当前位置: 首页 > 期刊 > 《中国医学论坛报》 > 2007年第39期
编号:11497319
心肌梗死、脑出血
http://www.100md.com 2007年10月18日 《中国医学论坛报》 2007年第39期
心肌梗死、脑出血

     病历摘要

    患者男,22岁,因胸痛13天于2006年11月入院。

    13天前患者在跑步中突发心前区压榨性疼痛,向双上肢放射,伴有胸闷、气短、大汗淋漓,恶心、呕吐胃内容物,四肢无力、面色苍白,休息后症状持续2小时不缓解;在当地医院急查心电图(ECG)显示Ⅱ、Ⅲ、aVF、V1-4弓背向上抬高(0.1~0.3)mv,心肌酶(起病24小时):肌酸磷酸肌酶(CK)2153 U/L,CK同功酶(CK-MB)277 U/L,肌钙蛋白I(cTnI)17 ng/ml。诊断急性心肌梗死,予溶栓治疗未成功(具体不祥),采用药物保守治疗。以后患者剧烈活动时仍有发作性心前区不适,性质较前明显减轻,休息或服用硝酸甘油1分钟内可缓解,为进一步治疗来我院急诊。既往无高血压、糖尿病史。

    体格检查:体温36.5℃,脉搏80次/分,血压110/80 mmHg,颈静脉无怒张,双侧颈动脉未闻及杂音;双肺呼吸音清,未闻及罗音;心界不大,心律齐,心尖部闻及2/6级全收缩期杂音,无震颤及传导;腹软,剑突下轻压痛,肝脾不大,肠鸣音正常;双下肢无水肿,神经系统查体无异常发现。
, 百拇医药
    分析讨论

    患者为年轻男性,本次因胸痛就诊,心电图下壁、前壁导联ST段抬高,心肌酶显著升高,急性心肌梗死诊断明确。冠状动脉粥样硬化性心脏病(冠心病)是急性心肌梗死最常见原因,但并非所有心肌梗死都由冠心病所致,尤其对于本例年仅22岁的年轻男性,既往无任何冠心病危险因素,诊断上需考虑以下三种情况:(1)冠状动脉畸形:当左冠状动脉由肺动脉分出,血流将由右冠状动脉通过并行静脉流入肺动脉,这种情况容易引发心肌梗死,发病年龄一般偏小;(2)原发性家族性高脂血症:尤其Ⅱ型,患者一般均有明确家族史,且几乎所有患者在心肌梗死之前都有心绞痛发作,很少出现没有预兆的心肌梗死;(3)冠状动脉栓塞:临床上并不多见,心肌梗死患者尸检发现率为1%~8%,而感染性心内膜炎所致为冠状动脉栓塞的主要原因。

    入院后实验室检查:血常规:白细胞(WBC)4.67×109/L[正常值(4.0~10.0)×109/L],中性粒细胞(Neu)69.1%(50%~75%),血红蛋白(Hb)138 g/L(男120~165 g/L),血小板(Plt)239×109/L[(100~360)×109/L];尿常规(-);肝肾功:丙氨酸转氨酶(ALT)41 U/L(<40 U/L),钾(K+)3.3 mmol/L[(3.5~5.5)mmol/L],肌酐、尿素氮正常;血脂:总胆固醇(CHO)3.5 mmol/L[(2.85~5.70)mmol/L],甘油三酯(TG)1.31 mmol/L[(0.45~1.70)mmol/L],高密度脂蛋白胆固醇(HDL-C)0.69 mmol/L[(0.93~1.81) mmol/L],低密度脂蛋白胆固醇(LDL-C)2.34 mmol/L[(2.07~3.63) mmol/L];ECG:Ⅱ、Ⅲ、aVF ST段弓背向上抬高0.1mv,V1-3 QS型;心肌酶正常。人类免疫缺陷病毒抗体(HIV)(-),血免疫球蛋白(Ig)IgM 0.526 g/L [(0.6~2.5) g/L],IgA和IgG正常。抗心磷脂抗体(ACL)(-);红细胞沉降率(ESR)和C反应蛋白(CRP)正常,抗核抗体(ANA)+抗双链DNA抗体(dsDNA)、抗可提取核抗原(ENA)抗体、抗中性粒细胞胞浆抗体(ANCA)均阴性,腹部B超(-)。
, 百拇医药
    追问病史, 10个月前患者无诱因突然出现头晕、呕吐,继而昏迷,外院CT诊断右侧颞叶脑出血,脑血管造影未见血管瘤。行“开颅血肿清除及去骨瓣减压术”,术后无后遗症。

    患者1年前曾有颅内出血的病史,出血前无外伤史,对于非外伤性脑出血最常见的原因为高血压,占半数以上,其他原因包括有脑动脉粥样硬化、动脉瘤、Moyamoya病(烟雾病或自发性基底动脉环闭塞症)、脑动脉炎、动静脉畸形、脑肿瘤、血液成分异常或凝血机制障碍(包括使用抗凝药物所致)。患者无高血压病史,头颅CT、血管造影除外了颅内肿瘤或动静脉畸形的可能,血小板及凝血功能均在正常水平,未使用抗凝药物。究竟是什么原因导致这个年轻男性在短期内先后出现脑出血和心肌梗死?

