影像学读片——肝内胆管癌
http://www.100md.com
中国医学论坛报
【病历摘要】 患者男,60岁。进食后上腹饱胀不适伴隐痛1个月,近1周加重。无发热、呕吐、恶心、反酸等不适。查体:肝肋下1 cm,剑下3 cm,质硬有触痛。
实验室检查: 碱性磷酸酶(ALP) 2302 U/L;HBsAg+,抗HBe+,抗-HBc+γ谷氨酰转肽酶GGT4382 U/L,癌胚抗原CEA6.05 ng/mk。
手术见肝左内叶直径10 cm实性占位,侵入门静脉左支。
病理:(肝左叶)中分化胆管癌,伴大量坏死。免疫组化:ATF+/-。
图1: CT平扫,肝左叶内侧段内一规则低密度占位(箭头),远侧胆管扩张(箭号)。
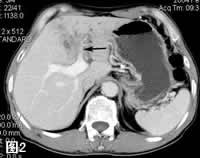
图2: 增强CT扫描门静脉期,示肿块门静脉期有轻度增强,左肝门静脉支受累狭窄(箭号)。
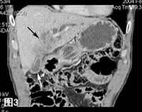
图3:肺门前水平冠状MPR(多层重组)像,示肿瘤发生于肝左叶肝管内,远侧肝管分支扩张。
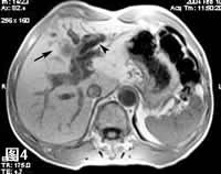
图4: MRI、T1WI,示肝左叶肿瘤与肝实质近等信号强度(箭号),远侧肝内扩张的肝管内呈低信号。
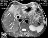
图5: MRI、T2WI,肿瘤呈相对高信号(箭号)。, http://www.100md.com
实验室检查: 碱性磷酸酶(ALP) 2302 U/L;HBsAg+,抗HBe+,抗-HBc+γ谷氨酰转肽酶GGT4382 U/L,癌胚抗原CEA6.05 ng/mk。
手术见肝左内叶直径10 cm实性占位,侵入门静脉左支。
病理:(肝左叶)中分化胆管癌,伴大量坏死。免疫组化:ATF+/-。
图1: CT平扫,肝左叶内侧段内一规则低密度占位(箭头),远侧胆管扩张(箭号)。
图2: 增强CT扫描门静脉期,示肿块门静脉期有轻度增强,左肝门静脉支受累狭窄(箭号)。
图3:肺门前水平冠状MPR(多层重组)像,示肿瘤发生于肝左叶肝管内,远侧肝管分支扩张。
图4: MRI、T1WI,示肝左叶肿瘤与肝实质近等信号强度(箭号),远侧肝内扩张的肝管内呈低信号。
图5: MRI、T2WI,肿瘤呈相对高信号(箭号)。, http://www.100md.com
参见:首页 > 医疗版 > 疾病专题 > 消化内科 > 肝胆疾病 > 肝胆肿瘤 > 胆管癌