食管裂孔疝(外科)
![]() |
![]() |
![]() |
![]() |
![]() |
![]() |
【概述】
食管由后纵隔通过膈肌后部的孔进入腹腔,此孔称为食管裂孔。胃贲门部及食管腹段或腹腔内脏经此裂孔及其旁突入胸腔,称为食管裂孔疝(hiatal hernias).裂孔疝和返流性食管炎可同时,也可分别存在,认训并区别此二者,对临床工作十分重要。
【诊断】
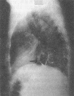
病人来门诊时,主诉有典型的症状,如灼心及反酸,或有不典型症状如喉头异物感、声嘶哑、癔球症、吐酸水、胸痛、阵发性咳嗽。哮喘和吸入性肺炎及其他非溃疡性消化不良症状,应考虑返流性食管炎的诊断。如给予 抗酸治疗能缓解症状,则大致可以确诊。为证实诊断,应作食管镜检查及24hpH监测。X线检查:内腔镜检查为诊断食管裂孔疝的主要方法。钡餐检查最为常用,但需用手法帮助才能显示出疝。令患者左侧卧位,头低,当胃内充满钡剂后,以手压迫腹部,令患者用力摒气,此时可出现裂孔疝指征:膈下食管段(腹段)变短增宽或消失,贲门部呈现幕状向上牵引,膈上可见胃囊(图1、2),膈上出现食管胃狭窄环(Schatzki环形狭窄),此环相当于鳞状上皮和柱状上皮交界处(图3)。有食管狭窄时,粘膜变形,管腔缩窄。短食管时则膈上有粗大的胃粘膜,食管胃交界点因瘢痕收缩可上升至第9胸椎水平。作钡餐检查时,用以刺激返流的手法中,以Muller手法比较有效(呼气后关闭声门,再用力吸气以增加胸内负压,促使胃内钡剂反入食管);有人用“饮水”方法;让病人喝水入胃,与钡剂相混合,然后挤压腹部。在有条件的医院,应将上胃造影做成录像带,以便反复检查。多数人认为有裂孔疝时不一定有X线上的返流征象;而有返流征象时不一定有裂孔疝。有幕状牵引者是否诊断为裂孔疝,意见尚不一致。正常食管壶腹不应误认为裂孔疝,弥漫性食管痉挛可以发生裂孔疝和胃液返流征象。硬皮病和贲门失弛缓症时食管缺乏蠕动功能,也要和裂孔疝相区别。如发现食管有机械性缩窄,应作多方面观察。以区别新生物、溃疡性良性缩窄或食管动力性疾病,一般认为,放射科医生关于缩窄原因的报告只能作为诊断时的参考,对每位病人必须有组织学诊断。
, 百拇医药
图1 食管裂孔疝X线
钡剂造影:胃粘膜呈幕状牵引
图2 食管裂孔疝X线
钡剂造影:膈上见胃囊
图3 食管裂孔疝
X线钡餐造影:Schatzki环上移,胃粘膜上牵
内腔镜是诊断食管裂孔疝仅次于放射学检查的方法。纤维胃镜较金属硬管镜检查时安全、痛苦小,并可同时检查胃和十二指肠,以排除引起胃压升高的因素,且可多次使用,检查方便。如有裂孔疝时可见食管下括约肌松弛,呼气和吸气时均呈开放状态。正常情况下吸气时食管胃交界点下降,如有疝则不变位,食管镜内出现胃液的水平较正常时高。如为返流性食管炎时,通过胃镜可观察到红斑、溃疡的数目、尝试及其排列情况,溃疡出血,粘膜糜料及缩穿等。如果经过呼吸周期而贲门呈开放状,这是返流的另一指征。如病人主诉主要是吞咽困难,应用于“丁”字手法,从下面观察贲门,也许可以排除早期癌在此区的存在,将胃镜后退到食管。细心地逐步检查十分重要。如发现食管缩窄及严重食管炎,或怀疑有Barrett柱状上皮,应作多处活检,食管溃疡也可以发生恶性变。当不能排除癌,则使用金属硬镜作深部活检以明确诊断。
, 百拇医药
对某些食管缩窄的病例,在初次作内腔镜检查时,可进一步明确诊断及观察扩张的疗效。如怀疑返流,或发现裂孔疝而无返流症状,放射造影也无返流征象,应考虑行食管功能检查。当病人的主诉是吞咽困难时,钡餐造影和内腔镜检查优于食管功能试验;当吞咽困难不是一个主要症状,钡餐检查双阴性,则首先考虑作食管功能试验,明确诊断后也许避免作内腔镜检查。
食管功能检查可在门诊完成,包括食管测压、标准酸返流检查、利用pH电极放在食管内作酸清除试验和酸灌注试验。对较复杂的病例,可住院作长时24hpH监测和连续测压,以提供更多的资料。
食管测压:食管腔内压在不同平面同时测量时,可提供食管运动参数。近年来,国内研制出多导微气囊式测压法,更为简便、安全,可重复使用,食管炎时下段食管蠕动幅度低、无蠕动或蠕动不正常,正常时2.67kPa(20mmHg)为高太带,低于1.33kPa(10mmHg)时易发生胃液返流。压力测量可以鉴别心肌梗死、胆道疾病引起的不典型疼痛。
, 百拇医药
