当前位置: 首页 > 期刊 > 《中国烧伤创疡杂志》 > 2000年第4期
编号:10923359
川芎嗪对烫伤豚鼠血管内皮细胞保护作用的实验研究
http://www.100md.com 《中国烧伤创疡杂志》 2000年第4期
蔡晨 韩之勋 章伏生 徐庆连 中国烧伤创疡杂志 2000 0 0 4
关键词:川芎嗪;血管内皮细胞;内皮素;一氧化氮 期刊 zgsscyzz 0 11-14 专题研究 fur -->

[摘 要] 目的:探讨川芎嗪对烧伤早期血管内皮细胞的保护作用。方法:用豚鼠30%TBSAⅢ度烫伤为模型,分为复苏组(n=48)、治疗组(n=48)和伤前对照(n=8)。复苏组在烧伤后立即给予平衡液复苏,治疗组在复苏同时给予川芎嗪。分别在伤前、伤后2、4、8、12、24和48小时,测定血浆内皮素(ET)、一氧化氮(NO);在伤后4和8小时取回结肠动脉中段作透射电镜观察。结果:治疗组各时相点ET水平较复苏组低(P<0.05,P<0.01),NO水平无显著性差异,两组ET/NO比值比较,有显著性差异(P<0.05)。病理显示,治疗组血管内皮细胞损害明显轻于复苏组。结论:川芎嗪对烧伤早期血管内皮细胞有保护作用。

ExperimentalObservation of the Protective Effect of Ligustrazine on Vascular Endothelial Cells ofScalded Guinea Pig at the Early Stage

Cai Chen Han Zhixun Zhang Fusheng
(Department of Burn Surgery, the 1st Affiliated Hospital, Anhui Medical University, Hefei, Anhui Province 230022)

[Abstract] Objective: To study theprotective effect of ligustrazine on vascular endothelial cells (VEC) in the early stageof burn. Method: Guinea pigs were scalded to 30%TBSA full-thickness and were divided intotreatment group (n=48) and resuscitation group (n=48). And in control group (n=8), theanimals were not scalded. In resuscitation group, animals were given balanced fluid forresuscitation, while in treatment group, in addition to balanced fluid, ligustrazine wasadministered. Plasma endothelin and nitric oxide levels were determined before injury andat 2, 4, 8, 12, 24 and 48 hr post injury. At 4 and 8 hr post injury, morphological changesof VEC of arteria ileocolia were examined under a transmission electron microscope.Results: The plasma ET level in the treatment group was significantly lower than that ofthe resuscitation group (P<0.05, P<0.01). The difference in serum nitric oxide levelwas not significant. The difference of ET/NO ratio between the two groups was significant(P<0.05). Pathological examination showed that in treatment group, vascular endothelialcell injury was significantly less than that of the resuscitation group. Conclusion:Ligustrazine has protective effect on the vascular endothelial cell at early stage ofburn.
[Key words] Ligustrazine Vascular endothelial cell Endithelin Nitricoxide

严重烧伤早期,血管内皮细胞(VEC)受激或损伤是导致血管通透性增高,引发低血容量性休克及脏器功能损害的重要病理基础[1] 。川芎嗪具有改善微循环、抗血小板凝集、防止血液粘稠度升高的作用[2,3] 。为此,我们采用豚鼠30%TBSAⅢ度烫伤为模型,在体液复苏同时,应用川芎嗪,通过对回结肠动脉内皮细胞的病理观察,结合血浆中内皮素(ET)、一氧化氮(NO)和ET/NO比值的变化,初步探讨川芎嗪在烧伤早期对血管内皮细胞的保护作用。

一、材料与方法

(一) 动物模型与分组
英国种豚鼠104只,雌雄各半,体重300±25g(安徽医科大学实验动物中心提供)。随机分为复苏组(n=48)、治疗组(n=48)和伤前对照(n=8)。用戊巴比妥钠15mg/kg腹腔内注射麻醉,背部去毛,置于100℃水浴锅内烫伤12秒,造成背部30%TBSAⅢ度烫伤(病理切片证实)。伤后立即按Parkland公式腹腔注射平衡盐溶液,治疗组在复苏同时,腹腔注射盐酸川芎嗪10mg/kg(常州福民制药有限公司,批号960628)。致伤后单笼饲养。伤前对照只进行同样操作,但不烫伤。
(二) 观察指标及方法
1. 血浆ET的测定:分别在伤前、伤后2、4、8、12、24和48小时各活杀8只,经下腔静脉取血2ml,置含10%EDTA30μl和抑肽酶40μl的试管中混匀,低温离心分离血浆,放免测定血浆中ET浓度(试剂由解放军总医院放免研究所提供)。
2. 血浆NO水平:在采集ET标本同时,取静脉血2ml,立即放入试管中,低温离心分离血浆,重氮化反应测定NO浓度[4] (试剂由安徽医科大学临床药理研究所提供)。
3. 透射电镜观察:在伤后4、8小时取回结肠动脉中段5cm,用3%戊二醛固定,常规漂洗,经锇酸后固定,常规包埋,超薄切片,铅复染后用透射电镜观察(日立7—000型透射电镜)。
(三) 统计学处理
各项数据采用+s表示,应用SAS统计软件包进行t检验。

