当前位置:
编号:10516547
头痛、呕吐,白细胞升高,血小板减少
http://www.100md.com 2004年12月16日 《中国医学论坛报》 2004年第48期
头痛、呕吐,白细胞升高,血小板减少/病例讨论/
头痛、呕吐,白细胞升高,血小板减少/病例讨论/

     病例摘要

    患者男性,35岁,因“间断头痛、伴喷射性呕吐6个月,咽痛20天”入院。

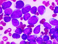
    患者6个月前上班途中突然出现全头胀痛伴喷射性呕吐,紧急就诊外院。头颅CT检查未见异常;血常规示WBC 26.6×109/L,淋巴细胞(L)11.4%,中性粒细胞(N)80.6%,Hb 130 g/L,血小板(PLT)50×109/L;X线胸片示左侧胸腔少量积液;心电图、心脏彩超(UCG)未见异常;脑脊液透明,压力290

    mmH2O,细胞数0,生化正常,培养-;结核菌素试验(PPD) -,抗结核菌抗体(TB-Ab)-。拟诊“病毒性脑膜炎”。给予静脉抗病毒、抗感染,降颅压(20%甘露醇250 mk+地塞米松5 mg q8h)、激素(地塞米松20 mg/日)及支持疗法等治疗10天,复查X线胸片胸水吸收。

    患者治疗后第11天晨突然全身抽搐,意识丧失,双眼上翻,牙关紧闭,颜面紫绀,四肢强直,继而阵挛,持续约1~2分钟后缓解,喷射性呕吐1次,无二便失禁。当时行腰穿及脑脊液检查,考虑“结核性脑膜炎”,给予三联(异烟肼0.3 g/日,利福平0.45 g/日 ,吡嗪酰胺0.75 g/日)抗痨治疗1天,同时加用肝太乐保肝治疗。次日晨患者右下肢无力,不能行走。家属发现患者面色苍白,巩膜黄染。急查血常规WBC 0.7×109/L,N 70.1%,L 29.9%,Hb 65 g/L,PLT 48×109/L;补体C3 48.6 mg/dk(正常值60~150 mg/dk),C4正常;免疫球蛋白IgG 19.7g/L(正常值7~17 g/L),IgA、IgM正常;抗链球菌溶血素“O”(ASO)、C反应蛋白(CRP)、类风湿因子(RF)正常;抗人球蛋白(Coombs)试验(-);自身抗体:抗核抗体(ANA )1320+,抗双链DNA抗体(dsDNA)1100+,抗核糖体抗体 +,抗中性粒细胞胞浆抗体(c-ANCA)弱阳性;肝炎病毒标志物(-);血清和脑脊液中抗EB病毒抗体(EBV-IgM)、抗巨细胞病毒抗体(CMV-IgM)、抗人类免疫缺陷病毒抗体(HIV-IgM)、TB-Ab均阴性 ......

您现在查看是摘要页,全文长 8275 字符