临床病例讨论——皮疹、腹痛、急性肾衰
病历摘要
患者男性,17岁,因“间断发热3年,皮疹2个月,腹痛5天”于2001年4月入院。1998年3月及1999年6月,患者两次无诱因发热最高达40℃。在当地医院分别行颈部及腋下淋巴结活检,诊为“坏死性淋巴结炎”,予泼尼松40 mg/d 1周后,体温降至正常,泼尼松渐减量,半年后停用。2001年2月,患者再次高热,面部、前胸、手指散在暗红色皮疹,压之不退色,伴脱发。2001年3月,我院门诊查抗核抗体(ANA)阳性(均质型,1320),抗双链DNA抗体dsDNA阴性,抗SSA抗体(164)和抗Sm抗体阳性(28/29 KD);补体正常,血、尿常规及肝功能正常,血肌酐(Cr) 97.2 μmok/L(参考值:<176.8 μmok/L)。诊为“结缔组织病,系统性红斑狼疮可能性大”。予泼尼松60 mg/d及环磷酰胺200 mg 隔日1次静点。1周后,患者体温正常,皮疹消退。治疗过程中患者血压升高,口服降压药治疗后血压控制在120~130/80~90 mmHg。入院前8天血Cr 203.3 μmok/L。5天前患者无诱因出现左上腹持续性绞窄性剧烈疼痛。入院当天复查血Cr 751.4 μmok/L,B超示双肾大小正常,肾盂、输尿管无扩张,以“急性肾功能衰竭”,收入我院。既往体健。
, 百拇医药
体格检查:T 36.7℃,P 80 次/min,BP 125/80 mmHg。头面部、前胸、双手散在圆形褐色皮疹,直径0.5~2.0 cm。心、肺查体无异常。左季肋部压痛,无肌紧张、反跳痛;双肾区叩痛阳性,双下肢无凹陷性水肿。
入院诊断:结缔组织病,系统性红斑狼疮可能性大;急性肾功能衰竭。
讨论(Ⅰ)
患者青年男性,存在多系统损害,多种自身抗体阳性,结缔组织病诊断明确。患者临床表现已符合美国风湿病学会系统性红斑狼疮(SLE)诊断标准中的3条(包括ANA阳性、抗Sm抗体阳性、血小板减少),原发病以SLE可能性大。
患者在短期内血Cr进行性升高,而B超示双肾大小正常,急性肾衰诊断明确。
急性肾衰的原因应考虑:(1)狼疮性肾炎(LN):患者的原发病以SLE可能性大,急性肾衰应首先考虑LN(特别是IV型LN)所致。但患者24 h尿蛋白定量小于0.5 g、尿红细胞形态正常,不支持LN的诊断。少数SLE患者发生急性肾衰是由狼疮性间质性肾炎所致,此类患者可无肾小球源性血尿和大量蛋白尿,但多有SLE活动的表现。而患者急性肾衰发生时,发热、皮疹、脱发等已得到控制,补体正常,dsDNA阴性,均不提示SLE活动。(2)急性间质性肾炎(AIN):患者发生急性肾衰之前曾使用多种药物,发生急性肾衰时伴发热、皮疹、腹痛,尿蛋白量不大,尿红细胞形态正常,应考虑药物所致AIN的可能性。但以下几点不支持药物性AIN的诊断:①皮疹不符合药物所致皮疹的特点,且与急性肾衰的发生不同步;②AIN引起的肾区疼痛一般为隐痛或胀痛,而非剧烈绞窄性疼痛;③药物所致AIN通常与过敏有关,停药及应用糖皮质激素治疗多有效,而患者经停药及甲泼尼龙冲击治疗后急性肾衰仍无缓解。(3)急性肾小管坏死(ATN):患者在发生急性肾衰之前除发热外并无导致有效循环血量不足的诱因,亦无有效循环血量不足的临床表现,因肾脏缺血导致ATN的可能性不大;而药物导致ATN的可能性虽不能完全排除,但证据亦不充分。(4)肾后性梗阻因素:患者发生急性肾衰时伴剧烈腹痛、肉眼血尿及双肾区叩痛,尿红细胞形态正常,应考虑存在肾后性梗阻因素,如泌尿系结石的可能性,但影像学检查的结果不支持。
