结节性硬化病(Bourneville 综合征)
http://www.100md.com
中国医学论坛报
【病历摘要】 患者男,18岁,体检时发现双肾肿物1个半月。患者7月龄时因癫痫发作,于当地医院诊为结节性硬化病,曾查智商为43。用“卡马西平”治疗,癫痫未再发作。
体格检查 一般情况可,呆傻面容。左侧腹自肋下至骨盆上缘可及巨大肿物,活动度差,质韧。右前额部可见2~3 cm大小的椭圆形突起肿物,边界清,褐色,轻触痛,眼眶周围有蝶形斑块,余无异常。
实验室检查 无异常报告。
图1. 静脉肾盂造影(IVP)示左肾下盏拉长、变形(箭号)
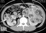
图2. 增强CT扫描
图3. 增强CT冠状位多层面重组像,示双肾巨大肿物,密度不均,可见多发脂肪密度灶(箭号)。肝内亦见一脂肪密度灶(箭头)。
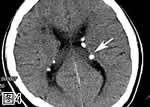
图4. 颅脑CT平扫,示双侧侧脑室室管膜下多发钙化性结节(箭号)
图5. 患者面部皮肤多发紫褐色结节, http://www.100md.com
体格检查 一般情况可,呆傻面容。左侧腹自肋下至骨盆上缘可及巨大肿物,活动度差,质韧。右前额部可见2~3 cm大小的椭圆形突起肿物,边界清,褐色,轻触痛,眼眶周围有蝶形斑块,余无异常。
实验室检查 无异常报告。
图1. 静脉肾盂造影(IVP)示左肾下盏拉长、变形(箭号)
图2. 增强CT扫描
图3. 增强CT冠状位多层面重组像,示双肾巨大肿物,密度不均,可见多发脂肪密度灶(箭号)。肝内亦见一脂肪密度灶(箭头)。
图4. 颅脑CT平扫,示双侧侧脑室室管膜下多发钙化性结节(箭号)
图5. 患者面部皮肤多发紫褐色结节, http://www.100md.com