临床病例讨论——变应性嗜酸性肉芽肿血管炎1例
病历摘要
患者男性,30岁,因间断腹痛、腹泻、发热4个月余,于2001年12月18日入院。
患者于2001年8月初出现间断中上腹钝痛,伴腹泻、发热,体温最高38℃,伴有干咳,并逐渐出现憋气,外院查血常规示白细胞、中性粒细胞增高;便常规可见大量红白细胞;X线胸片和胸腹部CT检查示双肺下叶炎症,双侧胸腔积液,少量腹水;胸水化验为渗出液。遂予抗炎治疗,但患者咳嗽进行性加重,咯少量白色泡沫痰,外周血涂片示嗜酸细胞占54%,骨穿示骨髓中嗜酸细胞占35.6%;经感染、免疫及肿瘤学方面检查均无阳性发现。 8月21日患者突发左侧腰部及右侧腹部剧烈疼痛,伴肉眼血尿、皮肤瘀斑。查血、尿淀粉酶正常;鱼精蛋白副凝固试验3P(+),D-二聚体(+);凝血酶原时间14.4s,部分激活的凝血酶原时间37.1s;CT示左肾体积增大,肾血管增粗迂曲,未见明确结石影。给予哌替啶肌注无效,予地塞米松10 mg /d 治疗后症状缓解。
, http://www.100md.com
复查CT示左肾脓肿,胸、腹水较前减少,肺炎明显好转;肾图显示右肾正常,左肾功能受损。9月27日患者再次出现腹痛、腹泻、发热,外院行肠镜检查见横结肠以下黏膜广泛糜烂、渗血,考虑为“溃疡性结肠炎”,予泼尼松40 mg/d,柳氮磺胺吡啶(SASP)1.0g每日3次治疗,症状明显缓解。复查肠镜:横结肠局限性狭窄,上有溃疡;考虑“不除外肿瘤”,转诊至我院。
患者常于多量饮酒后出现面部潮红,近10余年来有慢性结膜炎史,近7~8年有间断左侧眼眶痛发作,近1年于轻度寒冷刺激后即易诱发喷嚏,流涕。发病以来体重减轻约5 kg;否认关节肿痛、光过敏、口腔溃疡等。曾在用头孢哌酮钠后出现皮肤“风团”,划痕征阳性。吸烟40支/日×10年。
入院查体:体温36.2℃ ,血压 120/80 mmHg,皮肤巩膜无黄染,未见瘀点、瘀斑,右滑车上可及一枚1.0 cm×0.8 cm大小淋巴结,鼻腔无阻塞,无异常分泌物,副鼻窦区无压痛。心肺未见明显异常,腹平软,肝脾肋下未及,左肾区叩痛(+),肠鸣正常,未闻及血管杂音。脊柱无畸形,指(趾)间关节无红肿变形及压痛,双下肢无水肿,肛检未见异常。
, 百拇医药
入院诊断:腹痛、腹泻、发热原因待查:血管炎?肿瘤?炎性肠病?
诊治经过:患者入院后自觉心悸,经观察发现其右食指、中指有雷诺现象。血常规:白细胞(7.10~7.94)×109/L,血红蛋白148~166 g/L,血小板(154~197)×109/L,中性粒细胞35%~52.7%,嗜酸性粒细胞42%~13.6%,计数为2.99~1.08×109/L。尿常规正常,便常规:红、白细胞0个/高倍视野,潜血(-)~(+)。肝肾功能正常。C反应蛋白正常。乙型、甲型肝炎病毒抗体,HIV抗体均阴性;PPD试验、抗结核抗体均阴性;多次大便培养和找寄生虫均阴性。血沉1~2 mm/h,抗核抗体、抗双链DNA抗体、抗中性粒细胞胞浆抗体(ANCA)(-);血IgG 7.97 g/L,IgA 1.46 g/L,IgM 0.47 g/L,IgE 8.87 IU/mk(正常小于100 IU/mk)。肿瘤抗原(CA)系列阴性。复查骨穿示嗜酸细胞稍多,占13.5%。
