当前位置: 首页 > 期刊 > 《中国医学论坛报》 > 2008年第8期
编号:11561016
重症胰腺炎合并降结肠瘘一例
http://www.100md.com 2008年2月28日 《中国医学论坛报》 2008年第8期
重症胰腺炎合并降结肠瘘一例

     重症胰腺炎(SAP)病情危重,并发症多,死亡率较高,其治疗是内外科医生关注的焦点,同时也是难点。随着研究的深入,人们对SAP发生机制的认识有了重大转变,治疗策略也随之变化。本病例是一例典型的SAP,其诊治经过提示我们,过早的手术干预是危险的,但病情变化后一味地等待也会造成治疗的延误,影响患者预后。

    病历摘要

    患者女性,32岁,因“持续中上腹痛6小时”,以“急性胰腺炎”收入院。

    体格检查

    腹部平坦,Grey-Turner征(-),Cullen征(-),腹肌紧张,中上腹、左上腹压痛明显,无反跳痛,墨菲氏征(-),肝脾肋下未触及,腹部叩诊呈鼓音,肝肾区无叩击痛,移动性浊音阴性,肠鸣音1~2次/分。

    入院后辅助检查

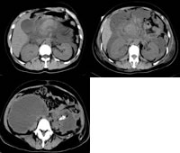
    入院后查血常规提示:白细胞计数(WBC) 13.8×109/L、GRAN 85.4%。急诊生化:Na+ 127.5 mmol/L、K+ 3.16 mmol/L、Ca2+ 1.92 mmol/L。血淀粉酶 246 U/L。血脂检查:胆固醇 20 mmol/L,甘油三酯36.1 mmol/L。腹部CT结果提示,胰腺增大、肿胀、边界模糊。

    诊治经过

    予以禁食、抑制胰酶分泌、抗炎、降脂、补液及对症治疗 ......

您现在查看是摘要页,全文长 4691 字符