当前位置: 首页 > 期刊 > 《中国医学论坛报》 > 2008年第22期
编号:11604857
聚焦基底动脉闭塞与早期积极降压——2008 ESC带给急性卒中治疗的启示
http://www.100md.com 2008年6月12日 《中国医学论坛报》 2008年第22期
聚焦基底动脉闭塞与早期积极降压——2008 ESC带给急性卒中治疗的启示

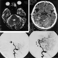
     基底动脉闭塞

    在SITS-MOST注册研究良好结局的鼓舞下,急性卒中时间窗内血管再通的研究又聚焦在基底动脉闭塞(BAO)的治疗上。本届会议众多研究为BAO的干预提供了很好的证据,提示BAO的溶栓治疗仍主张在时间窗内应用静脉溶栓,其他增强前循环脑梗死静脉溶栓效果的诸多干预(如超声助溶、微球超声助溶)可能也是安全有效的。

    荷兰BASICS研究

    静脉溶栓优于动脉溶栓

    继2006年对全球BAO溶栓治疗系统回顾的结果公布后,荷兰学者开展了前瞻性、多中心国际注册登记研究——BASICS研究。该研究连续纳入典型临床症状和放射影像确诊的622例 BAO患者,这些患者分别接受了抗血栓治疗(AT,184例)、静脉溶栓(IVT,80例)、静脉联合动脉溶栓(IVT+IA,41例)或动脉溶栓(IA,290例)治疗,其中IA组单纯动脉内溶栓、动脉溶栓加机械取栓以及动脉机械取栓者分别为179例、80例和31例。各组患者年龄相仿,平均年龄64岁,但美国国立卫生研究院卒中量表评分(NIHSS)及发病至治疗的时间在各组存在较大差异。研究者将良好转归定义为1个月时改良Rankin评分(mRS)介于0~3分。线性回归分析结果表明,AT、IVT、IVT+IA和IA组获得良好转归的比例分别为37%、45%、36%和25%。该研究提示,虽然动脉溶栓治疗BAO相当普遍,但该治疗的绝对有效性不及其他治疗组,反而静脉溶栓的疗效更佳。
, 百拇医药
    德国单中心研究

    动脉溶栓联合阿昔单抗优于单纯动脉溶栓

    德国学者的一项单中心对照研究探索了动脉溶栓联合血小板糖蛋白(GP)Ⅱb/Ⅲa受体拮抗剂阿昔单抗的作用。共75例BAO患者被纳入研究,随访3个月时的结果显示,联合治疗组获得良好血管再通(TIMI 2级或3级)的比例(83.7%对62.5%)、存活率(58%对25%)以及mRS介于0~3分的比例(34.9%对12.5%)均显著高于单纯动脉溶栓组,两组症状性颅内出血(sICH)率相似(14%对18.8%,P=0.41)。血管再通的独立预测因子包括年龄(OR=0.95)、房颤(OR=6.53)和联合治疗(OR=3.37),该研究提示动脉内溶栓联合GPⅡb/Ⅲa受体拮抗剂可能是一种有效的治疗方法。

    新加坡和西班牙超声助溶研究

    超声助溶及微球超声助溶似安全有效
, 百拇医药
    新加坡学者探索了静脉溶栓治疗BAO的同时使用 2 MHz超声助溶的效果。据Sharma医师报告,应用2 MHz脉冲经颅多普勒超声(TCD)法,按照CLOTBUST研究的标准连续入选了12例患者。分析结果显示,共9例患者血管再通或部分再通,平均NIHSS从基线时的13分回落至7分,11例预后良好的患者中无1例发生sICH。这一初步结果提示,对BAO实行静脉溶栓时,辅助超声助溶是可行且安全有效的,连续TCD监测有助于实时观测溶栓血管再通情况。

    超声助溶再通时间对急性脑梗死溶栓后ICH的预示作用也值得关注,西班牙学者观察了微球(mirobubbles,MB)增强超声助溶时ICH的发生率。该研究共纳入188例大脑中动脉闭塞(MCAO)患者。结果显示,微球超声助溶提高早期血管再通率、增加溶栓后出血转化危险(OR=5.8),但不增加sICH的发生危险。

    早期积极降压

    人们对于卒中急性期的血压管理目标一直争论不已,2007年美国心脏学会(AHA)以及2008年欧洲卒中组织(ESO)的相关指南虽然提出了较以往更为积极的观点,但仍然维持原有的血压干预标准。针对卒中急性期血压管理这一敏感性问题,本届大会上的一些研究提供了更多的临床证据,CHHIPS及INTERACT预试验结果更是对现有指南提出了挑战。
, http://www.100md.com
    瑞典SITS-ISTR研究

    溶栓7天内积极降压未显不良后果

    瑞典学者分析了SITS-ISTR研究中溶栓患者高血压处理情况对预后的影响。根据溶栓治疗后7天内的降压治疗情况将患者分为4组:有高血压病史、接受降压治疗组(A组,n=5366),有高血压病史、未接受降压治疗组(B组,n=1501),无高血压病史、接受降压治疗组(C组,n=963)和无高血压病史、未接受降压治疗组(D组,n=2493)。多因素分析揭示,溶栓后的高收缩压(SBP)水平与3个月时不良预后有密切关联(P<0.001):SBP 与sICH呈线性相关,与死亡呈U形相关,SBP介于141~150 mm Hg与良好预后相关。B组死亡风险最高(与D组相比,A、B、C组OR值分别为0.82、1.63 和0.63),A组和C组3个月时具备独立能力的概率较大(与D组相比,A、B、C组OR值分别为1.03、0.88 和1.09)。据此研究者提出,在溶栓后早期(7天)更积极的血压管理(中等程度降低血压)未显示降压带来不良后果,即使无高血压病史、接受降压治疗的患者也似乎有获得良好转归的趋势。
, 百拇医药
    英国CHHIPS先期研究

    赖诺普利可平稳降低24小时血压

    英国学者对179例发病36小时内脑梗死/脑出血、SBP>160 mm Hg的患者,随机双盲给予拉贝洛尔(Lab)、赖诺普利(Lis)或安慰剂,治疗14天,降压目标为24小时内SBP达到145~155 mm Hg或降低15 mm Hg。结果显示,与基线相比,24小时内Lab、Lis和安慰剂组血压分别下降18 mm Hg、25 mm Hg和9 mm Hg,与安慰剂组相比,Lis组差异显著(P=0.001),Lab组无显著差异;治疗14天时3组血压水平仍低于基线。滴定分析提示,赖诺普利能稳定降低24小时内收缩压水平、拉贝洛尔则需调整剂量及输液速度达到稳定降压的效果。两种积极降压治疗均未带来严重的不良事件。

    INTERACT先期研究

    挑战急性期更低血压目标
, 百拇医药
    INTERACT 先期研究纳入404例发病6小时内的脑出血患者,其中96%为中国患者,对SBP>150 mm Hg者实施积极降压干预。结果表明,与按照国际指南血压处理标准组相比,积极降压组在接受治疗的1小时内SBP降至140 mm Hg,研究终点两组血压相差13 mm Hg,积极降压组24小时血肿体积减少26%,血肿增大危险降低36%,死亡危险未见增加,临床预后终点指标在两组间无显著差异。该研究说明积极降压是安全的,急性期更低的血压目标是可以接受的。

    图1 脑干磁共振成像显示基底动脉无血流

    图2 CT提示右侧小脑缺血性改变

    图3 动脉内数字减影血管造影显示基底动脉闭塞(如箭头所示)

    图4 溶栓治疗后基底动脉恢复再灌注(如箭头所示), http://www.100md.com