急性肾衰研究和诊断新技术
急性肾功能衰竭(ARF)治疗水平的提高,有赖于对其病理生理认识的深入和快速诊断、损伤程度量化和治疗效果评判技术的发展。美国印第安纳大学医学院Dagher等介绍了几种用于ARF早期诊断、病理生理研究和疗效评价的新技术。尽管其中某些新技术目前还处于动物实验阶段,但预计不久将应用于临床。文章发表在J Am Soc Nephrok 2003∶ 14,2188。
快速、准确评估ARF时的肾小球滤过率
准确估计肾小球滤过率(GFR)对ARF的预后评价具有重要意义。缺血性ARF的进展阶段可发生肾脏灌注改变、持续性缺氧和炎症反应,此后出现表皮细胞和内皮细胞损伤,此时是进行干预治疗的时机。采用敏感、特异的方法准确测定GFR不仅能检验治疗对ARF进展和对肾功能的影响,而且有助于调整药物剂量和透析时间,并对预后作出评价。
评估GFR通常依据溶质标志物的血浆清除率和肾脏清除率。通常以菊粉肾脏清除率作为参照标准。其他常用的溶质标志物包括放射性(如125I-脑影酸盐、51Cr-EDTA)和非放射性(如脑影酸盐、聚果聚糖)两类。可采用连续注射法、标准清除法和血浆清除法等测定GFR。


, 百拇医药
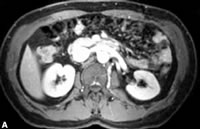
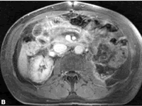
1例60岁男性患者左肾切除后发生急性肾功能衰竭,采用钆整合物进行增强MR显像示:A.术前两肾正常灌注;B.术后2天,患者发生急性缺血性肾衰竭。右肾示髓质灌注不良;皮质边缘灌注减低;C.随访3周显示,右肾灌注均匀,完全康复。
(1)无需收集尿液的连续注射法
该法通过以恒定速率注射已知浓度的GFR标志物来测定GFR,但由于ARF时GFR难以达到稳定状态,故该法不宜用于ARF病人。
(2)收集尿液的标准清除法
采用该法测定GFR时,需给病人单次注射GFR标志物,然后收集3~6次尿液,每次间隔20~30分钟。测定尿量和尿中脑影酸盐浓度,并测定留尿前、后外周静脉血中的标志物浓度,计算GER。即使在血流动力学波动很大时,该法也能较好地评估GFR,并且能反映采尿期间GFR的迅速变化。
, 百拇医药
(3)血浆清除法
血浆清除法是在单次注射标志物后连续测定其血浆浓度,根据标志物血浆浓度变化计算清除率。采用该法测定的GFR与菊粉清除率有很好的相关性。
(4)同时观察肾脏影像与测定GFR
目前欧洲常用的放射性标志物是51Cr-EDTA。这种放射性标志物血浆清除率与125I-脑影酸盐清除率有很好的相关性,与标准血浆清除率相比,重复性较好。这种方法能够观察肾功能的急剧变化,肾功能正常者观察时间仅需5分钟,肾功能严重受损者需15分钟。
ARF病人的磁共振成像
对ARF病人进行影像学检查的主要目的是,检查尿路梗阻及泌尿系结构异常,观察肾脏动脉灌注与静脉回流。最近,磁共振成像(MRI)技术取得较大发展,应用范围扩大。钆鳌合物因无肾毒性,可自由通过肾小球滤过膜,并且不被肾小管重吸收与排泄,故非常适用于GFR的测定。采用最近研制的快速梯度系统,不仅能快速检测尿路梗阻和肾实质异常,而且能在一次检查中准确、快速地获得从上端动脉到远端周围动脉的图像,从而指导ARF的治疗。
, http://www.100md.com
在MRI中应用血氧水平依赖性BOLD对比剂和血池对比剂能够研究ARF病人肾内灌注和氧化程度。BOLD MRI能够无创测定组织中的PO2,但BOLD MRI不能区分组织缺氧的原因是由于血液灌注不足还是氧消耗过多,该方法还需要进行复杂的数学处理,因此,其临床应用受到一定限制。
与钆鳌合物相比,血池对比剂在血液中的时间延长,在间质的弥散大幅度减少。这些特征使小血管的显影更为清晰,并能分辨MRI的空间、对比分辨率和形成三维影像。在ARF时应用这种技术,可检测肾髓质的灌注障碍并准确区分肾皮质和髓质的灌注量。即使肾内局部出现轻度的灌注异常,也会出现清晰的影像改变。若能减轻这种试剂的潜在毒性,以目前的MRI技术加上血池对比剂,可望为研究ARF血管病理生理提供最有利的条件。
