当前位置: 首页 > 期刊 > 《中国烧伤创疡杂志》 > 2000年第4期
编号:10923363
MEBT治疗兔深Ⅱ度烧伤创面的实验研究
http://www.100md.com 《中国烧伤创疡杂志》 2000年第4期
王成传 刘洪宾 孙天林 周立国 葛均兰 徐国民 朱桂英 山东兖州煤矿业集团公司第二医院 273500 中国烧伤创疡杂志 2000 0 0 4
关键词:MEBT;烧伤;深Ⅱ度;创面愈合 期刊 zgsscyzz 0 1-3 专题研究 fur -->

[摘 要]目的:观察MEBT治疗的深Ⅱ度烧伤创面的临床演变与病理变化,并探讨MEBT对深Ⅱ度创面的疗效。方法:应用家兔深Ⅱ度烧伤模型,随机分MEBT组与对照组(干疗组),观察伤后1,3,5,7,10,15天及愈合后各时相点的临床特征及其病理变化。结果:伤后1天~3天,MEBT组与干疗组相比,创面湿润、渗出;之后,创面坏死组织由表及里地液化、脱落,至第10天创面坏死组织液化殆尽,随之再生的“上皮岛”纵向生长,继而扩展、愈合。与之相应的病理变化进一步再现了上述过程。同时,MEBT组创面愈合时间明显缩短于干疗组,再生的皮肤质量好。结论:MEBT治疗深Ⅱ度烧伤创面的疗效独特,而干疗组却不具备这些特点。

Experimentalstudy of MEBT on the Deep Second Degree Burn Wound in Rabbits

Wang chengchuan
(The Second Hospital of Yanzhou Mining Group Co.Yanzhou, Shandong 273500)

[Abstract] Objective: To observe theclinical evolution and pathological changes of deep se cond degree burn wound treated withMEBT and to investigage the effect of MEBT o n the deep second degree burnwound.Methods:Rabbit model of deep second degree b urn wound was used and animals weredivided into MEBT group and control group ra ndomly.Observations were made on the clinicalcharacteristic and pathological ch anges on the first,third,fifth,seventh,tenth,fifteenthday post burn and after h ealing.Results:The burn wound in MEBT group became moist andexudative on 1-3 da ys post burn,followed by liquefaction and exfoliation of the necrotictissue fro m surface into interior which lasted till the tenth day.Then the regenerated“skin islands”grew vertically and expanded to heal the wound.The corresponding pathological changes further reproduced the preceding process.At the same time,the time ofwound healing in MEBT group was shortened significantly and the quality of regeneratedskin was good.Conclusion:The effect of MEBT on deep second degree burn wound wasparticularly significant and quite different from that of dry th erapy.
[Key Words] MEBT Deep second degree burn Wound healing
MEBT(烧伤湿润暴露疗法)是徐荣祥教授发明的一种新的烧伤治疗方法,其临床演变与其它疗法也不完全一样[1] ,这是应用MEBT首先应弄清的一个问题。但有关此方面的专题论述却相对较少。故本实验以家兔深Ⅱ度烧伤为模型,针对这一问题进行了以下研究,旨在提高烧伤工作者对MEBT的认识。

一、资料和方法

(一) 实验动物:健康中国家兔18只,体重2.4kg~3.2kg,雄雌不拘(雌兔为未孕者)。
(二) 家兔深Ⅱ度烧伤模型的复制:实验前一日背部以8%硫化钠溶液脱毛,2%戊巴比妥钠腹腔注射麻醉(40mg/kg)。尔后,在兔背部两侧均用一直径3cm的100℃铜质圆形铬块接触烧灼4秒钟,造成深Ⅱ度烧伤(病理切片证实)。
(三) 实验分组:随机分为两组,每组兔9只。其中一组涂布湿润烧伤膏(MEBO),其厚度1mm左右,取暴露疗法,每4小时~6小时换药一次,为实验组(MEBT组);另一组创面不涂药,25℃室温暴露,为对照组。
(四) 观察指标:1.创面的大体改变;2.创面愈合时间及其愈后情况;3.组织学变化:于伤后第1、3、5、7、10、15天及愈合后各时相点,每组动物取一只切取创面组织标本,制成石蜡切片,HE染色,光镜观察。

二、结 果

(一) 大体改变:
烧伤后,两组创面均呈红白相间,或苍白色改变,与深Ⅱ度烧伤的临床特征相符合[2] 。伤后第1天,实验组创面由温化的MEBO覆盖,创面湿润、渗出。其渗出的水分可透过药层被蒸发,而蛋白质等成分则沉积于创面上,逐渐形成一白色的“蛋白膜”被覆于创面,至第3天该膜不再增厚;继之创面肿胀逐渐消退。第5天左右,创面开始由表入里地液化、脱落,随液化反应的增强,液化物增多,创面坏死层亦随之变薄;第10天左右,创面坏死层液化排尽完全,创基凹凸不平,其凸出者为残存的汗腺、毛囊等附属器再生而来的“上皮小岛”;之后,上皮小岛纵向生长、平皮,继而上皮岛间的结缔组织也随之平皮。第15天左右,上皮扩展,创面愈合。对照组创面干燥、成痂,第3天呈紫红色,并可见栓塞的真皮内血管网,以后逐渐变成龟壳状褐色硬痂,创面痂下愈合。
(二) 创面愈合时间及愈后情况:
实验组创面愈合快,愈后平整,毛发健在,新生皮肤弹性较好;而对照组创面愈合延迟,其愈合时间与实验组相比差异非常显著(P<0.01,表1),且愈后皮肤弹性差,毛发缺失,有的已示瘢痕增生。