    再来分析患者心肌梗死原因,患者没有任何冠心病危险因素,血脂正常排除了原发性家族性高脂血症,因此,病因上要考虑冠状动脉畸形或冠状动脉栓塞。结合脑出血,从一元论角度考虑,脑血管畸形或脑血管滋养动脉栓塞均可导致脑出血,血管造影已除外脑血管畸形的可能,而动脉栓塞的可能性最大,下一步需要寻找栓塞的证据和来源。
, 百拇医药
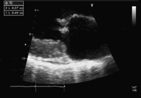
    行冠状动脉造影发现:左前降支中远端局限性狭窄,约70%,左回旋支、右冠状动脉未见狭窄及斑块。超声心动图(UCG,图1):二尖瓣脱垂,轻度二尖瓣关闭不全,二尖瓣前叶赘生物4.9 mm×5.7 mm;节段性室壁运动异常(左室间隔下段,心尖部)。

    患者述13个月前出现发热(热型不祥),体温波动在38℃~38.9℃,午后发热为主,伴恶心、呕吐,在外院先后予静脉头孢拉定,头孢氨苄抗感染治疗2周,体温下降至正常水平,此后曾有间断发热,但体温可自行下降至正常水平,1年来患者再无发热。

    患者心电图Ⅱ、Ⅲ、aVF、V1-4弓背向上抬高,心肌酶CK 2153 U/L,表明缺血累及左室前壁和下壁大范围,推测是冠状动脉大血管近段病变所致。而冠状动脉造影检查患者冠状动脉血管光滑,无畸形,仅前降支中远端有局限病变,与心电图心肌梗死部位并不相符,结合患者整体临床病程,更符合冠脉栓塞。栓塞现象是感染性心内膜炎(IE)重要临床表现,发生率在2%~40%左右,栓塞可发生在机体任何部位,包括脑血管、冠状动脉、脾动脉、肾动脉和肠系膜动脉。脑血管栓塞可以表现为脑梗死或脑出血,后者是由梗死后脑出血或脑血管滋养动脉栓塞形成的细菌性动脉瘤破裂所致。由于冠状动脉在舒张期灌注而其他脏器灌注主要在收缩期;加上冠状窦口较小、收缩期主动脉瓣开放遮掩冠状动脉窦口、冠状动脉与动脉血流成锐角关系等因素,冠状动脉栓塞并不多见,左侧冠状动脉是最常见的栓塞部位,发生率约前降支35%,左主干32%,回旋支 4%,可能与解剖因素有关。
, 百拇医药
    根据Duke标准诊断基本明确诊断:感染性心内膜炎,合并脑出血、心肌梗死。

    明确诊断后,治疗又是另一难题,冠状动脉栓塞所致心肌梗死和动脉粥样硬化所致的心肌梗死在处理上是否相同,是否应该积极进行血管重建?患者有脑出血病史,下一步的抗凝、抗血小板方案应该如何选择?

    患者冠状动脉造影后狭窄局部未予放置支架,术后未予抗凝治疗,予阿司匹林抗血小板聚集,美托洛尔,卡托普利改善心肌重构。同时予青霉素480万单位静脉滴注q8h×4周。患者未再出现胸痛症状。

    对于冠心病患者应积极对肇事血管进行血流重建。然而对于IE所致冠状动脉栓塞,冠状动脉支架置入存在支架感染问题,进而可能发生致命性并发症如感染性动脉瘤、血管破裂、感染播散和全心炎等。单纯的球囊扩张术也有很大的风险。Herzog等人报道过1例感染性冠状动脉栓塞所致心肌梗死,在发病12小时内行单纯球囊扩张术,结果在球囊扩张部位出现感染性动脉瘤,而栓子本身迁移到动脉远端。溶栓治疗对于新鲜血栓可能有效,而对于已经机化的血栓效果不佳,特别是对于IE患者,有潜在脑出血的危险。抗凝治疗不能预防IE患者的栓塞事件,而且有颅内出血的风险,尤其近期有脑梗塞或感染性动脉瘤者。溶拴和抗凝治疗均非IE合并栓塞的治疗指征。本例冠状动脉造影结果示远段血流 TIMI Ⅱ级,提示栓塞部位在动脉远端,所以不予干预处理,同时患者已有脑出血史,不予抗凝治疗,予阿司匹林、β受体阻滞剂、血管紧张素转换酶抑制剂保守治疗。
, 百拇医药
    此外,还需要针对感染治疗,对于自体瓣膜感染,需应用敏感性抗生素治疗(4~6)周。虽然患者入院时已无菌血症迹象,但患者入院前抗感染治疗疗程不足,且近期有栓塞事件发生,应继续予抗感染治疗。除了抗感染治疗外,患者是否具备手术指征?IE的手术指征为:(1)持续菌血症;(2)顽固性心衰、血流动力学不稳定;(3)多发栓塞事件(超过两个主要脏器栓塞)。虽然患者目前已有两个主要脏器出现栓塞事件,但患者瓣膜功能基本正常,仅有轻度反流,无心力衰竭,因此目前尚无手术指征。

    补充病史,患者在2005年9月发热前数天曾有明确拔牙史,当时未预防性使用抗生素。

    UCG证实患者有二尖瓣脱垂伴反流,二尖瓣脱垂是引起IE的常见基础心脏疾病。美国心脏学会/美国心脏病学会(AHA/ACC)感染性心内膜炎指南推荐这类病人在手术或器械操作前必须预防性使用抗生素,而患者在拔牙时没有预防性应用抗生素,这可能是患者IE发生的重要原因。

    体会:(1)心肌梗死并不等于冠心病,应对其病因进行鉴别诊断,尤其对于没有冠心病危险因素的年轻患者。(2)感染性冠状动脉栓塞所致心肌梗死处理原则与经典的冠心病心肌梗死不同,不给予再灌注治疗及抗凝治疗。

    点 评

    年轻人出现急性心肌梗死少见,心肌梗死的原因有多种,本文进行了鉴别分析。并指出了感染性冠状动脉栓塞的处理原则,早期诊断、及时治疗是改善预后的关键。对于有二尖瓣脱垂等IE高危人群,在有创操作时须给予预防性抗生素治疗。(刘晓红), 百拇医药