当前位置: 首页 > 医学版 > 医学动态 > 病案讨论
编号:10564013
多关节痛、发热、腹胀
http://www.100md.com 中国医学论坛报
多关节痛、发热、腹胀//

     病历摘要

    患者男,62岁,因多关节痛14年,发热、盗汗1年余,腹胀、双下肢肿半月于2003年7月入院。患者于1989年开始出现双膝关节肿痛,1994年出现双手近端指间关节及腕关节疼痛,此后间断出现双膝、肘、踝关节肿痛,服用NSAIDs类药物及中药后症状可缓解。2002年2月因右膝关节肿痛明显,于外院行右膝关节置换术,病理显示为“滑膜炎”,开始服用甲氨蝶呤(MTX) 10~15 mg/周,治疗约9个月,关节疼痛发作减少。2002年8月,患者突然出现四肢及腰骶部血疱,有疼痛,血疱破溃结痂,有色素沉着,同时有午后发热(Tmax 38.5℃)、盗汗。外院B超发现“肝脾大、门脉增宽,腹水”,胸部CT示两下肺炎性改变和胸腔积液。胸腹水检查均为“漏出液”。同年11月起接受异烟肼(INH)+乙胺丁醇(EMB)+吡嗪酰胺(PZA)三联抗痨,同时加用MTX+雷公藤治疗。患者体温有所下降,胸腹水减少,出院后仍有发热但未监测。2003年2月,患者突然腹胀、双下肢水肿,尿量减少,再次入外院,经补蛋白利尿治疗后腹胀好转,但血肌酐(Cr)升至1.9 mg/dk,遂停用雷公藤。2003年4月患者再次出现左踝、右膝关节疼痛,压痛,皮温稍增高,血沉(ESR)增快达150 mm/h,加用泼尼松5 mg/日治疗后好转。2003年7月停止抗痨及泼尼松治疗。7月中旬无明显原因病人再次出现腹胀、双下肢肿,发热、盗汗,为进一步诊治再次来我院治疗。
, 百拇医药
    既往史 有高血压、糖尿病史8年。吸烟30年,1包/日;饮酒30余年,2~3两白酒/日,已经戒烟酒1年。

    入院查体 贫血貌,肝掌(+),颈根部蜘蛛痣,颈静脉充盈,双肺呼吸音粗。全腹膨隆,腹壁静脉曲张,脐以上血流方向向上。腹部压痛、反跳痛(+)。肝剑下10 cm、肋下6 cm可触及,质硬,有触痛,叩痛+。脾锁骨中线上肋下4 cm可触及,质中,有触痛。右下肢见5 cm×6 cm皮损,双下肢轻度可凹性水肿。

    实验室检查 血常规:HB 60 g/L,尿便常规正常。肝肾功能、血脂:白蛋白(ALB) 2.73余正常。ESR 112~225 mm/h。IgG 26.70 g/L,IgA 5.34 g/L,IgM 3.53 g/L。IV胶原正常,AFP正常。乙肝五项、HCV-Ab、HIV-Ab、TB-Ab、布氏杆菌凝集试验、巨细胞病毒(CMV)-PP65、EB病毒、纯蛋白衍生物(PPD)均正常。类风湿因子(RF)1256。抗核抗体(ANA)、抗dsDNA、抗着丝点抗体(ACA)、抗可提取核抗原(ENA)、抗中性粒细胞胞质抗体(ANCA)、抗核周因子(APF)、抗角蛋白抗体(AKA)、抗心磷脂抗体(ACL)、自身抗体均阴性。多次痰培养:超广谱β内酰胺酶(ESBL)(+)产酸克雷伯菌。痰找抗酸杆菌、痰快速结核分支杆菌培养(-)。超声心动图(UCG):不符合缩窄性心包炎,左室射血分数(LVEF)65%~68%。门脉彩超:门静脉稍宽1.2 cm,流速约20 cm/s,为向肝血流;下腔静脉血流通畅,为回心血流。胃镜显示:食管静脉曲张中度,胃底静脉曲张,慢性浅表性胃炎伴糜烂结节。双手X线片:双手关节骨质疏松。腰椎X线片正常。腹部CT及增强显示:肝硬化,肝内钙化灶,脾大,伴脾静脉及腹膜后静脉曲张,腹水,少量胸腔积液,脾脏增强欠均匀。腹水细胞总数280/mm3,白细胞数150/mm3,单核92%,黎氏反应(-)。腹水生化:总蛋白 2.52 g/dk,ALB 0.81 g/dk,乳酸脱氢酶(LD) 47 U/L,葡萄糖(GLU)194 mg/dk。腹水病理见间皮细胞及淋巴细胞,未见瘤细胞。
, 百拇医药
    眼科检查符合双干眼症,未见色素膜炎。口腔科检查:唾液流率0.02 mk/min,IgA、β2微球蛋白正常。唇腺活检:腺体明显萎缩,导管扩张,间质纤维组织增生,导管周可见少量淋巴细胞及浆细胞浸润。刚果红(-)。血液方面:血清铁(SI) 40 μg/dk,运铁蛋白饱和度(TS )17%,总铁结合量(TIBC)、血清铁蛋白(SF,360 ng/mk)正常。叶酸、VitB12、血涂片、Coombs试验、尿Rous试验正常。CD55、CD59(-)。骨髓涂片、骨髓活检:基本正常。造血组织与脂肪组织比例大致正常,造血组织中粒红比例大致正常,巨核细胞易见。皮肤、胸膜及滑膜活检我院病理会诊:符合白细胞破碎性血管炎,退变坏死组织;滑膜组织示轻度慢性炎症,小血管壁明显增厚,玻璃样变。

