未定类细胞性组织细胞增生症
病历摘要
患者,男性,46岁。因“全身皮疹反复发作并进行性加重3年”来我科就诊。患者于3年前,在无明显诱因下胸背部出现大量散在粟米至绿豆大小皮色丘疹,逐渐形成蚕豆至小核桃大小结节,淡棕色,质软,无压痛。部分结节融合成片,少量破溃、结痂。无明显自觉症状。3年内皮疹陆续增多,逐渐累及全身。曾在外院拟诊“急性发疹性组织细胞瘤”,先后给予泼尼松(30 mg/d)、沙利度胺(反应停)、雷公藤以及羟基脲等治疗,每使用新的治疗药物后2月内皮疹能大部分消退,但不久又全身复发,且皮损数量较前增加。患者自发病以来,无发热、尿频,无骨骼及关节疼痛,体重无明显改变。家族史无特殊。
体格检查
一般情况良好,体温、脉搏、呼吸、血压均正常,全身皮肤及黏膜无黄染,浅表淋巴结无肿大。皮肤科情况:颜面、躯干、四肢、双手背、双足背均可见结节,以面部居多,类似狮面(见图1)。结节呈蚕豆至小核桃大小,淡棕色,质软,无压痛,部分结节表面见毛细血管扩张,部分结节破溃、结痂。
, http://www.100md.com
实验室检查
血、尿、粪常规、肝肾功能、电解质及血糖均正常,肝功正常,血脂正常范围。癌胚抗原AFP、CEA、CA15-3、CA50、CA199、CA125、PAP、PSA、β2-MG等均阴性。B超:肝、胆、胰、脾、双肾均无异常,胸片:双肺纹理增多,右肺门阴影增大;肺部CT(增强)、心电图均正常。上消化道钡餐未见明显异常。性病检验:快速血浆反应素环状卡片试验(RPR)(-),梅毒螺旋体血凝试验(TPHA)(-)。血黑热病抗体(-)。骨穿检查:骨髓象大致正常。

