当前位置:
编号:10416714
结节性硬化病(Bourneville 综合征)
http://www.100md.com 2004年6月17日 《中国医学论坛报》 2004年第23期
结节性硬化病(Bourneville综合征)//
结节性硬化病(Bourneville综合征)//
结节性硬化病(Bourneville综合征)//
结节性硬化病(Bourneville综合征)//
结节性硬化病(Bourneville综合征)//

     【病历摘要】 患者男,18岁,体检时发现双肾肿物1个半月。患者7月龄时因癫痫发作,于当地医院诊为结节性硬化病,曾查智商为43。用“卡马西平”治疗,癫痫未再发作。

    体格检查 一般情况可,呆傻面容。左侧腹自肋下至骨盆上缘可及巨大肿物,活动度差,质韧。右前额部可见2~3 cm大小的椭圆形突起肿物,边界清,褐色,轻触痛,眼眶周围有蝶形斑块,余无异常。

    实验室检查 无异常报告。

    图1. 静脉肾盂造影(IVP)示左肾下盏拉长、变形(箭号)。

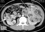
    图2. 增强CT扫描和图3. 增强CT冠状位多层面重组像,示双肾巨大肿物,密度不均,可见多发脂肪密度灶(箭号)。肝内亦见一脂肪密度灶(箭头)。

    图4. 颅脑CT平扫,示双侧侧脑室室管膜下多发钙化性结节(箭号)。

    图5. 患者面部皮肤多发紫褐色结节。, 百拇医药(北京大学第一医院 唐光健)