当前位置: 首页 > 期刊 > 《中国医学论坛报》 > 2008年第44期
编号:11711909
第50届ASTRO年会专题报道(二) ASTRO 2008进展热议之肺癌
http://www.100md.com 2008年11月13日 《中国医学论坛报》 2008年第44期
第50届ASTRO年会专题报道(二) ASTRO 2008进展热议之肺癌

     非小细胞肺癌

    早期中央型NSCLC

    大分割立体定向放疗对早期周围型非小细胞肺癌(NSCLC)较常规放疗效果明显提高,本次美国放射治疗及肿瘤学会(ASTRO)年会初步探讨了其对早期中央型NSCLC的安全性。

    拉奥(Rao)介绍了一项早期中央型NSCLC的剂量爬坡试验,从9 Gy/f(×5 f)剂量组开始,完成治疗后随访3个月若没有出现剂量限制性毒性(DLT),则下一组单次递增1 Gy。在9 Gy/f组和10 Gy/f组中,随访12~16个月内没有发现严重放射损伤并发症。有研究者对60例这类患者给予四维CT(4D-CT)和图像引导下大分割放疗(10 Gy/f,共4~5 f),中位随访17个月没有发现严重并发症。但是,韩国学者报告的32例Ⅰ期NSCLC接受大分割立体定向放疗的研究中,放疗(10~20 Gy/f)后的2年总生存率(OS)仅38.5%,中央型患者Ⅲ~Ⅳ级气管和支气管损伤发生率达33%(3/9例)。另有研究者报告,对131例Ⅰ期NSCLC行大分割立体定向放疗,其中1例中央型患者治疗后发生上腔静脉-主气管瘘死亡。
, 百拇医药
    这些研究提示,位于肺门部位的部分中央型Ⅰ期NSCLC在合理的剂量分布下接受大分割立体定向放疗是安全的,但要避免对临近的纵隔器官行大分割照射。

    复发和晚期NSCLC

    鲁斯托文(Rusthoven)报告,在54例一线方案治疗失败后的晚期和复发NSCLC患者中,52%采用立体定向精确放疗作为姑息治疗,治疗失败后的局部复发或远处转移时间与能否适合立体定向放疗密切相关。

    有研究者分析了15例Ⅲ期NSCLC放化疗失败后用赛博刀(Cyberknife)挽救治疗的结果,治疗范围为正电子发射断层扫描(PET)显示的大体肿瘤靶区(GTV)外放5 mm,剂量5~6 Gy/f,总量25~30 Gy,挽救治疗的成功率为53%。

    这两项研究显示,立体定向精确放疗对一半以上的复发和晚期NSCLC具有姑息治疗价值。
, 百拇医药
    PET在NSCLC放疗中的价值

    多项研究显示,PET-CT可以提高NSCLC纵隔淋巴结诊断和放疗靶区定义的精确性,而且肿瘤标准化摄取值(SUV)高者的预后明显较差。

    另有研究显示,95例不能手术NSCLC患者放疗后残存肿瘤区域与放疗前高SUV区域几乎完全重合(重合度大于90%)。肿瘤生物特征适形放疗(即对肿瘤内部不同放疗敏感性部分给予不同剂量)被认为是下一代精确放疗的目标,但一直因为缺乏适当的工具来定义生物学特征的异质性而无法实施。本研究显示,PET-CT可作为一种工具来推动肿瘤生物特征适形放疗的实践和发展。

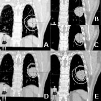
    图A为吸气末常规CT所示计划靶区(PTV)。图B、图C和图D分别为吸气末、呼气末和整个呼吸期间的4D-CT图像。图E为常规CT与4D-CT的PTV对比。可见,常规CT漏掉了呼气末肿瘤涉及的部分区域。

    局部晚期NSCLC
, 百拇医药
    同步放化疗:新放疗技术可能提高疗效

    同步化放疗是局部晚期NSCLC的标准治疗,疗效较单纯放疗和序贯化放疗明显提高。研究者报告了对600例Ⅲ期NSCLC行超分割放疗加同步化疗的结果,5年OS、无局部转移生存率和无远处转移生存率分别为19%、29%和35%。

