急性早幼粒白血病伴全身皮肤结节
病例摘要
患者,女,26岁,因确诊急性早幼粒细胞性白血病(APL)2年半,9程化疗后,出现皮疹2个月而入院。
患者于2000年1月无明显诱因出现牙龈肿胀、出血,伴寒战、高热,左膝关节周围红、肿、热、痛,外院血常规及骨穿支持APL(具体不详),给予维甲酸及对症治疗后,症状逐渐好转。2000年3月行DA(柔红霉素、阿糖胞苷)方案化疗,复查骨穿APL完全缓解;之后行DA 5程,MA(米托蒽醌、阿糖胞苷)2程,HE(高三尖杉、VP-16)1程化疗,化疗间期服用维甲酸20~30 mg 3次/日。化疗期间腰穿1次未见异常。2002年4月复查骨穿发现原粒+早幼粒40%,考虑复发。2002年5月首先在左大腿外侧出现直径约3.0 cm皮下结节,外院针刺涂片阴性;随后全身逐渐出现皮下结节或隆起性结节,暗红色,此起彼伏,大小不等,质韧,伴压痛和瘙痒,有破溃及结痂,化疗时皮疹似乎稍有改变。病程中患者有恶心、纳差、乏力,无明显发热,体重下降。既往有输血史。化疗药可疑过敏。入院查体:贫血面容皮肤、结膜苍白,全身可见皮下结节或隆起性结节,高低不平,大小不一,质韧,压痛,部分有破溃和结痂(图1),双下肢皮疹颜色较深,似出血性。左上颌牙龈肿胀,两肺少量散在哮鸣音,余未见明显异常。辅助检查:血常规:WBC 1.5×109/LGR 33.2%Hb 69 g/L,Pkt 88×109/L;外院首次骨髓片我院病理科会诊:急性早幼粒细胞白血病,早幼粒80.5%。
, http://www.100md.com
图1 上臂多个高低不平、大小不一的皮下结节,质韧、压痛,呈鲜红色或和正常肤色相同。部分结节融合,有破溃及结痂。
入院诊断:急性早幼粒细胞白血病(APL),9程化疗后(复发);皮疹待查,肿瘤浸润可能性大。
诊疗经过:实验室检查血常规:WBC (1.4~6.0)×109/LHb 72~93 g/L,Pkt (78~150)×109/L,化疗后WBC (0.16~2.7)×109/LHb 38~58 g/L,pkt (16~47)×109/L 血涂片分类:有核细胞少,未见早幼粒细胞;粪、尿常规阴性;肝肾功能:2002年7月5日 LDH 423 U/L余正常。自身抗体+双链DNA抗体(ANA+dsDNA)、抗中性粒细胞胞浆抗体(ANCA)- HIV(-)心肌酶谱 CK 2480 U/L正常值:18~198 U/L,CKMB和肌钙蛋白(cTnI)均正常; DIC全套基本正常。骨髓涂片+活检:早幼粒细胞48%符合APL;免疫分型
, http://www.100md.com
CD13(+)、CD15(+)、CD33(+)、CD11b(+),CD34(-) HLA-DR(-)。胸片:双肺纹理增厚,弥漫点片状影。
心电图:窦速(120~160/分)。PML/RARα融合基因(+)。
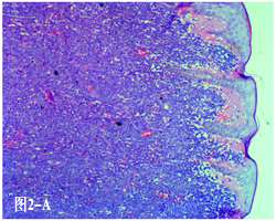
皮肤活检物涂片可见到少量早幼粒细胞;腹壁和右臂皮肤活检物病理符合急性粒细胞性白血病浸润皮肤改变(见图2)。

图2 真皮(A,HE(100)和皮下(B,HE(200)有大量幼稚粒细胞浸润,
核分裂相明显且多见,增生活跃,大小一致,可见核仁。
, http://www.100md.com
