http://www.100md.com
N Engl J Med
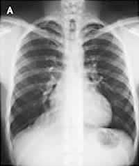
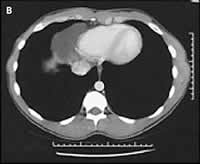
1名20岁的海军学校学生,在军队体格检查时被发现其胸部X线片异常,而来心脏科门诊。其自诉无症状,体格检查结果亦正常。X线胸片(图A)显示在右心膈角区有一平滑的密度边缘,它部分地遮盖了右心边界。CT扫描显示(图B),紧靠心脏的右边界有一均质的平滑病灶,其间没有分隔和钙化。大小约5.0 cm×4.4 cm×7.0 cm,而心脏和大血管均正常。超声心动图(图C)对该病灶进行了进一步评价,改良右胸骨旁角度证实存在一个充满液体的心包囊肿。由于该军校学生没有症状,并且心包囊肿是良性的,所以医师决定对其临床随访观察。
