当前位置: 首页 > 期刊 > 《中国医学论坛报》 > 2007年第45期
编号:11510670
肺乳头状腺瘤1例
http://www.100md.com 2007年12月9日 《中国医学论坛报》 2007年第45期
肺乳头状腺瘤1例

     患儿为14天男婴,主因“呼吸急促、精神差8天”入院。CT诊断:右肺多发团块状占位病变,性质待查。手术见右肺体积增大,下肺内有肿瘤结节占位,约12 cm×9 cm×6 cm大小,上叶内结节样肿块体积略小,中叶形态正常。病理诊断:右肺乳头状腺瘤。

    肺乳头状腺瘤是位于肺周边部罕见的良性肿瘤。查询国内外文献,目前仅6例报告,发病年龄从7岁至57岁,平均32.8岁,男女性别无明显差异。肿瘤生长缓慢,多无明显临床症状。肿瘤以下叶为多,位于肺野周边部,肿瘤与周围肺组织边界清楚,手术容易被切除。本例14天男婴,临床表现为呼吸急促、反应差,为已报告病例中症状最重、年龄最小患者。本病易与肺囊肿、肺错构瘤、先天性肺囊性腺瘤样畸形等相混淆。CT可提示诊断,确诊需依靠病理。

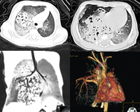
    图1、2 CT轴位平扫,肺窗:可见上下肺野分布外形不规则团块状占位,其内见弥漫泡状低密度影;病变主要分布于右上肺尖段,右侧前下胸膜下及右下肺后内侧脊柱前(箭头所示)

    图3 CT二维冠状位重建:右主支气管受压上移 ,其上下方均可见占位病变

    图4 CT三维重建:心影纵隔受压向左移,右侧肺、动静脉受压上抬, http://www.100md.com