慢性胰腺炎 脾内低回声占位
![]() |
病历摘要
患者男,48岁,因“发作性上腹痛、纳差、腹泻5年半”于2001年2月入院。
患者自1995年6月始无明显诱因出现纳差、进食后上腹饱胀,大便1~3次/日,多为黄稀便,有时含不消化食物,未见油滴,进食油腻后无加重。同年8月进食后出现上腹持续疼痛,查血胰淀粉酶(P-Amy)升高达1080 U/L(正常值 128 U/L);B超示:胰体、尾部回声不均,未见胆道结石。急诊入院予禁食、抑酸、补液治疗,血P-Amy正常后出院。出院后仍纳差,大便性状同前。1997年1月再次出现进食后上腹不适,血P-Amy升高,按胰腺炎治疗后好转。2001年2月以来,患者排黄稀便5~6次/日,间断上腹痛。入院前3天腹痛加重,血P-Amy 558 U/L,B超发现脾区囊实性占位,为进一步诊治入院。发病以来体重下降7.5 kg。既往体健,饮酒10年约60 g/日(酒精)。
入院查体:一般情况可,皮肤巩膜无黄染,浅表淋巴结未触及。心肺无异常。腹平软,无压痛、反跳痛,肝脾肋下未触及,移动性浊音(-),肠鸣音活跃。
, 百拇医药
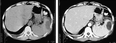
入院后予禁食、抑酸、补液治疗,腹痛渐缓解。逐渐过渡至百普素肠内营养支持,但血P-Amy始终波动在227~776 U/L,多次复查腹部B超和CT(见图),胰尾假性囊肿形成且无明显变化,脾内囊实性占位无明显变化。
图 普通CT扫描及增强扫描均显示脾实质内椭圆形低密度影,
脾门周围、胰周区多个圆形密度减低影,增强后无明显强化。
病例讨论
患者临床表现为发作性上腹痛,血淀粉酶超过正常值3倍以上,考虑复发性胰腺炎。在胰腺炎的基础上,加之胰周有多发小囊肿,首先考虑脾内的低回声区为假性胰腺炎囊肿。需要鉴别的囊性病变有脾内血肿,另外,国外曾有将该病误诊为感染性心内膜炎致脾栓塞的报告。
胰腺假性囊肿是胰腺炎的常见并发症,为胰液及坏死组织在胰腺或胰腺周围被包裹形成。可累及脾脏,导致脾静脉受压、脾动静脉血栓、脾梗死、脾内假性囊肿及囊肿内出血,但均少见。其中脾内假性囊肿更为罕见,形成脾内假性囊肿的机制可能为外渗的胰液沿血管走行流入脾脏,脾被膜或脾实质包裹胰液及坏死组织形成。脾内假性囊肿形成在临床上无特异性症状,体征及实验室检查亦无异常。但可出现多种严重并发症,如脾动静脉血栓形成、脾梗死,甚至出现脾破裂。当囊液侵蚀脾动脉分支,微动脉瘤破裂引起囊肿内出血常见,这些并发症均可使病情突然恶化,临床应予与重视。腹部B超或CT检查对诊断有一定价值,定期复查亦有助于判断囊肿的转归。由于潜在危险性,对直径大于5~6 cm,术前积极保守治疗4~6周难以自行消散者,即使目前并无症状,仍应积极予与治疗。首选外科手术,行脾脏切除,同时行胰尾切除术。也可于B超或CT引导下行经皮囊肿穿刺引流术,但术前应进行逆行胰胆管造影(ERCP)检查,若发现囊肿与胰管相通,仍应选择手术治疗以避免高度的穿刺危险。
诊疗经过
经过专科会诊,于2001年4月行手术,术中见胰体、尾部囊肿与周围组织包括脾脏广泛粘连,遂行脾和胰体尾切除术。术后病理为胰腺组织明显慢性炎症,脾胰间、脾被膜下、实质内片状出血及陈旧出血囊肿。术后血P-Amy降至正常。出院诊断:慢性胰腺炎急性发作,胰尾、脾内假性囊肿形成。
点评
脾内假性囊肿为胰腺炎一个罕见并发症,需警惕和及时正确诊治。
李孝远 李景南, 百拇医药
