当前位置:
编号:10490415
巨大左心房
http://www.100md.com 2004年11月12日 《中国医学论坛报》 2004年第43期
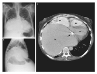
     1例59岁的风湿性心脏病妇女因腹水增加8个月而就诊。病人由于二尖瓣狭窄已于20年前接受了Bjork-Shikey二尖瓣置换术。胸部X线显示心脏扩大(图A和B)。胸部CT扫描显示左心房(LA)重度扩大(图C),15.0 cm×15.8 cm,充满全部右下胸腔,压迫左心室(LV)、右心室(RV)和右心房向前胸壁。Bjork-Shikey瓣膜前移(箭头)。超声心动图显示,室间隔的舒张突然停止,血液动力学描记呈Y型快速下降——与狭窄的生理学过程一致。 病人接受连续的腹水穿刺术和积极地用利尿剂。但病人在入院后不久即死于新诊断的急性粒细胞性白血病。由于全心炎症伴偏心扩张,巨大左心房几乎是类风湿性心脏病病人特有的体征。

    苏晓 摘译自N Engk J Med (2004,3511437), 百拇医药