间断发热、伴咳嗽、呼吸困难
![]() |
![]() |
![]() |
![]() |
病历摘要
患者女性,36岁。因“间断发热9月余,加重伴咳嗽、呼吸困难2月”,于2002年4月30日入院治疗。
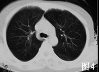
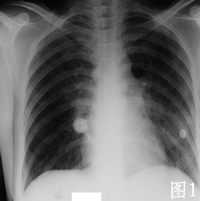
2001年7月患者无明显诱因出现间断性发热,体温最高达38℃,无伴随症状,给予青霉素等治疗可好转。2002年3月底患者再次出现发热,体温在38℃左右,伴畏寒、咳嗽、咳白痰和胸闷气短,血常规正常,先后给予多种抗生素治疗无效。4月底在我院就诊时发现人免疫缺陷病毒抗体HIV Ab初筛和确证试验均阳性,CD4+ T淋巴细胞仅14/μk,X线胸片和胸部CT显示双肺弥漫性片状浸润阴影(见图1、2)。确诊AIDSC3期,结合患者胸部影像学表现和进行性呼吸困难,考虑卡氏肺孢子虫(PCP)肺炎可能性大,于4月29日开始给予复方磺胺甲 唑(复方新诺明,SMZCO2片,每日4次。患者自发病以来,食欲明显减退,体重下降10 kg。
患者在1997年因子宫穿孔行子宫切除术,术中输血1800 mk。否认冶游史,其丈夫HIV Ab阴性。
, http://www.100md.com
体格检查:体温37.5℃,血压85/55 mmHg,痛苦面容,口唇紫绀,呼吸急促,神志清楚;上腭有白色斑片状膜状物附着,易刮除,舌尖有片状白苔,不易刮除;双肺呼吸音粗,右肺可闻及湿罗音,其余阴性。
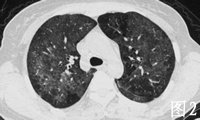
患者入院后在坚持SMZCO治疗的同时,为促进肺部炎症迅速吸收,短期给予大剂量泼尼松治疗泼尼松60 mg/d,每3~4日减20 mg,2周内停用,患者呼吸困难迅速缓解,血氧饱和度由90%上升到99%。2周后SMZCO减为2片/d维持治疗。2周后复查X线胸片和胸部CT(见图3、4),见双肺的阴影明显吸收,但右上肺病灶没有吸收。考虑患者合并感染肺结核,给予异烟肼、乙胺丁醇和吡嗪酰胺治疗。从5月10日开始给予患者叠氮胸苷、拉米夫定和印地那韦进行高效抗逆转录病毒治疗HAART。
患者入院后检查发现巨细胞病毒抗原CMV-pp65阳性,巨细胞病毒感染诊断明确。但是由于白细胞1.39×109/L,因而暂缓治疗巨细胞病毒感染,同时不能除外药物引起白细胞减低(拉米夫定所致)因此将拉米夫定换为依非韦仑,并给予中性粒细胞集落刺激因子和鲨肝醇支持治疗。5月21日白细胞升至4.47×109/L,开始给予膦甲酸钠120
, 百拇医药
mg/kg/d治疗巨细胞病毒感染,2周后CMV-pp65转为阴性,停用膦甲酸钠。患者入院后有口腔真菌感染,给于制霉菌素涂口腔和口服氟康唑后很快好转。患者出院后一直坚持HAART、抗结核治疗和SMZCO预防治疗,病情稳定,6月复查CD4+ T淋巴细胞升至109/μk9月升至232/μk。
病例讨论
患者确诊AIDS时,CD4+ T淋巴细胞计数仅14/μk,当CD4+ T淋巴细胞计数小于200/μk时,患者易合并各种机会性感染,例如卡氏肺孢子虫肺炎、巨细胞病毒视网膜炎、结核病、弓形虫脑炎等。该患者的临床表现和影像学检查所见符合卡氏肺孢子虫肺炎,虽然没能从痰液中找到卡氏肺孢子虫滋养体,但是SMZCO的治疗反应支持卡氏肺孢子虫肺炎的诊断。该病的首选治疗为SMZCO。
结核病也是AIDS常见的机会性感染,该患者在治疗卡氏肺孢子虫肺炎前后胸部CT的表现,治疗后右上肺仍遗留没有吸收的病灶,此乃结核病灶,最初混合在卡氏肺孢子虫肺炎的病灶内,难以区分开来,卡氏肺孢子虫肺炎治疗后,结核病灶显现出来。HIV感染者合并结核病的治疗原则,与不合并HIV感染的结核患者的治疗原则一样。由于利福平是强效的细胞色素P450的诱导剂,而蛋白酶抑制剂经细胞色素P450代谢,因此二者联合应用会导致蛋白酶抑制剂的浓度低于有效浓度,造成病毒耐药,给以后的治疗带来困难。因此,应该避免利福平与蛋白酶抑制剂联合应用,可以选用相互作用较小的利福布丁。HIV感染者在抗结核治疗过程中不良反应的发生率很高,尤其是外周神经病、肝损害、皮疹等,治疗过程中应密切观察。
, 百拇医药
CMV的人群感染率很高,绝大多数表现为隐性感染,当细胞免疫功能低下时,隐性感染转变为显形感染,病毒开始复制,出现病毒血症,可以造成肺炎、肠炎、脑炎、视网膜炎、血液系统损害等表现。HIV感染者,当CD4+ T淋巴细胞小于200/μk时,巨细胞病毒感染的发生率明显升高,在AIDS患者,CMV常引起视网膜炎导致失明。该患者CMV-pp65阳性,因此巨细胞病毒感染诊断明确,若不及时治疗,最终会导致器官功能损害。可以选用膦甲酸钠或更昔洛韦治疗巨细胞病毒感染。
治疗像本例这样合并多种机会性感染的AIDS患者,必须要全面考虑,先治疗危及生命的机会性感染,再开始HAART治疗。在制定治疗方案时,必须考虑药物间可能的相互作用和药物的不良反应。
程中伟 范洪伟 李太生, 百拇医药



