当前位置: 首页 > 期刊 > 《中国医学论坛报》 > 2007年第48期
编号:11516522
胰头幼年性黄色肉芽肿一例
http://www.100md.com 2007年12月20日 《中国医学论坛报》 2007年第48期
胰头幼年性黄色肉芽肿一例

     病历摘要

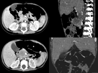
    患儿,女,6个月,主因巩膜、皮肤、尿色黄,粪便色白20余天入院。在我院行腹部CT检查,显示胰头有类圆形软组织密度包块影,形态欠规则,无明显强化。肝大,肝内可见多个大小不等圆形低密度影,无强化,肠系膜上动静脉受推移。 CT诊断:胰头占位(胰母细胞瘤可能性大),肝内转移。

    手术中见胰头肿瘤,质硬较固定,行部分切除;肝脏表面弥漫分布有粟粒样淡黄色结节,以右半肝为著,行肝边缘大结节楔形切除。病理诊断:胰、肝、淋巴结幼年性黄色肉芽肿。

    讨论

    幼年性黄色肉芽肿为非朗格罕细胞增生性疾病,本病少见,好发于儿童和青少年,也可见于成人,约45%发生在1 岁以内的婴幼儿。临床表现主要为皮肤黄色丘疹或结节样改变,有皮肤以外损害时称为系统性幼年性黄色肉芽肿,也可表现为肌肉或内脏孤立性病变。累及的器官有肺、眼、心外膜、口腔、睾丸、肾、脑、外周神经、肝、脾、肾上腺、骨、眼眶、颌下腺、鼻腔、舌、支气管、上颌窦、肠、淋巴结等。

    病理学特征为致密性泡沫状组织和touton巨细胞浸润,本病为良性增生性疾病,有自限性倾向。内脏黄色肉芽肿大多表现为结节或肿块性病变,一般无临床症状和功能障碍,多数病变长期保持稳定状态,部分病变可自行消退。文献报道小儿累及胰腺的病例仅见3 例,分别为2 个月、5个月及9个月婴儿,平均年龄为5.5个月,2例患儿经保守治疗后肝功能迅速恢复,1例将肿物切除。

    本例为6个月婴儿,临床表现为阻塞性黄疸,手术后经保守治疗症状好转。鉴别诊断主要为:①朗格罕细胞组织细胞增生症(LCH),该病与幼年性黄色肉芽肿一样除皮肤病变外,也可累及肺、肝、脾等内脏器官;但LCH常累及骨骼,与本病不同,确诊需行病理检查。②胰母细胞瘤,好发于8 岁以下的儿童,平均年龄4岁,但1岁以下罕见。临床多因腹胀、包块求诊。皮肤病变少见,胰腺外多器官病变更少见,与本病表现不同,但鉴别诊断仍需病理。

    图1、2 CT增强横轴位及矢状位二维重建:胰头类圆形软组织密度占位,未见明显强化(箭头所示)

    图3、4 CT增强轴位及冠状位二维重建显示:肝内结节状低密度灶,未见强化(箭头所示), http://www.100md.com