黄疸、肝脾大、贫血
![]() |
病历摘要
患者女性,47岁,因乏力1年余,皮肤黄染6个月,于2002年6月入院。
患者2001年3月出现无诱因乏力、盗汗,当地医院予尼尔雌醇5 mg /月治疗, 4月查WBC 3.1×109/L,HGB 105 g/L,PLT 102×109/L,5月骨穿示增生活跃,可见破骨细胞,未予特殊诊治;10月停用尼尔雌醇;12月出现皮肤巩膜黄染,伴皮肤瘙痒,腹围加大。当地医院查胆红素、转氨酶增高(见表2);HGB 82 g/L,网织红(Ret)3.5%;乙肝五项HBsAb(+)、HBcAb(+)。渐出现下肢水肿并逐渐蔓延至腰骶部,HGB降至49 g/L。2002年2月腹部CT示“肝脏弥漫性病变,脾大、腹水,少量心包、胸腔积液,胆囊结石”。曾在2家大医院住院,诊断不明,予输注红细胞悬液及白蛋白、利尿等治疗。1~2月间曾有间断发热,体温38℃以上,经抗炎治疗后体温降至正常。5月患者黄染加重,皮肤出现瘀斑,伴乏力、纳差、盗汗,为进一步诊治收入我院。
, 百拇医药
患者自发病以来精神、食欲、睡眠差。大便色深,10余次/天,尿色深黄,5天前发现终末血尿,半年内体重下降4 kg。既往史 20年前患“急性风湿热”;2000年10月因“宫颈癌”行“子宫附件全切术”,术前放疗2程,术后未行放化疗。婚育史: 4次自然流产后产1子、人流1次。
入院查体 体弱,活动困难,皮肤深度黄染,全身散在瘀斑,肝掌,浅表淋巴结未及肿大。双肺呼吸音略粗,未闻干湿罗音。心率108次/分,律齐,二尖瓣听诊区可闻3/6级收缩期杂音。腹膨隆,腹壁静脉显露,血流脐上向上、脐下向下,腹围89 cm,全腹无压痛、反跳痛。肝右肋下3 cm,质中,脾肋下4 cm,质硬,移动性浊音(+),肠鸣音活跃。双下肢可凹性水肿。
入院诊断 黄疸、贫血原因待查 宫颈癌术后
诊治经过 给予(1)保肝退黄治疗;(2)支持治疗:白蛋白、红细胞悬液等;(3)利尿;(4)补充叶酸、维生素B12、铁剂;(5)抗炎治疗:头孢曲松、氟康唑、去甲万古霉素、更昔洛韦等。以后加用泼尼松30 mg /日(1周后减为25 mg )。患者在用更昔洛韦1次后体温正常,一般情况明显好转,瘀斑减少,黄疸减轻,由入院时28.7 mg/L降至7.9 mg/L,血尿及血便、腹水、下肢水肿消失,7月19日病情缓解出院。
, 百拇医药
辅助检查 血常规(见表1)
表1 血常规
项目
WBC
×109/L
RBC
×1012/L
HGB
G/L
PLT
×109/L
Ret
, 百拇医药
%
日期
01-05-25
3.5
2.89
113
170
01-12-25
10.9
1.88
82
76
3.5
, 百拇医药
02-01-21
25.3
1.27
49
175
02-02-20
5.4
1.31
54
150
02-03-05
3.24
1.7
, 百拇医药
64
101
02-06-10
3.7
1.69
58
73
1.4
02-06-14
4.37
1.77
60
97
, 百拇医药
12
02-06-24
8.57
2.64
83
87
3.7
02-06-27
12.07
2.26
75
92
3.1
, 百拇医药
02-07-15
6.97
82
92
8.9
溶贫全套:抗人球蛋白、酸溶血和蔗糖水溶血试验均阴性。尿含铁血黄素(Rous)试验2次(-);
血浆游离血红蛋白正常,血清铁、转铁蛋白饱和度低,总铁结合力、血清铁蛋白正常;血清叶酸、红细胞叶酸降低;维生素B12正常。
骨髓像:增生活跃,M∶E=2.15∶1,粒系、红系各阶段比例及形态大致正常,红细胞体积稍大,巨核细胞及血小板不少,未见异常细胞及寄生虫;骨髓活检(-)。
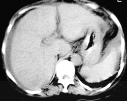
