临床病例讨论—— 水肿、蛋白尿、肾功能减退伴甲状腺肿块
http://www.100md.com
中国医学论坛报
病历摘要
患者男性,73岁,整个病史分为三个阶段:
第一阶段:因“水肿、蛋白尿1个月”于1999年7月第一次入院。当时患者在上呼吸道感染3天后出现双下肢水肿,尿蛋白(+++)。入院时Bp 128/80 mmHg,全身皮肤无皮疹,双下肢轻度凹陷性水肿,浅表淋巴结不大,肝脾肋下未及。实验室检查 Hb 15.2 g/dk,尿蛋白1.84g/dk,尿蛋白SDS-PAGE电泳:相对分子量>7万13.6%,6~7万80%,<6万6.4%。尿RBC 3万/mk(多形),尿κ、λ轻链正常,尿本周蛋白阴性。粪隐血阴性,血清胆红素正常,白蛋白40 g/L,球蛋白25.5 g/L; 肝酶正常,BUN 16.8 mg/dk,血肌酐(SCr)0.86 mg/dk,Ua 417 μmok/L;空腹、餐后2小时血糖及电解质正常,ESR 11 mm/1h,无乙肝及丙肝病毒感染,自身抗体阴性,免疫球蛋白,补体 C3 、C4正常,血轻链κ、λ正常(免疫双扩法)。血清蛋白电泳未见M带。癌胚抗原(CEA)、甲胎蛋白(AFP)、CA-199、前列腺酸性磷酸酶(PAP)、前列腺特异性抗原(PSA)、游离PSA均正常。B超:左肾106 mm×51.4 mm×54 mm,右肾103 mm×53.79 mm×51.6 mm,皮质回声增强。前列腺轻度增生,无残余尿。肝胆胰脾B超未见占位。胸部、腹部CT及上消化道钡餐均未见异常。由于患者拒绝肾活检,无法明确肾脏病变性质,故按一般肾炎给予雷公藤多甙治疗以减少尿蛋白。治疗后患者尿蛋白曾降至0.89 g/24h,但病程中血清白蛋白逐渐下降。
, 百拇医药
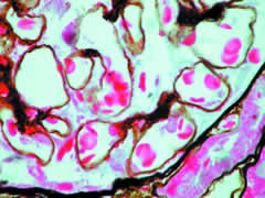
第二阶段:患者因水肿加重、尿蛋白增加于2000年12月第二次入院。入院后查体:浅表淋巴结、肝脾均未触及。右侧甲状腺近端可触及一蚕豆大小肿块,质韧,移动度好,无触痛,未闻及血管杂音。Hb13.2 g/dk,尿蛋白1.89 g/d,尿红细胞6万/mk(多形),血清白蛋白23. 8 g/L,球蛋白 24 g/L,SCr 0.8 mg/dk。血清T3、T4,游离T3、T4及TSH水平均正常,抗甲状腺球蛋白抗体、抗甲状腺球微粒体抗体和抗甲状腺髓过氧化酶抗体均阴性。消化道钡餐、胸和腹部CT未发现占位及淋巴结肿大。甲状腺B超发现右侧甲状腺下极有低回声区(约1 cm×2 cm),CT也证实右甲状腺下极有低密度占位(1 cm×1 cm)。肾活检病理组织学改变:(1)肾小球无分叶及硬化,系膜基质轻度增生,系膜区增宽,袢开放良好。PASM-Masson:周边袢上皮侧梳齿状嗜银物。(2)小管间质:灶性小管基膜增厚,腔内见蛋白管型,间质区域增宽、纤维化,浸润细胞散在,小动脉透明变性。免疫荧光检查:IgG++,IgA+,IgM+,C3+,呈颗粒状弥漫沉积于血管袢及系膜区,C4、C1q阴性,病理改变符合“膜性肾病”(图1、2)。临床考虑甲状腺肿瘤与患者的膜性肾病有关,建议患者手术切除甲状腺肿瘤,但当时患者拒绝手术。治疗上继续给予雷公藤多甙,4周后蛋白尿减少,但患者劳累或上感后水肿加重,尿蛋白增至(+++)~(++++),血清白蛋白持续低下(22.3~30 g/L),SCr曾一度升高至1.34 mg/dk。
