当前位置:
编号:10450347
射频消融局部治疗肺肿瘤
http://www.100md.com 2004年8月12日 《中国医学论坛报》 2004年第31期
射频消融局部治疗肺肿瘤//
射频消融局部治疗肺肿瘤//
射频消融局部治疗肺肿瘤//

     肺癌的根治性治疗是手术切除,但是对一些肺功能低下或手术困难的病人,近年来开展了射频消融RFA治疗。最近,在日本第33届血管造影·IVR学会年会上,日本冈山济生会医院放射科的一组病例显示,对转移性或原发性的肺癌患者进行射频消融治疗,经过1年的临床观察后发现,即使是发生了转移的患者也可以获得较高的生存率。

    肺部的肿瘤被热传导率低的空气包围着,而RFA使用的放射性热波仅限于局部,对周围组织的影响不大。同时,在CT引导下对肺部病变的经皮穿刺和日常进行的肺穿刺活检一样已经成为成熟的手术方法,与开胸手术相比,具有侵袭性低的优点,从而为这一新疗法的应用提供了可能。

    2001-2003年,冈山济生会医院对80例肺肿瘤患者进行了RFA治疗,其中包括了218个病变部位。首次RFA后,30例(104个病变部位)生存超过1年以上(男性19例,女性11例,平均年龄64岁);原发病灶为直肠癌4例,肾癌5例,肺癌5例,肝癌2例。104个病变部位的肿瘤直径为3~55 mm(平均18.9 mm),约半数在30 mm以下。在12~28个月(平均18个月)的观察期间,定期行CT检查,必要时追加RFA治疗。肾癌肺转移1例(3个病灶)、食道癌肺转移1例(1个病灶)经RFA治疗6~7个月后被切除,到目前已随访了12~15个月,未见肿瘤的局部复发和肺转移(图)。

    图 1.

    在CT引导下

    将电极穿刺至病变部位

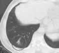
    图2.

    70岁男性肺腺

    癌患者的手术后肺转移灶

    图3.

    经2次RFA治疗后,

    原病变部位成为瘢痕。

    另外,12例患者的25个病变部位(占研究对象的24%)出现了局部复发,复发病例的原肿瘤直径平均值为25.1 mm,高于无复发病例的平均值16.9 mm。

    根据以上结果,研究者认为,在现阶段肺肿瘤的治疗中,利用RFA进行的局部治疗应占据一定的位置,对于那些局限性病变,无淋巴结或其他脏器转移的小的、早期的肺癌,直径30 mm以下的转移性肺肿瘤,切除困难或术后复发等不适合手术的病例,都可以考虑采用RFA进行治疗。

    另外,肿瘤多发或者两肺均有肿瘤发生的病例也并不一定是RFA治疗的禁忌证。对这样的患者,他们采用了RFA与放疗、化疗并用的方法,取得了良好的疗效,个别患者获长期生存。而有出血倾向、在抗凝治疗过程中、穿刺困难、严重呼吸功能障碍和靠近心脏的病变通常被认为是RFA治疗的禁忌证。

    肿瘤直径越小,RFA治疗的效果越好。有专家认为,RFA可发挥局部治疗作用的是直径在30 mm以下的肿瘤,而且和治疗中电极烧灼的温度、范围有关,如果充分地烧灼将会进一步提高肿瘤的局部治疗效果。通过对23例病人48个病灶(原发性肺癌术后复发11处病变,转移性肺肿瘤37处病变)1~41个月的观察发现,RFA治疗过程中电极周围的水分被完全吸收,达到热凝固状态的41个病灶的疗效良好,6个月后的肿瘤局部抑制率达到82%,而因疼痛或热感未能进行充分烧灼的病灶却出现了较高比例复发。因此,今后在RFA术中如何缓解疼痛和对每个病变部位充分电凝是需要注意和进一步研究的。, http://www.100md.com(李晓)