标准酸返流试验:向胃内注入0.1mol/LHCL150~300ml,缓慢拉电极。电极置于下食管高压区上5cm处。测量5、10和15cm不同点的pH值。同时配合Valsala手法(声门关闭强行呼气,以增加胸内压力)和 Muller手法9呼气后关闭声用力吸气,增加胸内负压及改变体位,诱发胃食管返流),pH<4持续5min以上为阳性。此检查对临床其他方法诊断不确切时很有帮助。正确时胃内pH值为1~4,高压区食管内pH值为5~7。如用pH电极测量自胃至食管下括约肌2cm以内,pH值自2~2.4变为6.5~7.0时,说明贲门功能正常。
酸清除试验:pH电极仍放在高压区以上5cm处,将15cmml0.1mol/L HCL经导管近端注入食管中段,要求病人每隔30s吞咽一次,以排除食管内的酸液,记录pH会晤上升到5以上所需的吞咽次数。正常人在10次以下。此方法不能证实有无胃液返流,而只说明食管炎的严重程度。
, 百拇医药 酸液灌注试验:如返流症状不明显,可使用此法检查。导管仍放在食管中段,其近端放在病人后面,以Y形管连接两个静脉液瓶。一瓶装0.1mol/LHCL液,另一瓶含生理盐水。每瓶液体分别灌注约10min,病人对灌注的反应由观察者记录。如灌注酸液引起自发性返流症状,而生理盐水无反应。阳性酸液灌注试验说明病人的症状是由酸性返流引起,而非食管运动障碍所致 。
长时pH监测法:以前作过食管手术的病人,合并其他疾病者,怀疑有返流引起吸入性肺炎或患“心绞痛”的病人,为其使用24hpH连续监测可提供宝贵的诊断资料。作系列标准的食管功能试验测定后,pH电极留在远段食管高压区上面5cm处,连接电极于条幅式图表仪,经pH计量器作记录。24h内记录病人的活动和症状。在这段时间内病人正常进食,但限制水分和食物品种,使其pH值>5。返流发作的次数可以在仰卧和直立两个体位,根据发作频率和时间长短作数量测定。当pH值高于7,可定为碱性返流。目前认为24hpH监测是诊断胃食管返流最可靠和最敏感的方法。可以连续记录10、12、24h食管pH值的变化。检测指标有:①24hpH<4的次数;②pH<4占总时间的百分率;③pH<4超过5min的次数;④最长酸暴露时间。这些测出的数值可与正常人作对照,即可作出胃食管返流的诊断。最新一代24h食管pH、压力同步记录仅,受检者完全在正常的生理状态下,现国内已研制生产。
, 百拇医药
近年来,用超声波检查食管胃贲门部,测量食管腹段的长度,对诊断较小的裂孔疝,较之钡餐X线检查更为有效。
用磁共振检查食管旁疝,能较清晰地判断出疝内容的性质。
【治疗措施】
大多数滑动型食管裂孔疝症状较微,国人轻、中度食管炎多见,这些病人应先作内科治疗。可服制酸剂,调节饮食,避免腹部压力升高的活动,睡眠时取高枕位、左侧卧位等措施。如返流性食管炎已发展到Ⅲ级,为避免出现食管狭窄,应考虑手术。食管旁疝不管有否症状都应及早手术治疗;混合型裂孔疝也应手术治疗,以避免并发胃梗阻和纹窄。
关于返流性食管炎的内科治疗,如用抗酸药、藻酸或抗酸复方药均可缓解症状,使炎症减轻,但多数采用H2受体阻滞剂,其疗效比较肯定。对重症病例,奥美拉唑(洛赛克)优于常规剂量的雷尼替丁。所有抗酸药虽有近期疗效,但并不能改变其自然病程,停药后复发率较高。因此,最终还需要作疝修补及抗酸的手术治疗。
, 百拇医药
1.手术适应证与禁忌证 外科治疗食管裂孔疝主要考虑其解剖缺损本身。食管旁疝、混合型裂孔疝和多器官裂孔疝可能并发胃壁或其他疝出的腹内脏器钳闭或绞窄,由于巨大疝内容物挤压肺脏,尽管无明显症状,也应及早手术。无症状的滑动型裂孔疝只在门疹随诊,不必手术。有返流性食管炎的滑动型裂孔疝,在其发展到溃疡型食管炎、食管缩窄或出血,或由于返流引起肺部反复感染,应考虑手术治疗。关于柱状上皮覆盖的食管。为预防癌变,也有人主张手术。 手术禁忌证:有急性感染,严重心肺功能衰竭和肝、肾功能损害的病例和晚期癌症病人均禁忌手术。食管裂孔疝多发手在老年男性,年龄本身不是一个手术禁忌证,除非有明显的衰老体征。
2.手术方法选择 治疗裂孔疝与返流性食管炎的手术应包括修补松弛的食管裂孔,延长并固定膈下食管段,重建抗反酸的活瓣机制几个步骤。
治疗返流性食管炎及其并发症的方法较多,选用何种手术要根据具体病人和外科医生的情况而定。选择手术方法前必须考虑的因素包括:胸部或是腹部径路手术不利;病人是否有过抗返流的手术史;是否需要切除食管或作食管肌层切开;以及病人体质如何?