腹部彩超:左肾动脉未显示,余腹腔动脉及分支未见异常。肾血流图:左肾灌注和功能极差。心电图示窦性心律,有广泛ST-T改变。超声心动图未见异常。经颅多普勒彩超(-),瞬目反射阴性。鼻窦X线片:左上颌窦炎。胸部高分辨CT(HRCT):右肺斜裂上方少许片状影,病变较外院CT明显吸收,胸水完全吸收,双肺间质纹理略厚。胃镜:慢性浅表性胃炎,病理:较多嗜酸粒细胞浸润。结肠镜:横结肠肝曲狭窄,表面黏膜充血,散在浅溃疡(图1,图2);病理示结肠黏膜慢性炎症,有多量嗜酸细胞浸润(图3)。右滑车上淋巴结活检为慢性淋巴结炎,有散在嗜酸细胞浸润。
, http://www.100md.com
图1
横结肠肝曲局限性狭窄
图2
狭窄表面黏膜充血糜烂,散在浅溃疡
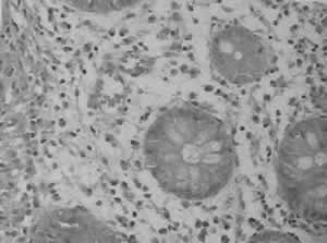
图3
横结肠病理:结肠黏膜慢性炎症,有多量嗜酸细胞浸润
眼科会诊:有慢性结膜炎。耳鼻喉科会诊:存在慢性鼻炎、咽炎。诊断考虑变应性肉芽肿性血管炎(Churg-Strauss Syndrom)。自2001年12月30日予泼尼松30 mg /d,1周后加用环磷酰胺(CTX) 0.2 g静脉推注,隔日1次,此后患者大便成形,1次/日,小便正常,偶右眼眶区痛,有时伴右食指、中指雷诺现象。2002年1月17日复查血常规嗜酸粒细胞降至8.3%出院。3月初CTX累计用量4 g,泼尼松逐渐减量至15 mg/d,复查血常规嗜酸粒细胞升为2.13×109/L 占23.3%,IgE 20.3 IU/mk,血沉和C反应蛋白正常,予甲泼尼龙40 mg/d静脉滴注共5天,后改为泼尼松15 mg/d,同时CTX改为0.4g静脉推注,每周两次,两周后血嗜酸粒细胞恢复正常。
, 百拇医药
讨论
患者为青年男性,起病急,虽然以消化系统症状起病入院,但实际具有多系统病变表现(消化道、呼吸系统、肾脏、眶周疼痛、雷诺现象等)。早期症状以肠道表现为主,有腹痛、腹泻。腹泻虽有大肠性腹泻的特点,但是抗生素治疗无效,皮质激素治疗有效,多次大便培养和找寄生虫均为(-),结合其临床特点可排除感染性肠道病变的可能。外院肠镜可见乙状结肠至横结肠重度糜烂、充血、水肿,散在浅表溃疡,SASP和激素治疗效果好,应考虑溃疡性结肠炎的可能,然而患者始终无黏液脓血便的表现,结肠镜下直肠病变较轻,早期即出现横结肠中段狭窄,非溃疡性结肠炎的典型表现,且溃疡性结肠炎虽然可有关节炎、眼色素膜炎、皮疹等肠外表现,但难以解释患者呼吸系统、肾脏损害、眶周疼痛和雷诺现象。因患者无结核中毒症状,肠道病变为非结核好发部位,激素治疗有效可以排除肠结核可能。无论临床还是病理检查结果均不支持肠道肿瘤。
患者有多系统损害,应考虑免疫方面系统性疾病的可能,但缺乏系统性红斑狼疮、干燥综合征或类风湿性关节炎的临床和实验室证据。患者呼吸系统表现,主要为咳嗽,痰量少,有可疑变应性鼻炎,后行肺HRCT证实有肺间质改变;发病初期剧烈腰部疼痛,伴肉眼血尿,腹部CT发现早期肾脏增大,后期缩小,考虑肾血管病变的可能性大,有血栓或栓塞的可能。入院后血管彩超未发现左肾动脉血流信号,提示受累血管可能为肾动脉;病史中有明确的眼眶外周神经痛表现和典型的雷诺现象均提示有广泛小血管受累,提示系统性血管炎的存在,结合外周血、骨髓中嗜酸性粒细胞增高,同时胃镜病理、结肠狭窄部位病理和滑车上淋巴结活检均可见嗜酸性粒细胞浸润,考虑为变应性嗜酸性肉芽肿性血管炎(CSS)。