, 百拇医药
图1.肾活检组织切片(PAS染色×400)显示基底膜增厚
图2.(PASM染色 油镜×1000)显示上皮侧免疫复合物沉积及钉突形成
第三阶段:患者因“持续蛋白尿、低蛋白血症”于2002年9月18日第三次入院。入院时查体右侧甲状腺下极有一2.5 cm×2.5 cm肿块,边界清,质韧,无触痛。尿蛋白定量0.95 g/d,血清白蛋白28 g/L,SCr 1.2 mg/dk。入院后停用雷公藤多甙,于2002年9月25日行“右侧甲状腺肿块切除术”,甲状腺肿块病理诊断为“甲状腺滤泡性腺瘤伴囊性病变”。术后,患者尿蛋白逐渐减少,于术后1个月尿蛋白转阴,血白蛋白及SCr恢复正常。此后患者尿蛋白持续阴性,血白蛋白及SCr正常,随访20个月持续缓解,无复发(见图3)。
, 百拇医药
图3 尿蛋白及血浆蛋白变化
最后诊断:右侧甲状腺滤泡性腺瘤伴囊性变,甲状腺腺瘤相关性膜性肾病。
病例讨论
本例临床诊治经历了三个阶段:第一阶段主要表现为肾小球肾炎,病理类型和病因不明,经雷公藤多甙治疗蛋白尿一度减少,但病情反复;第二阶段经肾活检明确肾脏病理改变为膜性肾病,并发现了甲状腺肿瘤,考虑膜性肾病与甲状腺肿瘤相关。因未能去除病因,尿蛋白持续存在,SCr一度升高;第三阶段在切除甲状腺腺瘤后肾病获得了持续缓解。最后确诊为甲状腺腺瘤相关性膜性肾病。本例的诊治经过说明了以下两个问题:首先,并非所有肾炎都是原发性肾炎,原则上都是有病因的只是目前我们还不了解或是没有认真去找。因此对任何肾炎患者临床都应积极寻找病因,原发性肾炎和继发性肾炎的处理和预后截然不同,针对继发性肾炎的病因治疗,能获得好的临床疗效。
本例初期主要表现为上呼吸道感染后出现水肿、蛋白尿(以白蛋白为主)伴多形型镜下血尿,因而临床可以诊断为肾小球肾炎。雷公藤多甙片治疗有一定程度缓解,临床上往往可以因此而不再深究。其实肾炎种类繁多,进一步诊断应该考虑:① 病理类型及病变特点。肾小球肾炎有多种病理类型如微小病变、系膜增生、膜性肾病、局灶节段硬化性病变(FSGS)、膜增生性病变等,尽管不同病变类型肾小球肾炎有一定的临床特点,但只有通过肾活检才能明确肾脏病理类型。本患者以蛋白尿为主,无高血压及肾功能不全,考虑膜性肾病可能性大。但不做肾活检不能确诊。②原发病因:即使肾活检明确了基本的病变类型,仍需结合临床寻找基础病因。不同病因可造成同一类型病理改变,而同一种病因可造成不同病理改变。本例为老年患者,虽然做了多项检查,基本排除了老年肾病常见的病因如代谢性疾病(糖尿病)、肺及肝脏、血液系统肿瘤(骨髓瘤、轻链病),但疏忽了甲状腺方面的检查。
, http://www.100md.com
患者第二次入院经肾活检明确肾脏病理改变为“膜性肾病”。这是一种很常见的肾小球肾炎,是60岁以上肾病综合征的主要病理类型,临床常表现为肾病综合征,部分表现为尿检异常,典型的膜性肾病没有血尿,不典型者也仅有少量红细胞尿。肾活检特征性病变为肾小球周边袢均匀一致性增厚,特殊染色(PAM、Masson)上皮侧可见嗜伊红性物质沉积及 “钉突”形成;免疫荧光可见IgG、C3呈颗粒状沿毛细血管袢分布。多种疾病可以引起膜性肾病,也有病因不明而称为“特发性膜性肾病”。