, 百拇医药
外科实践说明,对广泛和严重食管炎病人,胸部径路有利于游离食管及容易作胃底操作;以前作过抗酸手术由于游离食管不免而失败需再作手术的病人,应采用胸部径路。在肥胖的病例,经鹏切口暴露较充分,较昂扬 处理合并的肺部或纵隔疾病。食管炎已被控制又不太肥胖的病人,作第一次抗酸操作时,可采用腹部途径。合并有需作手术的腹部疾病时,也可经腹径路。修补食管旁疝多经胸部或腹部徇私。
关于缝线,以前有人用过吸收缝线和耐酸的吸收缝线。目前,大多数外科医生采用不吸收缝线和无创不吸收缝线。
目前,为修被滑动型食管裂孔疝及纠正胃食管返流的手术有胃底折叠术、部分胃底折叠术、解剖性修补及使用韧带瓣修补等操作。
(1)胃底折叠术:1956年,Nissen报道了胃底折叠术,并于1963年报道其早期结果。1973年Rossetti报道其改良的胃底折叠术。Nissen称他的胃底折叠术为“瓣膜成形术”。用胃底完全包绕食管下段,并缝到食管右侧小弯侧。这样,胃内的正压传到围绕食管的这个新建的“衣领”并压迫食管。当胃内压力这种单向活瓣的功能使食物可以由食管进入胃内,但不可由胃返流入食管。此手术875病人的症状消失,手术死亡率为0.6%,术后疝与返流性食管炎复发率约1%。随着追诊时间的延长占10%~20%的病例术后并发综合征,是由病人咽下空气后不能将其喛出,在左上腹可心前区产生压迫感,特别是进食后,有时发展成明显的痛感。
, 百拇医药
Nissen手术还可经左下胸径路,对于肥胖的病人,或已经用腥部途径作过疝修补失败再次要求手术的病人最适宜;它还特别适合于因广泛瘢痕继发痉挛导致短食管的病例。术后临床观察、X线造影、食管测压及pH监测的资料分析,证实胸内的胃底折叠术同样产生有效的瓣膜成形效果,也同样使食管下括约肌的静止压恢复到正常值。
①Nissen胃底折叠术(经腹径路):术前改善病人的营养状态,矫正水、电解质失调,按全麻要求作坟前准备,有肺部疾病者术前用抗生素控制炎症2周后才考虑手术。病人取平仰位,脊椎垫高,在全麻下手术。经上腹正中开腹。
手术步骤:切开腹膜后,判断滑动型裂孔疝的疝出程度,按术前安置入胃内的大号胃管方向找出食管下段走向。切开肝三角韧带将左肝叶拉向内侧,横行切开食管胃接合部上面的腹膜。伸延切口,在左侧切断胃膈韧带和它与胃脾韧带的结合部分,在右侧打开大网膜囊后,分开胃肝韧带的上部。所遇到的胃左动脉、胃短动脉和膈动脉的各个分支要牢固结扎,以免出血。向上推开腹膜、结缔组织和膈食管膜,游离4~6cm下段食管,小心避免损伤迷走神经。用食管布带套过食管胃拼命部,向下牵拉。
, 百拇医药
此操作应特别轻巧,返流性食管炎造成食管下段后壁及其周围组织炎症水肿,组织脆弱,粘连严重,分离时易受损伤,而其前壁病变较轻,不易分破。为避免损伤炎症较轻的后壁,可用右手食指触及腹主动脉的搏动及胸椎前面,借凭胃管的走向,正确判断食管后壁与周围组织的关系。如无严重食管炎,迷走神经后支也可分离开,以免以后被包裹在内。将胃底后壁由左向右方向,在下段食管后拉过,到达右侧时,此后壁只包裹住食管而非近段胃。第一针缝线穿过胃底前壁,食管下段的肌层和粘膜下层及胃底后壁。将此缝线拉紧,如在胃底包裹与食管(内有大号胃管)之间可通一食指,说明松紧度合适,则可结气缝线。然后在其下安置另一根,在其下安置另二根缝线,但均不穿过食管壁,再检查此包裹的松紧度。有些外科医生建议将全部胃底缝线均穿过食管壁防止食管下段在此胃底包裹中上下滑动。为稳定此胃底包裹,再用2~3根缝线,将其下缝固于胃前壁。关腹后,在拔除气管插管前,拔除大号胃管,换以鼻管供术后减压。此手术不包括缝缩裂也的操作。
②Nissen胃底折叠术(经胸径路):病人右侧卧位,在全麻下经左第6肋间作后外侧切口进胸。术前经鼻腔将大号胃管插入胃内供作辨别食管下段及防止胃底包裹食管下段太紧。
, http://www.100md.com
手术步骤;进胸后切断左下肺韧带,切开食管左侧的纵隔胸膜,暴露并用食管带拉起食管下段。向前上方向拉起食管,分开覆盖疝囊及裂孔的胸膜,位于胸膜下面的膈食管膜(韧带)连接腹内筋内膜和胸内筋膜,从前面外侧将其切开,以推开腹膜反折部及腹膜后脂肪,使贲门部从其附着组织游离开,结扎上升到迷走神经外侧的胃左动脉的分支,将贲门拉入胸腔内,结扎在肝胃韧带上部内的胃左动脉分支,分开胃左动脉的食管支,保留迷走神经的肝脏支。在左侧分离、结扎和切断胃短动脉,完全游离胃底。将肋放回腹腔内,以便暴露形成裂孔的两个膈脚,一般用三根间断缝线,足以缝缩扩大的裂孔。此三根缝线留在以后结扎。如为短食管病例,难以将此包裹放入腹腔内,结扎两膈脚的三根缝线。再次检查胃底包裹的松紧度。连续缝线闭合纵隔胸膜,左下胸置胸膜引流管,分层关胸。术毕,用普通鼻胃羞辱管换去大号胃管。
