当前位置: 首页 > 期刊 > 《世界华人消化杂志》 > 1998年第1期
编号:10695354
中药肝炎平防治肝纤维化的实验研究
http://www.100md.com 1998年1月15日 《世界华人消化杂志》 1998年第1期
杜荔菁 唐望先 但自力 张文英 李绍白 世界华人消化杂志 1998 0 6 1
关键词: 期刊 sjhrxhzz 0 研究原著 fur -->


Protective effect of Ganyanyping on CCl4 induced liver fibrosis in rats

Du LJ, Tang WX, Dan ZL, Zhang WY, Li SB

Protective effect of ganyanyping on CCl4 induced liver fibrosis in rats

DU Li-Jing, TANG Wang-Xian, DAN Zi-Li, ZHANG Wei-Ying and LI Shao-Bai
Institute of Liver Diseases, Tongji Medical University, Wuhan 430030, Hubei
Province, China

Subject headings hepatitis, toxic/zhong yi yao liao fa; astragalus membranaceus/
therapeutic use; salvia miltiorrhiza/therapeutic use; polygonum cuspidatum/therapeutic
use; liver cirrhosis/zhong yi yao liao fa; disease models, animal

Abstract
AIM
To study the protective effect of the traditional Chinese medicine, Ganyanping
(GYP) on chronic liver injury induced by CCl4 .

METHODS Wistar rats (n=25) were divided into control (n=5), model (n=10,
NaCl+CCl4 ) and experimental groups (n=10, GYP+CCl4 ). Liver histopathology
was observed under light microscope. Serum cytokines including IL-6, IL-8 and
TNF- α, were detected.

RESULTS Serum levels of IL-6 (μg/L), IL-8 (μg/L) and TNF -α (μg/L),
were 2.23±0.54, 4.45±1.86, 6.08±1.82 in model group whereas 0.64±0.11,
1.79±0.52 and 0.82±0.34 in experimental group, the difference being significant
(P<0.01).

CONCLUSION GYP can significantly lower the serum levels of TNF-α, and
IL-6 and IL-8, and inhibit liver fiberosis.

主题词 肝炎,中毒性/中医药疗法;黄芪/治疗应用;丹参/治疗应用;虎杖/治
疗应用;肝硬变/中医药疗法;疾病模型,动物
中国图书资料分类号 R 575.2

摘 要
目的 探讨中药肝炎平对肝纤维化的防治作用及其对各种细胞因子的影响.
方法 用CCl4 制备大鼠肝纤维化的动物模型,对病理形态学及血清中各种细胞因
子包括:TNF-α,IL-6,IL-8浓度的变化进行观察.
结果 模型组(n=10),IL-6(μg/L),IL-8(μg/L)及TNF-α分别是2.23,4.45及
6.08,而肝炎平组(n=10),仅为0.64,1.79及0.82,两组相比有显著性差异(P<0.01).
病理组织提示,模型组正常肝小叶结构被破坏,有假小叶形成,肝细胞肿胀,呈
水变性,部分肝细胞脂肪变性可见肝细胞的点状坏死. 而肝炎平组的肝细胞的脂
肪变性和水变性明显减轻,未见明显的假小叶形成.
结论 肝炎平可显著降低血清中TNF-α,IL-6和IL-8的水平,减轻肝组织纤维化的形成.

0 引言

中药肝炎平治疗肝病的一组方剂,具有清热、解毒功效,对D-GalN所致的急
性肝损害有保护作用. 为了进一步研究肝炎平对慢性肝损害的作用,我们用CCl4
制备了大鼠慢性肝损害的模型,以观察肝炎平对肝纤维化的防治作用.

1 材料和方法
1.1
材料 Wistar 大鼠25只,雌雄各半. 体重220 g~250 g. 由本校实验动物
中心提供. 肝炎平由我校肝病研究所提供. 批号96072602. 由黄芪10 g,丹参10 g,
虎杖10 g等药物组成. 本校中药房制成片剂,实验前研成粉末后配成1.2 kg/L的溶
液,每次按12 g/kg体重灌胃.

1.2 方法 实验动物随机分为3组:正常对照组(n=5)、模型组(n=10)及肝炎平组
(n=10). 模型组皮下注射CCl4 3 ml/kg体重,2次/wk,直至实验结束,共9 wk. 肝
炎平组,皮下注射CCl4 3 ml/kg体重,连续4 wk后开始用肝炎平10 ml/kg·次,灌胃,
2次/d,在给药治疗的同时仍皮下注射CCl4 3 ml/kg. 正常对照组给予正常饮食.

病理标本的处理:肝组织用福尔马林固定,石蜡包埋切片,HE染色观察. 血
清TNF-α的测定采用双抗体夹心法. 用抗TNF单抗包板,以100 ml/L小牛血清封
闭,加入待测血清和倍比稀释的标准品,继之加入TNF-α单抗和辣根过氧化物酶
标记的羊抗兔抗体,底物显色,根据标准品的A(OD)值绘制标准曲线,计算TNF-α
的浓度(试剂盒由军事医学科学院提供). IL-6和IL-8的检测分别采用两株识别不
同表位的抗IL-6或抗IL-8的单抗,其中一株作为包被抗体,以识别和结合待测标
本中的IL-6或IL-8,另一株作为酶表抗体,与结合于包被抗体的IL-6或IL-8的另
一表位结合,并催化底物显色. 根据标准品的OD值绘制标准曲线,计算IL-6的浓
度(试剂盒由北京邦定生物医学公司提供).