, http://www.100md.com
CSS是一类病因不明的系统性坏死性血管炎,病理特征为血管炎,受累组织有大量嗜酸性粒细胞浸润和血管外肉芽肿形成,主要累及小动脉和小静脉,冠状动脉等中等血管也可受侵犯。主要受累脏器为肺、心、肾、皮肤和外周神经,多数患者有外周血嗜酸细胞增多,常伴有哮喘或变应性鼻炎。其发病机制与免疫异常有关。
CSS临床表现依受累器官范围和程度不同而各异,通常有三个阶段,早期为慢性过敏期,常有皮肤过敏、过敏性鼻炎、结膜炎、哮喘等,并常有药物过敏,持续时间5年左右;之后为器官浸润期,临床可缺乏特异表现,约3~5年后进入暴发阶段,外周血嗜酸粒细胞增高,伴有多个脏器功能受损,其主要表现如下:(1)呼吸系统:CSS呼吸系统受累最为多见,变应性鼻炎常为初始症状,哮喘亦为主要表现之一,后期多数患者呈现肺内浸润性病变,胸片为游走性片状影。该患者于病程初期即出现呼吸系统症状,胸部CT提示有双侧肺炎和胸膜炎,入院后行肺HRCT证实还有肺间质改变。(2)皮肤表现:仅次于呼吸系统症状,常出现皮疹及皮下结节,后者为特征性表现,但相对少见,病理为嗜酸细胞浸润性结节。本例患者尚无皮肤受累证据。(3)心脏:为CSS主要靶器官之一,由嗜酸性粒细胞浸润心肌及冠状动脉血管炎引起,主要表现为急性缩窄性心包炎、心力衰竭和心肌梗死,心脏受累常为CSS的主要死亡原因。该患者入院后有时心悸,虽经超声心动图检查无心脏结构和功能受损证据,也未发现明确心律失常存在,但心电图有非特异性心肌损害表现,如能行心肌活检可能会发现嗜酸细胞浸润。(4)神经系统:以外周神经受累为多见,可为多发性单神经炎、缺血性视神经炎。该患者既往有反复眼眶痛,虽然经颅多普勒彩超和瞬目反射结果均阴性,但由于检查手段有限,仍不能除外神经系统受累,如能取得相应组织行病理检查当可进一步明确。(5)消化系统:CSS累及消化系统主要表现为嗜酸性粒细胞性胃肠炎症状,以腹痛、腹泻及消化道出血常见,严重时可有穿孔,当严重肉芽肿形成时,可出现结节性肿块。同时亦可以引起腹膜炎,腹水内可见大量嗜酸细胞。该患者即以肠道起病,表现为胃肠道炎症和肠道内肉芽肿性病变,病理证实有广泛嗜酸细胞浸润。(6)肾脏:肾脏累及较少见,如为肾小血管受累主要表现为镜下血尿、蛋白尿,可自行缓解,极少进展为肾功能衰竭。该患者在病程中肾损害表现较突出,多种检查提示可能有肾动脉受累,需与显微镜下多动脉炎鉴别。(7)关节和肌肉:主要表现为游走性关节痛,CSS早期常出现小腿肌肉痉挛,以腓肠肌受累最具特征性。该患者目前尚无相关症状。
, http://www.100md.com