③Rossetti改良式胃底折叠术:此改良式的胃底折叠术是用胃底的前壁折叠包裹食管下段。目前大多数外科医生常用此改良式代替Nissen的技术。有限地用胃底前壁作胃底折叠术的优点是保存小网膜及胃近段的后腹膜固定处。此术还保存迷走神经的肝支,完整的后腹膜固定可保证胃体部分不会疝入胃底的包裹内。但以前作过选择性近段迷走神经切断术的病例,其小网膜已被分离和胃已作过游离时,只能作Nissen胃底折叠术。
, 百拇医药
手术步骤:患者仰卧位,在全麻下做上腹正中切口。部腹后横行切开覆盖食管胃结合部的腹膜,向左侧延长,切断胃脾韧带结扎胃短动脉,完全游离胃底,用食管带套并向外下方荦拉,将一部分胃底前壁在食管后面拉向右侧(在右侧肝胃韧带的最上部分只切开1cm,保留肝和肝幽门的迷走神经分支;此外,胃底后壁不与腹膜粘连处分开),一般只有1~2cm,长的胃底前壁可以用手指在食管后顶到右侧。另一折叠瓣选自靠大弯侧稍远段水平的胃底前壁。如叠瓣仍不足以作折叠,可游离大弯侧。将两折叠的胃底前壁靠拢,确信包裹后无可通食指。在两折叠的前壁安排三根间断缝线,不穿过胃底壁,只穿过胃底的浆肌层。在第三根缝线下再安置一根缝线,并穿过折又靓层与胃浆膜结合处的结缔组织,用胃底前壁围绕食管腹段360°,将其包裹。必须认真检查此包裹下缘于胃前壁。此改良式不作缝缩裂孔的操作。
(2)部分胃底折叠术——术180°部分胃底折叠术;各种180°的部分胃底折叠术仍被采用,它们之间 的区别取决于将胃底固定于食管的前面或其外侧面。此外,采取各种措施,以减少裂孔的滑动及支持食管腹段在腹腔内。
, 百拇医药
①180°前侧部分胃底折叠术:患者仰卧位,在全麻下,经上腹正中切口进腹。探查后,横行切开覆盖胃食管拼命部的腹膜,向左伸延切断胃膈韧带达脾韧带。右侧不需伸延切口,以保迷走神经的肝支。钝性推开膈食管膜,暴露稍多于半圆周的腹段食管。迷走神经留在食管前壁,将食管带套住食管并向外下方向牵拉,游离4~6cm长的下段食管。下一步操作是在后面缝缩裂孔,使能通过食管(内有大号胃管)和一食指。有人不建议作为此术的一个常规操作,也有人认为在食管前面缝缩裂孔较为安全,因靠近中心腱处的膈肌较发达,缝线较牢固,不易撕裂。用3~4根缝线将4~6cm长游离的胃底前壁缝固于食管左侧。最下的缝线要穿过贲门的腹膜反折部,最上的缝线则穿过裂孔的边缘。以3~4根缝线再将胃底前壁绕过食管前壁,缝于食管右侧壁,最上一根同时穿过裂孔边缘,最下一根穿过贲门的腹膜反折部。拔去大号胃管后关腹,不需做腹腔引流。②180°外侧部分胃底折叠术(胃后固定术):1961年Hill等设想一个增强下部食管括约肌作疝修补的设想。1967年报告149例手术结果无死亡率,也无疝复发,仅4例(3%)有症状,疑为食管炎未愈或复发。术后,大部分病人经测压检查,其食管下括约肌的静止压接近或恢复正常。HILL手术是经腹腔径路,将疝复位并游离远段食管。在食管内后方将膈肌脚缝合,使扩大的裂孔缩小;将食管胃拼命部膈食管组织的前、后束缝固于腹主动脉前的内侧弓状韧带上。此方法保留较长一段食管腹内段,使其能接受腹腔正压的影响。此后,逐渐进行改变:将胃底内缘折叠缝到腹段食管左侧(外侧部分胃底折叠术),缝到腹段右侧壁(前侧部分胃底折叠术),缝到内侧弓状韧带上(220°部分胃底折叠术)。如果内侧弓状韧带发育欠佳,将胃底前壁缝到裂孔的内侧缘,将腹段食管喜笑颜开。③270°部分胃底折叠术:此术通常称为4型(MarkⅣ)抗反流修补术。在50年代早期,Belsey曾设计过三种抗反流的手术操作,但均失败。第一种手术与Allison为纠正反流的操作相似,即缩短和重新缝固膈食管膜(韧带)于食管壁;MarkⅡ是过渡到环绕食管作胃底折叠术概念的一种操作;MarkⅢ是在胃底和食管之间作三层折叠缝线,在膈下将胃底覆盖5~6cm长一段食管,能有效防止反流,但术后并发吞咽困难较常见。MarkⅣ修补术取消了第三排折叠缝线,使被包盖的食管腹段,既能接受胃壁均匀的压力,防止反流,又不至于使此段食管过长,影响食物通过。