图1a
, 百拇医药
图1b
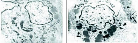
组织病理检查(见图2):真皮内见界限较明显的细胞浸润团块,浸润细胞主要为较一致的单个核细胞,胞质较丰富,着较明显伊红色,胞核圆形或卵圆形,淡染,个别异形;上述细胞间有小淋巴细胞浸润,浸润细胞与表皮之间有无细胞浸润带。抗酸染色(-),麻风杆菌(-)。
图2a
图2b
免疫酶标(见图3):S100+、CD1a+、Kp-1+、Mac387(+),
ky50(+)
, http://www.100md.com
图3a
CD1a+
图
1003b S-100+
电镜检查(见图4):电镜下见诸多组织细胞样细胞,其细胞核不规则,核周有中间丝包绕,胞质内线粒体丰富,体积小,粗面内质网也多见,多聚核糖体散在分布,另见脂滴或脂质成分。有的细胞内见多个异样物,体积大,直径约2 μm的,并有双层膜包绕,其内含有多个线粒体,有的见类核样物。还可见丝状物或小泡样结构。据推测,这些异样物并不像自噬泡,而是吞噬物。所见切片细胞中未找到Birbeck颗粒。
图
, 百拇医药
4a
图
4b
讨论
未定类细胞性组织细胞增生症极为罕见,一般表现为大量的丘疹或结节,可发生融合,好发于面部和四肢。尚未发现系统损害。组织病理示单一的组织细胞浸润或混杂有部分巨细胞及泡沫细胞浸润。免疫组化显示S100+、CD1a+,但电镜检查找不到Birbeck颗粒。Manente等于1997年曾报道1例64岁老妇人面部颈部多发性红棕色及微黄色丘疹3年,不痛不痒,直径从1 mm至5 mm。组织病理及免疫组化提示单一的组织细胞浸润,电镜提示未找到Birbeck颗粒。
本文报告的病例皮损比较特别,以大量结节为主,呈弥漫对称性分布。皮疹反复发作,且逐步加重。颜面结节性皮疹融合成狮面状。组织病理检查提示真皮内浸润细胞主要为较一致的单个核细胞,胞质较丰富,着明显伊红色,胞核圆形或卵圆形,淡染。浸润细胞与表皮之间有无细胞浸润带。免疫组织化学检查S100+、CD1a+均阳性,电镜观察未找到Birbeck颗粒。根据组织细胞增生症的分类,诊断为未定类细胞性组织细胞增生症。
, http://www.100md.com
本病应与以下疾病相鉴别:
朗格罕细胞组织细胞增生症 该病主要累及婴儿和年幼儿童,成年发病者罕见。皮疹常为瘀点、瘀斑及丘疹,免疫组织化学检查S100蛋白和CD1a染色阳性,电镜检查可找到Birbeck颗粒。
泛发性发疹性组织细胞瘤 是一种主要累及成人的有自愈倾向的组织细胞增生症,皮疹为泛发性丘疹,质地坚实,深红色或深蓝色,可自行消退,不伴发内脏病变。病理检查为真皮中、上部密集的单一形态的组织细胞及少数淋巴细胞浸润,电镜检查可见Caputo小体。
网状组织细胞增生症 皮损主要为质地较硬的丘疹或结节,直径数毫米至数厘米大小。分布于面、手、耳、前臂、头皮、颈和躯干。颜面部多发性丘疹可发生融合,产生狮面外观。组织病理检查可见大量的多核巨细胞和嗜酸性瘤细胞性组织细胞,其含有丰富的细颗粒状嗜酸性胞质,呈毛玻璃样外观。
, http://www.100md.com
播散性黄瘤病 皮损特征为米粒至黄豆大小红黄色丘疹、结节对称性成群分布、不融合,无自觉症状,好发于面、颈、腋窝、腘窝和腹股沟等皱褶处以及黏膜、上呼吸道、角膜和中枢神经系统,发病多见于25岁前,男性为主,病程缓慢,可自行消退。
此外需除外感染性疾病,如瘤型麻风,全身损害呈广泛性、弥漫性、深在性浸润,在此基础上有许多大小不一的暗红色坚实的结节,互相融合成高低不平的斑块,双唇肥厚,耳垂肥大,部分病人鼻梁塌陷,鼻翼萎缩,鼻中隔穿孔,状如“狮面”,皮损内可查到麻风杆菌;皮肤黑热病,头、面、躯干等有成群对称分布黄豆至核桃大小的结节,色棕红,大小数目不等,不化脓,不破溃,常融合成大斑块,状如“狮面”,但在结节内可查到LD小体,黑热病抗体阳性。
本病治疗比较困难,我们给予患者小剂量甲氨蝶呤和泼尼松治疗,疗效不显著。后因经济困难,患者放弃治疗。, 百拇医药(华山医院皮肤科 徐峰 骆肖群)
患者,男性,46岁。因“全身皮疹反复发作并进行性加重3年”来我科就诊。患者于3年前,在无明显诱因下胸背部出现大量散在粟米至绿豆大小皮色丘疹,逐渐形成蚕豆至小核桃大小结节,淡棕色,质软,无压痛。部分结节融合成片,少量破溃、结痂。无明显自觉症状。3年内皮疹陆续增多,逐渐累及全身。曾在外院拟诊“急性发疹性组织细胞瘤”,先后给予泼尼松(30 mg/d)、沙利度胺(反应停)、雷公藤以及羟基脲等治疗,每使用新的治疗药物后2月内皮疹能大部分消退,但不久又全身复发,且皮损数量较前增加。患者自发病以来,无发热、尿频,无骨骼及关节疼痛,体重无明显改变。家族史无特殊。
体格检查
一般情况良好,体温、脉搏、呼吸、血压均正常,全身皮肤及黏膜无黄染,浅表淋巴结无肿大。皮肤科情况:颜面、躯干、四肢、双手背、双足背均可见结节,以面部居多,类似狮面(见图1)。结节呈蚕豆至小核桃大小,淡棕色,质软,无压痛,部分结节表面见毛细血管扩张,部分结节破溃、结痂。
, http://www.100md.com
实验室检查
血、尿、粪常规、肝肾功能、电解质及血糖均正常,肝功正常,血脂正常范围。癌胚抗原AFP、CEA、CA15-3、CA50、CA199、CA125、PAP、PSA、β2-MG等均阴性。B超:肝、胆、胰、脾、双肾均无异常,胸片:双肺纹理增多,右肺门阴影增大;肺部CT(增强)、心电图均正常。上消化道钡餐未见明显异常。性病检验:快速血浆反应素环状卡片试验(RPR)(-),梅毒螺旋体血凝试验(TPHA)(-)。血黑热病抗体(-)。骨穿检查:骨髓象大致正常。


图1a
, 百拇医药
图1b
组织病理检查(见图2):真皮内见界限较明显的细胞浸润团块,浸润细胞主要为较一致的单个核细胞,胞质较丰富,着较明显伊红色,胞核圆形或卵圆形,淡染,个别异形;上述细胞间有小淋巴细胞浸润,浸润细胞与表皮之间有无细胞浸润带。抗酸染色(-),麻风杆菌(-)。