CSS实验室检查以外周血嗜酸细胞增多为特征性指标之一,一般大于1.5×109/L;血IgE增高是另一特点;和所有血管炎一样,CSS缺乏标记性特异抗体,部分患者可有ANCA阳性、补体下降,有的类风湿因子阳性;另外,血沉、C反应蛋白、丙种球蛋白也可升高。该患者入院后行相关检查并无太多阳性发现,可能与已经应用激素治疗有关。
消化科就诊的患者,即使已有检查提示有明确消化系统病变存在,也不应忽视其他系统病变表现,尤其当病变难以用消化系统疾病完全解释时,应综合患者整体病程发展特点全面分析做出诊断,多系统受累者要考虑系统性免疫病的可能。系统性血管炎消化系统受累者多见于白塞病,其他血管炎引起的消化系统表现也应警惕,CSS发病率低,胃肠道受累较少见,此时除全面的病史询问(过敏表现)、仔细的体格检查(多系统受累证据)、针对性的实验室检查(外周血和骨髓的嗜酸细胞计数,IgE测定)之外,应尽可能取得病理检查的支持——发现脏器中嗜酸细胞浸润。, http://www.100md.com(消化科 姚方 内科 翁利 免疫科 赵岩)
患者男性,30岁,因间断腹痛、腹泻、发热4个月余,于2001年12月18日入院。
患者于2001年8月初出现间断中上腹钝痛,伴腹泻、发热,体温最高38℃,伴有干咳,并逐渐出现憋气,外院查血常规示白细胞、中性粒细胞增高;便常规可见大量红白细胞;X线胸片和胸腹部CT检查示双肺下叶炎症,双侧胸腔积液,少量腹水;胸水化验为渗出液。遂予抗炎治疗,但患者咳嗽进行性加重,咯少量白色泡沫痰,外周血涂片示嗜酸细胞占54%,骨穿示骨髓中嗜酸细胞占35.6%;经感染、免疫及肿瘤学方面检查均无阳性发现。 8月21日患者突发左侧腰部及右侧腹部剧烈疼痛,伴肉眼血尿、皮肤瘀斑。查血、尿淀粉酶正常;鱼精蛋白副凝固试验3P(+),D-二聚体(+);凝血酶原时间14.4s,部分激活的凝血酶原时间37.1s;CT示左肾体积增大,肾血管增粗迂曲,未见明确结石影。给予哌替啶肌注无效,予地塞米松10 mg /d 治疗后症状缓解。
, http://www.100md.com
复查CT示左肾脓肿,胸、腹水较前减少,肺炎明显好转;肾图显示右肾正常,左肾功能受损。9月27日患者再次出现腹痛、腹泻、发热,外院行肠镜检查见横结肠以下黏膜广泛糜烂、渗血,考虑为“溃疡性结肠炎”,予泼尼松40 mg/d,柳氮磺胺吡啶(SASP)1.0g每日3次治疗,症状明显缓解。复查肠镜:横结肠局限性狭窄,上有溃疡;考虑“不除外肿瘤”,转诊至我院。
患者常于多量饮酒后出现面部潮红,近10余年来有慢性结膜炎史,近7~8年有间断左侧眼眶痛发作,近1年于轻度寒冷刺激后即易诱发喷嚏,流涕。发病以来体重减轻约5 kg;否认关节肿痛、光过敏、口腔溃疡等。曾在用头孢哌酮钠后出现皮肤“风团”,划痕征阳性。吸烟40支/日×10年。
入院查体:体温36.2℃ ,血压 120/80 mmHg,皮肤巩膜无黄染,未见瘀点、瘀斑,右滑车上可及一枚1.0 cm×0.8 cm大小淋巴结,鼻腔无阻塞,无异常分泌物,副鼻窦区无压痛。心肺未见明显异常,腹平软,肝脾肋下未及,左肾区叩痛(+),肠鸣正常,未闻及血管杂音。脊柱无畸形,指(趾)间关节无红肿变形及压痛,双下肢无水肿,肛检未见异常。
, 百拇医药
入院诊断:腹痛、腹泻、发热原因待查:血管炎?肿瘤?炎性肠病?