, 百拇医药
总之,患者急性肾衰的原因尚需进一步明确,以便进行针对性的治疗。
诊疗经过(Ⅰ)
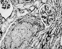
入院当日,患者尿量1750 mk,尿沉渣镜检:红细胞8~10 个/高倍视野,正常形态100 %;24 h尿蛋白定量0.39 g(参考值:<0.15 g)。予甲泼尼龙1 g/d×3日静点,继以泼尼松60 mg/d口服。冲击治疗次日,患者腹痛缓解,但尿量仅300 mk,血钾6.78 mmok/L,遂行血液透析。冲击治疗结束当日,患者无诱因再次出现腹痛,尿色呈洗肉水样,体温最高39.2 ℃。腹痛为上腹部两侧持续性绞窄性剧烈疼痛,无放射,不伴尿急、尿痛、呕吐、腹泻。查体:腹膜刺激征阴性,肠鸣音存在,双肾区叩痛阳性。实验室检查:血小板(PLT)计数下降,(116×109 /L→47×109 /L);激活的部分凝血活酶时间(APTT)58.4 s(参考值:28~42 s);血浆鱼精蛋白副凝试验阴性(参考值:阴性),优球蛋白溶解时间>90 s(参考值:<90 s)。腹部平片和B超未见异常;双肾动、静脉及肠系膜上动脉彩超未见异常。因观察到患者腹痛在血液透析开始后1 h左右明显减轻,而在血液透析结束后数小时又加重,故推测腹痛减轻与血液透析中应用肝素有关,遂于5月1日起予低分子肝素钙(速避凝)0.1 mg/d皮下注射。抗凝治疗2天后,患者腹痛缓解,体温正常,血小板计数、APTT逐渐恢复正常。住院期间,相隔8周两次查狼疮抗凝物(LA)阳性(参考值:阴性),抗心磷脂抗体(ACL)阴性(参考值:阴性)。5月30日,在全麻下行开放性肾活检术,病理结果:光镜下可见肾小动脉多数血栓形成,内膜呈葱皮样增厚,管腔狭窄及闭塞,多数肾小球呈缺血性皱缩,部分呈缺血性硬化;免疫荧光全部阴性(图1,图2)。住院期间,患者肾功能无恢复,予泼尼松60 mg/d 12周后逐渐减量),2001年8月出院。

, http://www.100md.com
图1 肾小动脉血栓形成,管腔几乎闭塞;肾小球呈缺血性皱缩改变。(HE染色,×200)
图2 肾小动脉血栓形成,内膜呈葱皮样增厚,管腔严重狭窄。(PAS-M染色,×200)
讨论(Ⅱ)
患者发生急性肾衰时有如下特点:(1)腹痛:①腹痛与急性肾衰同时发生,伴肉眼血尿、双肾区叩痛;②疼痛呈绞窄性,程度十分剧烈,而体征却相对轻微。以上两点提示有肾血管血栓栓塞的可能性,因双肾血管同时发生栓塞的可能性较小,故应首先考虑肾血管血栓形成。(2)PLT下降、APTT延长:两者同时发生应首先考虑播散性血管内凝血(DIC),但优球蛋白溶解时间和血浆鱼精蛋白副凝试验的结果不支持DIC的诊断。我们注意到,虽然患者PLT和APTT的结果均提示低凝状态,但临床上却存在着肾血管血栓形成的可能性。患者临床表现与实验室检查结果不相符的特点提示我们应考虑抗磷脂综合征(APS)。APS患者的血清中可检测到持续性、高滴度的抗磷脂抗体(aPL),主要包括ACL和LA。由于aPL的存在,APS患者体内呈高凝状态,有血栓形成倾向,但其磷脂依赖性的体外凝血试验(如APTT)却表现为低凝状态。