当前位置:
编号:
10540255
北京三博复兴脑科医院成功切除巨大脑干海绵状血管瘤
http://www.100md.com
2005年3月17日
《中国医学论坛报》
2005年第10期
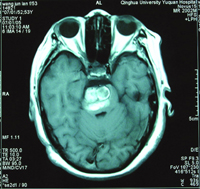
53岁的王女士,今年初在北京三博复兴脑科医院被诊断患有“桥脑巨大海绵状血管瘤”。近日,该院石祥恩教授、吴斌主任为其实施了“右颞枕开颅、桥脑海绵状血管瘤全切除术”。手术中发现,该血管瘤几乎占据了整个桥脑位置,大小约为4.0 cm×3.5 cm×3.5 cm,十分罕见。术后,患者恢复顺利,已痊愈出院。
, http://www.100md.com
百拇医药网
http://www.100md.com/html/DirDu/2005/03/17/54/05/25.htm