诊治经过:患者入院后自觉心悸,经观察发现其右食指、中指有雷诺现象。血常规:白细胞(7.10~7.94)×109/L,血红蛋白148~166 g/L,血小板(154~197)×109/L,中性粒细胞35%~52.7%,嗜酸性粒细胞42%~13.6%,计数为2.99~1.08×109/L。尿常规正常,便常规:红、白细胞0个/高倍视野,潜血(-)~(+)。肝肾功能正常。C反应蛋白正常。乙型、甲型肝炎病毒抗体,HIV抗体均阴性;PPD试验、抗结核抗体均阴性;多次大便培养和找寄生虫均阴性。血沉1~2 mm/h,抗核抗体、抗双链DNA抗体、抗中性粒细胞胞浆抗体(ANCA)(-);血IgG 7.97 g/L,IgA 1.46 g/L,IgM 0.47 g/L,IgE 8.87 IU/mk(正常小于100 IU/mk)。肿瘤抗原(CA)系列阴性。复查骨穿示嗜酸细胞稍多,占13.5%。
腹部彩超:左肾动脉未显示,余腹腔动脉及分支未见异常。肾血流图:左肾灌注和功能极差。心电图示窦性心律,有广泛ST-T改变。超声心动图未见异常。经颅多普勒彩超(-),瞬目反射阴性。鼻窦X线片:左上颌窦炎。胸部高分辨CT(HRCT):右肺斜裂上方少许片状影,病变较外院CT明显吸收,胸水完全吸收,双肺间质纹理略厚。胃镜:慢性浅表性胃炎,病理:较多嗜酸粒细胞浸润。结肠镜:横结肠肝曲狭窄,表面黏膜充血,散在浅溃疡(图1,图2);病理示结肠黏膜慢性炎症,有多量嗜酸细胞浸润(图3)。右滑车上淋巴结活检为慢性淋巴结炎,有散在嗜酸细胞浸润。
, http://www.100md.com
图1
横结肠肝曲局限性狭窄
图2
狭窄表面黏膜充血糜烂,散在浅溃疡
图3
横结肠病理:结肠黏膜慢性炎症,有多量嗜酸细胞浸润
眼科会诊:有慢性结膜炎。耳鼻喉科会诊:存在慢性鼻炎、咽炎。诊断考虑变应性肉芽肿性血管炎(Churg-Strauss Syndrom)。自2001年12月30日予泼尼松30 mg /d,1周后加用环磷酰胺(CTX) 0.2 g静脉推注,隔日1次,此后患者大便成形,1次/日,小便正常,偶右眼眶区痛,有时伴右食指、中指雷诺现象。2002年1月17日复查血常规嗜酸粒细胞降至8.3%出院。3月初CTX累计用量4 g,泼尼松逐渐减量至15 mg/d,复查血常规嗜酸粒细胞升为2.13×109/L 占23.3%,IgE 20.3 IU/mk,血沉和C反应蛋白正常,予甲泼尼龙40 mg/d静脉滴注共5天,后改为泼尼松15 mg/d,同时CTX改为0.4g静脉推注,每周两次,两周后血嗜酸粒细胞恢复正常。
, 百拇医药
讨论
患者为青年男性,起病急,虽然以消化系统症状起病入院,但实际具有多系统病变表现(消化道、呼吸系统、肾脏、眶周疼痛、雷诺现象等)。早期症状以肠道表现为主,有腹痛、腹泻。腹泻虽有大肠性腹泻的特点,但是抗生素治疗无效,皮质激素治疗有效,多次大便培养和找寄生虫均为(-),结合其临床特点可排除感染性肠道病变的可能。外院肠镜可见乙状结肠至横结肠重度糜烂、充血、水肿,散在浅表溃疡,SASP和激素治疗效果好,应考虑溃疡性结肠炎的可能,然而患者始终无黏液脓血便的表现,结肠镜下直肠病变较轻,早期即出现横结肠中段狭窄,非溃疡性结肠炎的典型表现,且溃疡性结肠炎虽然可有关节炎、眼色素膜炎、皮疹等肠外表现,但难以解释患者呼吸系统、肾脏损害、眶周疼痛和雷诺现象。因患者无结核中毒症状,肠道病变为非结核好发部位,激素治疗有效可以排除肠结核可能。无论临床还是病理检查结果均不支持肠道肿瘤。
患者有多系统损害,应考虑免疫方面系统性疾病的可能,但缺乏系统性红斑狼疮、干燥综合征或类风湿性关节炎的临床和实验室证据。患者呼吸系统表现,主要为咳嗽,痰量少,有可疑变应性鼻炎,后行肺HRCT证实有肺间质改变;发病初期剧烈腰部疼痛,伴肉眼血尿,腹部CT发现早期肾脏增大,后期缩小,考虑肾血管病变的可能性大,有血栓或栓塞的可能。入院后血管彩超未发现左肾动脉血流信号,提示受累血管可能为肾动脉;病史中有明确的眼眶外周神经痛表现和典型的雷诺现象均提示有广泛小血管受累,提示系统性血管炎的存在,结合外周血、骨髓中嗜酸性粒细胞增高,同时胃镜病理、结肠狭窄部位病理和滑车上淋巴结活检均可见嗜酸性粒细胞浸润,考虑为变应性嗜酸性肉芽肿性血管炎(CSS)。