此手术独特之处是经胸径路,将疝复位,用三根间断缝线在食管后缝合膈肌脚,缩窄扩大的裂孔;用二层垫式(可带垫片)缝线,将胃底壁折叠,包在远端的食管前面及两侧面,争取保留3~4cm长。远端食管留在膈下,使其能接受胃内压力的影响及恢复食管下括约肌抗反流的功能。由于胃底只包盖食管3/4圆周的面积,1/4圆周未被覆盖,大的食团通过时,食管可相应扩张,故此术后较少并发吞咽困难。(3)解剖学修补食管胃拼命部:解剖学修补术包括裂孔成形术、胃底膈肌固定和Lortat-Jacob抗返流术,这些操作的目的是希望恢复食管胃拼命部的政党解剖而防止裂孔疝的发生。①裂孔成形术:此术是经腹径路将裂孔牵拉,而不需切开覆盖食管腹段的腹膜。凭预先插入胃内的鼻胃管辨认出腹段食管及裂孔。用2~3根丝线穿过食管前面的裂孔边缘,外科医生用食指伸入裂孔前缘和食管之间,然后将缝线抽紧打扣,食指可自由出入说明松紧度适宜。此术是将食管向后推移,而在其前缝缩裂孔。②胃底膈肌固定术:此术适应于Ⅱ~Ⅲ级胃食管返流患者,经严格内科治疗半年无效,病程已超过1年,症状严重。目前有些医院仍使用此术,作为主要的抗返流操作,并在80%的病例获取满意的疗效。手术前准备:①上胃肠道造影显示和胃与相邻器官的关系及食管胃接合部的形态改变。②上胃肠道内腔镜检查,以便了解返流性食管炎的分级并排除食管、胃、十二指肠的其他病变。③倿管测压,记录食管运动功能障碍情况和食管下括约肌受损程度。④pH监测返流引起食管内酸度的变化。⑤术前插入大号胃管。手术步骤:患者仰卧位,腰部垫高,头高足低位。在全麻下经上腹正中切口进腹。将胃拉向下,拉开肝左叶及脾和结肠左曲,充分暴露胃底及食管接合部。将胃底沿斜向左上的方向缝固于膈肌腹面。第一根缝线距腹段食约0.5~1cm ,相距1~2cm再做4根缝线,膈肌缝线之间的距离较胃底的稍宽,使胃底壁稍张开造成张力。术毕用普通鼻胃减压管转换大号胃管,关腹。此手术操作比较简单,但术中要避免损伤食管和脾脏。少数病例在术中或术后早期并发膈神经刺激症,也有些病例出现胸腔积液。约6%病例术后返流症状不缓解或复发,药物治疗无效时可再次手术,拆除胃底固定缝线,做胃底折叠术。③Lortat-Jacob抗返流术:患者仰卧位在全麻下经上腹正中切口进腹。切开食管腹段前面的腹膜,小心游离食管胃接合部,以食管带套住,拉向左前以暴露裂孔脚。用3根底与食管腹段左侧壁缝合,消灭Miss脚:再将胃底缝固于膈肌。(4)韧带瓣修补:用病人本身的组织或人工材料将裂孔疝复位后固定于膈下,由于疗效差,已极少应用。①大网膜瓣固定术:从大网膜左侧部分取一长条带血管蒂网膜瓣,将其环绕食管胃接合部,造成围脖状,使食管腹段拉回腹腔内固定。②肝圆韧带瓣固定术:从脐部到剑突水平,游离3cm宽的腹膜,将肝圆韧带和镰状韧带瓣,将其缝固于胃底内侧及缝盖食管腹段。(5)Anceichick抗返流环:预防胃食管返流可借助假体,用一个硅胶环套住贲门部,它的作用是缓冲胃内升高的压力,但远期疗效较差,大多数人不主张应用。手术适应证:食管炎Ⅲ~Ⅳ级,又有高危险性的病人;胃底折叠术失败,作矫正手术。手术操作:游离贲门及食管后3cm,小心保护迷走神经外支。暴露裂孔,将疝复位,不需游离胃底。将硅胶环套住贲门部,在前面将环带结扎。用手指检查松紧,一般可容一食指即可,不需额外缝线固定。术后如发现症状复发,发现硅胶环移位时,应再次手术修正蚀的病例,必须拆除抗返流环,改用改良的胃底折叠术覆盖缺损。(6)胃底折叠的术后并发症:胃底食管折叠包绕食管过紧,必将妨碍食物团通过及产生“气胀综合征”;喛气受限,腹胀和哽噎,上腹不适或疼痛。松开此折叠的包囊并非易事,修补更难,故术中必须认真检查折叠打扣后过紧外,术前也可安置带气囊的胃肠减压管,使其囊跨于贲门部,进行术前、术中食管下括约肌区测压,进行压力监测。如松紧度合适,压力保持在5.33kPa(40mmHg)。压力超过5.33kPa(40mmHg),应拆除部分缝线;平均压低于5.33kPa(40mmHg),应再加强折叠包埋。折叠术后症状复发多因缝线脱落,线扣松开或撕裂。一般不必急于再次手术,应先用药物治疗。如果缝线完全松开,并发Ⅲ、Ⅳ级返流性食管炎症状,药物难以控制时,应再次手术修补,扎紧松开的缝线或重新安排缝线,也可以考虑用环状假体,套住贲门部。由于折叠 太松且所形成的包裹未将胃前壁固定,胃贲门部较易向上滑出包裹外,使返流症状复发(望远镜式滑出)。手术修补困难,胃底折叠术后,约1%~3%病例并发胃溃疡,主要位于近段胃,由于局部缺血和机械性创伤所致。