入院后给与维A酸C迪维20 mg bid。7月11日起使用砷剂10 mg qd。患者憋喘逐渐加重,口腔、鼻腔、眼眶内亦出现结节浸润伴鼻塞、流泪,且全身皮疹增多加重。查体:两肺哮鸣音较前明显,吸气时胸骨上窝凹陷,心率120/分,心音正常,双下肢轻度可凹性浮肿,面罩吸氧3~5升/分时,氧饱和度90%~92%,给予氨茶碱、罗红霉素等治疗,效果不明显。7月14日患者突然呼吸急促,意识丧失,抽搐。经积极救治,仍难以恢复,7月22日患者病故。
病例讨论
周道斌医师(血液科) 患者年轻女性,APL明确,9程化疗后复发入院。复发的形式是以遍布全身皮肤、黏膜的结节为主要表现,主要可分为皮下结节和隆起性结节两种形式。我院骨髓涂片证实APL复发,而且APL的标志物——PML/RARα融合基因阳性。
本例患者的皮肤表现十分罕见,因为皮肤结节呈全身广泛分布,而病人的原发病为APL。急性白血病细胞的皮肤浸润在临床上多表现非特异性皮肤表现、白血病真皮结节和原粒细胞瘤等,多为局灶性,且多发生在急性白血病M5及M4型。患者入院时皮疹的性质不明,经过相应检查及会诊后,基本排除感染、特殊肿瘤(如卡波西肉瘤、淋巴瘤)等原因,后经皮肤活检病理证实为早幼粒细胞浸润。患者刚入院时给予维甲酸、砷剂治疗,皮肤结节无改善,而且有加重倾向,且口腔、鼻腔、眼眶亦出现类似结节。改为米托蒽醌、阿糖胞苷联合化疗后,未再有新鲜皮肤结节出现,旧的皮肤结节亦有消退改变。从治疗反应看,也支持早幼粒细胞浸润。病程中患者出现呼吸困难,胸片显示双肺纹理增厚等间质改变,考虑可能系同时合并气道及肺间质的早幼粒细胞浸润。疾病后期,患者一般情况较差,肿瘤细胞广泛浸润,化疗后骨髓抑制明显,血白细胞明显下降,继发肺部感染,亦可能合并肺部出血;同时心肌酶谱、转氨酶等升高,提示有多脏器功能损害,最终患者死亡。
, http://www.100md.com
周旭东医师(病理科) 本例患者共送检3处病理标本:
1.骨髓活检标本 取材好,正常造血组织存在,增生活跃,骨髓组织中可见到大量早幼粒细胞,约45%左右,分布不均匀,细胞形态不规则,支持APL骨髓像。
2.腹部结节活检标本 肉眼观:结节隆起于皮肤表面,切面灰粉,实性,质稍韧,2.2×1.8×0.7 cm。镜下观:真皮部位大量幼稚粒细胞浸润,核分裂相明显且多见,增生活跃,大小一致,可见核仁。
3.右前臂结节活检标本 肉眼观:不隆起于皮面,切面灰黄色,实性,质韧,1.7×1×1 cm。镜下观:大量幼稚粒细胞主要浸润于皮下组织中,细胞形态同腹部活检标本。
上述皮肤改变在血液系统疾病中主要考虑淋巴瘤或白血病,结合本例患者APL的病史,所以病理改变符合APL皮肤浸润的诊断。从免疫组化看:CD3(-),CD20(-),CD34(-),CD15(-),LCA(+)。(CD33、CD13因实验条件所限未作),髓系细胞标志均阴性,非典型早幼粒细胞细胞表型。但据国外报道,有部分患者化疗后细胞免疫表型丢失,也许本例患者属于此种情况。
, 百拇医药
葛昌文医师(骨髓室) 患者共送检两次骨髓涂片,其中包括一次外院会诊片。镜下所见:骨髓增生活跃,可见到大量异常多颗粒的早幼粒细胞,核型不规则,有切迹或凹陷,有些细胞核呈典型的“裤腿状”改变;M3细胞的胞浆颗粒有两种类型:细颗粒型和粗颗粒型,本例属于细颗粒型,且细胞内外胞浆分界明显,内浆可见较多细颗粒,外浆较透亮,少数细胞为粗颗粒型。两次骨髓片均支持APL诊断。
