当前位置: 首页 > 期刊 > 《中国医学论坛报》 > 2008年第46期
编号:11711435
白质消融性脑白质病一例
http://www.100md.com 2008年11月27日 《中国医学论坛报》 2008年第46期
白质消融性脑白质病一例

     病历摘要

    患儿女,2岁8个月,外伤后左下肢间歇跛行2个月余。间断发热11天,少语,尿失禁半天。

    查体:精神差,表情淡漠,不能独站,双上肢肌张力高,肌力可,震颤(+);双下肢肌张力稍低,肌力可疑下降。病理征(-)。

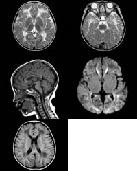
    辅助检查:头颅磁共振成像(MRI)示双侧大脑半球脑白质弥漫性、对称性长T1长T2信号,信号强度与脑脊液相近,弓形纤维大部受累。内囊后肢、外囊、最外囊、脑干背侧受累(图1,2)。胼胝体内下缘受累(图3)。双侧尾状核头轻度肿胀,T2WI呈稍高信号。豆状核及丘脑未见异常。液体衰减反转恢复(FLAIR)像双侧额顶叶白质可见对称性低信号,部分区域趋于囊性变,残存少量线状稍高信号(图4)。小脑萎缩,小脑白质内见T2WI及FlAIR高信号区。磁共振弥散加权成像(DWI)半卵圆中心、顶枕叶及胼胝体可见条片状高信号(图5),余病变区呈低信号。

    MRI诊断为白质消融性脑白质病。本例得到临床证实。

    讨论

    白质消融性脑白质病,是近期才为人们所认识的脑白质病,亦称儿童共济失调伴中枢神经系统髓鞘化低下。属常染色体隐性遗传,基因位于染色体3q27和14q24,为真核起始因子异常所致。

    该病临床表现有特异性。患儿出生时精神运动发育正常,发病年龄为婴幼儿晚期或儿童早期。症状出现前常有轻微头颅外伤或感染史,同样的原因可使症状进一步加重,有时可导致婴儿期和青春期早期患者发生昏迷。

    该病也可表现为慢性进展过程,常见症状为共济失调,构音障碍,痉挛状态,步态异常,或仅表现轻微的智力损害。疾病晚期可表现为视神经萎缩和轻度癫痫。疾病呈进行性发展过程。严重类型可导致患者早期(2~6岁)死亡。中度类型可生存至青年期。较晚发病者可于青少年晚期和成人期起病,病变过程较轻微。

    白质消融性脑白质病脑脊液的典型特征为甘氨酸明显升高。MRI表现具有较高特异性,表现为脑组织轻度肿胀,脑回略增宽,侧脑室无扩张或呈轻到中度扩张。大脑半球白质改变明显,T1WI、T2WI受累白质信号强度与脑脊液相等,病变早期缺乏以上典型改变。皮层下弓形纤维常常受累。内囊后肢常受累,外囊和最外囊正常。本例患儿中外囊及最外囊也受累,尾状核头轻度肿胀,T2WI信号升高。

    以运动障碍起病、运动障碍重于智力障碍、神经影像学改变显著重于临床表现是本病的临床特点,磁共振扫描是目前可靠的影像学检查方法。临床诊断还需除外其他遗传性及获得性脑白质病,并找到相应的致病突变基因方可确诊。

    图1、2 T2WI轴位,示双侧大脑半球脑白质弥漫性、对称性长T2信号

    图3 T1WI矢状位,示受累白质呈低信号

    图4 FLAIR轴位,双侧额顶叶深部脑白质呈低信号

    图5 DWI轴位,胼胝体、枕叶可见高信号, 百拇医药