在诊断“特发性膜性肾病”之前,务必寻找膜性肾病的可能病因。特别当患者存在以下情况时,更应考虑继发性膜性肾病:①临床有其他系统损伤,如贫血,淋巴结、肝、脾肿大,甲状腺疾病肿瘤、炎症,慢性感染,肿瘤及血清学异常(补体、自身抗体)。育龄妇女应警惕红斑狼疮,儿童患者应考虑与乙肝病毒相关,年龄>50岁则应常规进行肿瘤筛查。②有明显血尿。特发性膜性肾病通常表现为单纯性蛋白尿,较少出现血尿,即使存在也常为少量镜下血尿。如果血尿明显,则应考虑继发性膜性肾病或并发肾静脉血栓。③肾活检病理组织学改变不“纯”。原发性膜性肾病肾小球通常无明显细胞增生,免疫沉积物仅位于上皮侧,肾间质无明显炎细胞浸润,即“纯”的膜性肾病。如果膜性病变伴有明显肾小球系膜或内皮细胞增生、系膜区或内皮下免疫复合物沉积、伴有明显的炎细胞浸润即非纯性膜性肾病时,应高度考虑继发性膜性肾病,应积极寻找病因。
, 百拇医药
本例肾脏病理改变为不“纯”的膜性肾病(存在系膜细胞及内皮细胞增生),体检及影像学检查有甲状腺肿块,最终证明甲状腺肿瘤与膜性肾病的发生有密切关系。在病程中采用雷公藤多甙治疗虽然有效,但尿蛋白反复出现,表明雷公藤治疗仅仅是“对症”,不能获得长期缓解。而在切除了甲状腺腺瘤后尿蛋白才获得了持续缓解,肾功能正常,由此推断甲状腺肿瘤与膜性肾病直接相关。
本例是甲状腺肿瘤引起膜性肾病的典型个案,根据手术切除肿瘤后肾病获得缓解证明了甲状腺肿瘤与膜性肾病相关。但甲状腺肿瘤如何导致膜性肾病﹖如何从分子发病机制认识两者的关系﹖从肾组织分子病理对这些问题进行探讨有助于我们对膜性肾病发病机制的认识。
膜性肾病的确切发病机制不明,但研究已经证实免疫复合物沉积于肾小球基膜(GBM)上皮侧是膜性肾病发病的基本环节;特发性的均是原位免疫复合物,继发性的(如系统性红斑狼疮)往往是循环免疫复合物沉积。本例肾小球毛细血管袢以IgG和C3沉积为主,无补体C4及C1q沉积,表明补体受旁路途径激活。我们采用免疫荧光双套色,通过激光扫描共聚焦显微镜检查观察了其肾小球IgG沉积的空间构象,并与膜性狼疮性肾炎进行比较,发现两者IgG沉积的空间构象存在显著差异(图4、5),反映肾小球膜性病变形成的机制不相同,也可作为鉴别诊断中的一个依据(Biomarker)。甲状腺肿瘤相关性膜性肾病的产生可能与原位免疫复合物形成有关,而膜性狼疮性肾炎则与循环免疫复合物沉积有关。我们的研究也发现不同类型膜性肾病肾小球沉积的IgG亚型及补体膜攻击复合物(C5b-9)也存在不同类型。特发性病例GBM的一部分有很强的IgG4及C5b-9沉积而另一部分病例IgG4沉积少量,无C5b-9沉积或少量沉积,这些现象表明膜性肾病的发病机制有不同类型。本例C5b-9沉积为阳性,而IgG4阴性,似乎又是另外一种类型。
, 百拇医药
图4. 患者肾小球,IgG散在分布于GBM外侧
图5. V型狼疮性肾炎,大量颗粒状IgG嵌入GBM
小结
本病例的诊断和治疗过程充分体现了诊断原发性膜性肾病前必须寻找可能的病因,进而针对病因治疗的重要性。随着临床检验手段的提高及对病因学的重视,所谓“特发性膜性肾病”的比例会越来越少。即使部分患者在病程初期未能明确病因,也应在随访过程中重视寻找原发病的线索,以免误诊误治。结合本例经验,对膜性肾病患者除进行一般检查外,应常规做甲状腺检查,同时应加强肾组织分子病理的研究,为膜性肾病的病因诊断提供更可靠的手段。, 百拇医药
