当前位置: 首页 > 期刊 > 《中国医学论坛报》 > 2008年第22期
编号:11604872
间断发热、骨痛
http://www.100md.com 2008年6月12日 《中国医学论坛报》 2008年第22期
间断发热、骨痛

     病例摘要

    患儿男性,6岁,因间断发热、骨痛1个月入院。

    入院前1个月,患儿发热,体温38℃左右,自诉胸痛、右侧肢体疼痛,无活动受限、局部红肿等表现,伴乏力、多汗、消瘦。当地胸部X线检查提示“胸部占位性病变”,考虑“畸胎瘤”。我院门诊以“胸部占位性病变”收住院。既往无特殊疾病史。

    查体 神志清楚,精神弱,发育营养一般;皮肤无皮疹、出血点,全身浅表淋巴结不大;双肺呼吸音粗,未闻及干湿罗音;心音有力,律齐,心率110次/分钟;腹软,剑突下触及可疑包块,肝脾未触及;神经系统查体未见异常。

    辅助检查 血常规:白细胞6.9×109/L,中性粒细胞64%,血红蛋白117 g/L,血小板343×109/L。

    骨髓细胞学检查:骨髓增生活跃,粒红两系增生均可。可见神经母细胞,占4.5%,呈菊花团状聚集成堆。
, 百拇医药
    实验室检查:神经原特异性烯醇化酶(NSE)升高(33.2 ng/ml),尿香草杏仁酸(VMA)升高(28.2 mg/24h),血乳酸脱氢酶(LDH)明显升高(2000 U/L)。

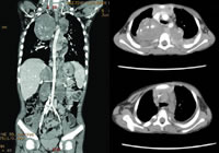
    胸腹部CT:神经母细胞瘤,累及双侧后纵隔、肾上腺、膈肌脚、腹膜后及椎管内,局部肋骨破坏。

    核素骨扫描:T8椎体、左侧第4后肋可见放射性浓聚灶,提示多发性骨代谢异常,考虑为神经母细胞瘤多发性骨转移。

    临床诊断 神经母细胞瘤(Ⅳ期)

    入院后给予水化碱化预防肿瘤溶解综合征,减轻肿瘤负荷。按BCH-神经母细胞瘤高危方案,予以CAV(环磷酰胺、多柔比星、长春新碱)4疗程、CVP(顺铂、VP16)3疗程治疗。第4疗程化疗结束后,手术切除腹膜后和后纵隔病灶,术后病理证实为神经母细胞瘤。
, 百拇医药
    讨论

    神经母细胞瘤(NBL)是儿童期最常见的颅外实体瘤,起源于肾上腺髓质和交感神经节的神经嵴细胞,可发生在肾上腺髓质、颅底、后纵隔、腹主动脉旁以及骶前交感神经链。约75%NBL位于腹膜后间隙,位于胸部后纵隔者约占15%。

    关于诊断

    NBL为分泌型肿瘤,患者除肿瘤一般症状外,多存在儿茶酚胺代谢率增高症状,同时NSE、尿VMA、LDH等生物学标志物明显升高。影像学检查是发现原发灶和转移灶的重要手段,确诊有赖于手术病理组织活检。

    本病例患儿为学龄前男童,急性发病,临床表现除了间断发热、骨痛伴乏力外,有多汗、消瘦、苍白和心率快等儿茶酚胺代谢率增高症状。影像学检查提示病灶广泛,双侧后纵隔紧贴脊柱两侧缘及肾上腺、膈肌脚、腹膜后可见团块状占位性病变,病变通过扩张的椎间孔进入上胸椎椎管内。核素骨扫描提示多发骨代谢异常,骨髓细胞学检查提示骨髓侵犯。NSE、尿VMA、LDH明显升高。NBL(Ⅳ期)诊断明确。
, http://www.100md.com
    关于鉴别诊断

    NBL应与肾母细胞瘤、急性白血病、原始神经外胚叶瘤、尤文肉瘤等鉴别。肾母细胞瘤与NBL一样病程较短,但影像学检查提示肿瘤多局限于肾内,肿瘤表面光滑,罕见肿瘤内钙化点,静脉肾盂造影可见肾盂、肾盏拉长变形,尿VMA阴性。NBL发生骨髓浸润时,表现为中、重度贫血和血小板减少,易误诊为急性白血病,但后者骨髓中肿瘤细胞为各种幼稚的血源性肿瘤细胞,而非菊花团样肿瘤细胞,无其他实体肿瘤存在,尿VMA阴性。NBL病理及免疫组化NSE、Syn、CgA、S-100、EMA、LCA染色有助于鉴别以上其他恶性肿瘤。

    关于治疗

    由于许多NBL患儿确诊时已达Ⅲ~Ⅳ期,如何争取原发肿瘤完整切除和转移灶满意控制已成为关注热点。国内外许多学者提出应用延期和二次手术治疗NBL,即通过术前化疗使原发肿瘤缩小,为完整切除肿瘤创造条件,同时有效杀灭循环血液中的微小转移灶肿瘤细胞,减少肿瘤细胞远处转移。应用大剂量强化化疗联合造血干细胞移植以重建造血和免疫功能,在提高患儿无肿瘤生存率方面有重要作用。目前国际标准NBL治疗方案采用包括化疗、手术、放疗、自体造血干细胞移植及免疫治疗的综合治疗措施,总疗程1~1.5年。

    本病例采用强化化疗4疗程后,影像学检查提示病灶明显缩小,给予手术切除病灶。但病灶使右侧主支气管受压变窄,右侧腰大肌变薄并向外侧移位,部分胸主动脉被包绕并前移,双侧肾静脉前移,双侧肾动脉变细,左侧肾动脉被包绕并前移,这些均为手术危险因素。因此本病例分三次手术切除腹部及胸部肿瘤病灶。目前患儿一般情况良好,第7疗程已经结束,准备进入自体干细胞移植巩固治疗阶段。仍需进行动态观察及长期随访以进一步评估疗效。

    图1、图2 患儿初诊时影像学检查提示瘤灶广泛分布于后纵隔和腹膜后

    图3 术后CT检查结果, http://www.100md.com