当前位置: 首页 > 期刊 > 《中国烧伤创疡杂志》 > 1999年第3期
编号:10923238
促甲状腺素释放激素抗大鼠烧伤休克的作用
http://www.100md.com 《中国烧伤创疡杂志》 1999年第3期
陈旭林 李守生 汪昌荣 王永杰 安徽医科大学第一附属医院(230022) 中国烧伤创疡杂志 1999 0 0 3
关键词:促甲状腺素释放激素 烧伤 休克 期刊 zgsscyzz 0 专题研究 fur -->

[摘 要] 目的: 探索促甲状腺素释放激素(TRH)对烧伤休克的作用。方法: 采用大鼠40%TBSAⅡ度烧伤休克的动物模型,观察TRH对烧伤前后平均动脉压的动态变化,生存时间,血浆SOD活力和MDA含量,心、肝、肺、肾和创面含水量以及肾病理形态学和心肌细胞超微结构的影响。结果:TRH能显著提高休克动物的血压,延长生存时间,能防止血浆SOD活力的下降,抑制MDA的升高,减轻器官组织水肿和缺血缺氧性损害。结论: TRH具有良好的抗烧伤休克作用。

Anti-shockEffects of Thyrotropin-Releasing Hormone on Burn Shock in Rats

Chen Xulin, Li Shousheng, Wang Changrong, et al.
Burn Department, the 1st Affiliated Hospital of Anhui Medical University. 230022

[Abstract] Objective: Thisstudy is to investigate the effects of thyrotropin-releasing hormone (TRH) on burn shock.Methods: A rat shock model with 40%TBSA 2nd degree burn was used. The influence of TRH onthe changes of the mean arterial pressure (MAP), the survival time, superoxide dismutase(SOD) activities and malondialdehyde (MDA) content of the plasma, water content of theheart, liver, lungs, kidney and burnt skin, the light micrograph of the kidney and theelectron micrograph of cardiomyocyte ultrastructure were investigated. Results: TRH couldraise the MAP, prolong the survival time, prevent the decline of SOD activities, depressthe elevation of MDA content and alleviate edema and damage of the organs. Conclusion: TRHexerts therapeutic effects on rat burn shock.
[Key Words] Thyrotropin-releasing hormone Burn shock

促甲状腺素释放激素(thyrotropin-releasing hormone, TRH)目前已证明对失血性休克、内毒素性休克和过敏性休克等均具有良好的治疗作用[1] ,且毒副作用小[2] ,是一种很有前途的抗休克良药。但国内外至今尚未见将TRH用于烧伤休克治疗的文献报道。本实验采用了大鼠40%TBSAⅡ度烧伤休克动物模型,探讨TRH对不补液的烧伤休克大鼠是否具有治疗作用,以期为烧伤休克提供一条新的治疗途径。

资料和方法
一、实验动物和分组
健康成年SD大鼠80只,体重203±18克,雌雄不拘,由安徽医科大学动物中心提供。随机分为以下几组:①正常对照组,8只;②烧伤NS对照组和TRH治疗组,分伤后1、3、5小时三个时相点,每时相点8只;③生存时间NS对照组和TRH治疗组,每组12只。
二、烧伤休克动物模型的复制和处理
13.3%乌拉坦-1%氯醛糖肌肉注射(0.6ml/100g体重)麻醉大鼠,分离出左侧颈总动脉,插入动脉导管连接二道生理记录仪,描记血压曲线,用80℃水烫伤大鼠腰部以下身体(以髂前上棘为界)30秒,造成大鼠40TBSAⅡ度烫伤(病理证实),复制烧伤休克动物模型。TRH治疗组大鼠烫伤后30分钟,以0.2ml/100g体重(以生理盐水配成2.5mg/ml)经颈总动脉一次性给予TRH(上海丽珠东风生物技术有限公司生产)。NS对照组给予等量的生理盐水。各组至实验期限经颈总动脉快速放血致死,留血浆,取心、肝、肺、肾组织。正常对照组大鼠麻醉后进行颈总动脉插管和模拟烫伤(室温水浴大鼠腰部以下身体30秒),但不给任何药物。
三、实验的观察指标和方法
1.血浆SOD活力和MDA含量的测定 SOD活力测定采用改良的黄嘌呤氧化酶法,试剂盒购自南京建成生物工程研究所,NU为一个亚硝酸盐单位,是指每ml反应液中SOD抑制率达50%时所对应的SOD量。MDA含量测定采用硫代巴比妥酸比色法[3]
2.组织含水量的测定 采用干湿重法。大鼠放血处死后,取出心、肝、肺、肾组织块及烧伤处皮肤,滤纸吸干表面的渗液及血迹,称湿重,然后置于80℃烤箱中烘烤72小时,再称重。组织含水量=[(湿重-干重)/湿重]×100%
3.组织学观察 取伤后5小时NS对照组和TRH治疗组的肾和心肌组织块,分别在光镜和透射电镜下观察形态学变化并拍照。
四、统计学处理
所有的统计均在Compaq 686微机上用SAS统计软件完成,数据以均数±标准差表示。微机和软件均由本校卫生统计教研室提供。