表1 两组创面愈合时间

创面数 创面愈合天数 P
实验组 18 16.22±1.52 <0.01
对照组 18 21.22±1.93
(三)镜下改变:
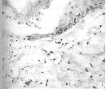
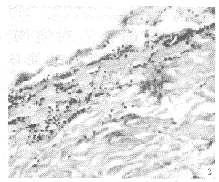
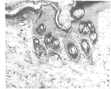
1. MEBT组:伤后第1天,表皮细胞凝固性坏死,真皮浅层胶原纤维变性、肿胀、疏松;毛囊上皮变性,毛细血管内皮细胞核固缩,其管腔内血液凝集或淤滞,仅见血管周围有少量中性白细胞浸润(图1)。伤后第3天,表皮细胞与其坏死之附件上皮空泡化,真皮浅层胶原纤维呈玻璃样变,其深层血管轻度扩张充血,可见散在的炎性细胞(以中性白细胞为主)浸润。伤后第5天,创面组织表层液化性坏死、剥脱,其内有较多中性白细胞浸润,间有少量淋巴细胞和单核/巨噬细胞(图2)。伤后第7天,前述病变明显而加重。伤后第10天,创面坏死组织液化殆尽。此时在MEBO与创面交接处以中性白细胞浸润为主,混杂少数巨噬细胞,而其深部则以淋巴细胞居多,尤以毛囊、汗腺等附属器附近最为显著。可见残存的皮肤附件上皮细胞纵向增殖、平皮,继而呈舌状向创面爬行、覆盖(图3),其周围的成纤维细胞和内皮细胞亦显示增生活跃。伤后第15天,真皮层再生,其内新生的毛细血管丰富,大部分毛囊或腺体再生近完全,部分创面已由鳞状上皮覆盖,仍有一些炎性细胞浸润。愈合后新生皮肤的结构近于正常(图4)。
2.对照组创面的病理变化:我们以往曾进行过MEBO与自然干燥疗法保持创面湿润程度的对比研究[3] ,结果显示,自然干燥组呈现为一个恶性发展的急性炎症过程,愈合后是一覆有上皮细胞的瘢痕组织。

三、讨 论

烧伤湿润暴露疗法是一种让烧伤组织立体式暴露在生理湿润环境内排泄、再生、修复的局部治疗方法[4] 。本实验将此疗法应用于家兔深Ⅱ度烧伤创面,其烧伤创面的变化呈现出一定阶段性变化趋势。根据其临床特点,其演变过程可分为:①渗出期(1天~3天);②液化期(5天~10天);③修复期(10天~15天)。这与徐荣祥的实验研究与临床观察基本一致[1] ,但与干燥暴露疗法则截然不同。因此,在接受MEBT时,应对此有足够的认识,以免相互混淆。
根据烧伤局部微循环变化特点,一个典型的烧伤创面,由内向外存在着三个不同强度损伤的同心区:凝固区、淤滞区及充血区。现代烧伤病理学研究指出,烧伤淤滞区组织并不是注定要坏死的。若能改善或扭转烧伤淤滞区的微循环,可使烧伤伤情减轻,深度创面变浅,使愈合创面中的毛囊数增加,从而改善创面愈合质量,减少挛缩性瘢痕的产生,缩短烧伤愈合时间[5、6] 。本实验结果证实了MEBT具有改善创面微循环的作用,同时也例证了MEBT对深Ⅱ度烧伤的良好疗效。
本实验显示,MEBT烧伤创面的病理改变,在伤后1天~3天,主要为烧伤组织变性坏死变化,其炎症反应轻,继之创面坏死组织出现液化、剥脱,伤后第10天即可见明显的再生修复性变化,同时伴随着炎性细胞的一系列活动。可以认为,这些变化

图1 表皮细胞凝固性坏死,真皮浅层胶原纤维变性,深层血管扩张充血,有少量中性白细胞浸润。伤后第1天,HE×100

图2 创面表层坏死组织液化、剥脱,可见大量炎细胞浸润。伤后第5天,HE×100


图3 示增生的附件上皮呈舌状向创面爬行、覆盖。伤后第10天,HE×100

图4 新生皮肤的结构接近正常,其附属器完全性再生。
HE×100
是前述临床表现的病理形态学基础,并与其临床演变呈一定的时相对应关系。

参 考 文 献

[1]徐荣祥.烧伤湿润暴露疗法(培训教材).北京光明中医烧伤创疡研究所,1990
[2]方之杨,吴中立,等主编.烧伤理论与实践.沈阳:辽宁科学技术出版社,1989,270
[3]王成传,蒲志彪等.MEBO保持创面湿润的实验研究.中国烧伤创疡杂志,1998(4):18~20
[4]徐荣祥.中国烧伤湿性医疗学概论.中国烧伤创疡杂志,1996(2):1
[5]Kaufman T,levin M,Hurwitx Dj.The effect of topical hyperalimentation on woundhealing natesand granulation tissue formation of experimental deep second burns inguinea-pigs Burns,1984;10:252
[6]Kaufman T,Ullman Y.Evidence that 1% neshushit ointment prevents progrssive dermalischemia of experimental deep partial skin thickness burns: a preliminary quantitativestudy. Burns,1989;15:2
, http://www.100md.com