, http://www.100md.com
CSS是一类病因不明的系统性坏死性血管炎,病理特征为血管炎,受累组织有大量嗜酸性粒细胞浸润和血管外肉芽肿形成,主要累及小动脉和小静脉,冠状动脉等中等血管也可受侵犯。主要受累脏器为肺、心、肾、皮肤和外周神经,多数患者有外周血嗜酸细胞增多,常伴有哮喘或变应性鼻炎。其发病机制与免疫异常有关。
CSS临床表现依受累器官范围和程度不同而各异,通常有三个阶段,早期为慢性过敏期,常有皮肤过敏、过敏性鼻炎、结膜炎、哮喘等,并常有药物过敏,持续时间5年左右;之后为器官浸润期,临床可缺乏特异表现,约3~5年后进入暴发阶段,外周血嗜酸粒细胞增高,伴有多个脏器功能受损,其主要表现如下:(1)呼吸系统:CSS呼吸系统受累最为多见,变应性鼻炎常为初始症状,哮喘亦为主要表现之一,后期多数患者呈现肺内浸润性病变,胸片为游走性片状影。该患者于病程初期即出现呼吸系统症状,胸部CT提示有双侧肺炎和胸膜炎,入院后行肺HRCT证实还有肺间质改变。(2)皮肤表现:仅次于呼吸系统症状,常出现皮疹及皮下结节,后者为特征性表现,但相对少见,病理为嗜酸细胞浸润性结节。本例患者尚无皮肤受累证据。(3)心脏:为CSS主要靶器官之一,由嗜酸性粒细胞浸润心肌及冠状动脉血管炎引起,主要表现为急性缩窄性心包炎、心力衰竭和心肌梗死,心脏受累常为CSS的主要死亡原因。该患者入院后有时心悸,虽经超声心动图检查无心脏结构和功能受损证据,也未发现明确心律失常存在,但心电图有非特异性心肌损害表现,如能行心肌活检可能会发现嗜酸细胞浸润。(4)神经系统:以外周神经受累为多见,可为多发性单神经炎、缺血性视神经炎。该患者既往有反复眼眶痛,虽然经颅多普勒彩超和瞬目反射结果均阴性,但由于检查手段有限,仍不能除外神经系统受累,如能取得相应组织行病理检查当可进一步明确。(5)消化系统:CSS累及消化系统主要表现为嗜酸性粒细胞性胃肠炎症状,以腹痛、腹泻及消化道出血常见,严重时可有穿孔,当严重肉芽肿形成时,可出现结节性肿块。同时亦可以引起腹膜炎,腹水内可见大量嗜酸细胞。该患者即以肠道起病,表现为胃肠道炎症和肠道内肉芽肿性病变,病理证实有广泛嗜酸细胞浸润。(6)肾脏:肾脏累及较少见,如为肾小血管受累主要表现为镜下血尿、蛋白尿,可自行缓解,极少进展为肾功能衰竭。该患者在病程中肾损害表现较突出,多种检查提示可能有肾动脉受累,需与显微镜下多动脉炎鉴别。(7)关节和肌肉:主要表现为游走性关节痛,CSS早期常出现小腿肌肉痉挛,以腓肠肌受累最具特征性。该患者目前尚无相关症状。
, http://www.100md.com
CSS实验室检查以外周血嗜酸细胞增多为特征性指标之一,一般大于1.5×109/L;血IgE增高是另一特点;和所有血管炎一样,CSS缺乏标记性特异抗体,部分患者可有ANCA阳性、补体下降,有的类风湿因子阳性;另外,血沉、C反应蛋白、丙种球蛋白也可升高。该患者入院后行相关检查并无太多阳性发现,可能与已经应用激素治疗有关。
消化科就诊的患者,即使已有检查提示有明确消化系统病变存在,也不应忽视其他系统病变表现,尤其当病变难以用消化系统疾病完全解释时,应综合患者整体病程发展特点全面分析做出诊断,多系统受累者要考虑系统性免疫病的可能。系统性血管炎消化系统受累者多见于白塞病,其他血管炎引起的消化系统表现也应警惕,CSS发病率低,胃肠道受累较少见,此时除全面的病史询问(过敏表现)、仔细的体格检查(多系统受累证据)、针对性的实验室检查(外周血和骨髓的嗜酸细胞计数,IgE测定)之外,应尽可能取得病理检查的支持——发现脏器中嗜酸细胞浸润。, http://www.100md.com(消化科 姚方 内科 翁利 免疫科 赵岩)