图2a
图2b
免疫酶标(见图3):S100+、CD1a+、Kp-1+、Mac387(+),
ky50(+)

, http://www.100md.com
图3a
CD1a+
图
1003b S-100+
电镜检查(见图4):电镜下见诸多组织细胞样细胞,其细胞核不规则,核周有中间丝包绕,胞质内线粒体丰富,体积小,粗面内质网也多见,多聚核糖体散在分布,另见脂滴或脂质成分。有的细胞内见多个异样物,体积大,直径约2 μm的,并有双层膜包绕,其内含有多个线粒体,有的见类核样物。还可见丝状物或小泡样结构。据推测,这些异样物并不像自噬泡,而是吞噬物。所见切片细胞中未找到Birbeck颗粒。

图
, 百拇医药
4a
图
4b
讨论
未定类细胞性组织细胞增生症极为罕见,一般表现为大量的丘疹或结节,可发生融合,好发于面部和四肢。尚未发现系统损害。组织病理示单一的组织细胞浸润或混杂有部分巨细胞及泡沫细胞浸润。免疫组化显示S100+、CD1a+,但电镜检查找不到Birbeck颗粒。Manente等于1997年曾报道1例64岁老妇人面部颈部多发性红棕色及微黄色丘疹3年,不痛不痒,直径从1 mm至5 mm。组织病理及免疫组化提示单一的组织细胞浸润,电镜提示未找到Birbeck颗粒。
本文报告的病例皮损比较特别,以大量结节为主,呈弥漫对称性分布。皮疹反复发作,且逐步加重。颜面结节性皮疹融合成狮面状。组织病理检查提示真皮内浸润细胞主要为较一致的单个核细胞,胞质较丰富,着明显伊红色,胞核圆形或卵圆形,淡染。浸润细胞与表皮之间有无细胞浸润带。免疫组织化学检查S100+、CD1a+均阳性,电镜观察未找到Birbeck颗粒。根据组织细胞增生症的分类,诊断为未定类细胞性组织细胞增生症。
, http://www.100md.com
本病应与以下疾病相鉴别:
朗格罕细胞组织细胞增生症 该病主要累及婴儿和年幼儿童,成年发病者罕见。皮疹常为瘀点、瘀斑及丘疹,免疫组织化学检查S100蛋白和CD1a染色阳性,电镜检查可找到Birbeck颗粒。
泛发性发疹性组织细胞瘤 是一种主要累及成人的有自愈倾向的组织细胞增生症,皮疹为泛发性丘疹,质地坚实,深红色或深蓝色,可自行消退,不伴发内脏病变。病理检查为真皮中、上部密集的单一形态的组织细胞及少数淋巴细胞浸润,电镜检查可见Caputo小体。
网状组织细胞增生症 皮损主要为质地较硬的丘疹或结节,直径数毫米至数厘米大小。分布于面、手、耳、前臂、头皮、颈和躯干。颜面部多发性丘疹可发生融合,产生狮面外观。组织病理检查可见大量的多核巨细胞和嗜酸性瘤细胞性组织细胞,其含有丰富的细颗粒状嗜酸性胞质,呈毛玻璃样外观。
, http://www.100md.com
播散性黄瘤病 皮损特征为米粒至黄豆大小红黄色丘疹、结节对称性成群分布、不融合,无自觉症状,好发于面、颈、腋窝、腘窝和腹股沟等皱褶处以及黏膜、上呼吸道、角膜和中枢神经系统,发病多见于25岁前,男性为主,病程缓慢,可自行消退。
此外需除外感染性疾病,如瘤型麻风,全身损害呈广泛性、弥漫性、深在性浸润,在此基础上有许多大小不一的暗红色坚实的结节,互相融合成高低不平的斑块,双唇肥厚,耳垂肥大,部分病人鼻梁塌陷,鼻翼萎缩,鼻中隔穿孔,状如“狮面”,皮损内可查到麻风杆菌;皮肤黑热病,头、面、躯干等有成群对称分布黄豆至核桃大小的结节,色棕红,大小数目不等,不化脓,不破溃,常融合成大斑块,状如“狮面”,但在结节内可查到LD小体,黑热病抗体阳性。
本病治疗比较困难,我们给予患者小剂量甲氨蝶呤和泼尼松治疗,疗效不显著。后因经济困难,患者放弃治疗。, 百拇医药(华山医院皮肤科 徐峰 骆肖群)
参见:首页 > 医疗版 > 疾病专题 > 内分泌科 > 黄瘤