MRI在ARF病因诊断中的应用
目前人类ARF的发病机制尚不清楚。传统的无创性影像技术如超声、CT等只能观察尿路梗阻和肾脏灌注等情况,对ARF的病因与肾功能不全的诊断帮助不大。最近,两种显微MRI技术被用于测定动物肾小管功能和肾脏内炎症状态。第一种技术采用在近端肾小管蓄积的阳性对比剂;第二种方法采用局部浸润的巨噬细胞摄取的阴性对比剂。这些新的MRI技术有助于研究的治疗ARF的新方法。
, http://www.100md.com
近端小管功能障碍:在多种类型的肾脏病变中,近端小管是首要的损伤部位。以树状聚合物(dendrimer)为基础的对比剂能从肾小球滤过,在近端小管被吸收并蓄积,通过高分辨三维显微MRI能够显示近端小管区域,直接观察近端小管的病变。MRI图像变化的程度与肾功能水平明显相关。因此这种技术能够检测肾脏近端小管直段的损伤及功能变化。
肾脏内炎症水平测定:动物实验表明,炎症反应在缺血性ARF和顺铂所致的ARF中具有重要作用。最近,应用新研制的MRI阴性显影剂(如葡聚糖包被的超微超旁磁铁过氧化微粒,USPIO)能够检测动物脑缺血、关节炎、药物性肾损害及移植肾排斥等病变的炎症反应。动物实验表明,USPIO微粒不造成肾损伤,并且不延长轻、重度缺血性ARF的恢复时间。这种显影剂近期将进入Ⅲ期临床试验,可能不久即可应用于临床。
双光子显微技术检测细胞凋亡
双光子显微技术能够检测动物模型亚细胞水平的生理和病理生理变化。利用组织的自身荧光,或注射荧光标志物或荧光标记蛋白质。该技术能观察血管、表皮细胞及炎症成分等病理改变,为ARF病理研究及疗效评价提供重要依据。
总之,上述新技术的发展与应用,为深入探讨ARF的病理机制以及临床快速诊断和疗效评价提供了有效手段。
点评 急性肾衰病因复杂、病情变化迅速,且个体差异很大,临床缺乏快速诊断和疗效评价技术,故目前ARF的治疗难以达到满意效果。以上介绍了近年国外在ARF时肾功能评价及病理生理研究技术方面的新进展,虽然这些技术大多数尚处于研究阶段,但为深入认识ARF病因和病理生理,提高治疗水平开辟了新的途径。, http://www.100md.com(梁敏 侯凡凡)
快速、准确评估ARF时的肾小球滤过率
准确估计肾小球滤过率(GFR)对ARF的预后评价具有重要意义。缺血性ARF的进展阶段可发生肾脏灌注改变、持续性缺氧和炎症反应,此后出现表皮细胞和内皮细胞损伤,此时是进行干预治疗的时机。采用敏感、特异的方法准确测定GFR不仅能检验治疗对ARF进展和对肾功能的影响,而且有助于调整药物剂量和透析时间,并对预后作出评价。
评估GFR通常依据溶质标志物的血浆清除率和肾脏清除率。通常以菊粉肾脏清除率作为参照标准。其他常用的溶质标志物包括放射性(如125I-脑影酸盐、51Cr-EDTA)和非放射性(如脑影酸盐、聚果聚糖)两类。可采用连续注射法、标准清除法和血浆清除法等测定GFR。
, 百拇医药
1例60岁男性患者左肾切除后发生急性肾功能衰竭,采用钆整合物进行增强MR显像示:A.术前两肾正常灌注;B.术后2天,患者发生急性缺血性肾衰竭。右肾示髓质灌注不良;皮质边缘灌注减低;C.随访3周显示,右肾灌注均匀,完全康复。
(1)无需收集尿液的连续注射法
该法通过以恒定速率注射已知浓度的GFR标志物来测定GFR,但由于ARF时GFR难以达到稳定状态,故该法不宜用于ARF病人。
(2)收集尿液的标准清除法
采用该法测定GFR时,需给病人单次注射GFR标志物,然后收集3~6次尿液,每次间隔20~30分钟。测定尿量和尿中脑影酸盐浓度,并测定留尿前、后外周静脉血中的标志物浓度,计算GER。即使在血流动力学波动很大时,该法也能较好地评估GFR,并且能反映采尿期间GFR的迅速变化。
, 百拇医药
(3)血浆清除法
