当前位置: 首页 > 医疗版 > 疾病专题 > 内分泌科 > 肥胖病 > 单纯性肥胖
编号:10295153
肥胖相关性肾病1例
http://www.100md.com 2003年8月18日 中国医学论坛报
     病历摘要

    患者男性,38岁。因发现蛋白尿4个月,高血压1个月入院。

    患者于2002年11月受凉感冒,当地医院予头孢拉定治疗后好转。8天后因乏力、双膝关节疼痛,在外院查尿常规:尿蛋白(+++),诊为“肾炎”,给予中药(汤剂,具体不详)治疗,症状好转。此后反复尿蛋白(++~+++)。2003年2月1日于外院就诊,查体发现眼睑浮肿,血压160/90 mmHg,尿常规:尿蛋白150~500 mg/dk、红细胞25~50/μk、白细胞(-),尿蛋白定量2.5 g/24小时,血白蛋白4.4 g/dk,甘油三酯(TG) 294 mg/dk,胆固醇223 mg/dk,肌酐1.0 mg/dk。予“阿魏酸哌嗪(保肾康)、肾炎康复片,福辛普利钠(蒙诺)”治疗。3月6日于我院门诊查血压110/90 mmHg,血常规正常,尿常规:尿蛋白5.0 g/L、红细胞25/μk,尿沉渣:红细胞2~4/HPF,白细胞2~4/HPF,24小时尿蛋白1.55 g。双肾B超:右肾12.1 cm×5.0 cm×4.3 cm,左肾11.8 cm×4.6 cm×4.4 cm,双肾结构欠清。近3年夜尿4~5次/夜,夜尿量大于日尿量。
, http://www.100md.com
    既往史:10余年前发现血脂升高,1995年以来夜间睡眠时有打鼾,家人发现其有呼吸暂停,具体时间不详,夜间无憋醒,白日嗜睡。吸烟20支/日,30年;饮酒不规律。其母患有高血压、糖尿病。

    入院查体:血压160/90 mmHg,体重84 kg,身高170 cm,体质指数(BMI)29,体形肥胖,口唇略发绀,小下颌,咽腔小,舌体较大。心肺无异常,双下肢不肿。

    实验室检查:血常规正常,尿常规:尿蛋白微量~5.0 g/L,红细胞(-)至少量,白细胞(-);尿沉渣:红细胞2~4/HPF,白细胞2~4/HPF,24小时尿蛋白定量1.55~0.16 g;血、尿β2微球蛋白正常,血肌酐0.96 mg/dk,尿酸7.8 mg/dk(2.4~6.8);无机磷4.79 mg/dk(2.3~4.3);甘油三酯273 mg/dk;白蛋白4 g/L。血气分析:PH 7.389,PO2 63.4 mmHg,PCO2 48.4 mmHg,HCO3 28.6 mmok/L。
, 百拇医药
    超声心动图:左室肥厚,左房轻度增大,左室射血分数(EF)67%。糖耐量试验正常。眼科会诊患者眼底血管有轻微硬化。睡眠监测诊断报告:睡眠中最低SaO2自醒时97%降至60%,最长呼吸暂停时间78秒,不规则呼吸指数70.4次/小时,睡眠中上气道阻力明显增加,打鼾明显,符合睡眠呼吸暂停低通气综合征(重度),伴睡眠低氧(重度)。入院后患者经过控制体重(减至80 kg),福辛普利钠控制血压和氧疗后,尿蛋白转阴。入院后行肾穿。

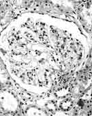
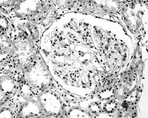
    肾穿病理结果 光镜:全片共32个肾小球,6个球性硬化,余肾小球细胞数未见明显增多,球囊腔普遍增宽,大部分肾小球体积增大,可见节段性系膜细胞增生和系膜基质增多。毛细血管开放良好,肾小球基底膜(GBM)未见明显增厚,部分肾小球旁器肥大(图1,图2),可见入球小动脉壁增厚及玻璃样变。部分肾小管上皮细胞可见浊肿及气球样变性,可见小灶性肾小管基底膜(TBM)增厚及小管萎缩,肾间质内小叶间动脉壁增厚及玻璃样变。免疫荧光:全部阴性。
, http://www.100md.com
    图1 肾小球体积增大,球囊腔增宽,肾小球旁器肥大(HE,×400)

    图2 肾小球囊腔增宽,肾小管上皮细胞可见浊肿及气球样变性(PAS,×400)

    病理诊断:符合肥胖相关性肾病(ORG)。

    讨论

    西方国家肥胖的定义为体质指数(BMI)(体重/身高2)≥30 kg/m2;BMI 30.0~34.9 kg/m2为轻度肥胖,BMI 35.0~39.9 kg/m2为中度肥胖;BMI≥40 kg/m2为重度肥胖。我国诊断肥胖的标准为BMI≥28 kg/m2。肥胖患者常伴其他代谢性疾病,如高脂血症、高血压、冠心病、胰岛素抵抗和糖尿病等。肾脏改变常为肾小球滤过率和肾血流增加,肾小球肥大。1974年Weisinger首次报告1例重症肥胖患者合并肾病性蛋白尿,从那时起,人们才把肥胖与肾小球肥大以及局灶节段肾小球硬化联系在一起。
, 百拇医药
    肥胖相关性肾病目前发病机制尚不清楚。文献报告提示肥胖患者肾小球滤过率(GFR)和肾血流量都增高,分别比对照组高31%和51%,此与入球小动脉扩张、肾小球内静水压差增加有关。GFR的增加可能与饮食中蛋白的摄入增加有关。肥胖患者常伴胰岛素抵抗,因为胰岛素能直接对抗肾上腺素引起的入球小动脉收缩,胰岛素抵抗能扩张入球小动脉,引起肾小球内高压、高灌注和高滤过。高胰岛素血症能增强生长因子的合成如胰岛素样生长因子(IGF-1和IGF-2)的合成,促进肾小球肥大。肥胖患者高脂血症本身也能促进肾小球硬化,此与低密度脂蛋白(LDL)受体的参与,氧化细胞的损伤,纤维源性生长因子的高表达有关。

    ORG的形态学改变包括:(1)肥胖相关的局灶节段硬化(FSGS)伴肾小球肥大(O-FSGS);(2)单纯肥胖相关的肾小球肥大(OGM)。

    ORG目前尚无统一诊断标准,主要依据临床及病理表现,即肥胖。肾小球源性蛋白尿以及病理表现为肾小球体积增大或肾小球体积增大伴FSGS,但需除外其他继发FSGS。
, 百拇医药
    ORG治疗的根本问题在于改善患者的基本状况,体重减少的本身就可以降低尿蛋白。伴有阻塞性呼吸睡眠暂停综合征的患者,通过改善血氧浓度也可以达到降低尿蛋白的目的。降脂药物,特别是他汀类降脂药,可以有效的减少系膜硬化和减少尿蛋白。在肥胖人群中,使用ACEI或ARB可以减少尿蛋白。ACEI可延缓ORG患者发展至终末期肾病的进程。

    本例患者肾小球体积明显增大,球性硬化多,节段硬化不明显,肾小球旁器肥大,血管病变突出,没有肾病综合征的临床表现,血糖正常,糖耐量正常,BMI 29 kg/m2,因此可以诊断为ORG。患者经过减轻体重、ACEI治疗、控制血压和氧疗后,尿蛋白转阴。

    由于肥胖患者的增加,ORG发病率也增加,临床医师应该加强对这一疾病的认识,以正确诊断与治疗。, http://www.100md.com