    病例讨论

    费贵军(消化科主治医):该病人肝硬化、门脉高压诊断明确。目前肝硬化的原因不明,酒精性肝硬化不能除外,免疫病也不能除外。病人发热的特点为午后发热,盗汗,无明显中毒症状。发热原因主要考虑感染,患者有多种感染易感因素,包括糖尿病和肝硬化等,普通细菌感染较明确有自发性腹膜炎和肺部感染,但较难解释患者一年的发热病程。结核感染支持点也不多,注意除外肝结核。确诊需要病理证实,本例病人活检未见肝结核表现,但一次阴性结果不能排除肝结核。其他发热的原因中慢性活动性肝炎成立,自身免疫性肝病、类风湿性关节炎(RA)不除外。
, http://www.100md.com
    马小军(感染科主治医):关于该患者目前和感染有关的问题,包括已明确的有自发性腹膜炎,结核性腹膜炎的诊断目前还不能成立。该患者的主诉为1年来一直发热,但是实际上2003年2月的外院住院病历的体温记录显示正常,所以该主诉欠可靠,不足以作为诊断依据。肝硬化的病因待明确,慢性活动性肝炎肝硬化常见于乙肝、丙肝,亦有HCV(-)的丙肝肝硬化。但目前患者肝大不支持。而且缺乏明确输血、不洁性生活史,抗体阴性,肝炎后肝硬化可能性不大。该病人有30余年饮酒史,酒精性肝硬化的可能性大。发热原因要分两个阶段来分析,1年前患者出现发热,抗痨治疗到2003年7月,曾使用四联药物4个月,体温曾经正常过一段时间。所以结核不能完全除外。至于肝结核,我们收治的肝结核多以发热就诊,经肝穿确诊。该患者难以诊断肝结核的原因是患者 1年前发热,1年内迅速进展至肝硬化失代偿,可能性似乎不大。目前患者体温已经恢复正常,无明确的结核活动证据,而肝硬化已进展到失代偿期,抗结核治疗可能会得不偿失,加重肝硬化的进展,所以目前不宜抗结核治疗。

    侯勇(免疫科主治医):根据2002年国际干燥综合征学会的分类标准,该患者虽然眼科检查符合双干眼症,但口腔科检查唇腺无灶性淋巴细胞浸润,SSA、SSB阴性,无口干、眼干的症状,故目前尚不能诊断干燥综合征。同时根据RA的诊断标准,患者也不符合RA,今后进展到RA的可能性是有,但也不大。另外患者高尿酸血症明确,血尿酸≥7 mg/dk为高尿酸血症,但现在患者没有痛风,一般痛风是指患者有明确的关节炎发作,否则只是高尿酸血症,饮食控制即可。该患者病理发现有白细胞破裂性血管炎,白细胞破裂性血管炎只是病理描述名词。可见于结缔组织疾病和系统性血管炎、药物反应、细菌病毒感染、过敏性紫癜、慢性荨麻疹等,临床上并无实际意义。可能与患者病程中出现的感染有关,而且目前已经缓解。我科复阅其滑膜的病理,可以见到短棒样结晶,故认为不能除外假性痛风,即二羟焦磷酸钙沉积病,后者为二羟焦磷酸钙结晶沉积引起的临床表现多样化的关节病包括间歇性发作的急性关节炎和退行性关节病有时病情严重有时没有症状X线检查可在特定部位见到关节软骨钙质沉着的影像。该病病因不明,常与外伤包括外科手术、淀粉样变性、黏液性水肿、甲状旁腺功能亢进、痛风以及血色素沉着病等有关提示二羟焦磷酸钙结晶沉积于软骨内是继发于软骨的退行性或代谢性改变。该病一般在60岁以上患者出现症状,70岁以上者软骨钙化症的发病率约30%接近90岁者发病率为50%,两性发病率相同。该病无特异性治疗,早期对症止痛处理,晚期关节肿痛严重时可以做关节置换术。但是该病不足以解释患者病情全貌。至于激素,建议在明确是否为免疫病后加用,目前没有指征。至于RF阳性,可能与其IgG高有关。
, 百拇医药
    段云(血液科教授):该患者病程10余年,贫血出现于病程初期,根据其贫血程度及特点目前考虑其慢性病贫血诊断明确, 因为慢性病贫血主要指继发于炎症、创伤、肿瘤等全身性疾病的贫血,一般上述疾病出现2个月后即会出现慢性病贫血。程度为轻中度,早期可为正细胞正色素性贫血,晚期则表现为小细胞低色素性贫血。但不同于普通缺铁性贫血,因为慢性病贫血患者体内总铁量并不低,只是可循环再利用的铁减少。结合患者相关检查,虽然SF及TS低,但TIBC不低。如果进一步做骨髓铁染色,可能骨髓外铁会是正常的。只是细胞内铁下降,这可能与慢性病患者体内炎性介质有关,如IL-1、TNF、γ干扰素影响巨噬细胞功能,使其释放铁能力下降有关。所以,慢性病贫血是可以诊断的。患者病程中使用MTX 9个月,后还用过雷公藤,可能会导致骨髓抑制。治疗原则上应以治疗基础病为主,如果贫血很重,可以间断输血支持,反之,无须特殊治疗。