APS在临床上主要表现为反复血栓形成、习惯性流产或胎死宫内、血小板减少等。APS的诊断标准Wikson WA et ak. Arthritis Rheum 1999 42 1309-1311:1.临床标准:(1)血栓形成:经多普勒超声或影像学或组织病理学证实,不包括浅静脉血栓形成;(2)妊娠失败:包括习惯性流产、胎死宫内、严重胎盘功能不全、子痫或先兆子痫。2.实验室标准:(1)ACL阳性(IgG和/或IgM型,中至高滴度,相隔6周以上2次);(2)LA阳性(相隔6周以上2次)。满足1项临床标准和1项实验室标准者即可确诊APS。APS可独立存在,称原发性APS;也可伴随其他疾病(主要为SLE)存在,称继发性APS。APS的主要治疗是抗凝治疗,对于继发性APS还应治疗原发病。
, 百拇医药
患者相隔8周两次查LA均阳性,支持APS的诊断。若能证明肾血管血栓的存在,APS的诊断即可明确。但双肾动、静脉彩超未发现肾脏大血管血栓;肾血管造影和肾活检则分别因造影剂可能使肾脏损害加重和不能除外出血倾向而未能进行。我们注意到,患者的腹痛在血液透析开始1 h左右明显减轻,而在血液透析结束后数小时又加重。既然考虑腹痛为肾血管血栓所致,而血液透析中使用了肝素,故推测腹痛在血液透析过程中减轻可能是肝素抗凝作用的结果。这一分析为肾血管血栓的存在提供了间接证据,也为抗凝治疗提供了依据。抗凝治疗后,患者腹痛缓解,PLT、APTT恢复正常,不仅验证了我们判断的正确性,也使行肾活检成为可能。肾活检的病理结果证实了肾血管血栓的存在,APS的诊断得以明确。
APS可累及多系统,肾脏是APS的主要靶器官之一。APS的肾脏病理改变主要为肾血管血栓形成,从肾血管主干到肾小球毛细血管的各级血管均可受累,以血栓性微血管病(TMA)最为典型。光镜下,TMA在急性期可表现为内皮细胞肿胀、变性,血管壁纤维素样坏死,血管腔内血栓形成;在慢性期则可见血管壁增生性改变,血栓部分再通等。免疫荧光检查应无免疫复合物沉积。APS的肾脏损害在临床上可表现为不同程度的蛋白尿、高血压、肾功能损害,严重者可致急性肾衰,当发生肾梗死时可表现为腰痛、腹痛、肉眼血尿等。APS所致肾脏TMA是本例急性肾衰的原因。
, 百拇医药
APS与SLE关系密切,导致继发性APS的最常见的原发疾病即为SLE,而SLE中继发APS者占20%~35%。APS的临床表现可先于或后于或伴随SLE的临床表现出现。APS虽可继发于SLE,但APS的疾病进程与SLE的活动性并不一定相关。对于肾脏而言,SLE主要通过LN导致肾脏损害,而APS则主要通过TMA导致肾脏损害;当SLE继发APS时,可在无LN存在的情况下仅通过TMA导致肾脏损害,甚至发生急性肾衰。SLE继发APS者较单纯SLE者预后要差。
如前所述,本例的原发病以SLE可能性大,但仅符合美国风湿病学会SLE诊断标准中的3条,且PLT减少可归因于APS,故只能诊为不完全性红斑狼疮(ILE),也有学者称之为狼疮样疾病或可能的狼疮。ILE患者的临床表现符合至少1条但不足4条SLE诊断标准。ILE最常见的具有特征性的临床表现包括ANA阳性(占83%),皮肤表现(占61%),多发性非侵蚀性关节炎(占47%)。与SLE相比,ILE较少发生系统性损害,较少出现补体下降、dsDNA阳性等。本例应诊为ILE,继发性APS。值得注意的是,ILE可演变为SLE,故应密切随诊。
