发热、咳嗽、咯血伴转移性胸痛
![]() |
![]() |
![]() |
![]() |
![]() |
病例摘要
患儿男,10岁,因咳嗽2个月,间歇发热、胸痛、咯血1月余入院。2个月前患儿无诱因出现咳嗽、以阵发性干咳为主,时有痰中带血丝,无喘息,予“止咳药”口服,症状无减轻,并逐渐加重。1个多月前出现发热、最高体温39℃~40℃,伴左侧持续性胸痛、咳嗽和深吸气时加重,无放射痛。当地医院予红霉素抗炎治疗1周,症状明显减轻,好转出院。10天前,患儿又出现发热、咳嗽和胸痛,性质同前,胸痛转到右侧,仍有痰中带血丝,偶有心慌及胸闷,无呼吸困难。当地医院给予“头孢曲松”治疗无效,以“肺炎性质待查”转入我院。既往史:患儿有“先天性心脏病,室间隔缺损”史,于3岁时行“室间隔缺损”修补术,术后杂音消失,于8岁时体检又发现心脏杂音。
入院查体:T:38℃,P:105次/分,体重25kg,双肺呼吸音稍粗,左右对称,右侧脊柱旁深吸气末可闻及少许罗音。心律齐,心脏听诊在左侧第4~5肋间可闻及Ⅲ/6级收缩期杂音,杂音性质可随体位变化,左侧第2肋间可闻及第2心音分裂。腹平软,肝脾肋下未及。部分手指呈杵状指,无杵状趾。神经系统检查无异常。
, 百拇医药
入院时实验室检查:WBC:12.4×109/L,N 79%,L 21%,HB147g/L,PLT328×109/L。CRP:205 mg/L,ESR:94 mm/h。PPD5U(-)。血生化和血气分析正常。凝血三项:PT、APTT正常高限,FIB:4.81g/L稍增高。血培养多次阴性。血Ig系列、CD系列均正常。心电图:窦性心律,不完全性右束支传导阻滞,ST改变,心房扩大。 心脏超声:1.先天性心脏病;2.室间隔缺损修补术后;3.室水平分流消失;4.三尖瓣隔瓣赘生物。
自发病以来多次行胸片和胸部CT检查,变化较大,见附图。
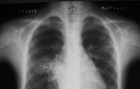
X线胸片1: 入院时(病程2个月时)胸片(右肺门外及左下肺心缘旁可见片影,左上肺纹理乱,右肺门著明,心影丰满) X线胸片
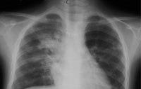
2:入院第7天(病程67天)胸片:右肺门增浓,边缘模糊,下肺纹理模糊,左肺纹理粗乱,下肺纹理模糊
, 百拇医药
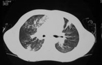
胸部CT(1):入院7天(病程67天) 胸部CT(2):入院7天(病程67天) (双肺多发点片状高密度影,右下肺背段可见致密团块影,外缘贴近胸壁,左上中肺内见一圆形病灶,中空,双肺门影增浓,心影增大,左室为主,纵隔内未见肿大淋巴结影)
诊治经过:入院后绝对卧床,予阿奇霉素抗炎,体温渐降至正常,但入院第6天,患儿又骤起高热,胸痛加重,转为右上侧胸痛,T 39℃~40℃,复查胸片及胸CT提示右上肺出现新的片影,继续加强抗炎治疗,患儿体温转为低热,咳嗽胸痛改善。入院第19天,体温又突然升到39℃~40℃,复查胸片改变不大,继续治疗后第二天体温下降,以后病情未再出现反复。入院第22天,复查心脏彩超提示三尖瓣赘生物消失。治疗1个月后患儿体温正常,临床症状消失,复查胸片正常,出院。
病例讨论