2 结果
2.1
病理检查 模型组:正常的肝小叶结构被破坏,由广泛增生的纤维组织将肝
小叶分割包绕成大小不等的肝细胞团,形成假小叶,肝细胞肿胀,呈水变性,部分
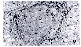
肝细胞脂肪变性,可见肝细胞的点状坏死(图1). 肝炎平组:肝细胞的脂肪变性与
水变性明显减轻,纤维结缔组织明显减少,未见明显的假小叶形成(图2).

2.2 细胞因子的检测 模型组血清中TNF-α,IL-6和IL-8的水平明显高于对照组,
有极显著性的差异(P<0.01). 肝炎平组各细胞因子的水平较模型组则明显降低,
有极显著性的差异(P<0.01,表1).


图1 模型组 肝小叶结构被破坏,纤维组织增生明显,假小叶形成 HE × 200

图2 肝炎平组 肝细胞肿胀,少量纤维组织增生,无假小叶形成 HE×200

表1 各组大鼠血清IL-6及IL-8水平的检测(±s,μg/L)

组别

n IL-6 IL-8 TNF-α
正常组 5 0.15±0.09 0.71±0.18 0.28±0.10
模型组 10 2.23±0.54b 4.45±1.86b 6.08±1.82b
肝炎组 10 0.64±0.11d 1.79±0.52d 0.82±0.34d

b P<0.01,vs 正常组;d P<0.01,vs 模型组.

3 讨论

细胞因子一旦失衡,正向调节肝纤维化的细胞因子就会发挥其瀑布式效应,
导致细胞外基质(ECM)过度沉积而形成肝纤维化. 血清TNF-α是由单核巨噬细胞
产生的一种多功能的细胞因子,现已证实TNF-α参与肝纤维化的病理过程. 它可
促进纤维母细胞和肝内Ito细胞增殖并促使Ito细胞向纤维母细胞(MFb)转化. 将
不同浓度的TNF-α加入纤维母细胞培养液中,可使该细胞大量增殖. 若事先在培
养液中加入抗TNF单抗,则细胞的增殖作用受到明显的抑制[1,2] .

Czaja et al[3] 的研究认为:毒物(如CCl4 )或免疫介导反应造成的肝损害可刺
激单核巨噬细胞释放多种细胞因子如TNF-α,IL-1和TGF-β等. 在肝纤维化早期
就有TNF和IL-1合成的增加,两者能相互促进行各自的生成,并启动一系列的复杂
反应,从而促进肝纤维化的形成.

IL-6的过度产生是网络紊乱的结果,提示巨噬细胞过度活化并可产生其他的
细胞因子如TNF-α,IL-1,IL-8等. IL-6可诱导DNA结合蛋白与许多急相蛋白的
启动基因成分相互作用,所产生的许多急相蛋白如C-反应蛋白,纤维蛋白原等可
促使基质变性,或通过与integrin交互作用而促使ECM沉着.

Tilg et al[4] 发现肝硬变患者血清IL-1,IL-6和TNF-α的水平较非硬变组显著
增高,且血清IL-6升高与Child Pugh分级相关. 这种增加的内源性细胞因子水平
代表着肝脏功能紊乱的结果. 本研究中也发现在模型组中TNF-α和IL-6的水平明
显升高,这提示TNF-α和IL-6等细胞因子在CCl4 所致的慢性肝损害中起着一定的作用.

从肝炎平组方来分析药理效应,可能具有益气活血、舒肝利胆、清热解毒、燥湿
利湿等作用[5,6] . 我们的研究结果表明,肝炎平能改善肝脏微循环,减少氧自由
基的释放,改善肝脏的免疫机能状态,减少TNF-α和IL-6等细胞因子的产生. 同时肝
炎平也能明显抑制大鼠肝纤维组织的增生及假小叶的形成,对胶原组织的定量研究也
证实,在治疗组肝组织内胶原的含量较模型组明显减少,提示肝炎平具有一定的抗纤
维化作用.

同济医科大学附属同济医院肝病研究所 湖北省武汉市 430030
杜荔菁,女,1968-10-23生,湖北省武汉市人,汉族. 1991年同济医科大学本科毕
业,1994年同济医科大学硕士研究生毕业,讲师.
通讯作者 杜荔菁,430030,同济医科大学附属同济医院肝病研究所,湖北省武汉
市解放大道1095号.
Correspondence to: DU Li-Jing, Institute of Liver Diseases, Tongji Medical University,
1095 Jiefang Dadao, Wuhan 430030, China
Tel. +86·27·3638881-3757

4 参考文献

1冯学胜,汤钊猷. 肿瘤坏死因子与肝病. 国外医学消化系疾病分册,1994;14(4):207-209
2Bac DJ, Pruimboom WM, Mulder PG, Zijlstra FJ, Wilson JH. High interleukin-6
production within the peritoneal cavity in decompensated cirrhosis and malignancy-
related ascites. Liver, 1995;15(5):265-270
3Czaja MJ, Weiner FR, Flanders KC, Giambrone MA, Wind R, Biempica L et al.
In vivo and vitro association of transforming growth factor-β with hepatic fibrosis.
J Cell Biol, 1989;108(6):2477-2482
4Tilg H, Wilmer A, Vogel W, Herold M, Nolchen B, Judmaier G et al. Serum levels
of cytokines in chronic liver diseases. Gastroenterology, 1992;103(1):264-274
5李仪奎,徐军,张晓晨,王晓青. 黄芪当归药对配伍的药理作用研究. 中药药理与临
床,1992;8(2):1-4
6唐望先,杜荔菁,张文英,李绍白,熊希凯,张艳. 肝炎平对D-氨基半乳糖所致肝损
害保护作用的酶组织化学研究. 中国组织化学与细胞化学杂志,1996;5(4):397-400

收稿日期 1997-08-01 修回日期 1997-09-06

, 百拇医药(杜荔菁 唐望先 但自力 张文英 李绍白)