抗核抗体(ANA)、dsDNA、抗可溶性核抗体(ENA)、自身抗体均阴性;抗心磷脂抗体(ACL)(++++);狼疮抗凝物(LA)(-)。乙肝五项:HBcAb(+),余(-);IV型胶原>1000 ng/mL(正常值<140);抗结核抗体(-);PT+A∶1∶1正浆纠正实验:纠正前凝血酶原时间(PT)% 40.3%,活化部分凝血活酶时间(APTT) 48.7s,国际标准化比率(INR) 2.0R,纠正后PT% 57.9%,APTT 31.5s,INR 1.48R。巨细胞病毒(CMV)抗体×2:IgG(+)1∶1024、IgM(+);CMV抗原-PP65×2(-);尿常规:蛋白(-)、硝酸盐及红、白细胞(+);尿沉渣×3:RBC满视野×2,正常形态100%,WBC 1~2/HPF。24小时尿蛋白定量正常;清洁中段尿培养×3:分别为屎肠球菌、 肺炎克氏菌和大肠埃希菌。大便隐血试验(+)。腹水检验为漏出液,细菌培养(-)。腹部CT及B超:肝密度不均,肝脾大(见图),腹水。门静脉彩超:门脉1.0 cm,主干及右支内似可探及极低速血流信号。
, 百拇医药
表2 肝功能
项目
(正常值)
ALB(g/dL)
(3.5~5.1)
TBIL(mg/dL)
(0.3~1.3)
DBIL(mg/dL)
(0.01~0.5)
ALT(U/L)
(5~40)
AST(U/L)
, 百拇医药
(5~37)
日期
02-01-08
2.8
30.47
8.19
26
130
02-01-19
2.7
28.95
9.71
33
, http://www.100md.com
220
02-01-24
2.2
14.27
13.8
37
230
02-02-01
2.3
10.53
9.63
23
147
, 百拇医药
02-02-20
2.9
5.1
4.65
19
78
02-03-05
3.2
4.68
3.74
13
41
02-06-14
, http://www.100md.com
2.6
26.2
19.85
16
66
02-06-24
2.5
27.75
24.27
15
46
02-07-01
3.8
, 百拇医药
16.34
13.2
36
93
02-07-15
3.7
7.86
6.36
65
73
病例讨论
刘晓红医师(消化科):该病例特点:(1)患者宫颈癌手术后17个月发病,曾服尼尔雌醇每月5 mg共8片。(2)起病时转氨酶增高,以AST为主,胆红素增高,直接胆红素所占比例由30%增至82%;低白蛋白血症,1个月来出血倾向明显,PT+A明显延长,1∶1血浆可基本纠正;γ球蛋白增高;IV型胶原增高;门脉血流速度极低;2次CMV-IgM(+),IgG滴度1∶1024,乙肝五项HBsAb及HBcAb(+)。无食管胃底静脉曲张;无饮酒史;ACL强阳性,余自身抗体(-)。查体肝脾大,质硬。(3)同时伴重度贫血,间或有WBC、PLT降低,血清铁、叶酸稍低,网织红细胞多次增高,血清游离血红蛋白正常,溶贫试验均(-),骨穿示增生活跃。(4)免疫力低下,合并有泌尿系感染及口腔、阴部真菌感染。(5)入院后予谷胱甘肽及S腺苷蛋氨酸、白蛋白及间断输红细胞悬液、血浆,病情明显减轻。
, 百拇医药
分析:CMV感染可引起肝炎,肝功能失代偿,出现低蛋白血症、腹水和出血倾向,也可解释溶血和发热。但是肝脾大、质地硬,曾感染过HBV,有慢性肝病的基础,加之手术后免疫力低下,造成CMV感染。 重度的贫血除了溶血外,与营养不良和便血、尿血等失血有关。目前存在的问题是:1ACL强阳性是否继发于感染?可否导致PLT降低及门脉血栓?2患者的原发病是什么?贫血的原因?3是否近期合并CMV感染?4是否要应用激素?
范洪伟医师(感染科):CMV属疱疹病毒科,双链DNA病毒。分为先天性、原发性和继发性感染。人群普遍易感,胎儿最易感并可导致多种畸形,年长儿童及成人多为隐性感染,当机体免疫力下降时,如AIDS、肿瘤、肝肾衰竭、应用免疫抑制剂、放化疗等,就可表现为显性感染,临床表现多样:脑炎、肺炎、肝炎、胃肠炎、视网膜炎及血液系统损害。诊断依据:(1)组织中找到病毒包涵体;(2)病毒培养(+);(3)血清CMV-DNA、CMV-PP65(后者仅在病程早期表现阳性,且20%患者可始终阴性)、IgG滴度4倍增高、IgM由(-)转为(+)有助于急性或近期感染的诊断。
, 百拇医药
据文献报道,肝硬化是CMV感染的重要危险因素。该患者存在肝硬化,CMV-IgM(+),尽管CMV-PP65(-),仍可认为近期有CMV活动,可解释从3月份至今的肝功能损害的加重,但CMV感染不能解释整个病程。应用更昔洛韦1天胆红素明显下降,不太可能是该药物作用,而是保肝药物的作用。
问:CMV感染可否引起肝硬化?CMV引起的肝损害是否有长达半年的病程?