, http://www.100md.com
本例病人的最终诊断为:不完全性红斑狼疮,继发性抗磷脂综合征,肾脏血栓性微血管病,急性肾功能衰竭。
诊疗经过(Ⅲ)
出院后,患者继续口服泼尼松,未使用环磷酰胺及其他免疫抑制剂,抗凝治疗改用普通肝素钠9375 IU/d,每日2次皮下注射 ,规律血液透析。
患者尿量逐渐增多,10个月后未再行血液透析。1年后随访,泼尼松已减量至10 mg/d,尿量1500 mk/d,查尿常规正常,血Cr 309.4 μmok/L,ANA和dsDNA阴性,补体正常,B超示:右肾9.2 cm×5.3 cm×4.2 cm,左肾9.2 cm×5.2 cm×3.4 cm,双肾结构欠清,皮质回声增强变薄。
讨论(Ⅲ)
, http://www.100md.com
由于缺乏前瞻性对照研究的结果,APS的治疗仍为经验性治疗。抗凝治疗被认为是APS最关键的治疗,免疫抑制剂治疗的效果尚不肯定。对于口服华法林者,应使国际标准化比值(INR)至少达到3.0。当APS继发于某种原发疾病时,还应积极治疗原发疾病。本例经免疫抑制剂和抗凝治疗后腹痛缓解,血小板计数、APTT恢复正常,长期随诊肾功能有一定程度的恢复,ANA转阴,提示治疗有效。大量证据表明,APS所致血栓形成具有反复发作的特点,故本例病人应坚持抗凝治疗,甚至终生抗凝。
点评
年轻男性患者突然出现急性肾功能衰竭,最后经肾穿刺活检和LA阳性证实为抗磷脂抗体综合征所致的肾脏血管性微血管病。在文中作者脉络清晰地进行了急性肾功能衰竭的病因分析。通过该病例,也可提高对抗磷脂综合征的认识。
刘晓红, http://www.100md.com(内科 刘震宇 肾内科 李莉)
患者男性,17岁,因“间断发热3年,皮疹2个月,腹痛5天”于2001年4月入院。1998年3月及1999年6月,患者两次无诱因发热最高达40℃。在当地医院分别行颈部及腋下淋巴结活检,诊为“坏死性淋巴结炎”,予泼尼松40 mg/d 1周后,体温降至正常,泼尼松渐减量,半年后停用。2001年2月,患者再次高热,面部、前胸、手指散在暗红色皮疹,压之不退色,伴脱发。2001年3月,我院门诊查抗核抗体(ANA)阳性(均质型,1320),抗双链DNA抗体dsDNA阴性,抗SSA抗体(164)和抗Sm抗体阳性(28/29 KD);补体正常,血、尿常规及肝功能正常,血肌酐(Cr) 97.2 μmok/L(参考值:<176.8 μmok/L)。诊为“结缔组织病,系统性红斑狼疮可能性大”。予泼尼松60 mg/d及环磷酰胺200 mg 隔日1次静点。1周后,患者体温正常,皮疹消退。治疗过程中患者血压升高,口服降压药治疗后血压控制在120~130/80~90 mmHg。入院前8天血Cr 203.3 μmok/L。5天前患者无诱因出现左上腹持续性绞窄性剧烈疼痛。入院当天复查血Cr 751.4 μmok/L,B超示双肾大小正常,肾盂、输尿管无扩张,以“急性肾功能衰竭”,收入我院。既往体健。
, 百拇医药
体格检查:T 36.7℃,P 80 次/min,BP 125/80 mmHg。头面部、前胸、双手散在圆形褐色皮疹,直径0.5~2.0 cm。心、肺查体无异常。左季肋部压痛,无肌紧张、反跳痛;双肾区叩痛阳性,双下肢无凹陷性水肿。