结果
一、平均动脉压(MAP)的改变

图1 烧伤前后MAP的变化

在烫伤前,NS对照组和TRH治疗组的MAP分别17.08±0.84kpa和17.06±0.86kpa,烫伤后5分钟内MAP急骤下降,5~10分钟后开始缓慢回升,伤后30分钟NS对照组和TRH治疗组的MAP分别为10.91±1.03kpa和10.60±0.72kpa,两组给药前各时相点的MAP之间相比均无显著性差异(P>0.05)
在颈总动脉一次性给予TRH后,MAP开始迅速上升,5分钟后达高峰,为17.05±1.87kpa,基本恢复到烫伤前水平,较NS对照组高出近4kpa(P<0.001)。随后MAP逐渐下降,但TRH治疗组MAP一直明显高于NS对照组(P<0.001)且下降缓慢,烧伤后5小时MAP较给药后下降了25.3%,而NS对照组下降了67.1%(P<0.001)(见图1)。
二、生存时间
TRH治疗组的大鼠存活9.8±0.6小时,而NS对照组的大鼠存活5.5±0.7小时,两者差别具有高度显著性(P<0.01)。
三、血浆SOD活力的变化
烫伤后3小时血浆SOD活力开始下降,伤后5小时进一步下降,而TRH治疗组血浆SOD活力无明显下降,与NS对照组差别显著(表1)。

表1 血浆SOD活力(NU/ml)的变化

组别 伤 后 时 间 (h)
1 3 5
正常
对照组
132.42±5.36
NS
对照组
131.15±9.96 112.61±12.39 100.46±10.81
TRH组 131.43±6.87 131.93±11.73* 125.82±18.34*
注:与正常对照组相比#P<0.05与NS对照组相比*P<0.05

四、血浆MDA含量的变化
烫伤后3小时血浆MDA含量开始上升,伤后5小时进一步上升,而TRH治疗组血浆MDA含量无明显上升,与NS对照组差别显著(表2)。

表2 血浆MDA含量(nmol/ml)的变化

组别 伤 后 时 间 (h)
1 3 5
正常
对照组
24.3±1.62
NS
对照组
26.3±1.82 28.1±2.98 31.6±3.52
TRH组 24.3±4.12 24.5±4.04* 25.6±3.63*
注:与正常对照组相比#P<0.05与NS对照组相比P<0.05

五、伤后5小时组织含水量的改变
伤后5小时,NS对照组肝、肺、肾和创面的含水量较正常对照组增加显著,而TRH治疗组各脏器和创面的含水量均无明显上升(表3)。

表3 TRH对烧伤休克大鼠含水量(%)的影响

组 别 n

创面

正常对照组 8

69±2.1

67±2.4

65±3.1

70±2.4

53±2.0

NS对照组 8 71±3.1 71±2.5 69±2.0 75±2.3### 65±3.2###
TRH治疗组 8 70±2.3 68±3.1 66±2.5 71±2.1*** 55±2.6***
注:与正常对照组相比#P<0.05 ###P<0.001;与NS对照组相比 *P<0.05 ***P<0.001

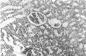
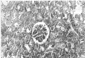
六、组织学检查结果
光镜下:烫伤后5小时肾小球和间质均有明显的充血水肿和红细胞渗出,肾小管上皮细胞水肿严重,管内可见蛋白管型(照片1):TRH治疗组这些损伤性病变明显减轻(照片2)。
透射电镜下:烫伤后5小时的心肌细胞线粒体肿胀,嵴短而稀疏(照片3)。而TRH治疗组的线粒体上述改变不明显(照片4)。