血浆清除法是在单次注射标志物后连续测定其血浆浓度,根据标志物血浆浓度变化计算清除率。采用该法测定的GFR与菊粉清除率有很好的相关性。
(4)同时观察肾脏影像与测定GFR
目前欧洲常用的放射性标志物是51Cr-EDTA。这种放射性标志物血浆清除率与125I-脑影酸盐清除率有很好的相关性,与标准血浆清除率相比,重复性较好。这种方法能够观察肾功能的急剧变化,肾功能正常者观察时间仅需5分钟,肾功能严重受损者需15分钟。
ARF病人的磁共振成像
对ARF病人进行影像学检查的主要目的是,检查尿路梗阻及泌尿系结构异常,观察肾脏动脉灌注与静脉回流。最近,磁共振成像(MRI)技术取得较大发展,应用范围扩大。钆鳌合物因无肾毒性,可自由通过肾小球滤过膜,并且不被肾小管重吸收与排泄,故非常适用于GFR的测定。采用最近研制的快速梯度系统,不仅能快速检测尿路梗阻和肾实质异常,而且能在一次检查中准确、快速地获得从上端动脉到远端周围动脉的图像,从而指导ARF的治疗。
, http://www.100md.com
在MRI中应用血氧水平依赖性BOLD对比剂和血池对比剂能够研究ARF病人肾内灌注和氧化程度。BOLD MRI能够无创测定组织中的PO2,但BOLD MRI不能区分组织缺氧的原因是由于血液灌注不足还是氧消耗过多,该方法还需要进行复杂的数学处理,因此,其临床应用受到一定限制。
与钆鳌合物相比,血池对比剂在血液中的时间延长,在间质的弥散大幅度减少。这些特征使小血管的显影更为清晰,并能分辨MRI的空间、对比分辨率和形成三维影像。在ARF时应用这种技术,可检测肾髓质的灌注障碍并准确区分肾皮质和髓质的灌注量。即使肾内局部出现轻度的灌注异常,也会出现清晰的影像改变。若能减轻这种试剂的潜在毒性,以目前的MRI技术加上血池对比剂,可望为研究ARF血管病理生理提供最有利的条件。
MRI在ARF病因诊断中的应用
目前人类ARF的发病机制尚不清楚。传统的无创性影像技术如超声、CT等只能观察尿路梗阻和肾脏灌注等情况,对ARF的病因与肾功能不全的诊断帮助不大。最近,两种显微MRI技术被用于测定动物肾小管功能和肾脏内炎症状态。第一种技术采用在近端肾小管蓄积的阳性对比剂;第二种方法采用局部浸润的巨噬细胞摄取的阴性对比剂。这些新的MRI技术有助于研究的治疗ARF的新方法。
, http://www.100md.com
近端小管功能障碍:在多种类型的肾脏病变中,近端小管是首要的损伤部位。以树状聚合物(dendrimer)为基础的对比剂能从肾小球滤过,在近端小管被吸收并蓄积,通过高分辨三维显微MRI能够显示近端小管区域,直接观察近端小管的病变。MRI图像变化的程度与肾功能水平明显相关。因此这种技术能够检测肾脏近端小管直段的损伤及功能变化。
肾脏内炎症水平测定:动物实验表明,炎症反应在缺血性ARF和顺铂所致的ARF中具有重要作用。最近,应用新研制的MRI阴性显影剂(如葡聚糖包被的超微超旁磁铁过氧化微粒,USPIO)能够检测动物脑缺血、关节炎、药物性肾损害及移植肾排斥等病变的炎症反应。动物实验表明,USPIO微粒不造成肾损伤,并且不延长轻、重度缺血性ARF的恢复时间。这种显影剂近期将进入Ⅲ期临床试验,可能不久即可应用于临床。
双光子显微技术检测细胞凋亡
双光子显微技术能够检测动物模型亚细胞水平的生理和病理生理变化。利用组织的自身荧光,或注射荧光标志物或荧光标记蛋白质。该技术能观察血管、表皮细胞及炎症成分等病理改变,为ARF病理研究及疗效评价提供重要依据。
总之,上述新技术的发展与应用,为深入探讨ARF的病理机制以及临床快速诊断和疗效评价提供了有效手段。
点评 急性肾衰病因复杂、病情变化迅速,且个体差异很大,临床缺乏快速诊断和疗效评价技术,故目前ARF的治疗难以达到满意效果。以上介绍了近年国外在ARF时肾功能评价及病理生理研究技术方面的新进展,虽然这些技术大多数尚处于研究阶段,但为深入认识ARF病因和病理生理,提高治疗水平开辟了新的途径。, http://www.100md.com(梁敏 侯凡凡)