最早可在术后1周出现,钡餐检查较易做出诊断,应及早给予药物治疗,也可用Angelchick抗返流环固定贲门部。(7)对修补滑动型疝和抗返流手术的评价:目前,解剖学的修补手术较前少用。经过近20年的随访,只有胃底折叠术和各种胃底部分折叠术能客观地缓解病理性胃食管返流,其有效率高达80%~90%。术后并发症发生率和术后死亡率几乎相同,而术后自发性和刺激性酸返流和食管下括约肌的压力测定,说明胃底折叠术较好,抗返流的效果也较胃底部分折叠术效佳;与术前测量水平相比,胃底折叠术较胃底部分折叠术再能增高食管下括约肌的压力;术后返流症状复发率在两种手术方法之间并无差别,随访随诊时间延长,复发率增高;术后下咽困难、打嗝和呕吐困难,“气胀综合征”在胃底折叠术后较常见。经过多年的临床实践,常用来修补滑动性食管裂孔疝及抗胃返流的手术有Blesey270°胃底折叠术、Nissen胃底折叠术及Hill均能使食管下括约肌功能得到恢复。Nissen术能更有效地控制食管返流,此术可经胸径路或腹径路完成;Belsey术较少并发术后“气胀综合征”,但此术只能经胸径路;Hill术能有效地控制胃食管返流,术后并发症较少,但只有腹径路,不适同时处理胸部的其他合并症。Belsey手术的最大优点是适用于以前做过腹部手术的病例,要同时处理合并其他胸部疾病者和合并食管运动功能障碍的病人,术后较少造成食管下段梗阻。随着内腔镜技术的发展,经腹腔镜作胃底折叠术及部分折叠术已有成功的报道。4.食管旁疝修补术 食管旁疝可以存在多年,病人只在饭后有上腹不适、恶心及轻度呼吸困难等症状。但是,由于它是解剖缺损造成,药物难以治愈,也因它可能引起许多危及生命的并发症,故即使无典型症状,也应手术修补。病人一旦出现胃肠道脏器钳闭坏死、大出血和梗阻症状,则需急诊手术处理。(1)治疗原则和选择手术途径:食管疝的手术治疗原则与一般疝修补术相同,即将疝出的内容物复位入腹腔,将其固定于腹内(腹壁或膈肌)缝缩扩大的裂孔开口,如有必要,还要切除疝囊。混合型裂孔疝的处理,如合并胃食管返流,在做食管疝修补后,应根据滑动型裂孔疝的具体情况作某种抗返流的手术。只有食管旁疝的病例,其食管下括约肌,固定于后纵隔及膈肌的组织结构均属正常,不应将其游离。否则,术后会合并滑动型疝。修补食管旁疝可经腹部或胸径路。腹径路提供更充分的暴露,更好地检查回纳入腹腔内的脏器,将其固定于腹腔内及缝缩扩大的裂孔,还能处理合并的疾病,如十二指肠溃疡和胆石病;经腹径路可详细检查贲门部结构,如发现食管下段位于膈下,仍牢固地固定于后纵隔,则可确信此为食管旁疝,而非混合型裂孔疝。如果是一个巨大的食管旁疝,估计与胸内脏器粘辻严重,合并有短食管,则选择胸径路,为避免术后疝复发或在胸内形成一个浆膜囊肿,应尽可能切除疝囊。(2)手术前准备:术前准备包括抗生素的应用,维持水、电解质平衡,营养支持,术前应安插18号鼻胃管持续吸引。由于胃部分或全胃已疝入腹腔,贲门部成角梗阻,术前胃肠减压常遇困难,应预防麻醉诱导时误吸。(3)手术操作;病人仰卧或右侧卧位,在全麻下手术,采用上腹正中切口或左第7肋间切口。①疝复位和裂孔修补;如经胸途径,进胸后先详细探查,有否胸内炎性积液及粘连,疝内的脏器有否穿孔或坏死。要严密保护胸腔免受污染。切开疝囊后,辨别疝内容是胃、结肠、脾还是大网膜或小肠。如是胃,应认清其旋转或滚动的形式,小心将疝出的脏器复位入腹内。如遇困难,先穿刺吸出胃内容,或作减压性胃造瘘术,术末可将其固定于前壁,既可固定胃又可代替术后胃肠性脏器(胃)的错闭或绞窄,引起溃疡而形成粘连,要倍加小心分离,扩大疝环,将疝内脏器复位之前,必须详细检查脏器有否受损,必要时做切除吻合或修补术。对胃的溃疡,如以往无溃疡病史,应考虑术中做胃镜检查,多处作活检,以排除恶变。将疝复位后,尽可能在低位切除及缝闭疝囊残余,送入腹爱含辛茹苦缝固于裂孔边。游离裂孔边缘后,用间断不吸引缝线(带垫片)缝缩扩大的裂孔。检查可通过一食指。如需同时作抗返流的手术,可在疝复位及处理疝囊后做Belsey术或Nissen疝修补术;如经腹径路,则作Hill胃后固定术或Nissen疝修补术。②胃固定术:Nissen胃固定术是经腹径路作食管旁疝(疝出的内容为胃)修补。进腹将疝内容复位后,用3~4根间断缝线在裂孔前外侧边缘缝缩裂孔,将胃底固定于膈肌外侧部并覆盖缝缩裂孔之缝合部。然后沿胃的纵轴将肋前壁缝固于前腹壁,以防贲门部滑动及预防胃旋转 。(4)术后处理:要特别注意的是避免病人在术后早期呕吐。