王宝友医师(皮肤科) 根据患者皮损特点,结合APL的原发病、辅助检查及治疗反应等,皮肤早幼粒细胞浸润诊断明确。白血病的皮肤改变称之为皮肤白血病,多见于慢性白血病,其皮损的形式可分为特异性皮损和非特异性皮损。特异性皮损是由白血病细胞直接皮肤浸润所致,外观上可表现为丘疹、结节、斑块、肿块等,多以结节为主要表现形式;非特异性皮损并非白血病细胞直接皮肤浸润所致,因此病理活检无阳性提示,外观表现多种多样。
本例患者早幼粒细胞皮肤浸润明确,但临床上及文献报道APL的皮肤浸润少见,尤其像本例患者这种弥漫性结节表现者十分罕见。
, http://www.100md.com
点评
血液科沈悌主任 由于早幼粒细胞已有一定的分化程度,所以对外周组织浸润较少,像本例患者如此明显且广泛的皮损改变十分罕见。入院时曾考虑:1.白血病治疗后继发的第二肿瘤。2.维甲酸所致的皮肤黏膜特殊的不良反应。3.特殊感染。4.白血病浸润等。经病房的相关检查,尤其是病理证实为早幼粒细胞皮肤浸润明确。白血病皮肤浸润最典型的表现是绿色瘤(原粒细胞内含有髓过氧化物酶所致),急性白血病中以M4、M5多见。早幼粒细胞的免疫组化中CD34等原始细胞标志应阴性。本例患者应进一步作髓过氧化物酶染色,若阳性,则进一步支持髓系细胞来源,对诊断有帮助。治疗方面,由于维甲酸及砷剂的出现,治疗效果明显改善,DIC等并发症减少;而且其诱导分化和凋亡的机制,在肿瘤治疗尤其是血液病方面有重大的意义。
宋志强 周道斌 沈悌, http://www.100md.com
患者,女,26岁,因确诊急性早幼粒细胞性白血病(APL)2年半,9程化疗后,出现皮疹2个月而入院。
患者于2000年1月无明显诱因出现牙龈肿胀、出血,伴寒战、高热,左膝关节周围红、肿、热、痛,外院血常规及骨穿支持APL(具体不详),给予维甲酸及对症治疗后,症状逐渐好转。2000年3月行DA(柔红霉素、阿糖胞苷)方案化疗,复查骨穿APL完全缓解;之后行DA 5程,MA(米托蒽醌、阿糖胞苷)2程,HE(高三尖杉、VP-16)1程化疗,化疗间期服用维甲酸20~30 mg 3次/日。化疗期间腰穿1次未见异常。2002年4月复查骨穿发现原粒+早幼粒40%,考虑复发。2002年5月首先在左大腿外侧出现直径约3.0 cm皮下结节,外院针刺涂片阴性;随后全身逐渐出现皮下结节或隆起性结节,暗红色,此起彼伏,大小不等,质韧,伴压痛和瘙痒,有破溃及结痂,化疗时皮疹似乎稍有改变。病程中患者有恶心、纳差、乏力,无明显发热,体重下降。既往有输血史。化疗药可疑过敏。入院查体:贫血面容皮肤、结膜苍白,全身可见皮下结节或隆起性结节,高低不平,大小不一,质韧,压痛,部分有破溃和结痂(图1),双下肢皮疹颜色较深,似出血性。左上颌牙龈肿胀,两肺少量散在哮鸣音,余未见明显异常。辅助检查:血常规:WBC 1.5×109/LGR 33.2%Hb 69 g/L,Pkt 88×109/L;外院首次骨髓片我院病理科会诊:急性早幼粒细胞白血病,早幼粒80.5%。

, http://www.100md.com
