当前位置:
编号:10536555
三维造影剂增强磁共振血管成像可准确判断肝癌侵犯门脉
http://www.100md.com 2005年3月3日 《中国医学论坛报》 2005年第8期
三维造影剂增强磁共振血管成像可准确判断肝癌侵犯门脉//

     在肝癌切除术和肝癌介入治疗前,准确了解门静脉系统受累情况对决定手术策略非常重要。上海复旦大学附属中山医院放射科林江等,用无创性三维造影剂增强磁共振血管成像3D CE MRA可达到此目的。

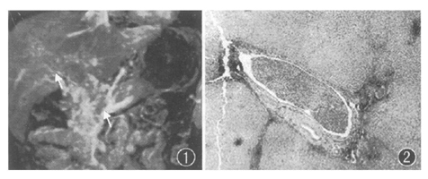
    图屹:三维增强磁共振血管成像显示门脉主干和右支增宽和充盈缺损为癌栓形成(箭头)。图亿:图屹患者肿瘤切除和门脉内取出癌栓,显示为门脉右支内癌栓 HE×40

    90例肝癌患者(平均54岁)在肝脏手术或介入治疗前接受门脉3DCEMRA检查。3DCEMRA的诊断结果由两位不知道患者临床情况的放射科医师做出,并与手术-病理、术中超声X线门脉造影所见相对照。(中华医学杂志 2005,85∶ 308)

    根据手术或X线门脉造影检出75支受侵门脉和195支正常门脉,3D CEMRA分别检出74支和188支,其总体敏感性为99%。特异性为96%,阳性预测值为91%,阴性预测值为99%。, http://www.100md.com