入院诊断:结缔组织病,系统性红斑狼疮可能性大;急性肾功能衰竭。
讨论(Ⅰ)
患者青年男性,存在多系统损害,多种自身抗体阳性,结缔组织病诊断明确。患者临床表现已符合美国风湿病学会系统性红斑狼疮(SLE)诊断标准中的3条(包括ANA阳性、抗Sm抗体阳性、血小板减少),原发病以SLE可能性大。
患者在短期内血Cr进行性升高,而B超示双肾大小正常,急性肾衰诊断明确。
急性肾衰的原因应考虑:(1)狼疮性肾炎(LN):患者的原发病以SLE可能性大,急性肾衰应首先考虑LN(特别是IV型LN)所致。但患者24 h尿蛋白定量小于0.5 g、尿红细胞形态正常,不支持LN的诊断。少数SLE患者发生急性肾衰是由狼疮性间质性肾炎所致,此类患者可无肾小球源性血尿和大量蛋白尿,但多有SLE活动的表现。而患者急性肾衰发生时,发热、皮疹、脱发等已得到控制,补体正常,dsDNA阴性,均不提示SLE活动。(2)急性间质性肾炎(AIN):患者发生急性肾衰之前曾使用多种药物,发生急性肾衰时伴发热、皮疹、腹痛,尿蛋白量不大,尿红细胞形态正常,应考虑药物所致AIN的可能性。但以下几点不支持药物性AIN的诊断:①皮疹不符合药物所致皮疹的特点,且与急性肾衰的发生不同步;②AIN引起的肾区疼痛一般为隐痛或胀痛,而非剧烈绞窄性疼痛;③药物所致AIN通常与过敏有关,停药及应用糖皮质激素治疗多有效,而患者经停药及甲泼尼龙冲击治疗后急性肾衰仍无缓解。(3)急性肾小管坏死(ATN):患者在发生急性肾衰之前除发热外并无导致有效循环血量不足的诱因,亦无有效循环血量不足的临床表现,因肾脏缺血导致ATN的可能性不大;而药物导致ATN的可能性虽不能完全排除,但证据亦不充分。(4)肾后性梗阻因素:患者发生急性肾衰时伴剧烈腹痛、肉眼血尿及双肾区叩痛,尿红细胞形态正常,应考虑存在肾后性梗阻因素,如泌尿系结石的可能性,但影像学检查的结果不支持。
, 百拇医药
总之,患者急性肾衰的原因尚需进一步明确,以便进行针对性的治疗。
诊疗经过(Ⅰ)
入院当日,患者尿量1750 mk,尿沉渣镜检:红细胞8~10 个/高倍视野,正常形态100 %;24 h尿蛋白定量0.39 g(参考值:<0.15 g)。予甲泼尼龙1 g/d×3日静点,继以泼尼松60 mg/d口服。冲击治疗次日,患者腹痛缓解,但尿量仅300 mk,血钾6.78 mmok/L,遂行血液透析。冲击治疗结束当日,患者无诱因再次出现腹痛,尿色呈洗肉水样,体温最高39.2 ℃。腹痛为上腹部两侧持续性绞窄性剧烈疼痛,无放射,不伴尿急、尿痛、呕吐、腹泻。查体:腹膜刺激征阴性,肠鸣音存在,双肾区叩痛阳性。实验室检查:血小板(PLT)计数下降,(116×109 /L→47×109 /L);激活的部分凝血活酶时间(APTT)58.4 s(参考值:28~42 s);血浆鱼精蛋白副凝试验阴性(参考值:阴性),优球蛋白溶解时间>90 s(参考值:<90 s)。腹部平片和B超未见异常;双肾动、静脉及肠系膜上动脉彩超未见异常。因观察到患者腹痛在血液透析开始后1 h左右明显减轻,而在血液透析结束后数小时又加重,故推测腹痛减轻与血液透析中应用肝素有关,遂于5月1日起予低分子肝素钙(速避凝)0.1 mg/d皮下注射。抗凝治疗2天后,患者腹痛缓解,体温正常,血小板计数、APTT逐渐恢复正常。住院期间,相隔8周两次查狼疮抗凝物(LA)阳性(参考值:阴性),抗心磷脂抗体(ACL)阴性(参考值:阴性)。5月30日,在全麻下行开放性肾活检术,病理结果:光镜下可见肾小动脉多数血栓形成,内膜呈葱皮样增厚,管腔狭窄及闭塞,多数肾小球呈缺血性皱缩,部分呈缺血性硬化;免疫荧光全部阴性(图1,图2)。住院期间,患者肾功能无恢复,予泼尼松60 mg/d 12周后逐渐减量),2001年8月出院。
