当前位置: 首页 > 期刊 > 《中国医学论坛报》 > 2007年第43期
编号:11503606
实时灰阶超声造影对小肝癌诊断价值明显
http://www.100md.com 2007年11月15日 《中国医学论坛报》 2007年第43期
实时灰阶超声造影对小肝癌诊断价值明显

     复旦大学附属中山医院超声科丁红等进行的研究表明,实时灰阶超声造影可动态观察肝肿瘤相对于肝实质的灌注和廓清过程,并揭示肿瘤的血流动力学,在直径3 cm以下的原发性肝癌鉴别诊断中具有重要的临床实用价值。

    研究分析了353例(男性293例,女性60例)患者造影的增强时相和增强方式。患者平均55.7岁(24~80岁),共有378个经临床和病理证实的直径3 cm以下的原发性肝癌,包括肝细胞性肝癌359个,肝细胞和胆管细胞混合性肝癌4个,胆管细胞性肝癌8个,上皮性恶性肿瘤3个,神经内分泌癌1个,小细胞癌2个和血管内皮肉瘤1个。

    结果显示,96.6%(365/378个)原发性肝癌病灶的动脉相显示增强,其中 84.7% (320/378个)病灶增强早于肝实质(图a和b), 13.0% (49/378个)病灶增强与肝实质同步;增强方式中,87.0% (329/378个)病灶呈整体增强,9.3% (35/378个)呈斑片状增强,3.7% (14/378个)呈环状增强。在门脉相和晚期相,90.5% (342/378个)病灶相对于肝实质呈低增强(图c)。

    研究提示,若将造影时病灶动脉相增强早于或同步于肝实质、门脉期消退作为超声造影诊断肝癌的标准,敏感性为87.3% (330/378个);将整体增强和斑片状增强作为原发性肝癌的特异增强方式,实时灰阶超声造影诊断原发性肝癌的敏感性为96.3%(364/378个);若结合增强方式和增强时相,则敏感性为92.9% (351/378个)。

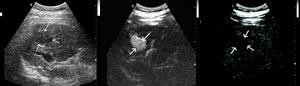
    图a 常规二维超声显示肝右叶一20 mm×15 mm稍低回声病灶(箭头所示),边界模糊

    图b 注射超声造影剂SonoVue20秒后病灶显示整体增强(箭头所示),明显快于肝实质,且边界清晰

    图c 注射超声造影剂SonoVue160秒后病灶回声减退(箭头所示),相对于肝实质呈低增强改变,符合典型的“快进快出”血流动力学表现。, 百拇医药