患者男性,73岁,整个病史分为三个阶段:
第一阶段:因“水肿、蛋白尿1个月”于1999年7月第一次入院。当时患者在上呼吸道感染3天后出现双下肢水肿,尿蛋白(+++)。入院时Bp 128/80 mmHg,全身皮肤无皮疹,双下肢轻度凹陷性水肿,浅表淋巴结不大,肝脾肋下未及。实验室检查 Hb 15.2 g/dk,尿蛋白1.84g/dk,尿蛋白SDS-PAGE电泳:相对分子量>7万13.6%,6~7万80%,<6万6.4%。尿RBC 3万/mk(多形),尿κ、λ轻链正常,尿本周蛋白阴性。粪隐血阴性,血清胆红素正常,白蛋白40 g/L,球蛋白25.5 g/L; 肝酶正常,BUN 16.8 mg/dk,血肌酐(SCr)0.86 mg/dk,Ua 417 μmok/L;空腹、餐后2小时血糖及电解质正常,ESR 11 mm/1h,无乙肝及丙肝病毒感染,自身抗体阴性,免疫球蛋白,补体 C3 、C4正常,血轻链κ、λ正常(免疫双扩法)。血清蛋白电泳未见M带。癌胚抗原(CEA)、甲胎蛋白(AFP)、CA-199、前列腺酸性磷酸酶(PAP)、前列腺特异性抗原(PSA)、游离PSA均正常。B超:左肾106 mm×51.4 mm×54 mm,右肾103 mm×53.79 mm×51.6 mm,皮质回声增强。前列腺轻度增生,无残余尿。肝胆胰脾B超未见占位。胸部、腹部CT及上消化道钡餐均未见异常。由于患者拒绝肾活检,无法明确肾脏病变性质,故按一般肾炎给予雷公藤多甙治疗以减少尿蛋白。治疗后患者尿蛋白曾降至0.89 g/24h,但病程中血清白蛋白逐渐下降。
, 百拇医药
第二阶段:患者因水肿加重、尿蛋白增加于2000年12月第二次入院。入院后查体:浅表淋巴结、肝脾均未触及。右侧甲状腺近端可触及一蚕豆大小肿块,质韧,移动度好,无触痛,未闻及血管杂音。Hb13.2 g/dk,尿蛋白1.89 g/d,尿红细胞6万/mk(多形),血清白蛋白23. 8 g/L,球蛋白 24 g/L,SCr 0.8 mg/dk。血清T3、T4,游离T3、T4及TSH水平均正常,抗甲状腺球蛋白抗体、抗甲状腺球微粒体抗体和抗甲状腺髓过氧化酶抗体均阴性。消化道钡餐、胸和腹部CT未发现占位及淋巴结肿大。甲状腺B超发现右侧甲状腺下极有低回声区(约1 cm×2 cm),CT也证实右甲状腺下极有低密度占位(1 cm×1 cm)。肾活检病理组织学改变:(1)肾小球无分叶及硬化,系膜基质轻度增生,系膜区增宽,袢开放良好。PASM-Masson:周边袢上皮侧梳齿状嗜银物。(2)小管间质:灶性小管基膜增厚,腔内见蛋白管型,间质区域增宽、纤维化,浸润细胞散在,小动脉透明变性。免疫荧光检查:IgG++,IgA+,IgM+,C3+,呈颗粒状弥漫沉积于血管袢及系膜区,C4、C1q阴性,病理改变符合“膜性肾病”(图1、2)。临床考虑甲状腺肿瘤与患者的膜性肾病有关,建议患者手术切除甲状腺肿瘤,但当时患者拒绝手术。治疗上继续给予雷公藤多甙,4周后蛋白尿减少,但患者劳累或上感后水肿加重,尿蛋白增至(+++)~(++++),血清白蛋白持续低下(22.3~30 g/L),SCr曾一度升高至1.34 mg/dk。
, 百拇医药