讨论
TRH是一种由焦谷氨酸、组氨酸和脯氨酸组成的三肽物质。烧伤休克大鼠伤后半小时一次性给予TRH(5mg/kg体重),生存时间显著延长。说明TRH对烧伤休克有确切治疗的作用。TRH治疗的有效性主要表现在以下几个方面:
一、减轻液体渗出和组织水肿,维持有效循环血量。大鼠40%Ⅱ度烧伤后应用TRH治疗,脏器和创面的含水量较NS对照组显著降低说明TRH可以减轻液体外渗和组织水肿,具有显著的抗渗出作用,因此可维持有效循环血量,阻断烧伤休克的发生发展。TRH的这一特性使其更适合于烧伤休克的治疗,尤其是在不能有效复苏的情况下。
二、改善心泵功能,升高血压。兔失血性休克应用TRH后,外周血管阻力和肺动脉压未改变,但血压、心输出量、心指数、LVSP(左心室收缩压)、±dp/dtmax(左室压力变化速率)、Vce(左心室收缩速度)等心功能指标立即增加[4] ,说明TRH可以改善心泵功能。烧伤休克和失血性休克从血液动力学考虑其本质均为有效循环血量和心功能的下降,推测TRH对烧伤休克大鼠的立即升压作用亦与其改善心泵功能有关,而TRH能维持烧伤休克大鼠的血压于高水平除与此有关外,还与前述的抗渗出,维持有效循环血量的作用有关。有人进一步研究发现TRH改善心泵功能的机制是:①TRH能增加休克动物的心脏肾上腺能β受体的数量,提高β受体的亲和力,延长心肌细胞膜钙通道的开放时间,提高腺苷酸环化酶的活力和休克组织的cAMP水平,从而恢复失敏状态的肾上腺能受体的反应性[5] ;②TRH能拮抗β-内啡肽且能下调休克动物的δ-阿片受体的数量,解除内源性阿片肽对心血管的抑制作用[1]
三、改善重要脏器血供和微循环,改善线粒体的氧化磷酸化功能,减轻器官组织缺血缺氧性损害。胡德耀[6] 研究发现:TRH能显著改善微循环,增加心脑肺肾的重要脏器的供血供氧。蒋建新[7] 通过观察线粒体呼吸率(RCR)和ADP/O值发现TRH具有改善休克细胞线粒体的氧化磷酸化功能,从而能保障细胞正常代谢所需的能量供应,减轻因细胞供氧减少和利用氧能力下降所致的器官和组织损伤。本实验也证实:TRH治疗组伤后5小时肾病理形态学和心肌细胞电镜检查所示的缺血缺氧性损害明显较NS对照组减轻。
四、减少自由基的产生,抑制脂质过氧化损害。实验研究和临床观察均证实,氧自由基-脂质过氧化损害是烧伤休克十分重要的发病学因素和环节,与其发生发展密不可分[8]
TRH可以显著减少血浆MDA含量,抑制SOD活力的下降,对烧伤休克大鼠自由基的产生及脂质过氧化损害有明显的抑制作用。主要原因可能是:①TRH抑制渗出,维持有效循环血量,改善心泵功能和微循环,恢复线粒体正常的能量代谢,保障细胞正常代谢所需的能量供应,从而减少经黄嘌呤氧化酶途径和线粒体单价泄漏而引起的氧自由基增多。②TRH抑制磷脂酶A2 的活性,可以减少各种脂性介质的释放,减少中性粒细胞聚集和活化[9] ,从而抑制氧自由基的产生。
虽然已知T3、T4本身有心血管作用,但一般认为T3、T4并不参加TRH的早期心血管作用,因为TRH给药后2小时才引起T3、T4的释放[10]
总之TRH抗烧伤休克作用可能与其抑制水肿的形成,改善心泵功能,升高血压,改善微循环,增加重要脏器的血供,恢复线粒体的正常能量代谢以及抗脂质过氧化损伤作用等有关。

照片1:NS对照组烫伤后5小时肾小球和间质均有明显
的充血水肿和红细胞渗出,肾小管上皮细胞水肿
严重,管内可见蛋白管型。HE×200

照片2:TRH治疗组烫伤后5小时肾小球和间质仅有
轻度的充血水肿和红细胞渗出,肾小管上皮
细胞水肿较轻。HE×200

照片3:NS对照组烫伤后5小时的心肌细胞线粒体肿胀,
嵴短而稀疏。×10000

照片4:TRH治疗组烫伤后5小时的线粒体基本
正常。×30000

参考文献
[1]Mcintosh TK,et al.Thyrotropin-releasing hormone and circulatory shock.CircShock,1986;18(3):241
[2]刘良明,等.促甲状腺素释放激素致突变和致畸胎作用,中国药理学与毒理学杂志,1991;5(3):234
[3]Gavino VG,et al.Effects of ployunsaturated fatty acid and antioxidants on lipid.JLipid Res,1981;22(3):763
[4]刘良明,等.肾上腺能和多巴胺受体在TRH抗兔失血性休克中的作用,中国病理生理杂志,1995;11(4):400
[5]Liu LM,et al.Effects of thyrotropin-releasing hormone on myocardial adrenoceptorsand dopaminergic receptors following hemorrhagic shock in the rat.Shock,1995;3(6):430
[6]Hu DY,et al.Antishock property of TRH and its mechanism.Chin JTraumatol,1993;9(6):22
[7]蒋建新,等TRH对创伤性休克大鼠线粒体呼吸功能的影响,中国药理学与毒理学杂志,1992;6(1):64
[8]Arturson G.Pathophysiology of the burn wound and pharmacologicaltreatment.Burns,1996;22(4):267
[9]胡志前,等,肠缺血性休克犬血清PLA2活性和MDA含量及促甲状腺素释放激素对其影响,中国病理生理杂志,1996;12(4):392
[10]龚岳亭.主编.生物活性肽-结构与功能.上海:上海科技出版社,1984:55, http://www.100md.com