, http://www.100md.com
图1 肾小动脉血栓形成,管腔几乎闭塞;肾小球呈缺血性皱缩改变。(HE染色,×200)
图2 肾小动脉血栓形成,内膜呈葱皮样增厚,管腔严重狭窄。(PAS-M染色,×200)
讨论(Ⅱ)
患者发生急性肾衰时有如下特点:(1)腹痛:①腹痛与急性肾衰同时发生,伴肉眼血尿、双肾区叩痛;②疼痛呈绞窄性,程度十分剧烈,而体征却相对轻微。以上两点提示有肾血管血栓栓塞的可能性,因双肾血管同时发生栓塞的可能性较小,故应首先考虑肾血管血栓形成。(2)PLT下降、APTT延长:两者同时发生应首先考虑播散性血管内凝血(DIC),但优球蛋白溶解时间和血浆鱼精蛋白副凝试验的结果不支持DIC的诊断。我们注意到,虽然患者PLT和APTT的结果均提示低凝状态,但临床上却存在着肾血管血栓形成的可能性。患者临床表现与实验室检查结果不相符的特点提示我们应考虑抗磷脂综合征(APS)。APS患者的血清中可检测到持续性、高滴度的抗磷脂抗体(aPL),主要包括ACL和LA。由于aPL的存在,APS患者体内呈高凝状态,有血栓形成倾向,但其磷脂依赖性的体外凝血试验(如APTT)却表现为低凝状态。APS在临床上主要表现为反复血栓形成、习惯性流产或胎死宫内、血小板减少等。APS的诊断标准Wikson WA et ak. Arthritis Rheum 1999 42 1309-1311:1.临床标准:(1)血栓形成:经多普勒超声或影像学或组织病理学证实,不包括浅静脉血栓形成;(2)妊娠失败:包括习惯性流产、胎死宫内、严重胎盘功能不全、子痫或先兆子痫。2.实验室标准:(1)ACL阳性(IgG和/或IgM型,中至高滴度,相隔6周以上2次);(2)LA阳性(相隔6周以上2次)。满足1项临床标准和1项实验室标准者即可确诊APS。APS可独立存在,称原发性APS;也可伴随其他疾病(主要为SLE)存在,称继发性APS。APS的主要治疗是抗凝治疗,对于继发性APS还应治疗原发病。
, 百拇医药
患者相隔8周两次查LA均阳性,支持APS的诊断。若能证明肾血管血栓的存在,APS的诊断即可明确。但双肾动、静脉彩超未发现肾脏大血管血栓;肾血管造影和肾活检则分别因造影剂可能使肾脏损害加重和不能除外出血倾向而未能进行。我们注意到,患者的腹痛在血液透析开始1 h左右明显减轻,而在血液透析结束后数小时又加重。既然考虑腹痛为肾血管血栓所致,而血液透析中使用了肝素,故推测腹痛在血液透析过程中减轻可能是肝素抗凝作用的结果。这一分析为肾血管血栓的存在提供了间接证据,也为抗凝治疗提供了依据。抗凝治疗后,患者腹痛缓解,PLT、APTT恢复正常,不仅验证了我们判断的正确性,也使行肾活检成为可能。肾活检的病理结果证实了肾血管血栓的存在,APS的诊断得以明确。
