当前位置:
编号:10485496
慢性肺动脉血栓栓塞的外科治疗
http://www.100md.com 2004年10月21日 《中国医学论坛报》 2004年第40期
慢性肺动脉血栓栓塞的外科治疗//
慢性肺动脉血栓栓塞的外科治疗//

     在1999年3月至2004年3月期间,我们共对12例慢性肺动脉栓塞患者进行深低温、低流量或停循环下的肺动脉切开取栓及内膜剥脱术。结果显示,该手术是治疗慢性肺动脉栓塞的有效方法。手术效果可能受多种因素的影响,需要采用规范的评估系统进行随访、测评。

    内科治疗肺动脉栓塞的主要方法为溶栓、抗凝、强心及扩张肺血管等,但对已机化的慢性肺动脉栓塞,内科治疗效果不佳,肺动脉切开取栓及内膜剥脱术是唯一有效的治疗途径。

    本研究纳入12例慢性肺动脉栓塞患者,其中男性9例,女性3例,年龄24~72岁平均54.75岁。均以进行性、劳力性呼吸困难40天~3年收入院。

    1例患者3年前有右下肢外伤性骨折、内固定史;1例40天前开长途车后右下肢肿胀;5例有明确的单侧或双侧下肢深静脉血栓(DVT)病史;另外5例无明显下肢DVT史,只有下肢轻度不适和疼痛,体检亦未发现下肢肿胀和静脉血栓形成。5例患者曾接受过1~3次溶栓治疗。
, 百拇医药
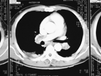
    增强CT显示肺动脉内充盈缺损(图1),2例位于肺动脉主干,9例分别位于左侧和右侧肺动脉干;同位素血流灌注扫描显示相应部位肺灌注缺失;肺动脉造影提示相应部位肺动脉不显影或显影延迟(图2);超声心动图估测肺动脉收缩压为9.3~11.3kPa,肺动脉瓣和三尖瓣反流,右心增大,室间隔反向运动。5例术前放置下腔静脉滤网。患者不吸氧动脉血氧饱和度(SaO2)为0.85~0.9动脉氧分压(PaO2)均<8 kPa;术前纽约心脏学会(NYHA)心功能分级Ⅱ级3例,Ⅲ级6例,Ⅳ级3例。

    肺动脉血栓切除和肺动脉内膜剥脱手术均在深低温、低流量体外循环下进行,6例因术中支气管动脉反流血液较多,影响血栓清除,停循环5~20分钟1~2次。血栓剥除到段和亚段动脉之间,近端血栓多为混合性,远端多为白血栓。1例(病史3年)血栓机化与肺动脉壁融合不能彻底剥除。术中均应用前列腺素E1(PGE1 )2~10ng/kg/min。3例术中发现卵圆孔开放,直接缝合。

    术后即刻测定肺动脉压(PA),9例下降(2.67~5.3)kPa,3例无明显下降。所有12例患者术后均出现不同程度的肺水肿,经呼气正压(PEEP)和反比呼吸辅助治疗后,症状好转。其中1例术后19天病情突然加重,死亡,尸检发现再次左肺动脉主干血栓栓塞。
, 百拇医药
    术后近期生存的11例患者症状均明显减轻,6例患者术后的同位素血流灌注扫描显示,原缺损部位恢复显像,肺动脉造影提示原不显影区充盈造影剂。

    对生存的11例患者进行了2个月至5年的随访,其中6例恢复工作,3例可从事家务劳动,2例在家休息,但可连续行走2~3公里,可登3层楼。

    手术适应证

    临床明确诊断的慢性肺动脉栓塞,只要患者能够耐受体外循环均可以接受外科手术治疗。但具备以下条件者预后较差:栓子播散到远端肺小动脉;NYHA Ⅳ级、右心功能衰竭;严重伴随疾病;高龄(>70岁);重度肥胖;肺血管阻力> 1100

    dyn.s.cm-5 。

    手术注意事项

    肺动脉栓塞手术技术并不复杂,有几点值得注意:手术中尽可能完全取出远端栓子,直至大量来自支气管动脉鲜红的血液流出;剥离层面应包括血栓本身和增厚的内膜。手术中根据支气管动脉反流的情况,采用间断深低温、停循环或深低温、低流量的体外循环方式,停循环和低流量过程中应用甲泼尼龙20~25mg/kg,注意脑保护。术中应用PGE1持续泵入或一氧化氮(NO)吸入扩张肺动脉。
, http://www.100md.com
    术后监护注意事项

    肺动脉内膜剥脱术后,原来闭塞的肺血管床得到重新灌注,肺间质不可避免地出现水肿状态,严重的可出现肺泡水肿。因此,术中、术后呼吸辅助非常重要,一般要应用PEEP

    5~10cmH2O,应用反比呼吸,将吸呼比调整到2~3∶1 增加吸气和通气平台时间,增加肺泡内压力,减轻肺水肿,改善气体交换。

    单侧肺动脉栓塞患者,手术中为避免患侧肺泡内溢出液进入健侧,应当尽可能使用双腔气管插管。术后可以保持双腔气管插管,应用两台呼吸机分别对双侧肺进行辅助呼吸。手术后肺再灌注性肺水肿是肺动脉内膜剥脱围术期死亡的主要原因,必须予以足够重视。

    另一围手术期死亡的原因是肺动脉压力术后降低不满意,下降幅度小于50%。肺动脉压下降不满意的原因可能是远端肺血管床的栓子未能完全取出,或肺动脉再充盈造成的肺动脉反射性痉挛,前者从某种意义上讲无能为力,而后者可以应用PGE1、NO和血管紧张素转换酶抑制剂(ACEI)治疗。因此,术后应当继续泵入PGE1,胃管内注入ACEI。
, 百拇医药
    术后积极抗凝,预防再次栓塞,预防肺动脉术后内膜不光滑引起血栓形成。术后4~6小时内应当应用肝素抗凝100 mg/kg/12 h,12小时后口服或胃管内注入华法林3 mg/d和肠溶阿司匹林300 mg/d,当国际标准化比值达到2.0~3.5,停用肝素。我们对1例患者术后单纯应用肝素200 mg/kg/d,未予口服华法林和肠溶阿司匹林,术后19天出现再次肺栓塞。

    本病要注意与肺动脉血管内皮细胞瘤、肺动脉瘤栓栓塞和结缔组织病肺血管病变相鉴别。有时,单靠影像资料诊断存在一定困难,只能在手术中探查,取得病理标本后证实。

    肺动脉栓塞在我国并不少见,有相当一部分患者因诊断和初期治疗不及时而转变为慢性肺栓塞。因此,应当重视和开展慢性肺栓塞的外科治疗。, 百拇医药(北京协和医院心胸外科 任华等北京朝阳医院心脏外科 苏丕雄等 在1999年3月至2004年3月期间,我们共对12)