当前位置: 首页 > 期刊 > 《中国医学论坛报》 > 2008年第46期
编号:11711447
CT-CA+MPI:序贯性诊断程序指导冠心病诊疗
http://www.100md.com 2008年11月27日 《中国医学论坛报》 2008年第46期
CT-CA+MPI:序贯性诊断程序指导冠心病诊疗
CT-CA+MPI:序贯性诊断程序指导冠心病诊疗
CT-CA+MPI:序贯性诊断程序指导冠心病诊疗

     【前言】

    长期以来,有创性冠状动脉造影(CA)一直被视为诊断冠心病的“金标准”。然而,大规模研究显示,CA阳性率较低,且缺乏功能学评价。单纯诊断性CA不仅给患者身体带来巨大痛苦,同时也造成了社会资源的浪费。如何替代单纯诊断性CA指导冠心病诊疗一直是国内外心血管界关注的热点。

    近年来,随着64排螺旋计算机断层扫描(CT)及双源螺旋CT相继投入临床应用,计算机断层扫描冠状动脉造影(CT-CA)结合放射性核素心肌灌注显像、解剖学成像结合功能学成像指导冠心病诊疗的序贯性诊断程序已初见端倪。经病史、症状及心电图检查等怀疑为冠心病的患者,可进入冠心病序贯性诊断程序。

    第一步:计算机断层扫描冠状动脉造影

    随着CT扫描技术的飞速发展,CT时间分辨率和空间分辨率已有了显著提高,CT-CA可以清晰地显示冠状动脉的解剖学结构,并评价直径为1.5 mm的冠状动脉内狭窄情况。CT-CA图像的可诊断率为100%,诊断冠状动脉狭窄的敏感性、特异性、阳性预测值和阴性预测值分别为94%、97%、87%和99%。与CA相比,CT-CA不仅可以判断管腔的狭窄程度,还可显示冠状动脉壁和粥样硬化斑块,这是CA所不能比拟的。
, 百拇医药
    CT-CA还有一项优势就是能够根据CT值确定冠状动脉粥样硬化斑块内的成分。研究显示,斑块中脂质、纤维和钙质的CT值分别为(49±22)Hu、(91±22)Hu和(391±156)Hu。由于斑块的稳定性取决于其成分,故通过CT显示斑块中不同的成分,对了解斑块的病理演变过程、预测斑块的危险程度及指导临床诊疗都有十分重要的意义。

    鉴于CT-CA具有极高的阴性预测值及易操作性,可将其作为冠心病序贯性诊断程序的第一步。若患者的CT-CA完全正常,基本可以排除冠心病可能。若CT-CA发现患者冠状动脉管腔狭窄 <50%,则为轻度冠状动脉粥样硬化,多建议患者改善生活方式,同时进行积极的内科保守治疗。

    若CT-CA发现患者冠状动脉管腔狭窄 >50%,或大量钙化斑块影响CT-CA对管腔狭窄的判断时,则进入冠心病序贯性诊断程序的第二步。特殊情况下,若CT-CA显示管腔狭窄 >50%且斑块CT值很低,再结合患者的不稳定心绞痛病史,可以直接行经皮冠状动脉血管成形术(PTCA)及支架置入术。
, 百拇医药
    第二步:心肌灌注显像

    放射性核素心肌显像主要是指腺苷负荷核素心肌灌注显像(MPI)。注射放射性示踪剂后,有活力的心肌细胞从血中摄取核素并在细胞中滞留一段时间,心肌中发射出的光子量与示踪剂摄取成正比,后者与血流灌注量有关。而腺苷是一种作用于血管内皮细胞表面A2受体的药物,可以扩张冠状动脉,使正常冠状动脉血流量增加3~5倍。冠状动脉狭窄时,血流量则不能增加。

    因此,通过使用腺苷负荷MPI对比负荷、静息两种状态下心肌血流灌注情况,可以辨别心肌是否缺血。如果将心室肌比喻成一片农田,CT-CA及CA都是检查灌溉渠道是否畅通,而腺苷负荷MPI则是直接检测禾苗(即心肌细胞)是否缺水(血),两者相辅相成,紧密配合,缺一不可。

    通过腺苷负荷MPI可以将进入冠心病序贯性诊断程序第二步的患者分为有缺血及无缺血两组。无缺血组患者被推荐改变生活方式及进行积极的内科治疗,同时定期复查。而缺血组患者则根据缺血面积的大小,被推荐行经皮冠脉介入(PCI)及冠脉搭桥术(CABG),或者改变生活方式及进行积极的内科治疗,也需定期复查。
, http://www.100md.com
    对于解剖学检查所示的冠状动脉多支病变,腺苷负荷MPI还可以进行缺血定位,寻找罪犯血管及罪犯病变,指导PCI或CABG进行有的放矢的治疗。

    MPI还包括18F-脱氧葡萄糖(FDG)正电子发射断层扫描(PET)心肌代谢显像。它是目前公认的判断存活心肌的“金标准”,心肌梗死部位的灌注——代谢不匹配是心肌存活的可靠指标。对于缺血性心肌病及陈旧性心肌梗死患者,判断存活心肌有助于选择下一步治疗策略及进行预后判断。若心肌梗死部位仍有存活心肌,进行下一步PCI或CABG方可使患者受益。若无存活心肌,多推荐行内科治疗。

    第三步:冠状动脉造影或直接PCI

    经冠心病序贯性诊断程序第二步筛选确定行PCI或CABG的患者后,进入有创检查程序。CT-CA示冠状动脉病变较复杂的患者行CA后同时行PCI术或之后行CABG。而CT-CA示病变较孤立时,可选择直接行PCI。
, 百拇医药
    冠心病序贯性诊断程序应用示例

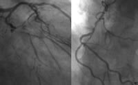
    患者,65岁,男性,临床诊断扩张型心肌病。经序贯性诊断程序诊断为缺血性心肌病(图1~3),最终建议进行外科CABG或心脏移植手术治疗。

    【小结】

    冠心病序贯性诊断程序对冠心病的筛查、危险分层及指导治疗策略都有极其重要的临床意义。随着影像学技术的飞速发展,进一步提高CT的时间分辨力和空间分辨力,可以期望克服钙化病变、心率快及心律失常等羁绊,同时提高核素的心肌特异性,甚至实现CT-CA与MPI或正电子发射计算机体层扫描(PET)的同机或异机融合,整合解剖学与功能学成像。因此,冠心病序贯性诊断程序取代单纯诊断性CA指导冠心病诊疗指日可待。

    图1 CT-CA示3支病变,左前降支(LAD)、右冠状动脉(RCA)中远段闭塞

    图2 腺苷负荷MPI示左室前壁、心尖部可逆性灌注缺损

    图3 CA示LAD、RCA中远段闭塞, 百拇医药