吸音减低,有时可听到管性呼吸音。初期听诊大都先有呼吸音粗或干罗音,湿罗音于发病第3~4日后出现,日渐加多,并经常有肺气肿征象。重症病儿可有胸膜反应或胸腔积液(多见于第2周),无继发感染者渗出液为草黄色,不混浊;有继发感染时则为混浊液,其白细胞数多超过10×109/L。
, 百拇医药
(3)神经系统症状:一般于发病3~4天以后出现嗜睡、萎靡等,有时烦躁与萎靡相交替。在严重病例中晚期出现半昏迷及惊厥。部分病儿头向后仰,颈部强直。除中毒性脑病外,尚有一部腺病毒所致的脑炎,故有时需作腰穿鉴别。
(4)循环系统症状:面色苍白较为常见,重者面色发灰。心律增快,轻症一般不超过每分钟160次,重症多在160~180次,有时达200次以上。心电图一般表现为窦性心动过速,重症病例有右心负荷增加和T波、ST段的改变及低电压,个别有1~2度房室传导阻滞,偶而出现肺性P波。重症病例的35.8%于发病第6~14日出现心力衰竭。肝脏逐渐肿大,可达肋下3~6cm,质较硬,少数也有脾肿大。
(5)消化系统症状:半数以上有轻度腹泻、呕吐,严重者常有腹胀。腹泻可能与腺病毒在肠道内繁殖有关,但在一部分病例也可能由于病情重、发高热而影响了消化功能。
(6)其他症状:可有卡他性结膜炎、红色丘疹、斑丘疹、猩红热样皮疹,扁桃体上石灰样小白点的出现率虽不高,也是本病早期比较特殊的体征。
, 百拇医药
2.X线检查
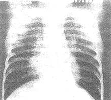
X线形态与病情、病期有密切关系。肺纹理增厚、模糊为腺病毒肺炎的早期表现。肺部实变多在发病第3~5天开始出现,可有大小不等的片状病灶或融合性病灶,以两肺下野及右上肺多见。发病后6~11天,其病灶密度随病情发展而增高,病变也增多,分布较广,互相融合。与大叶肺炎不同之处是,本病的病变不局限于某个肺叶。病变吸收大多数在第8~14天以后。有时若病变继续增多、病情增重,应疑有混合感染。肺气肿颇为多见,早期及极期无明显差异,为双侧弥漫性肺气肿或病灶周围性肺气肿(图1)。1/6病例可有胸膜改变,多在极期出现胸膜反应,或有积液。
图1 腺病毒肺炎,肺气肿
3岁,女孩。持续高热咳喘8天,咽拭子分离出Ⅶ型腺病毒。X线胸片显示右肺门增密,两肺内带纹理增厚粗多,右肺内带片状阴影,两下肺透亮度明显增高,两膈位于第10后肋水平,膈面弧度变平,为重度肺气肿表现
, 百拇医药
3.病程
本症根据呼吸系和中毒症状分为轻症及重症。热型不一致,多数稽留于39~40℃以上不退,其次为不规则发热,弛张热较少见。轻症一般在7~11日体温骤降,其他症状也较快消失,唯肺部阴影则需2~6周才能完全吸收。重症病例于第5~6病日以后每有明显嗜睡,面色苍白发灰,肝肿大显著,喘憋明显,肺有大片实变,部分病例有心力衰竭、惊厥、半昏迷。恢复者于第10~15日退热,骤退与渐退者各占半数,有时骤退后尚有发热余波,经1~2日后再下降至正常。肺部病变的恢复期更长,需1~4月之久,3~4个月后尚不吸收者多有肺不张,日后可能发展成支气管扩张。我们曾对3、7型腺病毒肺炎经过1~5年随访,30.1%有慢性肺炎、肺不张及个别支气管扩张。以后又对3、7、11型腺病毒肺炎109例进行10年远期随访,X线平片45.3%有肺间质增厚、纤维化和慢性支气管炎;慢性肺炎合并支气管扩张占3.8%;支气管扩张及慢性肺炎则各占4.7%。
学龄前期与学龄期儿童的腺病毒肺炎,一般均为轻症,常有持续高热,但呼吸及神经症状不重。麻疹并发或继发腺病毒肺炎时,则所有症状均较严重,病情常易突然恶化。
, 百拇医药
我们曾观察34例(1964~1980)11型腺病毒肺炎的临床表现,与3、7型腺病毒肺炎的症状无明显差异,但重症及死亡者与3型相似,而较7型者明显为少。