二、结 果

(一) 血浆ET水平变化(表1)
伤后复苏组、治疗组ET水平立即增高,8h达峰值,随后虽降低但仍明显高于伤前对照。治疗组各时相点ET值低于复苏组,在2、4、8、12h差异显著(P<0.05,P<0.01)。
(二) 血浆NO浓度变化(表2)
两组伤后各时相点血浆NO水平较伤前增高,峰值在伤后8h,其中在8、12、24h与对照组比较,差异显著(P<0.05);治疗组各时相点NO水平较复苏组低,但两组相比,差异不显著。

表1 两组血浆ET水平变化比较(±s)

组别 n ET(pg/ml)
伤前 伤后 2h 4h 8h 12h 24h 48h
复苏组 48 125.65 145.55 182.7 164.95 146.84 130.76
±14.24△△ ±15.22△ ±21.7△ ±25.1△△ ±16.24 ±17.47
治疗组 48 107.55 129.2 152.66 145.47 137.39 121.93
±12.99 ±11.88 ±16.42 ±18.51 ±19.88 ±12.58
对照组 8 68.9±16.57
注:与对照组比较,P<0.01;与治疗组同期比较,ΔP<0.05,ΔΔP<0.01.

表2 两组血浆NO水平变化比较(±s)

组别 n NO(μmol/ml)
伤前 伤后 2h 4h 8h 12h 24h 48h
复苏组 48 2.878 3.215 3.679 3.433 2.935 2.945
±1.295 ±1.456 ±1.396 ±0.927 ±0.996 ±0.894
治疗组 48 2.785 2.949 3.413 3.391 3.246 2.783
±1.063 ±1.041 ±1.38 ±0.987 0.974 ±1.036
对照组 8 2.502±0.683
注: 与对照组比较,P<0.05

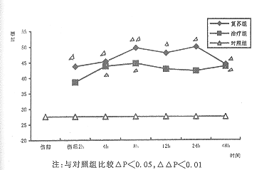
(三) 血浆ET/NO比值的变化(见图1)

图1 血浆ET/NO比值变化

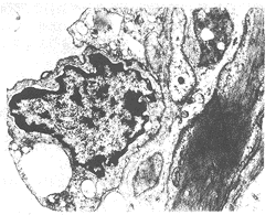
图2 伤后4小时可见血管内皮细胞(VEC)
肿胀,细胞间隙增宽〈↓〉,线粒体〈M〉
肿胀,空泡变。TEM×7000

图3 伤后8小时可见内皮细胞膜完整
性破坏,部分内皮细胞〈↓〉脱落。
TEM×3000


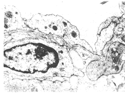
图4 伤后4小时见内皮细胞结构
完整,线粒体〈M〉肿胀,


图5 伤后8小时可见核膜〈CN〉出现
皱拆,线粒体〈M〉肿胀空泡变。
TEM×10000

(四) 透视电镜观察
复苏组伤后4h可见血管内皮细胞肿胀,细胞间隙增宽,线粒体肿胀空泡变(图2);伤后8h见内皮细胞膜完整性破坏,部分内皮细胞脱落(图3)。治疗组伤后4h可见内皮细胞膜结构完整,核膜清晰,线粒体肿胀,嵴突清晰(图4);伤后8h见核膜出现皱折,胞浆空泡变,线粒体肿胀(图5)。

三、讨 论

严重烧伤早期发生广泛的微血管通透性增加,凝血抗凝血功能紊乱和血管功能失调,都与血管内皮细胞受损有着密切关系。在正常生理状态下,内皮细胞产生缩血管物质(ET)与舒血管物质(NO),两者比值保持在一个稳定的水平上,维持着血管正常的舒缩功能和正常的脏器血流量。烧伤后早期物理因素和体液因子引起广泛的毛细血管通透性增加,大量的体液丢失,使微循环发生障碍,组织血液灌注不足,血管内皮细胞因缺氧性损害,ET和NO分泌增加,且比例失调。研究发现,ET分泌量的增加比NO更有意义。缩血管物质的过量增加,加重了组织的缺血缺氧性损伤程度,且在一定程度上往往使复苏治疗失败。
川芎为我国常用的活血化瘀中药,其味辛、微苦,主要有效成份为川芎嗪。现代药理学研究表明,川芎嗪有扩张血管,抑制血小板聚集,改善微循环和减轻组织缺氧性损害作用[5] 。本研究结果说明,川芎嗪可明显降低烧伤后血浆ET水平,改善烧伤后ET/NO比值,因而保证了血流动力学的稳定,增加微循环血流灌注。形态学观察显示,治疗组血管内皮细胞损伤程度较复苏组明显减轻。说明川芎嗪对烧伤早期血管内皮细胞有保护作用。

参 考 文 献

[1] 杨宗诚,高建川.血管内皮细胞在烧伤脏器损害发病的作用.中华整形烧伤外科杂志,1995;11(3):225~227
[2] 史荫绵,张亚菲,郑志民等.川芎对球膜和软脑膜慢性微循环障碍影响的实验研究.中华医学杂志,1980;60(10):623~624
[3] 李安国,贺石村.川芎嗪抗凝血酶诱导的单个核细胞血小板聚集.中国药理学通报,1990;6(5):311~313
[4] Archer S. Measurment of nitrice oxide in biological models. FASEB J, 1993;7:349~360
[5] 毛象刚.川芎嗪的药理作用及临床应用.医师进修杂志,1989,16(8):31~33, http://www.100md.com