临床病例讨论——持续性头痛2年
患者女性,27岁,持续性头痛2年,偶有恶心呕吐。既往无特殊。
体检:神清语利,瞳孔等大等圆,对光反射存在,余颅神经未见异常。肌力V级,各肌腱反射正常,病理征阴性,颈抵抗阴性。
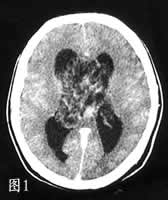
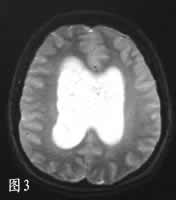
CT示双侧脑室肿物,呈泡沫状,实性部分有增强,双侧脑室轻度积水(图1)。MRI上肿瘤实性部分T1WI与T2WI均与白质信号相近,中度增强(图2、3),多囊内呈水样信号。
手术中见肿瘤位于双侧侧脑室,鱼肉样,质软,血运不丰;室间孔通畅。
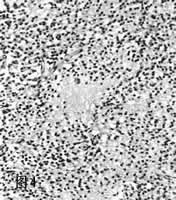
病理可见特征性的无核纤维岛(图4),免疫组化结果:CgA+++,SY38++,NF+,GFAP-。



诊断:中枢神经细胞瘤。, http://www.100md.com(北京大学第一医院 医学影像科 唐光健)
体检:神清语利,瞳孔等大等圆,对光反射存在,余颅神经未见异常。肌力V级,各肌腱反射正常,病理征阴性,颈抵抗阴性。
CT示双侧脑室肿物,呈泡沫状,实性部分有增强,双侧脑室轻度积水(图1)。MRI上肿瘤实性部分T1WI与T2WI均与白质信号相近,中度增强(图2、3),多囊内呈水样信号。
手术中见肿瘤位于双侧侧脑室,鱼肉样,质软,血运不丰;室间孔通畅。
病理可见特征性的无核纤维岛(图4),免疫组化结果:CgA+++,SY38++,NF+,GFAP-。
诊断:中枢神经细胞瘤。, http://www.100md.com(北京大学第一医院 医学影像科 唐光健)