当前位置: 首页 > 期刊 > 《中国医学论坛报》 > 2008年第1期
编号:11517200
儿童上腹痛、胰腺炎一例
http://www.100md.com 2008年1月3日 《中国医学论坛报》 2008年第1期
儿童上腹痛、胰腺炎一例
儿童上腹痛、胰腺炎一例
儿童上腹痛、胰腺炎一例

     临床表现

    患儿男,11岁,因突发上腹痛8小时来急诊科就诊。疼痛向背部放散,进食后加重,无明显缓解因素,伴恶心、呕吐。查体:无发热,生命指征平稳,上腹部及左季肋部有压痛,肠鸣音减弱,全身检查未见其他阳性体征。

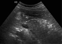
    急诊常规血液学检查显示:白细胞计数7800/mm3,多形核白细胞比例64%,血红蛋白12.4 g/dl,红细胞沉降率40 mm/h,总胆红素1.2 mg/dl,天冬氨酸氨基转移酶38 IU/L,丙氨酸氨基转移酶34 IU/L,碱性磷酸酶166 IU/L。血清淀粉酶986 IU/L。腹部X线平片检查未见异常。急诊腹部超声结果见图1、 2。

    问题

    此患儿的诊断是什么?[Gut 2008,57(1):103]

    答案

    图1(3.5 MHz凸阵探头腹部超声图像)所示,在十二指肠降段内,可见一个长管状匍行性病变(实时显像见病变可移动),病变部分位于主胰管内,胰头部肿大。图2显示的是高频超声图像(7.5 MHz线阵探头),提示管状病变为一条蛔虫。

    接下来的侧视内镜检查证实,管状病变为一条活的蛔虫(图3),并且被完整地取出体外。

    诊断:蛔虫进入胰管(胰腺蛔虫病)诱发急性胰腺炎(血清淀粉酶水平升高支持)。

    蛔虫病是最常见的蠕虫感染性疾病,在全球范围内,受累及的人数超过14亿,尤其以亚洲及拉丁美洲国家为主。在儿科急诊中,有50%~60%的患者是因蛔虫病就诊,这其中有10%是肝胆管及胰腺蛔虫病。本病例正如Opie的共同通道假说所述,某些胰腺炎的病因并非胆汁反流,而是胰管阻塞。实时超声成像对于胰腺蛔虫病是一种有效、可靠、无创的诊断方法。在超过73%的病例中,内镜下从胰管中取出蛔虫是可行的。[Gut 2008, 57(1):124]

    图1 3.5MHz凸阵探头腹部超声图像显示,在十二指肠降段存在一个长管状匍行性病变,病变部分位于主胰管内,胰头部肿大

    图2 7.5MHz高频线阵探头腹部超声可见管状病变

    图3 侧视内镜显示,在十二指肠降段内有一条活的蛔虫, http://www.100md.com