图1.肾活检组织切片(PAS染色×400)显示基底膜增厚
图2.(PASM染色 油镜×1000)显示上皮侧免疫复合物沉积及钉突形成
第三阶段:患者因“持续蛋白尿、低蛋白血症”于2002年9月18日第三次入院。入院时查体右侧甲状腺下极有一2.5 cm×2.5 cm肿块,边界清,质韧,无触痛。尿蛋白定量0.95 g/d,血清白蛋白28 g/L,SCr 1.2 mg/dk。入院后停用雷公藤多甙,于2002年9月25日行“右侧甲状腺肿块切除术”,甲状腺肿块病理诊断为“甲状腺滤泡性腺瘤伴囊性病变”。术后,患者尿蛋白逐渐减少,于术后1个月尿蛋白转阴,血白蛋白及SCr恢复正常。此后患者尿蛋白持续阴性,血白蛋白及SCr正常,随访20个月持续缓解,无复发(见图3)。
, 百拇医药
图3 尿蛋白及血浆蛋白变化
最后诊断:右侧甲状腺滤泡性腺瘤伴囊性变,甲状腺腺瘤相关性膜性肾病。
病例讨论
本例临床诊治经历了三个阶段:第一阶段主要表现为肾小球肾炎,病理类型和病因不明,经雷公藤多甙治疗蛋白尿一度减少,但病情反复;第二阶段经肾活检明确肾脏病理改变为膜性肾病,并发现了甲状腺肿瘤,考虑膜性肾病与甲状腺肿瘤相关。因未能去除病因,尿蛋白持续存在,SCr一度升高;第三阶段在切除甲状腺腺瘤后肾病获得了持续缓解。最后确诊为甲状腺腺瘤相关性膜性肾病。本例的诊治经过说明了以下两个问题:首先,并非所有肾炎都是原发性肾炎,原则上都是有病因的只是目前我们还不了解或是没有认真去找。因此对任何肾炎患者临床都应积极寻找病因,原发性肾炎和继发性肾炎的处理和预后截然不同,针对继发性肾炎的病因治疗,能获得好的临床疗效。
本例初期主要表现为上呼吸道感染后出现水肿、蛋白尿(以白蛋白为主)伴多形型镜下血尿,因而临床可以诊断为肾小球肾炎。雷公藤多甙片治疗有一定程度缓解,临床上往往可以因此而不再深究。其实肾炎种类繁多,进一步诊断应该考虑:① 病理类型及病变特点。肾小球肾炎有多种病理类型如微小病变、系膜增生、膜性肾病、局灶节段硬化性病变(FSGS)、膜增生性病变等,尽管不同病变类型肾小球肾炎有一定的临床特点,但只有通过肾活检才能明确肾脏病理类型。本患者以蛋白尿为主,无高血压及肾功能不全,考虑膜性肾病可能性大。但不做肾活检不能确诊。②原发病因:即使肾活检明确了基本的病变类型,仍需结合临床寻找基础病因。不同病因可造成同一类型病理改变,而同一种病因可造成不同病理改变。本例为老年患者,虽然做了多项检查,基本排除了老年肾病常见的病因如代谢性疾病(糖尿病)、肺及肝脏、血液系统肿瘤(骨髓瘤、轻链病),但疏忽了甲状腺方面的检查。
, http://www.100md.com
患者第二次入院经肾活检明确肾脏病理改变为“膜性肾病”。这是一种很常见的肾小球肾炎,是60岁以上肾病综合征的主要病理类型,临床常表现为肾病综合征,部分表现为尿检异常,典型的膜性肾病没有血尿,不典型者也仅有少量红细胞尿。肾活检特征性病变为肾小球周边袢均匀一致性增厚,特殊染色(PAM、Masson)上皮侧可见嗜伊红性物质沉积及 “钉突”形成;免疫荧光可见IgG、C3呈颗粒状沿毛细血管袢分布。多种疾病可以引起膜性肾病,也有病因不明而称为“特发性膜性肾病”。在诊断“特发性膜性肾病”之前,务必寻找膜性肾病的可能病因。