为此,要保持胃肠减压管或胃造瘘管通畅,避免给吗啡,建议24h内,每6h给予三氟拉嗪10mg。这些病人术后均出现胃无张力,需胃肠减压1周,当恢复肠里面动及排气,可给茶水、肉汤、胶冻冰淇淋、水和淡生姜汽,避免给冰湛江或傏二氧化碳的饮料。一周后,逐步过渡到软食。5.食管消化性狭窄的外科治疗 食管胃接合部严重狭窄可由于原发性返流性疾病引起,也可因部分食管下段局部酸性产物造成。在后一种情况,食管下括约肌完整无损,例如Barrett综合征。消化性狭窄的治疗包括术前或术后食管狭窄段扩张术,继之作抗返流于术。如返流由于胃排空障碍引起,应考虑胃切除术,迷走神经切断或幽门成形术;如果少数食管短缩病例的病变较重,难以恢复食管腹段,则做膈上胃底折叠术或做食管的Collis胃管伸延式,以便在膈下能完成胃底折叠或胃底部分折叠术。严重食管下段消化性狭窄的病例,难以扩张或损伤较重,以前做过手术,甚至为预防癌变的Barrett食管,可考虑做狭窄段切除,以空肠或结肠作吻合,恢复通道。由于裂孔疝引起返流性食管炎,继而造成食管下段狭窄的病例,如能扩张并做胃后固定术或胃底折叠术,则可使狭窄及返流性食管炎均得到解决。单纯扩经术只能缓解吞咽困难,但扩张术后腐蚀性胃液很容易返流入食管,使食管炎症状复发。因此,扩张术后务必做疝修补及抗返流术。(1)Collis胃成形术:此术适用于下列情况:消化性食管下段狭窄合并食管短绝密件 病例,难以将胃底和食管腹段经腹径路做胃底折叠术;手术危险性较大的病例和外科医生缺乏做结肠或空肠代食管经验的情况下。病人右侧卧位,在全麻下经左侧第7或第8肋床做胸腹联合切口进胸。尽可能游离食管达主动脉弓水平,用食管带套起。如能将胃复纳入腹腔内,即做Belsey或Nissen疝修补术后结束手术。如不能将胃放回腹腔,应先安插大号胃管经食管时胃内,将管摔倒向小弯侧以作标志,用胃肠缝合器在胃管旁将食管与胃底之间切断缝合,形成5cm长的胃管,使食管延长。如有必要,可第二次用缝合器,再次延长3cm。检查缝合边缘,要详细止血。可经胃管注入亚甲蓝液,检查食管和胃底严密无漏。用胃底包绕新形成的远段食管做折叠术,将其送入腹腔内。暴露膈脚及弓状韧带,在新形成的Hiss角水平将胃小弯缝固于弓状韧带上。经膈脚在食管前缝缩裂孔,使其尚可容易通过食指。(2)Thal补片及Nissen胃底折叠术:消化性狭窄段有坚硬的环状瘢痕的病例,张力扩张继以疝修补术后,也有用狭窄复发。对这些病人,可采用That补片技术,将狭窄段纵行切开,用胃底做为移植片,补在切开的缺损部,浆膜面对食管腔内。一般在3周内浆膜面将被鳞状上片覆盖,也可在浆膜面上贴上一片游离皮片,可以加快愈合,减少挛缩,防止狭窄复发。That补片技术并不能预防胃食管返流,必须做胃底折叠术。经上述综合手术治疗的病人,有85%病例可长期治愈。【病因学】
, 百拇医药
形成食管裂孔疝的病因尚有争议,少数发病于幼年的患者有先天性发育障碍的因素,形成较大的食管裂孔和裂孔周围组织薄弱;近年来多认为后天性因素是主要的,与肥胖及慢性腹内压力升高有关。
【发病机理】
食管胃接合部的生理作用仍不太清楚,食管胃接合部功能健全时具有活瓣作用,液体或固体物咽下入胃,但不返流,只当打嗝或呕吐时,才能少量返流。保证此正常功能的因素有:①膈肌对食管的夹挤作用;②食管胃接合部粘膜皱襞的作用;③食管与胃底在解剖上呈锐角状相接;④腹内食管段参与了食管下段的瓣膜作用;⑤食管下段生理性高压区的内括约肌作用。 多数人认为上述因素第5项是防止返流的主要因素,附近的正常解剖关系对此有支持作用。防止胃液返流的作用受迷走神经的支配,切除迷走神经后此作用即消失。胃内压力增加时,胃液易返流入食管。
食管粘膜的鳞状上皮细胞对胃酸无抵抗力,长期受返流的胃酸侵蚀可引起返流性食管炎,轻者粘膜水肿和充血重者形成表浅溃疡,呈斑点分布或融合成片,粘膜下组织水肿,粘膜受损而为假膜覆盖,较易出血。炎症可浸透至肌层及纤维外膜,甚至累及纵隔,使组织增厚,变脆,附近淋巴结增大。在后期食管壁纤维化,瘢痕性狭窄,食管变短。在某些病例,可发现膈食管膜被牵拉至主动脉弓下,可达第9胸椎水平。
, http://www.100md.com
返流性食管炎的严重程度可因下列因素而异:胃液的返流量,返流液的酸度,存在时间长短和个体抵抗力的差异。返流性食管炎的病理改变多数是可以恢复的,矫正食管裂孔疝后,粘膜病变有可能修复。
【临床表现】
