当前位置:
编号:
10413068
中心静脉导管插入致静脉栓塞症
http://www.100md.com
2004年6月10日
《中国医学论坛报》
2004年第22期
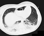
1名17岁女孩在交通事故中受伤,在被直升机转运到医院前,急救人员给她插入了一中心静脉导管。她因多发性损伤收入急诊室。胸部CT扫描显示,两肺挫伤,右心室内有空气。
空气栓塞是插入中心静脉导管罕见的并发症,但又是致命性的。在穿刺时或通过开放的静脉输液管,空气可进入中心静脉系统。空气大约以100 mk/秒的速度通过14G 针头。病人在交通事故后3日死于严重创伤。
, 百拇医药
(鲁豫译自 N Engl J Med (2004,350:e17)
百拇医药网
http://www.100md.com/html/Dir/2004/06/10/41/38/06.htm