特别当患者存在以下情况时,更应考虑继发性膜性肾病:①临床有其他系统损伤,如贫血,淋巴结、肝、脾肿大,甲状腺疾病肿瘤、炎症,慢性感染,肿瘤及血清学异常(补体、自身抗体)。育龄妇女应警惕红斑狼疮,儿童患者应考虑与乙肝病毒相关,年龄>50岁则应常规进行肿瘤筛查。②有明显血尿。特发性膜性肾病通常表现为单纯性蛋白尿,较少出现血尿,即使存在也常为少量镜下血尿。如果血尿明显,则应考虑继发性膜性肾病或并发肾静脉血栓。③肾活检病理组织学改变不“纯”。原发性膜性肾病肾小球通常无明显细胞增生,免疫沉积物仅位于上皮侧,肾间质无明显炎细胞浸润,即“纯”的膜性肾病。如果膜性病变伴有明显肾小球系膜或内皮细胞增生、系膜区或内皮下免疫复合物沉积、伴有明显的炎细胞浸润即非纯性膜性肾病时,应高度考虑继发性膜性肾病,应积极寻找病因。
, 百拇医药
本例肾脏病理改变为不“纯”的膜性肾病(存在系膜细胞及内皮细胞增生),体检及影像学检查有甲状腺肿块,最终证明甲状腺肿瘤与膜性肾病的发生有密切关系。在病程中采用雷公藤多甙治疗虽然有效,但尿蛋白反复出现,表明雷公藤治疗仅仅是“对症”,不能获得长期缓解。而在切除了甲状腺腺瘤后尿蛋白才获得了持续缓解,肾功能正常,由此推断甲状腺肿瘤与膜性肾病直接相关。
本例是甲状腺肿瘤引起膜性肾病的典型个案,根据手术切除肿瘤后肾病获得缓解证明了甲状腺肿瘤与膜性肾病相关。但甲状腺肿瘤如何导致膜性肾病﹖如何从分子发病机制认识两者的关系﹖从肾组织分子病理对这些问题进行探讨有助于我们对膜性肾病发病机制的认识。
膜性肾病的确切发病机制不明,但研究已经证实免疫复合物沉积于肾小球基膜(GBM)上皮侧是膜性肾病发病的基本环节;特发性的均是原位免疫复合物,继发性的(如系统性红斑狼疮)往往是循环免疫复合物沉积。本例肾小球毛细血管袢以IgG和C3沉积为主,无补体C4及C1q沉积,表明补体受旁路途径激活。我们采用免疫荧光双套色,通过激光扫描共聚焦显微镜检查观察了其肾小球IgG沉积的空间构象,并与膜性狼疮性肾炎进行比较,发现两者IgG沉积的空间构象存在显著差异(图4、5),反映肾小球膜性病变形成的机制不相同,也可作为鉴别诊断中的一个依据(Biomarker)。甲状腺肿瘤相关性膜性肾病的产生可能与原位免疫复合物形成有关,而膜性狼疮性肾炎则与循环免疫复合物沉积有关。我们的研究也发现不同类型膜性肾病肾小球沉积的IgG亚型及补体膜攻击复合物(C5b-9)也存在不同类型。特发性病例GBM的一部分有很强的IgG4及C5b-9沉积而另一部分病例IgG4沉积少量,无C5b-9沉积或少量沉积,这些现象表明膜性肾病的发病机制有不同类型。本例C5b-9沉积为阳性,而IgG4阴性,似乎又是另外一种类型。
, 百拇医药
图4. 患者肾小球,IgG散在分布于GBM外侧
图5. V型狼疮性肾炎,大量颗粒状IgG嵌入GBM
小结
本病例的诊断和治疗过程充分体现了诊断原发性膜性肾病前必须寻找可能的病因,进而针对病因治疗的重要性。随着临床检验手段的提高及对病因学的重视,所谓“特发性膜性肾病”的比例会越来越少。即使部分患者在病程初期未能明确病因,也应在随访过程中重视寻找原发病的线索,以免误诊误治。结合本例经验,对膜性肾病患者除进行一般检查外,应常规做甲状腺检查,同时应加强肾组织分子病理的研究,为膜性肾病的病因诊断提供更可靠的手段。, 百拇医药