张莉 医师(呼吸科):该患儿病情特点为:①有基础心脏病史②有心内膜损害证据(心脏彩超发现三尖瓣赘生物,心脏杂音随体位变化)③全身感染表现,④出现咳嗽、胸痛、咯血等呼吸系统表现,胸痛部位多变,胸片及CT示胸部片影多发,变化快⑤抗炎治疗有效。虽然血培养阴性,但感染性心内膜炎可确诊。患儿同时出现呼吸系统表现,胸片有浸润阴影,最初考虑肺炎,且应用抗炎治疗有效。但是不久就发现,在持续抗炎治疗下,肺部阴影多变,原有浸润影刚有吸收好转,另一部位又出现新的浸润影,伴有高热胸痛等临床症状的恶化,用单纯肺炎难以解释。于是考虑患儿肺部症状是否与其心脏病变有关,即用“一元论”观点来解释整个疾病。由于感染性心内膜炎,三尖瓣的赘生物有脱落进入肺循环的危险,故做了D-二聚体检查(500 μg~1000 μg/mk),明显升高,提示体内可能存在血栓性疾病。
, 百拇医药
赵顺英 副主任医师(感染科):该患儿为年长儿,病史2个月,以发热、咳嗽、咯血、胸痛为主要表现,胸痛部位多变,但每次均与胸片浸润影的位置相一致。在2个月期间,病情反复3次,复查胸片均提示原有的浸润影好转,但其余部位又出现新的阴影。患儿既往有“先天性心脏病、室间隔缺损”,虽经过手术治疗,但于近两年心脏又出现杂音,心脏彩超提示“三尖瓣赘生物”。针对患儿出现的呼吸系统表现,从以下几点分析:(1)合并普通细菌或病毒性肺炎:患儿在2个月期间出现4次不同部位的肺炎,而免疫功能检查正常,临床不支持,基本可排除。(2)嗜酸细胞性肺炎:该病的X线胸片特征为云雾状斑片影,呈游走性,可于短期内消失及另一部位复发,应考虑。但本患儿未出现血嗜酸细胞增多,临床无哮喘样发作,对抗炎治疗效果好,均不支持该病。(3)结核:支气管内膜结核可出现咳嗽、咯血,但患儿无结核中毒症状,PPD皮试(-),无结核接触史,胸片表现不符合肺结核,故可排除。(4)其他可引起咳嗽、咯血的疾病:如支气管扩张症、特发性肺含铁血黄素沉着症等,从病程及胸部CT结果可基本排除。(5)肺栓塞:感染性心内膜炎,尤其是右心瓣膜上的赘生物可脱落进入肺动脉引起局部的肺栓塞,由于是感染性栓子,故可引起栓塞部位继发感染,若赘生物反复脱落,则可引起反复肺栓塞及肺部继发感染。本患儿有基础心脏病史和三尖瓣赘生物,临床出现反复肺部感染的症状,血D-二聚体升高,胸片呈变化的多部位浸润影,抗炎治疗有效。更为有力的支持点是治疗3周后复查心脏彩超,心内膜赘生物消失,此后病情未再出现反复。故本病例肺栓塞诊断成立。
, 百拇医药
任甄华 主治医师(放射科):X线胸片对于提示肺栓塞有重要参考价值,单纯肺栓塞胸片可能有五种表现:(1)缺血性改变:局部血管纹理减少,即Westermark征;(2)肺血管大小的改变;(3)心脏变化;(4)肺体积缩小;(5)胸膜渗出。值得强调的是,感染性心内膜炎引起的肺栓塞影像学改变与其他病因引起者不同,典型表现为散在、双侧的外周结节与不同程度的肺空洞性损害,损害呈圆形或楔形,多发生在下肺的外侧部分。本病例就体现了这一特点(见附图),这可能与栓子较小且携带病原菌,造成栓塞部位的继发感染有关。
但必须指出,肺栓塞的X线胸片表现多种多样,呈典型锥形改变的非常少见,部分肺栓塞的胸片可看不见任何异常表现。相当一部分胸片呈肺浸润表现,与肺炎相似。可从以下两点加以区别:①肺部一侧病变吸收,而另一侧出现新阴影的多发病变;②片影吸收呈“溶化征”,而肺炎吸收中片影出现密度不均现象,由此可见,在诊断中胸片的动态观察更为重要。有以上表现者应高度怀疑肺栓塞,再结合患儿是否存在高危因素,临床可做出正确诊断。切勿仅凭胸片轻易排除肺栓塞。本例患儿存在感染性心内膜炎、三尖瓣赘生物的基础病变,2个月病程中肺部阴影变化了3次,每次均为原有病灶吸收,在不同部位又出现了新的浸润影,结合临床表现,肺栓塞可确诊。
, http://www.100md.com