图1 上臂多个高低不平、大小不一的皮下结节,质韧、压痛,呈鲜红色或和正常肤色相同。部分结节融合,有破溃及结痂。
入院诊断:急性早幼粒细胞白血病(APL),9程化疗后(复发);皮疹待查,肿瘤浸润可能性大。
诊疗经过:实验室检查血常规:WBC (1.4~6.0)×109/LHb 72~93 g/L,Pkt (78~150)×109/L,化疗后WBC (0.16~2.7)×109/LHb 38~58 g/L,pkt (16~47)×109/L 血涂片分类:有核细胞少,未见早幼粒细胞;粪、尿常规阴性;肝肾功能:2002年7月5日 LDH 423 U/L余正常。自身抗体+双链DNA抗体(ANA+dsDNA)、抗中性粒细胞胞浆抗体(ANCA)- HIV(-)心肌酶谱 CK 2480 U/L正常值:18~198 U/L,CKMB和肌钙蛋白(cTnI)均正常; DIC全套基本正常。骨髓涂片+活检:早幼粒细胞48%符合APL;免疫分型
, http://www.100md.com
CD13(+)、CD15(+)、CD33(+)、CD11b(+),CD34(-) HLA-DR(-)。胸片:双肺纹理增厚,弥漫点片状影。
心电图:窦速(120~160/分)。PML/RARα融合基因(+)。
皮肤活检物涂片可见到少量早幼粒细胞;腹壁和右臂皮肤活检物病理符合急性粒细胞性白血病浸润皮肤改变(见图2)。


图2 真皮(A,HE(100)和皮下(B,HE(200)有大量幼稚粒细胞浸润,
核分裂相明显且多见,增生活跃,大小一致,可见核仁。
, http://www.100md.com
入院后给与维A酸C迪维20 mg bid。7月11日起使用砷剂10 mg qd。患者憋喘逐渐加重,口腔、鼻腔、眼眶内亦出现结节浸润伴鼻塞、流泪,且全身皮疹增多加重。查体:两肺哮鸣音较前明显,吸气时胸骨上窝凹陷,心率120/分,心音正常,双下肢轻度可凹性浮肿,面罩吸氧3~5升/分时,氧饱和度90%~92%,给予氨茶碱、罗红霉素等治疗,效果不明显。7月14日患者突然呼吸急促,意识丧失,抽搐。经积极救治,仍难以恢复,7月22日患者病故。
病例讨论
周道斌医师(血液科) 患者年轻女性,APL明确,9程化疗后复发入院。复发的形式是以遍布全身皮肤、黏膜的结节为主要表现,主要可分为皮下结节和隆起性结节两种形式。我院骨髓涂片证实APL复发,而且APL的标志物——PML/RARα融合基因阳性。
本例患者的皮肤表现十分罕见,因为皮肤结节呈全身广泛分布,而病人的原发病为APL。急性白血病细胞的皮肤浸润在临床上多表现非特异性皮肤表现、白血病真皮结节和原粒细胞瘤等,多为局灶性,且多发生在急性白血病M5及M4型。患者入院时皮疹的性质不明,经过相应检查及会诊后,基本排除感染、特殊肿瘤(如卡波西肉瘤、淋巴瘤)等原因,后经皮肤活检病理证实为早幼粒细胞浸润。患者刚入院时给予维甲酸、砷剂治疗,皮肤结节无改善,而且有加重倾向,且口腔、鼻腔、眼眶亦出现类似结节。改为米托蒽醌、阿糖胞苷联合化疗后,未再有新鲜皮肤结节出现,旧的皮肤结节亦有消退改变。从治疗反应看,也支持早幼粒细胞浸润。病程中患者出现呼吸困难,胸片显示双肺纹理增厚等间质改变,考虑可能系同时合并气道及肺间质的早幼粒细胞浸润。疾病后期,患者一般情况较差,肿瘤细胞广泛浸润,化疗后骨髓抑制明显,血白细胞明显下降,继发肺部感染,亦可能合并肺部出血;同时心肌酶谱、转氨酶等升高,提示有多脏器功能损害,最终患者死亡。