    张煊(免疫科教授): RA肯定不能诊断,其假性痛风是有可能的,在国外并不少见,多见于老年人,但无法解释肝硬化。分析其余免疫因素引起的肝硬化,如血管炎,其中最常见为白塞病,可以引起血管栓塞,造成布加病、血管瘤、静脉栓塞甚至动脉栓塞引发肝硬化。目前无任何证据。我曾总结过协和医院历年来的原发性血管炎,病人可以有皮损、肾、肺、脑等改变,但没有消化道病变程度这么重的肝硬化而其他系统病变这么轻的病例。干燥综合征也可以引起肝酶升高、肝硬化,可以合并有原发性胆汁性肝硬化,但目前诊断干燥综合征勉强。
, 百拇医药
    刘晓红(消化科教授):肝脏病的原因我考虑两点,主要病因为酒精性肝硬化,病理上可以表现为脂肪肝,是可逆的,后果也不严重也可以为肝结节性甚至肝硬化。肝脏向哪个方向发展与个体对酒精的代谢有关。该患者酒精的摄入量150g/d,共20年,量是非常大的。另外患者病程中使用多种药物,可能在酒精肝的基础上加重了肝硬化。至于患者发热的原因,慢性活动性肝炎本身可以有发热,同时该患者自发性腹膜炎也是明确的,倒不一定是肺部感染造成的发热。关于治疗,慢性活动性肝炎有使用激素的指征,但该患者ALT、AST水平并不高,倘若呈2~3倍的升高,病情比较重,可以加用激素支持治疗,但是目前应以治疗为主。这例病人可以作肝穿。高γ球蛋白血症时RF水平可以明显升高,酒精性肝硬化时肝功可以正常。

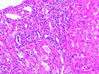
    周旭东(病理科):该病人肝穿组织示肝细胞肿胀(见图),可见灶性肝细胞坏死及较明显的碎片状坏死,汇管区有较多的淋巴细胞浸润,小胆管增生,纤维组织增生,可见肝细胞再生结节形成,未见淀粉样物或含铁血黄素沉积。从病理学角度我们能得出的结论为:肝硬化早期,轻中度炎症活动期。
, 百拇医药
    柯美云(消化科教授):目前肝硬化诊断明确,表现为慢性活动性肝炎,慢活肝可见于酒精、药物、病毒。此患者可能是酒精和药物的双重作用。自发性腹膜炎和肺部克雷伯菌感染诊断明确,而结核并无直接证据,抗痨应慎重。对于这种肝硬化病人,抗痨更应该小心。从病理看,肝脏正处于炎症状态,一般保肝治疗是无效的,必要时加用激素治疗。贫血原因为慢性病贫血。免疫病诊断不明确,但要密切随访观察。

    继续予以低嘌呤、低糖、低盐低脂饮食,利尿和间断输血支持治疗,监测血糖,血压控制满意。根据痰培养及药敏换用亚胺培南(泰能)抗感染治疗后患者体温恢复正常,腹部压痛、反跳痛和腹胀缓解。11月底患者来我院门诊随诊,无发热,一般情况较好。

    点 评

    现在各学科有很多诊断标准,而临床实际上有很多不典型病例,不够诊断标准,但其实是这种病;我们不要为诊断标准所桎梏。这例病人病史复杂,有多个系统的表现,很难用一个病解释整个病情变化,如果仅从某个细微的末节来分析而脱离病人的总体情况,很可能会不够妥当。我们可以较明确地分析他处于一个何种异常病理状态,根据其病理状态,试行治疗,可能会有利于患者。 消化科教授 陈元芳, 百拇医药