曾津津 副主任医师(放射科):大部分肺栓塞胸片表现不典型,极易漏误诊,应通过特异性检查加以确诊,包括核素肺灌注/通气扫描、螺旋CT或电子束CT造影、MRI造影、肺动脉造影。其中肺动脉造影为诊断的金标准,但其有创性限制了应用。核素肺灌注/通气扫描为目前临床诊断肺栓塞的传统检查,操作安全,典型征象是呈肺段分布的肺灌注缺损,并与通气现象不匹配。
申昆玲 主任医师(呼吸科):肺栓塞在儿科临床诊断极少,多数病例为死后尸检确诊,尸检研究发生率在0.73%~4.2%,传统观点认为小儿机体处于低凝状态,肺栓塞的发生率极低,但随着诊断技术的提高,发现肺栓塞在儿科并非少见,尤其存在导致机体高凝状态的原发病时。
小儿肺栓塞的病因与成人有很大区别,它的发生均存在一种或几种高危因素,如:先天性心脏病、感染性心内膜炎、肾病综合征、狼疮性肾炎、留置中心静脉导管、胃肠外营养、脑室心房分流术后、血液病,其他如手术、感染、肥胖、长期卧床、烧伤等。有研究指出,一半以上的肺栓塞患儿存在3~4种危险因素。其中感染性心内膜炎是引起儿童肺栓塞的最重要的病因之一。Picarekki等综述了26例需要外科手术治疗的感染性心内膜炎,25例有心内赘生物,其中有3例反复发生肺栓塞,与本病例相似。室间隔缺损较易在三尖瓣形成赘生物,脱落后进入肺循环,易造成反复肺栓塞。
, http://www.100md.com
小儿肺栓塞的临床表现缺乏特异性,且变化颇大。各病例所表现的症状严重程度也有很大差别,小的栓塞不引起血液动力学的改变,可无明显症状,若肺动脉大分支栓塞,引起肺动脉高压、右心衰竭,导致血流动力学的急剧改变,甚至发生猝死。
临床症状最常见的有呼吸困难及气促,此外可表现为胸痛、晕厥、烦躁不安、咯血、咳嗽等。主要体征有呼吸急促、心动过速、血压变化、紫绀、发热、颈静脉充盈或搏动、肺部可闻及哮鸣音或细湿罗音、胸腔积液的相应体征等。
江载芳 主任医师:肺栓塞在儿科较少诊断,除了病例较少外,诊断意识和诊断手段的缺乏是导致大量漏误诊的客观原因。由于其临床表现缺乏特异性,任何呼吸系统表现都可能成为其主诉,因此确立诊断应更多重视其基础疾病和高危因素。
对临床疑诊者,可行血D-二聚体筛选,D-二聚体是一个特异性的纤溶过程标志物。在血栓栓塞时因血栓纤维蛋白溶解使其血中浓度升高。D-二聚体对急性肺栓塞的诊断敏感性达92%~100%,但其特异性较低,仅为40%~43%。手术、肿瘤、炎症、感染、组织坏死等均可使其升高。若其含量低于500 μg/L,可基本除外急性肺栓塞。对于D-二聚体阳性者,结合肺部表现,进一步做影像学检查。更为特异、安全的检查为核素肺通气灌注扫描,敏感性和特异性较高,但因为核素肺通气扫描需患者配合吸气,故在儿科的应用受到一定限制。目前螺旋CT和电子束CT造影以及磁共振成像的发展,为肺栓塞的诊断提供了新的手段。
, 百拇医药
感染性心内膜炎合并肺栓塞在治疗上存在一定困难,因其为抗凝或溶栓治疗的相对禁忌证。若为小血管栓塞,由于肺动脉吻合支开放,不会造成血液动力学的改变,此时只需加强抗炎治疗,10~14天大多数栓子被分解消散,无需抗凝或溶栓治疗。但如果栓塞面积较大,肺血管已不能代偿时,此时恰当应用抗凝或溶栓治疗并非绝对禁忌,在应用过程中应加强对凝血指标的监测。小面积肺栓塞在强化抗炎治疗下大多预后良好,但若三尖瓣赘生物持续存在则复发率极高,故在肺部感染控制后,应及早手术切除心内膜赘生物。
本病例根据其基础病史、临床表现、D-二聚体结果、X线胸片表现及治疗反映,感染性心内膜炎、肺栓塞可以确诊,因栓塞面积较小,没有引起患儿血液动力学的明显改变,故本病例仅予抗感染治疗,患儿恢复较好,复查心脏彩超三尖瓣赘生物消失,说明赘生物全部分次脱落入肺动脉,故本患儿不需再进行赘生物切除手术,痊愈出院。, http://www.100md.com