, http://www.100md.com
周旭东医师(病理科) 本例患者共送检3处病理标本:
1.骨髓活检标本 取材好,正常造血组织存在,增生活跃,骨髓组织中可见到大量早幼粒细胞,约45%左右,分布不均匀,细胞形态不规则,支持APL骨髓像。
2.腹部结节活检标本 肉眼观:结节隆起于皮肤表面,切面灰粉,实性,质稍韧,2.2×1.8×0.7 cm。镜下观:真皮部位大量幼稚粒细胞浸润,核分裂相明显且多见,增生活跃,大小一致,可见核仁。
3.右前臂结节活检标本 肉眼观:不隆起于皮面,切面灰黄色,实性,质韧,1.7×1×1 cm。镜下观:大量幼稚粒细胞主要浸润于皮下组织中,细胞形态同腹部活检标本。
上述皮肤改变在血液系统疾病中主要考虑淋巴瘤或白血病,结合本例患者APL的病史,所以病理改变符合APL皮肤浸润的诊断。从免疫组化看:CD3(-),CD20(-),CD34(-),CD15(-),LCA(+)。(CD33、CD13因实验条件所限未作),髓系细胞标志均阴性,非典型早幼粒细胞细胞表型。但据国外报道,有部分患者化疗后细胞免疫表型丢失,也许本例患者属于此种情况。
, 百拇医药
葛昌文医师(骨髓室) 患者共送检两次骨髓涂片,其中包括一次外院会诊片。镜下所见:骨髓增生活跃,可见到大量异常多颗粒的早幼粒细胞,核型不规则,有切迹或凹陷,有些细胞核呈典型的“裤腿状”改变;M3细胞的胞浆颗粒有两种类型:细颗粒型和粗颗粒型,本例属于细颗粒型,且细胞内外胞浆分界明显,内浆可见较多细颗粒,外浆较透亮,少数细胞为粗颗粒型。两次骨髓片均支持APL诊断。
王宝友医师(皮肤科) 根据患者皮损特点,结合APL的原发病、辅助检查及治疗反应等,皮肤早幼粒细胞浸润诊断明确。白血病的皮肤改变称之为皮肤白血病,多见于慢性白血病,其皮损的形式可分为特异性皮损和非特异性皮损。特异性皮损是由白血病细胞直接皮肤浸润所致,外观上可表现为丘疹、结节、斑块、肿块等,多以结节为主要表现形式;非特异性皮损并非白血病细胞直接皮肤浸润所致,因此病理活检无阳性提示,外观表现多种多样。
本例患者早幼粒细胞皮肤浸润明确,但临床上及文献报道APL的皮肤浸润少见,尤其像本例患者这种弥漫性结节表现者十分罕见。
, http://www.100md.com
点评
血液科沈悌主任 由于早幼粒细胞已有一定的分化程度,所以对外周组织浸润较少,像本例患者如此明显且广泛的皮损改变十分罕见。入院时曾考虑:1.白血病治疗后继发的第二肿瘤。2.维甲酸所致的皮肤黏膜特殊的不良反应。3.特殊感染。4.白血病浸润等。经病房的相关检查,尤其是病理证实为早幼粒细胞皮肤浸润明确。白血病皮肤浸润最典型的表现是绿色瘤(原粒细胞内含有髓过氧化物酶所致),急性白血病中以M4、M5多见。早幼粒细胞的免疫组化中CD34等原始细胞标志应阴性。本例患者应进一步作髓过氧化物酶染色,若阳性,则进一步支持髓系细胞来源,对诊断有帮助。治疗方面,由于维甲酸及砷剂的出现,治疗效果明显改善,DIC等并发症减少;而且其诱导分化和凋亡的机制,在肿瘤治疗尤其是血液病方面有重大的意义。
宋志强 周道斌 沈悌, http://www.100md.com