影像读片:垂体巨大腺瘤伴相邻骨质破坏
患者女,58岁。因进行性视力、视野障碍伴间断性头痛10个月入院。查体发现其左侧视力缺损。
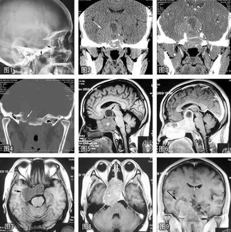
图1 头颅侧位平片,示蝶鞍明显扩大,边界模糊(↑),后床突消失。
图2 冠状位CT平扫,蝶鞍中部水平,可见巨大软组织密度肿块(↑),部分凸入右侧中颅凹,蝶窦内充满肿物。肿瘤上部可见低密度的囊样变。
图3 增强CT,示肿瘤实性部分轻度均匀增强。
图4 CT冠状扫描骨窗,示肿瘤相邻岩骨与枕骨斜坡骨质破坏(↑)。
图5 MRI 正中矢状T1WI像示鞍区巨大软组织肿块()向前下凸入蝶窦、鼻咽上壁,后鼻孔受压。↑示肿瘤上部囊变。
图6 钆增强MRI 正中矢状T1WI,可见肿瘤明显增强。
图7 MRI轴位T1WI。
图8钆增强轴位T1WI。
图9钆增强冠状T1WI,示鞍区肿瘤凸入右侧中颅凹(↑)与后组筛窦。
手术中打开蝶窦即见肿瘤,淡红色,易碎。病理诊断为垂体腺瘤,部分区域生长活跃。, 百拇医药(唐光健)
图1 头颅侧位平片,示蝶鞍明显扩大,边界模糊(↑),后床突消失。
图2 冠状位CT平扫,蝶鞍中部水平,可见巨大软组织密度肿块(↑),部分凸入右侧中颅凹,蝶窦内充满肿物。肿瘤上部可见低密度的囊样变。
图3 增强CT,示肿瘤实性部分轻度均匀增强。
图4 CT冠状扫描骨窗,示肿瘤相邻岩骨与枕骨斜坡骨质破坏(↑)。
图5 MRI 正中矢状T1WI像示鞍区巨大软组织肿块()向前下凸入蝶窦、鼻咽上壁,后鼻孔受压。↑示肿瘤上部囊变。
图6 钆增强MRI 正中矢状T1WI,可见肿瘤明显增强。
图7 MRI轴位T1WI。
图8钆增强轴位T1WI。
图9钆增强冠状T1WI,示鞍区肿瘤凸入右侧中颅凹(↑)与后组筛窦。
手术中打开蝶窦即见肿瘤,淡红色,易碎。病理诊断为垂体腺瘤,部分区域生长活跃。, 百拇医药(唐光健)