    拉泽(Laser)报告了2001至2007年间102例NSCLC患者接受调强放疗(IMRT)联合含铂类方案化疗(61例序贯化放疗,41例同步化放疗)的结果,序贯组和同步组的2年OS分别为44%和57%(P<0.01)。

    上述两项研究中,放射性肺炎等并发症发生率没有显著升高。这些数据提示,采用更新的放疗技术可能是提高同步化放疗疗效的努力方向之一。

    术前放疗:作用仍有待进一步探讨

    科希(Koshy)分析了美国监测、流行病学与最终结果(SEER)数据库中1988至2004年间48131例Ⅲ期NSCLC的数据。新辅助放疗加手术治疗(2.8%)的5年疾病相关生存率为41%,而单纯放疗(67.2%)、单纯手术(17.1%)和手术加术后放疗(12.9%)分别为8%、34%和31%。
, http://www.100md.com
    卡鲁尔(Karur)报告的一项术前同步化放疗+手术+术后巩固化疗的Ⅱ期研究(19例)中,2年OS为42%,术后病理完全缓解(pCR)率为16%,手术死亡率和并发症发生率和同期非术前放疗患者相似。

    杜克(Duke)大学学者对98例Ⅲ期(N2)NSCLC患者术前给予化疗或同步化放疗,两组的术后纵隔淋巴结pCR率分别为35%和66%,但2年OS无差别。全组的2年OS和无病生存率(DFS)分别为42%和28%,和文献报告的含同步化放疗的非手术治疗模式相比无明显提高。

    术后放疗:3D-CRT优于常规放疗

    目前普遍认为常规术后放疗对NSCLC没有益处。加拿大学者报告,术后接受三维适形放疗(3D-CRT)者(101例)和常规放疗者(71例)的4年局部无进展生存率(PFS)为89%和70%(P=0.007)。这与最近的文献报道一致,3D-CRT对Ⅲ期(N2)NSCLC较常规术后放疗效果显著提高。
, http://www.100md.com
    放疗疗效预测:基因组单核苷酸多态性

    我院学者在去年ASTRO会议上报告了局部晚期NSCLC患者基因组单核苷酸多态性与放疗后放射性肺损伤有关,本次年会上,我院研究者报告了放疗疗效与患者基因组单核苷酸多态性的关系。结果ATM基因81165T位点单核苷酸多态性是放疗疗效的独立预后因素。个体化治疗对提高局部晚期NSCLC疗效有重要意义,这为探索个体化评价和预测局部晚期NSCLC患者的预后提供了一个新的思路。

    小细胞肺癌

    M.D.安德森(Anderson)癌症中心学者比较了1985至2004年间415例局限期小细胞肺癌(SCLC)患者接受诱导化疗+放疗、同步化放疗及诱导化疗+同步化放疗三种模式治疗的效果,患者的中位生存时间分别为18、27、39个月,5年OS分别为11%、31.5%和29.2%,Ⅱ级以上放射性肺炎发生率分别为11%、22%和26%。这说明含同步化放疗的综合治疗模式优于序贯模式,当然副作用也有所增加。在第三种模式中,分别接受0、1、2、3个周期诱导化疗的5年OS分别为31.5%、36.4%、25.3%和12%,而治疗中体重减轻发生率分别为30%、5%、14%和9%,Ⅱ级以上放射性肺炎发生率分别为22%、25%、36%和9%。这说明1个周期诱导化疗+同步化放疗模式具有最佳的获益/风险比。这一结果与最近报道的荟萃分析结果一致,因此同步化放疗尽早介入局限期SCLC的治疗至关重要。

    本次ASTRO年会上还有两项手术治疗SCLC的报告。我院学者回顾性分析了124例SCLC(Ⅰ期21例,Ⅱ期23例,Ⅲ期80例)接受手术治疗的结果,其中Ⅰ、Ⅱ期患者的5年OS分别为60.2%和54.6%。

    威尔逊(Wilson)报告,SEER数据库中247例Ⅰ~Ⅱ期SCLC患者接受肺叶切除后,肺门淋巴结阴性和阳性者的5年OS分别为49%和24%,术后胸部放疗对OS无影响。

    这两项回顾性分析说明,对早期淋巴结阴性的SCLC患者,手术是一种有效的治疗选择。, 百拇医药