当前位置:
编号:10411057
影像学读片——多房性囊性肾癌
http://www.100md.com 2004年6月3日 《中国医学论坛报》 2004年第21期
影像学读片——多房性囊性肾癌//
影像学读片——多房性囊性肾癌//
影像学读片——多房性囊性肾癌//
影像学读片——多房性囊性肾癌//

     患者女,36岁,无意中发现右上腹肿块半年余,无自觉症状。既往无特殊。

    查体 体温36.6°C,心率82/分,呼吸18/分,血压120/80 mmHg。右上腹可扪及肿物,下缘平脐,内侧达中线,无压痛,质稍韧,表面不光滑,与周围分界不清,活动度小。

    实验室检查 无异常报告。

    腹平片及静脉肾盂造影:右肾明显受压,肾盂、肾盏受压变形。

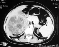
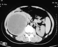
    CT:平扫示右肾上极低密度类圆形占位,CT值30~35HU,边缘光滑(图1)。增强扫描可见肿瘤呈多房状,间隔强化明显,外缘及腔内未见强化(图2)。

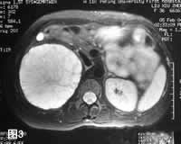
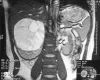
    MRI:病灶T2WI呈高信号强度,多房状结构清楚,间隔为低信号,右肾静脉及下腔静脉内未见瘤栓征象(图3)。冠状层面显示肿瘤与残余肾下极间分界清楚,外缘光滑(图4)。

    手术中见肿瘤位于右肾上极,与周围组织粘连。肿瘤切面呈多囊状,囊内为胶冻样清亮液体,少部分囊壁较厚。

    病理:囊性肾细胞癌,透明细胞型(G1),伴出血。, 百拇医药(北京大学第一医院 放射科 唐光健)