1~5月小婴儿腺病毒肺炎的临床特点:我们曾观察38例(3型20例,7型12例,11型6例,1981~1983),8例为毛细支气管炎,30例为肺炎,多为低度或中度发热,热程短,无肺部实变体征,胸片以小片阴影为主,萎靡、嗜睡等神经症状的发生较6月以上婴幼儿少且轻,临床上无法与呼吸道合胞病毒或副流感病毒肺炎区别,致使本组病例在病原学报告前无1例临床诊断为腺病毒肺炎。
【并发症】
在腺病毒肺炎病程中,可并发金黄色葡萄球菌、大肠杆菌、肺炎球菌、肺炎杆菌、绿脓杆菌等感染,以致病势更为严重。在腺病毒肺炎后期,以下几点常提示有继发细菌感染存在:①于发病10天左右病情不见好转,或一度减轻又复恶化;②痰变为黄色或淘米水色;③身体其他部位有化脓灶;④出现脓胸;⑤X线检查出现新的阴影;⑥白细胞计数增高以及中性粒细胞比例增高或核左移;⑦中性粒细胞的碱性磷酸酶或四唑 氮蓝染色数值增高。
, 百拇医药
在重症腺病毒肺炎的极期(第6~15病日),少数病例可并发弥漫性血管内凝血(DIC)尤其易发生在有继发细菌感染时,在DIC发生前均有微循环功能障碍,最初多仅限于呼吸道及胃肠道小量出血;以后可有肺、胃肠及皮肤广泛出血。本症经初筛试验、筛选试验及确定试验以肯定诊断。初筛试验以粪便潜血试验阳性及血小板计数减少为重要指标;肯定诊断则以血小板减少、纤维蛋白元降低、凝血酶原时间延长三项中两项异常或鱼精蛋白副凝试验(三P试验)、乙醇胶试验及优球蛋白溶解时间三项中一项异常为准。
长春白求恩医大发现重症病例或并发7型或3型腺病毒心肌炎者,以起病急、恢复快为特点。一般见于病程第2周早期,随着心肌缺氧、水肿的消除,其恢复较快。但由于合并心力衰竭,往往漏诊心肌炎;应重视突然出现苍白、多汗、呕吐、腹痛、心界扩大、心率变快或变慢,以及肝肿大等,常规作心电图及心肌酶检查以确定诊断。
【辅助检查】
白细胞总数在早期(第1~5日)大都减少或正常,约62%病例在10×109/L(10000/mm3)以下,36%在(10~15)×109/L(10000~15000/mm3),分类无何特殊改变,晚期白细胞数值与早期类似,唯有继发细菌感染时才升高。血涂片检查,中性粒细胞碱性磷酸酶及四唑氮蓝染色,一般较正常小儿或细菌性肺炎患儿为低,虽白细胞总数高达15000,但白细胞碱性磷酸酶指数仍明显降低。部分病儿血清冷凝集试验可为阳性。发热期间部分病例尿检查有少量蛋白。表现脑膜刺激症状的患儿中,脑脊液检查一般正常。
, http://www.100md.com
【鉴别诊断】
鉴别诊断特别应注意学龄前和学龄期儿童。腺病毒与支原体肺炎的临床表现几乎相同,都有高热,呼吸困难及嗜睡等症状均不太明显。但一般腺病毒肺炎均有体征,支原体肺炎有的只有X线阴影而无罗音等征或可助鉴别,而不少情况最后只能依靠实验室特异诊断。
5个月以下小婴儿腺病毒肺炎临床表现较婴幼儿腺病毒肺炎明显为轻,与呼吸道合胞病毒、副流感病毒所致肺炎无法鉴别,只有靠快速诊断或病原诊断。
【预防】
3、4、7型腺病毒口服减毒活疫苗经国外小规模应用已证明有预防效果,但尚未大规模生产和应用。流行期间,特别在病房,应尽力隔离,以预防交叉感染;在地段工作中多做婴幼儿上感的家庭治疗,在托幼机构要特别注意早期隔离及避免患感冒的保育员继续担任护理工作,以减少传播机会。
【预后】
在我国北方腺病毒肺炎的病情严重,1958年初次大流行时,住院病人病死率高达25%,经中西医结合治疗后,病死率降至5%~10%。近10年来没有明显流行,有时北方的发病数甚至降至第二位(RSV肺炎为第一位),病情减轻,病死率为5%以下。流行时死亡大多发生在病程第10~15日,影响预后的主要因素是:①年龄幼小缺乏特异抗体,死亡多发生于6~18月儿童,2岁以上者几乎没有死亡;②如并发或继发于麻疹、一般肺炎或其他重症的过程中,病死率较高,继发金黄色葡萄球菌或大肠杆菌等感染时预后也较严重;③一般7型腺病毒与3型、11型所致肺炎比较,重症及死亡者较多。, http://www.100md.com

