当前位置:
编号:10516317
肝 囊 肿
http://www.100md.com 2004年10月21日 《中国医学论坛报》 2004年第40期
肝囊肿//
肝囊肿//
肝囊肿//
肝囊肿//

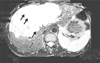
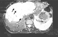
     1例44岁妇女因右上腹间断不适10个月而就诊。体格检查发现其右上腹有一肿物。腹部超声和CT显示病人肝脏两叶有多发囊肿。MRI显示囊肿累及左叶内侧段和右叶前段(图A箭头)。酶联免疫法血清包囊虫和补体结合试验阳性(滴度1∶8)。病人随即接受根治性囊肿切除术。标本显微镜检查证实为泡状棘球蚴病。手术后给予阿苯达唑治疗,病人完全康复。

    泡型包虫病是由感染多房棘球绦虫而致,在北半球特定的地区内传播,如阿拉斯加西部,中欧、北欧和亚洲北部,包括西伯利亚、中国和日本。一旦病灶完全切除,病人预后良好。

    鲁豫 摘译自 N Engk J Med (2004351e3), http://www.100md.com