李太生医师(感染科):文献报道未见CMV感染导致肝硬化,但CMV感染完全可以导致长达半年的肝损害。CMV感染后出现IgM(+)大约比PP65(+)晚1周左右,敏感性60%~70%,国内多根据IgM(+)、IgG滴度4倍增高来诊断CMV活动感染;CMV-PP65敏感性略高些可达80%,但如果患者WBC数目太低或标本放置时间过久,会出现假阴性。IgM从开始出现到消失一般在3个月左右。如果本例患者半年病程均由CMV感染解释,可能性比较小。
, 百拇医药 许莹、单渊东医师(血液科):贫血为混合性贫血,原因包括:(1)慢性肝病致营养不良性贫血,低叶酸;(2)失血性贫血;(3)慢性病性贫血:感染、肝病等导致铁失利用性贫血,总铁不低,但潴留于单核-巨噬细胞系统中;(4)脾亢;(5)溶血性贫血:网织红多次增高,最高12%,骨髓涂片示红系增生旺盛、病程早期以间接胆红素增高为主,溶贫诊断成立,是贫血的主要原因。CMV感染可致血液系统多种改变,如贫血、血小板降低、白细胞降低等。其机制为:1CMV感染导致肝脏损害,氧化脂质代谢异常,红细胞膜的氧化脂质代谢改变造成红细胞的破坏;2病毒对红细胞的直接破坏;3病毒作为一种抗原,附着于红细胞膜,引起抗原-抗体反应和血管外溶血。血管外溶血多呈慢性过程,游离血红蛋白正常,与此患者是相符的。
张文、赵岩医师(免疫科):该病例的特点:(1)4次自然流产;(2)3年前有视力下降的病史,不除外眼底血管受累;(3)溶贫;(4)肝病、腹水;(5)血栓迹象:彩超示门脉系统不除外血栓形成;双上肢血管多发小斑块,对47岁女性而言,动脉粥样硬化似乎过早;(6)PLT减低,脾亢可引起,但溶贫同时出现血小板减低,更像抗磷脂综合征(APS)所致;(7)ACL(++++); (8)PT用 1∶1正浆不能完全纠正;(9)自身抗体均(-);(10)宫颈癌及雌激素可导致继发性APS。根据APS诊断标准,该患者诊断APS是肯定的。原发性APS在国内非常少见,多为继发性,最常见继发于肿瘤、感染,其次是其他免疫病。
, 百拇医药
抗磷脂综合征(APS)临床诊断标准(1998年):实验室检查至少1项阳性,间隔6周:(1)ACL(标准程序—10%牛血清封闭,中度以上阳性);(2)狼疮抗凝物(LA)阳性。临床:血栓或流产。诊断APS必须具备至少一项临床标准和一项实验室标准。
问:1用20年前的习惯性流产来作为此次病变的诊断依据,是否时间间隔太长?且患者曾经顺产1子。2ACL阳性是否是继发于感染?3APS病程是否表现为波浪型的?
赵岩医师(免疫科):(1)病态妊娠史不排除可以有正常妊娠。(2)感染情况下抗磷脂抗体(APA)是单纯抗磷脂本身的,目前APA检测的是磷脂以及血浆中和磷脂结合的蛋白,这种蛋白多为β2-GP1,阳性多继发于免疫病和肿瘤等;感染导致的APA滴度比较低且很少并发流产、血栓等临床症状;LA对APS的特异性高,感染中阳性率低;1∶1正浆尚不能完全纠正PT,提示循环中存在狼疮抗凝物。(3)APS病程可以表现为波浪型,重在预防。现在首选治疗可能应该是中等量激素,间断补充血浆、免疫球蛋白(IvIg)。如果再出现HGB下降,加用环磷酰胺(CTX)。微血管病变一定要用CTX,即使肝功能不好。
出院诊断 巨细胞病毒感染、 慢性肝病(早期肝硬化)、 抗磷脂综合征、溶血性贫血、泌尿系感染、宫颈癌术后
点 评
这是一例病情危重、复杂的病例,经多科协同诊治,明确了诊断,患者恢复良好,出院。通过该病例在诊断上应注意:(1)当前疾病与基础病的关系,疾病发展的诱因;注意该病例的诊断思路。(2)介绍了抗磷脂综合征的诊断。(3)介绍了巨细胞病毒感染的诊断。 (刘晓红)
邹宁 刘晓红, http://www.100md.com