此型最常见,约占全部裂孔疝病例的90%。但是,如不合并胃食管裂孔开口的直径稍扩大,膈食管膜伸长变薄,使胃贲门能向上滑入裂孔,继而进入胸腔。覆盖裂孔及伸入食管壁的腹内肌膜并无缺损或裂缝,故此疝并无真正的疝囊。在钡餐检查时发现有此疝的大多数病例,其膈食管膜伸入到食管壁粘膜下层的部位仍在正常位置,即在食管胃接合部以上3~4cm(鳞状上皮细胞与柱状上皮细胞交界处),因而无胃食管返流症状。 较大的滑动型裂孔疝在病人休息状态下,即可在钡餐检查时发现,有一个>3cm的胃囊突入胸腔,常伴有没程度的胃食管返流每时征。手术中可发现这些病例的膈食管膜,其伸入食管壁的位置较正常人靠近胃食管接合部,这样低位的伸入,是否为先天性或后天性因素造成尚不清楚。
, 百拇医药
此疝较少见,约占全部裂孔疝的2%,但由于腹内脏器疝入胸腔,故有重要的临床意义。此疝的膈食管有缺损,通常在裂孔的左前方,偶尔在右后面。由于此缺损的存在,使腹膜能通过此缺损成为真正的疝囊,相邻的胃也通过此筋膜的缺损疝入胸腔(图4)。由于膈食管膜不能长期限制上移的胃,而且在部分时间胸腔压力低于腹腔压力,此缺损必然进行性扩大。在后期,全胃均可疝入胸腔,而贲门仍被膈食管膜部分固定在原处,幽门已向其靠近,胃可以发生旋转、扭转、梗阻和缩窄,胸胃扩张破裂,如延误诊治,任何一种并发症均可导致死亡(图5)。正由于上述原因,即使尚无明显症状的食管旁疝,也应考虑及早手术。
图4 食管旁疝
图5 食管旁疝全胃疝入胸腔
随着Ⅱ型疝的增大,膈食管膜通常变薄扩张的胃不断变形,向上拖拉胃贲门部,一旦使其疝出食管裂孔,达膈肌之上时,称为混合型食管裂孔疝(Ⅲ型)(图6)。有人认为,当多个腹部脏器,如结肠、小肠同时进入食管旁疝囊时,应称为多器官裂孔疝(Ⅳ型)。
, 百拇医药
图6 混合型裂孔疝
食管裂孔疝多见男性且年岁较大,其临床症状是由于胃食管返流或疝的并发症引起。滑动型裂孔(Ⅰ型)很少引起症状,只当合并病理性返流时才出现特殊症状;食管旁疝可以引起症状而无返流,症状是由并发症引起。食管旁疝病人的临床表现因疝内容不同而异,其共同的临床特点是进食时过早感染饱胀,大量进食后呕吐、上腹不适、吞咽困难、胸仙咯咯作响。吞咽困难是疝出的内脏从外侧压迫食管所致。疝入胸腔的内脏挤压肺脏并占据胸腔的一部分,可引起饭后咳嗽和呼吸困难。如并发疝内容物梗阻、纹窄、坏死或穿孔,则病人有休克和胃肠梗阻症状,严重者常可致死。
胃液返流表现为胸骨后不适和反酸,不适的部位自剑突下至咽喉部,重时有灼心感。症状可因玩耍、举重、用力大便而加重,进食或服用抗酸剂而缓解。
上腹痛的感觉常不典型,可能是急性食管挛引起。痛的性质与消化性胃和十二指肠溃疡、胆绞痛、心绞痛相似,要注意区别。裂孔疝的痛向下背部放射,甚至向上肢和下颌放射,可因吞咽活动而诱发,因热饮或饮酒而加重,如不能排除心绞痛时,应将病人先收入监测室进一步检查。胃液返流还可以引起咽痛,口腔灼绕感,甚至刺激声带而致声音嘶哑。
, http://www.100md.com
吞咽困难是胃液返流的一个常见症状。在某些病人可无食管炎,吞咽困难可能由于不同程度的食管痉挛或食管收缩欠佳造成。有食管炎的病人,当发展到明显缩窄时,吞咽困难只在进硬食时发现,吃热食、饮冷饮料或喝酒均可加重灼心感。随着食管缩窄的加重,返流至食管的胃液愈来愈少,灼心感也逐渐减轻。由弥漫性食管痉挛引起的吞咽困难与缩窄引起的不同,前者为阵发性,无论吃固体或液体食物运动功能障碍的病例,胃液返流始吞咽时有困难或感到颈部有肿块,常被误诊为癔球症。少数病人的吞咽困难因食管内有食物阻塞而滴水不入。
由胃液返流引起的误吸,常见于夜间仰卧位返流模式的病人,通常因咳嗽误吸而迫使病人苏醒。严重的误吸可引起肺脓肿、反复肺炎和支气管扩张症。早晨声哑是夜间误吸的另一个症状。胃液返流偶尔引起哮喘,引问题尚有争论。但是,一位哮喘病人可因胃液返流而更频繁地发作。
返流性食管炎引起出血不多见,溃疡型食管炎的出血可以是慢性小时,大便潜血阳性,可导致贫血;也可以是急性大量出血、呕血或黑便,导致出血性休克。大便出敌国的原因多由于食管弥漫性溃疡出血或由于在远端食管排列的胃粘膜区穿透性溃疡引起,这些病人急需手术治疗。
返流性食管炎病人常有胀气和喛气,系因患者为了抵抗返流不断咽吞气引起。
在儿童返流症状不明显,也可能由于他们不熟悉又不能正确叙说症状。但是,食管裂孔疝合并返流性食管炎常引起儿童发育不良,慢性贫血反复肺部感染并发症。, 百拇医药