APS可累及多系统,肾脏是APS的主要靶器官之一。APS的肾脏病理改变主要为肾血管血栓形成,从肾血管主干到肾小球毛细血管的各级血管均可受累,以血栓性微血管病(TMA)最为典型。光镜下,TMA在急性期可表现为内皮细胞肿胀、变性,血管壁纤维素样坏死,血管腔内血栓形成;在慢性期则可见血管壁增生性改变,血栓部分再通等。免疫荧光检查应无免疫复合物沉积。APS的肾脏损害在临床上可表现为不同程度的蛋白尿、高血压、肾功能损害,严重者可致急性肾衰,当发生肾梗死时可表现为腰痛、腹痛、肉眼血尿等。APS所致肾脏TMA是本例急性肾衰的原因。
, 百拇医药
APS与SLE关系密切,导致继发性APS的最常见的原发疾病即为SLE,而SLE中继发APS者占20%~35%。APS的临床表现可先于或后于或伴随SLE的临床表现出现。APS虽可继发于SLE,但APS的疾病进程与SLE的活动性并不一定相关。对于肾脏而言,SLE主要通过LN导致肾脏损害,而APS则主要通过TMA导致肾脏损害;当SLE继发APS时,可在无LN存在的情况下仅通过TMA导致肾脏损害,甚至发生急性肾衰。SLE继发APS者较单纯SLE者预后要差。
如前所述,本例的原发病以SLE可能性大,但仅符合美国风湿病学会SLE诊断标准中的3条,且PLT减少可归因于APS,故只能诊为不完全性红斑狼疮(ILE),也有学者称之为狼疮样疾病或可能的狼疮。ILE患者的临床表现符合至少1条但不足4条SLE诊断标准。ILE最常见的具有特征性的临床表现包括ANA阳性(占83%),皮肤表现(占61%),多发性非侵蚀性关节炎(占47%)。与SLE相比,ILE较少发生系统性损害,较少出现补体下降、dsDNA阳性等。本例应诊为ILE,继发性APS。值得注意的是,ILE可演变为SLE,故应密切随诊。
, http://www.100md.com
本例病人的最终诊断为:不完全性红斑狼疮,继发性抗磷脂综合征,肾脏血栓性微血管病,急性肾功能衰竭。
诊疗经过(Ⅲ)
出院后,患者继续口服泼尼松,未使用环磷酰胺及其他免疫抑制剂,抗凝治疗改用普通肝素钠9375 IU/d,每日2次皮下注射 ,规律血液透析。
患者尿量逐渐增多,10个月后未再行血液透析。1年后随访,泼尼松已减量至10 mg/d,尿量1500 mk/d,查尿常规正常,血Cr 309.4 μmok/L,ANA和dsDNA阴性,补体正常,B超示:右肾9.2 cm×5.3 cm×4.2 cm,左肾9.2 cm×5.2 cm×3.4 cm,双肾结构欠清,皮质回声增强变薄。
讨论(Ⅲ)
, http://www.100md.com
由于缺乏前瞻性对照研究的结果,APS的治疗仍为经验性治疗。抗凝治疗被认为是APS最关键的治疗,免疫抑制剂治疗的效果尚不肯定。对于口服华法林者,应使国际标准化比值(INR)至少达到3.0。当APS继发于某种原发疾病时,还应积极治疗原发疾病。本例经免疫抑制剂和抗凝治疗后腹痛缓解,血小板计数、APTT恢复正常,长期随诊肾功能有一定程度的恢复,ANA转阴,提示治疗有效。大量证据表明,APS所致血栓形成具有反复发作的特点,故本例病人应坚持抗凝治疗,甚至终生抗凝。
点评
年轻男性患者突然出现急性肾功能衰竭,最后经肾穿刺活检和LA阳性证实为抗磷脂抗体综合征所致的肾脏血管性微血管病。在文中作者脉络清晰地进行了急性肾功能衰竭的病因分析。通过该病例,也可提高对抗磷脂综合征的认识。
刘晓红, http://www.100md.com(内科 刘震宇 肾内科 李莉)