当前位置:
编号:10515919
临床病例讨论——自发性肾梗塞1例
http://www.100md.com 2003年9月4日 《中国医学论坛报》 2003年第34期
病历报告,病例讨论
临床病例讨论——自发性肾梗塞1例/病历报告/病例讨论/

     急性肾梗塞是一种少见病,常因恶性高血压、动脉粥样硬化、肾动脉纤维肌发育不良或心房栓子脱落等病变所致,很少发生在无基础疾病的病人中。本文报告1例发生于无其他疾病的健康中年男性的自发性肾梗塞,并结合文献复习肾梗塞的临床表现、诊断及治疗。

    病历报告

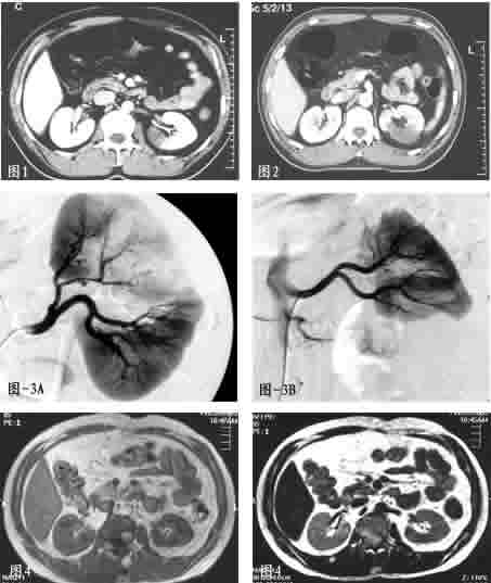
    患者男性,40岁。因反复左腰部疼痛12天入院。患者入院前12天,无明显诱因出现左腰部剧烈疼痛,伴有明显腹胀。当时查体血压正常,左肾明显叩击痛,疑为肾结石。查尿常规正常,B超提示右肾下极见无回声区,造影剂增强CT检查显示左肾中极节段未见造影剂增强,考虑左肾梗塞(图1)。

    患者于外院经低分子肝素抗凝及阿司匹林抗血小板等治疗5天,症状逐渐缓解并停药。停药后2天,患者再次出现腰痛、腹胀,伴血压升高130/100 mmHg;复查CT见肾梗塞灶扩大(图2)。患者起病后12天来我院就诊。

    患者既往体健,无肝炎、结核病史,无冠心病、高血压、糖尿病等病史。

    查体测上肢血压140~150/100~110 mmHg,下肢160~170/90~100 mmHg,两侧对称;心率70次/分,律齐,各瓣膜区未闻及病理性杂音;腹部查体无异常,左肾区叩痛明显;颈部、腹部及腹股沟区均未闻及血管杂音。血常规:白细胞轻度升高,10.18×109/L,血红蛋白及血小板正常;多次尿常规及尿沉渣检查未见异常;丙氨酸转氨酶(ALT)升高,乳酸脱氢酶(LDH)最高409 U/L;红细胞沉降率(ESR)37 mm/h;血免疫球蛋白、蛋白电泳及血补体正常,抗核抗体(ANA)、抗dsDNA、抗可提取核糖核抗原(ENA)、抗中性粒细胞胞浆抗体(ANCA)均阴性;抗心磷脂抗体及狼疮抗凝物阴性 ......

您现在查看是摘要页,全文长 6507 字符