当前位置: 首页 > 新闻 > 信息荟萃
编号:12459035
特发性肺纤维化,急性加重宜激素冲击
http://www.100md.com 2011年8月8日 医药经济报
特发性肺纤维化,急性加重宜激素冲击
特发性肺纤维化,急性加重宜激素冲击
特发性肺纤维化,急性加重宜激素冲击
特发性肺纤维化,急性加重宜激素冲击
特发性肺纤维化,急性加重宜激素冲击

     解读2011新指南——

    编者按:本版上期专题报道了南方医科大学南方医院呼吸科教授蔡绍曦解读2011年新版特发性肺纤维化(IPF)诊治指南中诊断标准的新变化。本期将继续报道蔡绍曦教授针对新指南中关于鉴别诊断、治疗以及流程管理等方面的解读。

    [受访专家]南方医科大学南方医院呼吸科教授 蔡绍曦

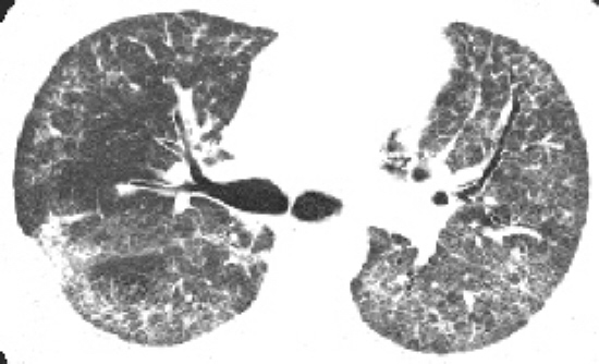
    A 鉴别诊断:高分辨CT为试金石

    2011版特发性肺纤维化新指南提出,寻常型间质性肺炎的高分辨CT特点可作为独立的特发性肺纤维化诊断手段。这一观点的改变从而使特发性肺纤维化的整个流程发生了巨大变革,高分辨CT在整个诊治过程中都起到了决定性的作用。其中涉及特发性肺纤维化的疾病鉴别也从以前根据临床症状鉴别转而走向以高分辨CT表现为主的鉴别 ......

您现在查看是摘要页,全文长 3011 字符