当前位置: 首页 > 期刊 > 《中国医学论坛报》 > 2008年第7期
编号:11561089
1例喘憋患者的曲折转归路(续)——病因解析
http://www.100md.com 2008年2月21日 《中国医学论坛报》 2008年第7期
1例喘憋患者的曲折转归路(续)——病因解析

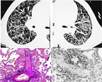
     上期刊出了1例喘憋、肺水肿、肺动脉高压患者的病历简介,本期继续刊出针对该病例鉴别诊断的各路专家观点。

    诊治思路

    心源性肺水肿?

    患者有肥胖、高血压、糖耐量异常和吸烟等危险因素,冠脉CT不除外冠脉病变,当时难以除外感染诱发的急性左心衰。尽管B型钠尿肽(BNP)水平升高支持心功能不全的诊断,但BNP并非心衰的特异指标。多次超声均显示心脏结构和收缩功能无显著异常;虽然E峰速度与A峰速度比值(E/A)>2,但肺静脉血流和二尖瓣环情况不支持左心舒张功能不全,且估测肺动脉舒张压、左房压及左室充盈压均不高。此外,经抗炎、强心、利尿(静脉托拉塞米80 mg/d)、扩血管、抗血小板、降脂及吸氧等对症治疗,患者体重在2周内下降8 kg,但喘憋症状进行性加重、胸部影像学结果未改善。

    常见病导致的非心源性肺水肿?

    考虑到患者血沉快、C反应蛋白(CRP)明显升高,无心肌缺血及器质性心脏病的证据,在充分给予针对心衰的治疗后肺水肿不仅未减轻反而加重,应除外其他导致喘憋、双肺片状影的非心源性疾病,如结缔组织疾病引起的肺间质、肺血管病变,以及肺栓塞,急性呼吸窘迫综合征(ARDS)等疾病。但患者无免疫疾病的临床表现,实验室检查也无异常发现,难以用常见疾病解释其整个临床过程 ......

您现在查看是摘要页,全文长 4875 字符